返回列表

弥漫中线胶质母细胞瘤

中枢神经系统
MR
宝哥 提供
病例: DH2505240248
发布时间: 2025-05-25 21:46:25
分享至
病例信息
性别:男
年龄:31
主诉:头痛半月余
病例描述

患者半月余前因感冒头痛,伴反应迟钝,至当地医院住院治疗,无恶心呕吐,无行走不稳,完善头颅MRI提示脑内多发病灶。


病例诊断结果
确诊时间:2025-05-25 21:46:25

(左脑室后角肿瘤)

整合诊断:弥漫中线胶质瘤, H3K27变异型(H3K27M突变) 

组织病理学类型:胶质母细胞瘤 

CNS WHO 级别:4级 

分子检测:未做 

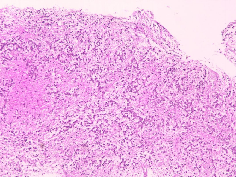
组织学特征:肿瘤弥漫性生长、细胞密度高、间质富于粘液、细胞呈缎带样排列、部分胞浆空 亮、核分裂1个/10HPF、未见栅栏样坏死及血管内皮增生。 

免疫组化:B1-01(2、(左脑室后角肿瘤)):GFAP(+), Olig2(+), Vimentin(部分+), Nestin(+), Synaptophysin(-), NFP(+), INI1/SMARCB1(存在), NeuN(-), Chromogranin A(-), IDH1(R132H)(-), ATRX(存在), p53(+), H3 K27M(+), H3 K27me3(缺失), H3.3 G34R(-), CD34(脉管+), BRAF V600E(-), Ki-67(20%+), MLH1(存在), MSH2(存在), MSH6(存在), PMS2(存在), MAP-2a.b.c(+)。

8fad204a521f4aab97ea96fdfc2d401e.png




病例分析
病例词典
*该内容更新时间至:2025-05-25 21:46:25
我也想发布
点击此处, 发布病例