返回列表

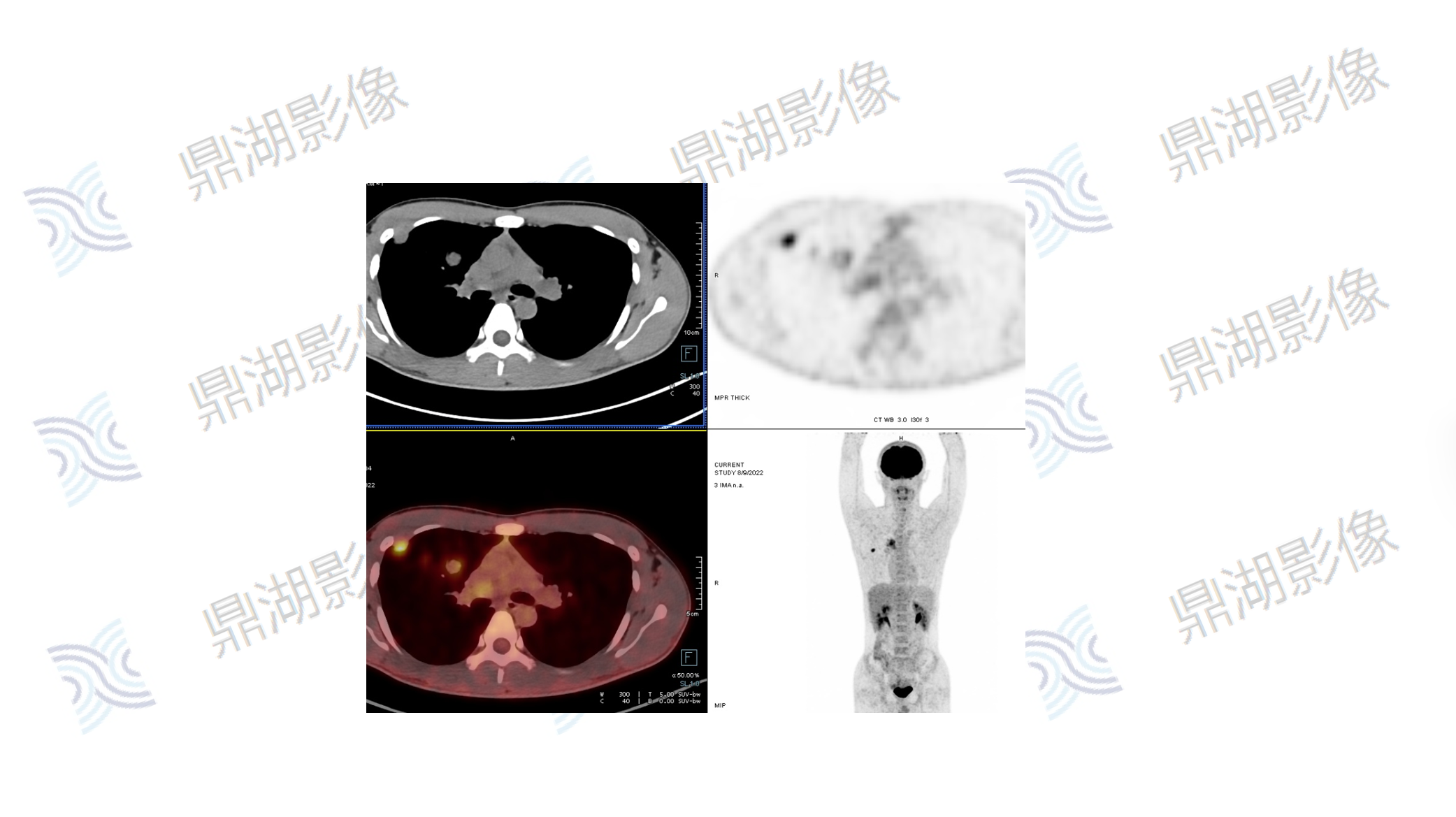
肺动脉内膜肉瘤

胸部(胸部、乳腺)
PET
顾丽娅 提供
病例: DH2510160297
发布时间: 2025-11-04 19:49:04
分享至
病例信息
性别:男
年龄:20
主诉:咳嗽3月
病例描述

37fe4b1e0985e076c5943e4475db0170.png

eaf4cd8835cc8ca1b4ba8420570783de.png

d291b042d03c2a5bf0262765d42cbcb2.png

9922d7dd288f2a200a907fbfc04a8839.png

ea8f42c1137d7044ff66f76b45ed7e5c.png

363255c1557e4a9448c8a6522b6b95d2.png

病例诊断结果
确诊时间:2025-11-04 19:49:04

肺动脉内膜肉瘤


病例分析

bdcf7c6e4fea84713378c79d5c0870ff.png

ac9e9943f2058c5e86cdb60cacb4f284.png

18b209965f69a9d6199826b6f538a0fb.png

7884034f0b0a12792b75981bf59d45bb.png

病例词典
*该内容更新时间至:2025-11-04 19:49:04
我也想发布
点击此处, 发布病例