返回列表

血管母细胞瘤

中枢神经系统
MR
宝哥 提供
病例: DH2505290262
发布时间: 2025-05-29 21:57:39
分享至
病例信息
性别:男
年龄:47
主诉:右侧头皮发麻不适3月
病例描述

患者3月余前因突然出现 右侧头 皮发麻 不适 , 位于右侧颞枕部, 无头晕头痛,无恶心呕吐,无视物模糊,亢偏侧肢体无力不适,遂 前往上海某医院就诊 ,查头颅增强MRI提示右侧小脑至小脑蚓部异常信号,考虑静脉畸形合并出现可能,伴周围水肿, 为求进一步评估血管情况,今来我院就诊 ,门诊拟“ 脑静脉畸形 ”收住入院。 


病例诊断结果
确诊时间:2025-05-29 21:57:40

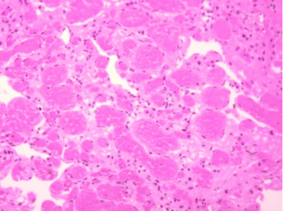
(小脑)富于血管肿瘤,符合血管母细胞瘤, CNS WHO 1级。 

免疫组化:A1-01(小脑病损):CD31(示血管), CD34(示血管), Inhibin α(部分+), S100(部分+), GFAP(部分+), Brachyury(-), CD10(-), CK-PAN(-), Ki-67(约5%+)。

faf8bdfe7e513eddaab545bc89ddf44d.png

病例分析
病例词典
*该内容更新时间至:2025-05-29 21:57:40
我也想发布
点击此处, 发布病例