忽冷忽热多留意,老人血管防“红灯”
  • 南方医科大学南方医院 余泽君、文戈、王建平
  • 发布时间: 2025-08-27 15:13:13

忽冷忽热多留意,老人血管防“红灯”

南方医科大学南方医院 余泽君、文戈、王建平 


全球气候变暖与大气环流异常,温室气体排放增加导致全球气候系统不稳定,广州作为亚热带城市,受东南季风和海洋气候影响显著,冷空气与暖湿气流的频繁碰撞,进一步加剧了降水和温度骤变。天气忽冷忽热的时候,血管热涨冷缩,老年人的身体很容易“红灯预警” [1],像突发性头晕或头痛,持续超过 30 分钟且伴恶心呕吐,这些症状很可能是脑部缺血或者出血导致的,据统计脑血管意外引起的死因主要包含脑出血和脑梗死两大类,其中脑出血 (66%),脑梗死(34%);[2] 

老年人“红灯预警”应及时来急诊科就诊,通常医生会立刻安排患者做头颅 CT 或者头颅磁共振进行排查,这种情况来我们影像科必走绿色优先通道。

那么,气温骤变的时候老人家到底会出现什么样心脑血管风险呢?主要有以下三种: 

1、容易引起血压飙升:温度变化造成血管状态不稳定,血压容易失控,会引起头晕目眩、心慌心悸等。 

2、加重心脏负担:血压忽高忽低,反复变化,心脏就得更努力工作,容易出现胸痛、胸闷,严重时甚至引发心梗。 

3、引起脑血管意外(俗称中风):脑血管收缩扩张太频繁,脑血管较脆弱者,容易引发脑出血或者脑梗死。


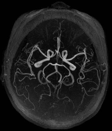
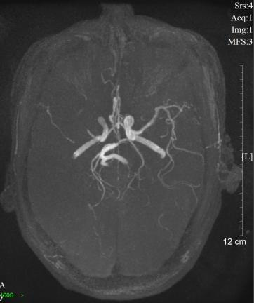
7b9c1c4f6c5a75cde11fb87a464d5702.pngbd9124c06b15cebc27fcbfe60b287faf.png

注:图 1 图 2 均为头颅动脉血管磁共振检查结果图片,图 1 为脑梗患者的动脉血管显像,红色箭头处表示该处有血栓堵塞,造成远端血管没有血流通过,以至于远端血管没有显影;图 2 为正常颅脑动脉血管,双侧血管对称显示清楚。


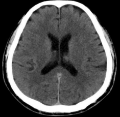
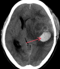
56e0f0e816226dee8a48328ccf2c6dc5.pngcef5b5187c74584206828069490976f3.png

注:图 3 4 均为头颅 CT 平扫检查结果图片,图 3 为脑出血患者头颅 CT 扫描显像,红色箭头处表示该处有高密度出血, 周围脑组织水肿,中线结构向右侧移位;图 2 为正常颅脑 CT 扫描显像,双侧脑组织对称,灰白质对比清楚,中线结构居中。


想必大家一定会好奇为什么会出现这些风险对吗?那么接下听小编简单讲解一下: 

1、环境温度降低,人体体温跟着下降,低温刺激会促使血液黏稠度升高,容易引起血管内血栓形成; 

2、日常气温变化较大时,人体血管突然收缩会导致血压骤升,可能诱发脑出血;而血管扩张时血压陡降,容易造成脑组织灌注不足; 

3、气温变化大,冷热交替,会削弱老年人抵抗力,引起免疫调节失衡,间接加重心脏动脉粥样硬化斑块的不稳定状态,容易出现脱落引起心梗。 

那么如果家里老人突然出现这五个情况,很可能是脑中风,家人们一定要警惕! 

1、突然说不清楚话:讲话含糊不清,或者理解别人的话有困难,就像突然“大舌头”了一 样。 

2、突然一侧身体没力气或麻木:比如一侧的胳膊抬不起来,拿东西拿不稳;腿走路拖地,不听使唤;脸也可能一边耷拉,嘴角歪斜,还容易流口水。 

3、突然头晕、站不稳:感觉天旋地转,走路摇摇晃晃,甚至直接摔倒,平衡感和协调能力明显下降。 

4、突然看东西不清楚:单眼或双眼视力模糊,或者看东西重影,也有可能突然眼前发黑。 

5、突然头痛得厉害:这种头痛和平时不一样,程度非常剧烈,还可能伴有呕吐。 

重要的事情说三遍!注意!注意!注意!脑血栓发病 4 个半小时内溶栓最有效 [3],要是发现家里老人有这些情况,千万别耽搁,赶紧拨打 120 ,同时记录好症状出现的时间,争取最快时间送到医院救治! 

关注老年人健康,需精准锚定根源,悉心守护老年人的血管健康,谨防“红灯”亮起, 为家人的晚年生活筑牢健康基石,守护血管健康,请记好“四防三保” 

四防温差刺激 

1、室内室外温差防护:外出前在门厅过渡 5 分钟,避免直接暴露于寒风; 

2、分层着装法:采用“保暖内衣+开衫外套”组合,方便根据温度增减; 

3、头颈御寒法:寒冷天气出门戴帽和围脖,保护头颈部血管; 

4、洗漱水温调节:洗澡洗脸用温水(32-35℃)。 

三保血流畅通 

1、晨起三部曲:醒后平躺 1 分钟→坐起缓神 1 分钟→床边足部活动 1 分钟,避免体位性低血压; 

2、科学饮水法:晨起后温水 200ml,睡前 2 小时限水(减少夜尿诱发脑卒中风险); 

3、监测管理指标:血压波动范围≤20mmHg/日,空腹血糖<7mmol/L,血脂 LDL<2.6mmol/L。 

老年人血管健康管理是一场“温度保卫战”,通过科学预判气候风险、构建家庭防护体 系,我们能有效降低老年人心脑血管意外的发生率,牢记“早预防、早识别、早干预”原则, 我们一起守护生命的绿色通道。



参考文献:

[1] 张润平,张万成,令江陇,等. 兰州市昼夜温差对居民脑卒中住院人数的影响[J]. 中国医学 科学院学报,2023,45(6):934-939. DOI:10.3881/j.issn.1000-503X.15718. 

[2] 于海胜,蔡灵卿,李萱,等. 脑血管意外 56 例尸检临床病理分析[J]. 临床与实验病理学杂 志,2023,39(9):1069-1072. DOI:10.13315/j.cnki.cjcep.2023.09.010. 

[3] 高天理. 不同时间窗急性缺血性脑卒中患者及不同药物在静脉溶栓治疗中的临床应用推 荐:2021 版《欧洲卒中组织急性缺血性脑卒中静脉溶栓指南》解读[J]. 实用心脑肺血管病杂 志,2021,29(7):1-8. DOI:10.12114/j.issn.1008-5971.2021.00.150.

相关作品推荐
0.164105s