返回列表

髓母细胞瘤

中枢神经系统
MR
超级管理员 提供
病例: DH2312220024
发布时间: 2024-04-21 20:40:25
分享至
病例信息
性别:男
年龄:18
主诉:头晕伴呕吐10余天
病例描述
患者10余天前无明显诱因出现头晕,伴呕吐,呕吐物为胃内容物,卧位时明显,站立时可缓解。于当地诊所就诊,予对症治疗后无明显好转。  
查体:神志清,精神软,对答切题,颈软,双瞳孔等大等圆,直径3mm,对光反射正常。心音中等,律齐,未闻及病理性杂音。肺部听诊清音,未闻及明显干湿啰音。腹部平软,无压痛反跳痛,未触及包块。四肢肢体肌力5级,肌张力正常,双侧腱反射正常对称。指鼻试验正常,跟膝胫试验正常。闭目难立征阳性,克氏征阴性,双侧病理反射未引出。 
病例诊断结果
确诊时间:2024-04-21 20:40:25

(小脑)髓母细胞瘤,建议进一步NGS分子分型。 

免疫组化结果:GFAP -,Olig-2 -,Syn +,CgA +,INI-1 存在,BRG1 存在,Ki-67 30%+,CD56 +,EMA -,CD34 脉管+,P53 -,Beta-catenin 膜 +,CD3 -,CD5 -,CD20 -,CD79a -,CD30 -,CD99 弱+,Fli-1 弱+, NKX2.2 -,Vimentin -,S-100 -,SOX10 -。

20231222

病例分析

髓母细胞瘤是常见的恶性程度高且预后较差的胚胎源性肿瘤,髓母细胞瘤是后颅窝第二常见的肿瘤,仅次于星形细胞瘤,主要见于15岁以前的儿童,约占儿童颅内肿瘤15%~25%, 成人髓母细胞瘤较少见,在成人仅占中枢神经系统肿瘤的1%,男性发病多于女性。


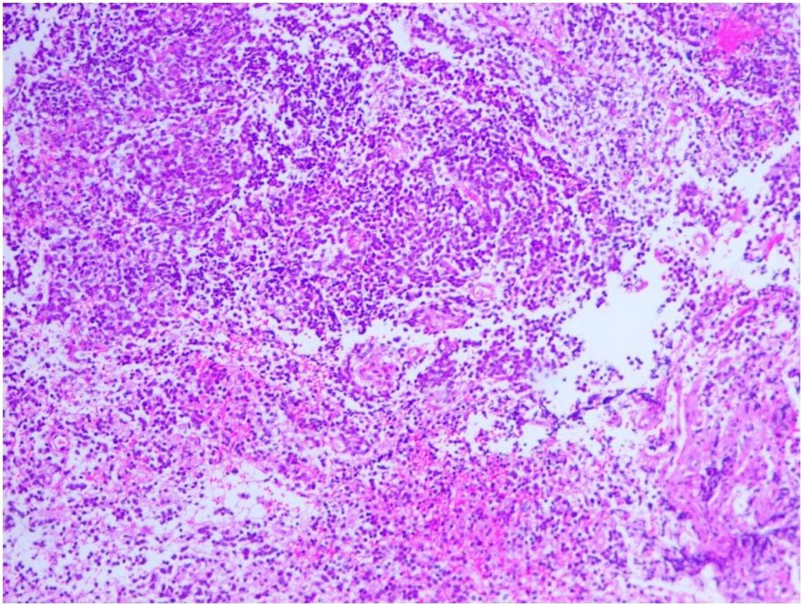
病理特点:


髓母细胞瘤的组织学分型常分为两种,分别是经典型与促纤维增生型。后者较多见。镜下特点为细胞排列紧密,体积较小,大小较一致,核大胞浆少,经典型可见菊形团样细胞排列结构,促纤维增生型中纤维组织增生明显,可见漩涡状及岛状结构,两者均有向神经细胞或胶质细胞分化的趋势。


临床与病理表现

病人以头痛、头晕、恶心、呕吐为常见症状,多数患者表现为神志淡漠、行走不稳、视力下降、共济失调。肿瘤易压迫阻塞第四脑室,引起脑脊液循环障碍而产生脑积水。

瘤细胞体积较小,大小较一致,细胞核一般呈圆形或类圆形,细胞浆较少,部分细胞呈不典型的菊形团排列,核分裂像易见,部分区域的肿瘤细胞有神经分化趋势,间质纤维增生明显

影像学表现

成人髓母细胞瘤好发部位与儿童髓母细胞瘤明显不同。成人从高到低依次为四脑室、小脑半球和小脑蚓部;儿童从高到低则分别为四脑室、小脑蚓部和小脑半球。有学者认为儿童多起自四脑室顶部后髓帆,因此小脑蚓部或四脑室多见;而成人多起源于小脑软膜下分子层表面一种较原始的小脑外颗粒层细胞,肿瘤生长部位偏离中线,且多位于小脑表面的部位。

CT表现:平扫多表现为略高密度影,内部密度不均,部分坏死囊变较多者可呈低密度影,周围边界较清楚。增强扫描多表现为均匀的中度或明显强化,内部多发囊变区无强化;少部分肿瘤表现为实质内部斑片状的云雾样中度强化,且强化中心区域较周边强化明显。

MRI表现:肿瘤T1WI上呈等或稍低信号,T2WI呈稍高或等信号,增强扫描表现缺乏特异性,肿瘤实质部分大多表现不均质强化。肿瘤实质部分在DWI上呈高信号,ADC为低信号,DWI的信号强度及ADC值主要是由肿瘤的细胞构成和细胞核面积决定。肿瘤的细胞构成增加提示外间隙相对降低,导致水分子扩散更加受限,DWI表现为高信号、ADC表现为低信号,是小脑肿瘤中较为特征性的表现。

鉴别诊断

髓母细胞瘤主要与室管膜瘤鉴别。室管膜瘤容易沿四脑室侧孔向两侧桥小脑角池生长;另一个鉴别要点是肿瘤是否有钙化,一般认为室管膜瘤钙化较常见,而髓母细胞瘤钙化较少见。髓母细胞瘤起源于小脑蚓部四脑室顶壁,矢状面或轴面图像上,其前方可见线样脑脊液信号影将肿瘤与脑干分开;室管膜瘤起源于四脑室底部,矢状面或轴面图像上其后方可见线样脑脊液信号影将瘤体与小脑蚓部分开。当肿瘤较大,四脑室被填塞时,则鉴别诊断有较大难度。

病例词典
*该内容更新时间至:2024-04-21 20:40:25
我也想发布
点击此处, 发布病例