- 2024-05-11 10:08:37
ISMRM 2024 Magna Cum Laude Merit Award摘要速读

2024年5月9日,第32届国际医学磁共振协会年会暨展览会(ISMRM/ISMRT)在新加坡圆满结束。此次会议中,围绕Neuro主题的38篇摘要荣获了Magna Cum Laude Merit Award,占总数的前10%。


01


Session: Age-Related Changes in the Brain

《社区老年人群的脑小动脉硬化与灰质体积减少相关》

Brain arteriolosclerosis in community-based older adults is associated with lower gray matter volume



该研究调查了社区老年人脑小动脉硬化与区域灰质体积之间的关系。研究者结合了体外MRI和精细的神经病理学评估,对来自四个老化纵向临床病理学队列研究的82名老年成人的大脑半球进行了分析。研究结果显示,脑小动脉硬化与包括内侧额叶、顶叶和枕叶在内的多个灰质区域体积较低相关,且这种关联独立于其他神经病理学效应。这些发现有助于深入理解脑小动脉硬化在神经退行性疾病中的潜在作用。

91298309891b19bf6a392de32bf7df33.png

矢状面、冠状面和轴位图像显示了灰质区域的体积减少,这些区域的动脉病硬化更为严重,这些图像叠加在MIITRA图谱上。颜色标尺代表经过FDR(假发现率)校正的p值。




02


Session: Age-Related Changes in the Brain

《HCP数据集中与衰老相关的脉络丛结构和血管变化》

Choroid Plexus Structural and vascular Changes Associated with Aging in the HCP Dataset



本研究探讨了脉络丛结构和血管变化与衰老的关系,并使用HCP数据集进行分析。通过MRI成像技术对541名健康参与者(35至90岁)的数据进行分析,以提取扩散和灌注信息。随着年龄的增长,脉络丛体积增加,血流减少,MD值降低,血管密度减少。这些变化可能与神经退行性疾病的发展有关,为未来的研究提供了重要的基准。

9e519e01675b1981b1480863ca9725c4.jpg

不同MRI模式下脉络丛随年龄变化的概述。

(A) 在T1加权(T1)MRI上,脉络丛(ChP)随着年龄的增长而变大。

(B) 在T2加权(T2)MRI上,脉络丛呈现低信号,并显示出密度减少,显示出与衰老相关的退行性变化相关的囊状结构(红色箭头)。

(C) 在平均扩散系数(MD)图上可以更清晰地描绘出脉络丛的轮廓,其中MD值随着年龄的增长在脉络丛内增加。

(D) 脉络丛的脑血流量(CBF)在老年人群中比年轻人群低。




03


Session: Age-Related Changes in the Brain

《使用扩散张量指标对52,719名参与者进行脑白质微观结构的规范建模》

Normative modeling of brain white matter microstructure using diffusion tensor metrics in 52,719 participants



本研究的目的是建立一个大脑年龄估算模型,使用白质高信号病变量化作为大脑健康的临床指标。研究利用神经解剖体积、厚度和WMH数据,通过贝叶斯回归分析,构建了基于52,719名受试者的DTI参考模型。研究建立了一个能够预测大脑年龄和大脑年龄差距(BAG)的模型,发现BAG与总WMH负荷正相关。该模型为评估大脑健康和认知状态提供了一个无创的关键标志,有助于个性化医疗目标的实现。


8713793b44105bd80fb81bae97fcae5e.png

彩色条形图显示了来自临床样本的受试者在JHU-WM感兴趣区域(ROIs)中,具有正向和负向极端偏差的FA(分数各向异性)和MD(平均扩散率)的比例(Z值>|2|),这些样本的AUC(曲线下面积)大于0.5,并且在10次HBR(高骨区域)迭代中有9次通过了假发现率(FDR)校正。



04


Session: Age-Related Changes in the Brain

《基于连接性的婴儿至成人期初级和高阶皮层的分割研究》

Connectivity-based parcellation of primary and high-order cortex from infancy to adult



该研究探讨了从婴儿到成人,基于连接性的大脑皮层分割如何变化。研究者使用扩散MRI技术,发现大脑皮层的次区域分割随着连接性的变化而显著发展,尤其是在生命的前两年。研究结果表明,主要皮层在早期发育阶段就已成熟,而高阶皮层则从婴儿期到成年期持续发展。


4dcb86cf4db7cd24717d9668ae6d7b03.jpg

分割结果和每个组(M1(A)、S1(B)、岛叶(C))的平均连接强度分布。在每个皮层内,不同的亚区域与大脑其他部分显示出不同的连接分布模式。

M1和S1的连接分布经历了逐渐的变化。在岛叶中,连接分布从0-24个月大的儿童中变化较小,但从早期阶段到成人阶段变化较大。



05


Session: All About Choroid Plexus

《静脉注射钆基造影剂通过脉络丛进入脑室脑脊液的快速成像研究》

Fast imaging of intravenous Gadolinium-based contrast agents entrance into ventricular CSF via choroid plexus in healthy subjects



本研究使用快速成像技术,观察静脉注射钆基造影剂通过脉络丛进入脑室脑脊液的过程。研究使用动态敏感性对比(DSC)和动态对比增强(DCE)成像技术,对健康受试者进行成像。成像结果显示,GBCA可以快速通过脉络丛进入脑脊液,且在脑脊液中的浓度与年龄呈正相关。这项研究提供了关于脉络丛和脑脊液动态的新见解,并可能对临床协议产生影响。

ad65c0d8227b5c767bf1ba70e07cce57.png

FLAIR MRI。

(a) 一名健康人类受试者在侧脑室(包括脉络丛,CP)给予钆基造影剂(GBCA)后代表性的ΔS/S(信号强度变化)图。第二行:GBCA后FLAIR图像。第三行:在侧脑室上叠加ΔS/S的FLAIR图像。第四行:脉络丛和过渡区域用青色轮廓线标记。

(b) GBCA后4小时的图。



06


Session: Radiomics & Imaging Biomarkers in Brain Tumors

《自动生成术前胶质母细胞瘤浸润风险先验的改良三元组损失方法》

Automatic Infiltration Risk Prior Generation with Modified Triplet Loss for Pre-Operative Glioblastoma Infiltration Prediction



该研究提出了一种自动化方法,用于生成预手术胶质母细胞瘤(GBM)浸润风险预测。研究者应用了一种基于修改的三元组损失的序列分割方法,从多参数MRI(mpMRI)数据中生成浸润风险先验。该方法生成的风险先验与手动分割相比显示出一致的图像特征趋势,并且能够识别高风险区域。这项研究开发的自动化方法提高了预测胶质母细胞瘤浸润的准确性,对神经外科手术和放射治疗规划具有潜在的临床应用价值。

图片

临床模型应用在术前渗透预测中。

(A) 训练有素的模型为神经外科或放射治疗的目标肿瘤周围区域的预期识别生成渗透预测图。

(B) 三个活检的渗透状况(由线条表示的轨迹)经过病理学确认:所有三个活检都在渗透预测图上被准确识别(一个在增强肿瘤中为阳性;一个在肿瘤周围区域为阳性;一个在肿瘤周围区域为阴性)。



07


Session: Stroke

《酰胺质子转移成像结合DWI评估中风患者清醒时的缺血半影区:一项可行性研究》

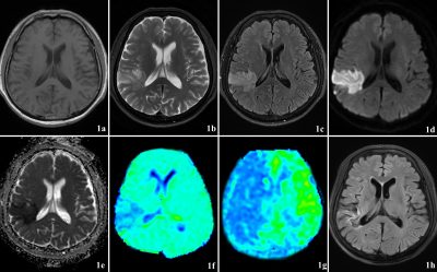
Amido-proton transfer imaging combines DWI to evaluate ischemic penumbra in wake-up stroke patients: A Feasibility study



该研究旨在探索APTw成像技术在预测缺血半影区的临床潜力,特别是针对醒来时中风患者。研究方法为应用APTw成像技术于中风患者,并与DWI结合,通过本地伦理委员会批准,对患者进行了一系列的成像扫描。研究结果为APTw-DWI不匹配模型显示出评估缺血半影区的潜力,提供了区分缺血核心和半影区的新方法。研究发现APTw-DWI不匹配模型在检测缺血半影区方面具有较高的特异性和准确性,为中风患者的治疗提供了新的影像学评估工具。

1901ffa1aec9dcdb3033acc1150564c9.png

患者为一名57岁男性,头晕和左肢运动无力约1天。

1a-1c:右侧颞叶脑组织肿胀,在T1WI、T2WI上呈轻度高信号,在T2-FLAIR上呈明显高信号;

1d-1e:DWI图像显示急性梗死病灶;1f:APTw显示APT减少区域,且APTw病灶与DWI病灶几乎一致;

1g:ASL显示大面积低灌注区域,存在明显的DWI/ASL不匹配;1h:3个月后随访的FLAIR图像大小与DWI几乎相同,表明没有缺血半影区。




08


Session: Stroke

《基于功能连接性预测颅内动脉血栓取出术后缺血性中风的长期运动功能》

Prediction of Long-term Motor Function Based on Functional Connectivity in Ischemic Stroke after Intra-arterial Thrombectomy



该研究背景为急性缺血性中风的标准临床治疗,目的是探讨功能连接性(FC)是否能预测颅内动脉血栓取出术后的长期运动功能恢复。研究对18名急性缺血性中风患者进行了大型血管闭塞治疗,使用Fugl-Meyer Assessment (FMA) 评估运动功能,并在治疗后的不同时间点评估功能网络的变化。基于两周的功能连接性,可以预测患者的长期运动功能,为临床提供适当的康复计划。研究表明,通过评估中风后的功能连接性,可以预测患者的长期运动恢复情况,这对于康复计划的制定具有重要意义。

acad788af0a75069aae7ca1e1a969889.png

图1A. 对于两周和三个月时的小脑网络的配对t检验结果。

图1B. 对于两周和三个月时的感觉运动网络的配对t检验结果。C 健侧(病灶对侧),I 患侧(病灶同侧)。



09


Session: Imaging for Deeper Insight into Early Parkinsonism

《利用体内梯度回波数据表征亚皮层灰质中铁质沉积》

Characterizing iron deposits in subcortical grey matter from in vivo gradient-echo data



该研究旨在研究铁质在亚皮层灰质中的沉积特征,探讨其在组织中的分布和潜在的病理影响。研究通过结合梯度回波数据的信号衰减,使用理论框架来识别铁质沉积的分布。研究发现铁质分布的估计与体内研究一致,表明在亚皮层组织中可能存在一个中间区域的铁质动态。研究结果支持铁质在亚皮层灰质中的特定分布模式,为理解相关神经退行性疾病提供了新的视角。

ee23e0a1329a5b14fa3b9f2e20220a3a.png

在亚皮层区域,去相位α的尺度平均值约为0.4,这与DNR(α<<1)和SDR(α>>1)不一致。





10


Session: Imaging for Deeper Insight into Early Parkinsonism

《建立区分进行性核上性麻痹和皮质基底综合征的磁共振帕金森症指数参考范围》

Establishing Magnetic Resonance

Parkinsonism index reference ranges to distinguish Progressive Supranuclear Palsy and Corticobasal Syndrome



研究旨在建立区分进行性核上性麻痹和皮质基底综合征的磁共振帕金森症指数参考范围。研究通过健康对照组建立了年龄/性别特异性的参考范围,并使用定量脑评估工具自动提取测量值。研究发布了用于区分帕金森症亚型的生物标志物的参考范围,显示出与年龄和性别的显著变化。通过这些参考范围,可以更好地区分帕金森症的不同亚型,对于临床诊断和治疗具有重要意义。


a548379d8c2fd8c344b95468c93201a1.png

代表性的T1加权切片,上面叠加了与磁共振帕金森症指数(MRPI)相关的测量结果,来自一名23岁的健康女性受试者。

(a) 中矢状面切片,显示脑桥区域(绿色)和中脑区域(蓝色);

(b) 右侧上小脑脚(SCP)的冠状视图(橙色)和左侧SCP宽度(黄色);

(c) 右侧中脑小脑脚(MCP)的矢状视图;

(d) 左侧MCP的矢状视图;

(e) 轴位视图,指示侧脑室前角宽度;

(f) 第三脑室的轴位视图。宽度是3次测量的平均值,以红色显示。MRPI=磁共振帕金森症指数。




11


Session: Imaging for Deeper Insight into Early Parkinsonism

《多参数成像在帕金森病嗅觉功能障碍中多巴胺能、胆碱能和去甲肾上腺素能贡献的研究》

Multiparametric imaging of dopaminergic, cholinergic and noradrenergic contribution in olfactory dysfunction in Parkinson’s disease



本研究旨在研究多参数成像在帕金森病嗅觉功能障碍中的作用,特别是多巴胺能、胆碱能和去甲肾上腺素能系统的贡献。研究使用多参数成像技术评估了与嗅觉减退相关的脑区,如蓝斑和黑质。研究发现嗅觉减退与RBD(快速眼动睡眠行为障碍)的存在有关,表明特定的进展模式。研究结果有助于理解帕金森病患者嗅觉功能障碍的神经化学基础,并可能揭示疾病的特定进展路径。

723eb45b1bea963260f95af84f2cd5d6.png

嗅觉识别测试(UPSIT)与皮质(上图)和亚皮质(下图)嗅觉区域的体素基态形态学(VBM)分析之间的相关性。

所有患者中,以红色突出显示的区域显示出VBM与UPSIT之间显著的正相关。



12


Session: Imaging for Deeper Insight into Early Parkinsonism

《通过松弛度测量网络和易感性加权成像揭示的帕金森病大脑铁质积累动态学》

Brain iron accumulation kinetics in Parkinson’s disease revealed by relaxometry network and susceptibility-weighted imaging



研究旨在探索帕金森病患者大脑中铁质积累的动态,使用先进的松弛度测量和易感性加权成像技术。研究通过比较健康对照组和帕金森病患者的MRI扫描,分析了铁质积累的模式和速率。研究揭示了帕金森病中铁质积累的时空变化,这些变化与疾病的病理特征紧密相关。研究结果有助于进一步了解帕金森病中铁质积累的机制,并可能为早期诊断和治疗提供新的生物标志物。


5440018ea63120dbbae32d62f0538f60.jpg

基于双变量有符号路径系数的因果关系网络(CaRCN)结果,通过逐区域分析(ROI-wise)展示了帕金森病(PD)患者中铁质积累的进展性因果关系。

有向连接的颜色代表了相应的GC(Granger因果)值。

缩写:L,左侧;R,右侧;SNpr,黑质网状部;SNpc,黑质致密部;VER7,小脑蚓部第七小叶;MOG,中枕回;OFCmed,内侧眶额皮质;OFCant,前眶额皮质。



13


Session: The Biochemical Basis of Neurologic Disease & Neurotherapeutics

《基于磁共振波谱的年轻健康成年人顶叶和前扣带回区域GABA水平的日常变化评估》

Assessment of Daily Variations of GABA Levels within the Parietal Lobe and Anterior Cingulate Gyrus Regions of Healthy Young Adults Based on MRS.



该研究基于磁共振波谱(MRS)技术,旨在探索健康年轻成年人顶叶和前扣带回皮质(ACC)区域中γ-氨基丁酸(GABA)水平的日常变化。研究背景强调了GABA作为主要抑制性神经递质,在调节神经活动和睡眠周期中的潜在作用。研究者通过MRS技术在一天中不同时间点测量了GABA/Cr比率,选取了顶叶和ACC区域作为测量目标,并依据MEGA.PRESS指南进行了参数设置和数据采集。结果显示顶叶区域GABA+/Cr水平存在显著的日常波动,其中9:00时比率最低,而21:00时达到最高。此外,GABA水平的变化与褪黑素水平呈正相关,表明GABA可能参与调节睡眠-觉醒周期。研究讨论了GABA水平波动的生物学意义,以及其与褪黑素水平的相关性如何为理解睡眠障碍提供新的视角。研究还提出了未来研究的方向,包括进一步探索GABA在不同神经精神疾病中的作用。结论指出,GABA水平的日常变化可能与昼夜节律相关,为通过药物干预改善睡眠障碍提供了理论基础。


541d698d792bc80b5de80c4ed2ae07dc.png

在T1加权快速场回波图像的轴位和冠状位投影上,对顶叶(PL,a1, a2)和前扣带回(ACC,c1, c2)区域的波谱感兴趣区域(ROI)进行定位。

图像(b)和(d)展示了从顶叶(PL,b)和前扣带回(ACC,d)ROI获得的谱图。



14


Session: The Biochemical Basis of Neurologic Disease & Neurotherapeutics

《艾司氯胺酮对神经代谢的剂量依赖性和动态效应:一项7T功能MRI/MRS研究》

Dose-dependent and dynamic effects of esketamine on neurometabolism: a 7T functional MRI/MRS study



本研究旨在评估抗抑郁药物艾司氯胺酮(esketamine)对功能性大脑反应的剂量和时间依赖性影响。艾司氯胺酮作为一种新型抗抑郁药,其作用机制尚未完全明了。研究者使用7T功能MRI和MRS技术,通过交错的实验设计,测量了艾司氯胺酮对全脑BOLD信号和神经代谢物的影响。发现艾司氯胺酮能在短时间内增加谷氨酸水平和BOLD信号,同时降低天冬氨酸和葡萄糖水平,表明其对神经代谢具有复杂的剂量和时间依赖性效应。研究讨论了艾司氯胺酮对神经代谢的影响可能与其抗抑郁效果有关,并提出了理解其作用机制的新途径。结论强调了艾司氯胺酮对大脑功能和代谢的复杂影响,为进一步研究其作为抗抑郁疗法的潜力提供了科学依据。


69e102f7b2a293c67fe13d7403e14094.jpg

前扣带回皮质(ACC)1H-MRS(氢核磁共振波谱)体积感兴趣(VOI)定位及每位参与者各条件下的平均谱图。

A) VOI定位的热图,颜色越浅表示在受试者中更频繁出现的VOI定位。

B) 展示了各条件下的平均谱图。安慰剂条件以橙色显示,低剂量艾司氯胺酮条件以蓝色显示,高剂量艾司氯胺酮条件以红色显示。数据以均值±1标准差(SD)呈现。




15


Session: White Matter Changes in Pathological States

《多发性硬化症中的结构断开和形态学相似性映射:一项纵向研究》

Mapping structural disconnection and morphometric similarity in Multiple Sclerosis: a longitudinal study



多发性硬化症(MS)是一种影响中枢神经系统的疾病,其特征是白质(WM)的脱髓鞘病变,导致灰质(GM)区域之间的结构断开。本研究旨在探索MS中的结构断开和形态学相似性,并评估这些网络的变化是否与疾病的临床残疾进展相关。研究者对41名MS患者进行了纵向研究,使用公开可用的软件计算了基于白质的断开连接,并从标准FreeSurfer输出计算了形态学相似性。通过3D-T1w衍生的FreeSurfer输出,对皮层区域之间的形态学相似性网络进行了计算。结果显示结构断开和形态学相似性网络能够敏感地反映MS相关的大脑损伤,并且这些网络的变化与疾病的临床残疾进展相关。研究讨论了网络方法如何克服标准网络分析的局限性,并提出了结构断开和形态学相似性网络作为监测MS进展和评估治疗效果的潜在工具。结论指出,结构断开和形态学相似性网络是评估MS相关脑损伤和监测疾病进展的敏感指标,为临床实践中的应用提供了新的可能性。

a6e8bc24daac0ff98fbaf95c14802eb8.png

A) 矩阵、B) 连接组学、C) 节点级别的表示,展示了在形态学相似性方面具有显著组间差异的子网络(多发性硬化症患者 > 健康对照组)。




16


Session: Dementia & Neurodegenerative Diseases

《正常压力脑积水和阿尔茨海默病中的磁共振弹性成像基础可压缩性测量》

Magnetic Resonance Elastography Based Measure of Compressibility in Normal Pressure Hydrocephalus and Alzheimer’s Disease



正常压力脑积水(NPH)和阿尔茨海默病(AD)是两种涉及大脑结构变化的神经退行性疾病。本研究旨在测试一种新的基于磁共振弹性成像(MRE)的组织可压缩性测量方法,并探索其在NPH和AD中的应用。研究者定义了可压缩性测量为MRE波速的比率,并使用T2加权成像和T1加权结构成像来评估两组患者的大脑组织。结果显示NPH和AD在可压缩性测量上呈现出不同的模式,表明MRE测量的可压缩性可能作为一种新的生物标志物,用于区分这两种疾病。研究讨论了MRE测量的可压缩性如何反映大脑组织的物理特性,并提出了这种测量方法在早期诊断和监测NPH和AD进展中的潜在应用。结论强调了MRE测量的可压缩性作为一种有前景的工具,可以揭示NPH和AD中的疾病特异性模式,为未来的研究和临床实践提供了新的视角。


7ecf91fb5332c703f0eecaa326f535ae.png

对照组、阿尔茨海默病(AD)组和正常压力脑积水(NPH)组参与者的可压缩性测量图。与NPH组相比,对照组在脑室周围和大脑顶点方向上的可压缩性测量值更高。

在AD组与NPH组的比较中也观察到了类似的趋势,但差异更大。




17


Session: Dementia & Neurodegenerative Diseases

《与阿尔茨海默病和迟发性神经退行性TDP-43脑病(LATE)神经病理学相关的大脑萎缩空间模式的差异》

Difference in the spatial pattern of brain atrophy associated with Alzheimer’s and LATE neuropathology



阿尔茨海默病(AD)和迟发性神经退行性TDP-43脑病(LATE-NC)是两种常见的神经退行性疾病,它们经常共病出现,并增加患痴呆症的风险。本研究的目的是调查AD-NC和LAYE-NC相关的大脑萎缩空间模式的差异。研究者结合了社区基础的老年人群的大脑萎缩数据和详细的神经病理学评估,使用体素基础的形态测量学(VBM)来评估大脑萎缩,并应用统计分析来比较AD-NC和LATE-NC患者。结果发现LATE-NC的2级或3级与海马前部的萎缩更多,与AD-NC相比,LATE-NC在海马前部的萎缩更为严重。研究讨论了LATE-NC与AD-NC在大脑萎缩模式上的差异,特别是在海马区域,这可能对临床诊断和治疗策略有重要意义。结论指出,LATE-NC的存在可能影响海马萎缩的模式,这可能作为AD-NC的标记,对于理解两种疾病的共病现象具有重要意义。

1d1b28d44ee5945f44b9fbea42780f53.png

在控制其他神经病理学、人口统计学和协变量的情况下,AD-NC阳性且LATE-NC阴性组的体积显著降低的区域。

颜色尺度代表了从线性回归中得到的经FWER校正的p值。




18


Session: Dementia & Neurodegenerative Diseases

《变形基础形态测量学揭示了尸检确认的边缘性与年龄相关的TDP-43脑病(LATE)中的大脑组织体积减少》

Deformation-based morphometry reveals lower brain tissue volume in autopsy confirmed limbic age-related TDP-43 encephalopathy (LATE)



LATE-NC是一种与年龄相关的神经退行性疾病,其特征是TDP-43蛋白的异常积累。本研究旨在通过变形基础形态测量学(DBM)结合详细的神经病理学数据,评估LATE-NC对大脑形态学的影响。研究者使用了社区基础的老年人群的死后大脑MRI数据,通过DBM技术评估了大脑组织的体积变化,并与详细的神经病理学评估相对照。结果显示LATE-NC与颞叶和额叶的灰质和白质区域以及基底神经节的体积降低有关,这与LATE-NC的病理分布一致。研究讨论了LATE-NC与大脑萎缩之间的关系,并指出MRI在检测LATE-NC的早期阶段是敏感的。结论强调了DBM作为一种潜在的工具,可以揭示LATE-NC的大脑萎缩模式,为开发这种疾病的生物标志物提供了新的方向。

34165cc103ffe1bad6f26d181da45a50.png

通过体素层面的线性回归分析获得的P值图(紫色-绿色-黄色色系),显示与更高LATE-NC分期相关的较低组织体积(经FWER校正的p值<0.05),叠加在体外模板上。


19


Session: Tumors in the Brain, Head & Neck

《使用多种CEST对比监测经鼻治疗脑肿瘤》

Monitoring intranasal treatment to brain tumor using multiple CEST contrasts



本研究旨在通过多种化学交换饱和转移(CEST)对比,监测经鼻给药至脑肿瘤的治疗方法,并评估治疗效果。研究重点在于利用CEST技术监测药物在脑肿瘤中的传递和治疗效果。研究者使用了基于脂质体的药物递送系统,通过经鼻途径将药物传递至脑部,并使用3T磁共振成像(MRI)进行CEST成像,以监测药物递送和肿瘤反应。实验结果显示,治疗组的肿瘤大小显著小于对照组,表明了治疗的疗效。CEST对比在3.5ppm处的变化与肿瘤区域的治疗效果相关,而4.3ppm和-3.5ppm处的CEST对比变化则指示了脂质体药物的递送效率和累积分布。研究讨论了CEST成像在监测药物递送和评估治疗效果方面的潜力,以及如何通过CEST对比的变化来评估药物在脑肿瘤中的累积和分布。结论强调了CEST成像作为一种无创监测工具在脑肿瘤治疗中的潜力,以及其在临床应用中的潜在价值。

0ececb1495e2a5bfd45a015c26ea1568.png

治疗组和对照组(n=2)的体内肿瘤监测。(A) 治疗组 3.5 ppm、-3.5 ppm 处的 CEST 图和 T2图像 (B) 对照组 3.5 ppm、-3.5 ppm 处的 CEST 图和 T2图像




20


Session: MRI for Psychopathology

《首发和复发性重度抑郁症患者前扣带回皮质亚区域网络的不同功能连接性》

Distinct functional connectivity of anterior cingulate cortex subregional networks in first-episode and recurrent major depressive



该研究探讨了首次发作和复发性重度抑郁症患者前扣带回皮质亚区域网络的功能连接性,并与健康对照组进行了比较。研究者招募了65名未用药的重度抑郁症患者(39名首次发作和26名复发性)和68名年龄和性别匹配的健康对照组。所有参与者在静息状态下使用GE Signa EXCITE 3-T MRI系统进行了扫描。结果显示,与健康对照组相比,所有重度抑郁症患者的前扣带回皮质亚区域连接性降低,尤其是复发性患者的腹侧前扣带回皮质连接性显著降低。研究讨论了前扣带回皮质亚区域连接性在重度抑郁症不同阶段的变化,以及这些变化在预测复发中的潜在作用。结论指出,前扣带回皮质的功能连接性受损可能在重度抑郁症的发病机制中起重要作用,并可能作为预测复发的生物标志物。

5ece593f0c0c74099ed1e12d26d55a75.jpg

MDD组和HC组各ACC亚区的内在功能连接图。缩写:MDD,重度抑郁症;HC,健康对照;ACC,前扣带皮层;vACC,腹侧 ACC;dACC,背侧 ACC




21


Session: MRI for Psychopathology

《基于半监督学习的ADHD人群中的不同神经影像亚型》

Distinct Neuroimaging Subtypes within ADHD Population Based on Semi-supervised Learning 



该研究旨在使用半监督学习方法,基于929名来自ASCD研究的ADHD患者,探索ADHD人群中不同的神经影像亚型。研究者应用了基于生成对抗网络(GAN)的半监督聚类方法,通过评估皮质厚度来识别疾病亚型。研究确定了三种不同的ADHD亚型,这些亚型在认知、行为进展和治疗反应方面具有独特的特征。研究讨论了ADHD的异质性,并识别了可重复的ADHD亚型,这些亚型在治疗反应和个人化治疗中具有潜在的临床意义。结论强调了在ADHD中识别不同亚型的重要性,并指出这可能有助于开发更有效的个性化治疗方法。

fe380505e4655e814c41b3c302af3a2e.jpg

不同数据集中每个亚型和对照组之间的区域差异(t 值)。



22


Session:Blood Brain Barrier & Neuroinflammation

《使用生成对抗网络在DCE-MRI中无监督PK模型自由的BBB渗漏检测》

Unsupervised PK Model-free BBB Leakage Detection in DCE-MRI using Generative Adversarial Networks



本研究的目标是开发一种鲁棒且快速的方法,使用生成对抗网络(GAN)在不依赖药代动力学(PK)模型的情况下,检测动态对比增强磁共振成像(DCE-MRI)中的血脑屏障(BBB)渗漏。研究者对30名成人弥漫性胶质瘤患者进行了DCE-MRI扫描,使用西门子扫描仪。通过训练集学习,利用预训练的GAN生成器来处理图像数据,以检测BBB的破坏和对比剂泄漏。研究中提出的技术能够通过估计所有图像像素的残差信号来获得渗漏图,这些图与实际BBB破坏区域具有高度的相关性。该方法显著减少了扫描时间,同时保持了高的分辨率。讨论部分强调了该方法在有限扫描时间内对BBB渗漏信号进行稳健检测的潜力,并指出需要在更多的患者数据上验证该方法。结论指出,该研究提出的基于GAN的方法为BBB渗漏的检测提供了一种新的无监督工具可能对治疗计划和疾病监测具有重要意义。


27cc3599ebd0b2595b3c4f6c10517859.jpg

所提出方法的代表性结果。(A)-(C)每个患者的K反式图。(D)-(F) 该方法的绝对残差图。(G)-(I) 使用所提出的方法获得的残差图。




23


Session: Glymphatic System: What's New

《睡眠期间人脑细胞外体积变化:一项同步钠(23Na)MRI和EEG研究》

Extracellular Volume Change in Human Brains during Sleep: A Simultaneous Sodium (23Na) MRI and EEG Study



该研究探讨了睡眠期间人脑中细胞外体积的变化,使用同时进行的钠(23Na)MRI和脑电图(EEG)研究。研究者让参与者在MRI机器内尽可能放松并入睡,同时进行EEG记录。使用特定的MRI技术测量细胞外钠信号,以评估细胞外体积的变化。结果显示,在睡眠过程中细胞外体积发生了变化,但随着睡眠的加深,细胞外体积似乎有所减少,这与动物研究的发现相反。讨论部分指出,尽管研究结果表明睡眠期间细胞外体积有所变化,但这种变化的原因尚不清楚,需要进一步的研究来分析睡眠如何影响个体的细胞外体积。结论强调了需要更多的研究来验证这一观察结果,并探讨睡眠对细胞外体积影响的潜在机制。

31705f99b4dd40c73727155033e4e648.png

研究对象(43岁,女性)的细胞外体积分数 (ECVF) 代表性图,根据一次16分钟钠扫描的钠图像计算得出。反向对比度有助于突出显示ECVF值的白质区域。




24


Session: Glymphatic System: What's New

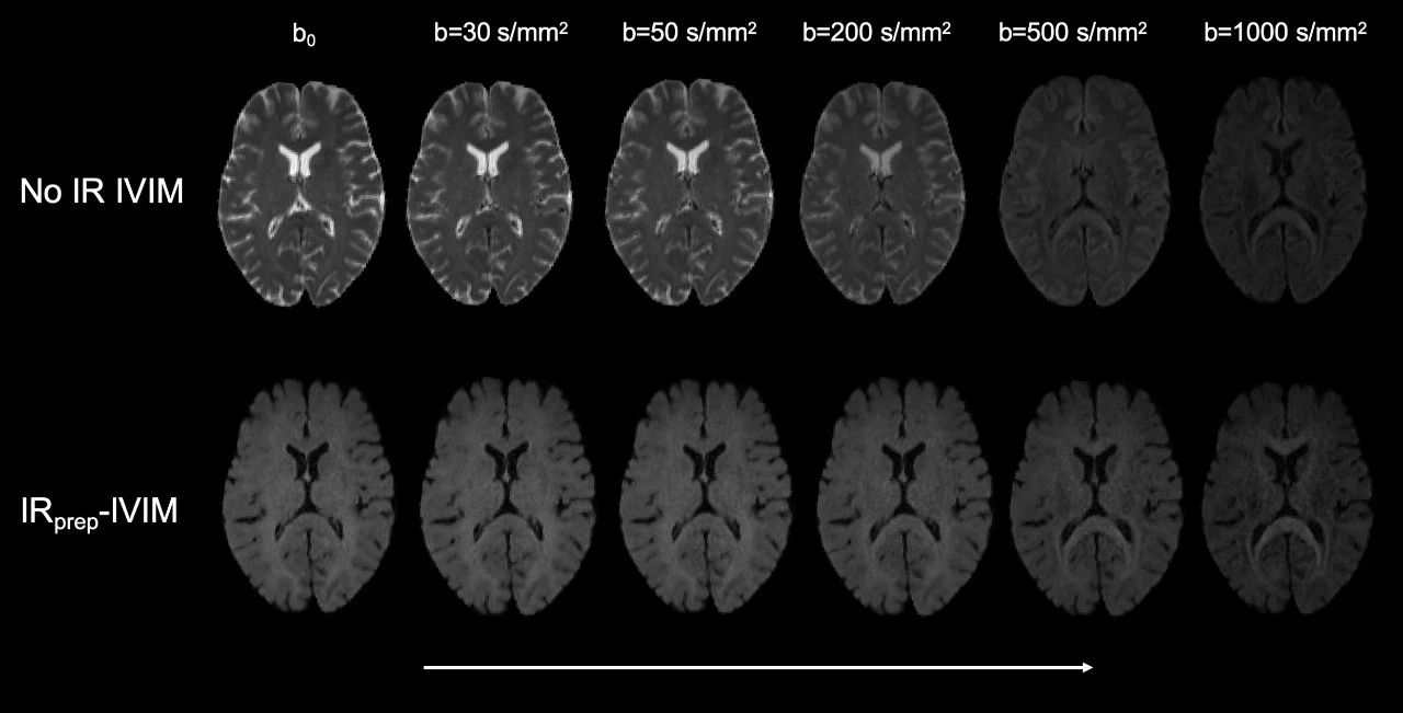
《通过反转恢复准备的IVIM MRI推进脉络丛微血管灌注估计》

Advancing Estimation of Microvascular Perfusion in the Choroid Plexus through Inversion Recovery Prepared IVIM MRI




本研究的目的是通过使用反转恢复准备的IVIM MRI技术,改进对脉络丛(CP)微血管灌注的估计。研究者使用了高分辨率的IVIM MRI技术,结合反转恢复准备,对脉络丛的微血管灌注进行了分析。结果表明,使用反转恢复准备的IVIM MRI技术可以显著提高脉络丛微血管灌注的估计准确性。讨论部分强调了该技术在区分脉络丛和脑脊液信号方面的潜力,并可能为脉络丛的血流动力学提供新的见解。结论指出,该研究提供了一种新的技术方法来探索脉络丛的血管灌注,可能对理解脉络丛在脑脊液生产和循环中的作用具有重要意义。

c55c6c6a78d000c943cc0d50995dd1b3.jpg

使用传统IVIM和IRprep-IVIM 捕获的代表性图像,b值为0、30、50、200、500和1000s/mm2。带或不带反转恢复模块的非扩散加权b0图像突显了通过反转恢复应用成功抑制CSF信号。


25


Session: AD Imaging:From Early Detection to Treatment Follow-Up

《自动化VOI分析在淀粉样蛋白PET-MRI中的应用》

Automated VOI analysis of amyloid PET-MRI



该研究旨在自动化分析淀粉样蛋白PET-MRI,以便于识别和量化大脑中的淀粉样斑块,这是阿尔茨海默病(AD)的一个关键生物标志物。研究者招募了84名受试者,使用18F-flutemetamol作为示踪剂,通过自动化软件对淀粉样PET/MRI图像进行了分析,比较了不同参考区域和体积感兴趣(VOI)与淀粉样蛋白阳性的关联。研究发现,自动化软件得出的标准化摄取值比(SUVr)与Centiloid量表有很好的相关性,尤其是在淀粉样蛋白负担较低的受试者中。讨论部分指出,参考区域的选择对于SUVr和Centiloid量表的准确性至关重要,研究结果有助于在临床实践中改进淀粉样PET成像的标准化。结论强调了自动化VOI分析在淀粉样PET-MRI中的应用潜力,以及其在AD诊断中的潜在价值。

367afe689d7232f4c74c36216edca1b4.jpg

显示了VIZCalc的轴位图像(上排)和带有体素感兴趣区域(VOIs)的表面渲染图像(下排)。病例1和3的淀粉样蛋白为阴性。病例2和4的淀粉样蛋白为阳性。

病例1,56岁男性。复合VOI的标准化摄取值比(SUVr),0.476;Centiloid量表,-11.7。

病例2,79岁男性。复合VOI的标准化摄取值比(SUVr),0.711;Centiloid量表,82.5。

病例3,56岁男性。复合VOI的标准化摄取值比(SUVr),0.517;Centiloid量表,-0.6。

病例4,49岁女性。复合VOI的标准化摄取值比(SUVr),0.905;Centiloid量表,76.4。



26


Session: AD Imaging:From Early Detection to Treatment Follow-Up

《认知正常受试者中海马内部连接性差异:有和没有阿尔茨海默病遗传风险》

Intra-Hippocampal Connectivity Differences in Cognitively Normal Subjects with and without Genetic Risk for Alzheimer’s Disease



该研究探讨了在认知上正常的受试者中,携带和不携带APOE4基因风险因素的个体在海马内部连接性方面的差异。研究者使用扩散MRI技术对受试者进行了大脑成像,并通过多壳层3D数据来解析每个体素内的多纤维取向。结果显示,APOE4携带者的海马亚区域之间连接性较低,这可能表明APOE4基因对海马结构连接性有负面影响。讨论部分指出,APOE4基因可能通过影响海马的微观结构改变,增加了阿尔茨海默病的风险。结论强调了APOE4基因在海马连接性中的作用,以及这一发现对于早期诊断和治疗策略的潜在意义。

a50db4c1518517c0d7b9cdde5478cf99.png

六个子域对的中值APOE4-和APOE4+受试者的海马子域之间的流线,其中APOE4-和APOE4+组之间的连接性差异最显着。



27


Session: AD Imaging:From Early Detection to Treatment Follow-Up

《性别特异性支链氨基酸代谢与阿尔茨海默病中大脑谷氨酸的关系:一项¹H-MRS研究》

Sex Specific metabolism of Branched Chain Amino Acids and Relation with Cerebral Glutamate in Alzheimer’s Disease: A ¹H-MRS Study



该研究探讨了分支链氨基酸(BCAA)的性别特异性代谢以及其与阿尔茨海默病中大脑谷氨酸水平的关系。研究者使用¹H-MRS技术在AD模型小鼠中进行了局部代谢谱分析,并探讨了BCAA代谢与AD病理之间的关系。结果表明,在AD小鼠中观察到BCAA代谢物的变化,这些变化与大脑谷氨酸水平相关。讨论部分指出,BCAA代谢的变化可能与AD的性别特异性病理过程有关。结论强调了BCAA代谢在AD中的潜在作用,以及¹H-MRS作为无创工具在研究这一关系中的应用价值。

d705d3757c1887530ac1ca1ffbd89d64.jpg

代表性的¹H磁共振(MR)谱图来自野生型(WT)和阿尔茨海默病(AD)雄性小鼠的海马体。

T2加权图像显示了体素的位置。在AD雄性小鼠中可以观察到BCAA+ Lip09、谷氨酸和N-乙酰天冬氨酸(NAA)信号强度的明显降低。



28


Session:Pitch:Neurodegeneration & White Matter

《检测帕金森病和前驱帕金森病患者神经黑色素积累的病理阈值》

Detecting the pathogenic threshold of neuromelanin accumulation in Parkinson’s disease and prodromal Parkinson’s disease patients



该研究旨在检测帕金森病(PD)和前驱帕金森病(prodromal PD)患者神经黑色素(NM)积累的病理阈值。研究者使用MRI技术对PD患者和健康志愿者的黑质(SN)进行了成像,以评估NM的积累,并与年龄相关的健康志愿者进行了比较。结果显示,PD患者的SN信号强度下降速度比健康志愿者快,且在前驱PD患者中观察到了类似的下降趋势。讨论部分指出,NM的积累可能与PD的发病机制有关,且MRI能够检测到NM积累的病理阈值。结论强调了NM-MRI在PD早期诊断和疾病进展监测中的潜力。

f3714a92cef29be4a2dd388a41f5dceb.png

在健康志愿者(HV,黑色)、特发性快速眼动睡眠行为障碍(iRBD,青色)患者、转化为PD的iRBD患者(橙色)、帕金森病(PD)患者(红色)中,黑质(SN)的NM-MRI信号与噪声比随时间(年)的函数变化。

尖线代表了PD和转化为iRBD组的平均发病年龄。对于这些组别,所有患者的平均发病年龄被报告出来,以研究疾病持续期而非年龄的影响。

HV = 健康志愿者,iRBD = 特发性快速眼动睡眠行为障碍,PD = 帕金森病。



29


Session:Pitch:Neurodegeneration & White Matter

《功能性MRI揭示并经C-FOS表达和脑血流测量验证的晚期帕金森病小鼠模型中的视觉缺陷》

Visual deficits in a late-stage Parkinson’s Disease mouse model revealed by functional MRI and validated by C-FOS expression and CBF measurements



该研究的目标是研究晚期帕金森病(PD)小鼠模型中的视觉缺陷,并使用功能性MRI(fMRI)进行检测,并通过C-FOS表达和脑血流(CBF)测量进行验证。研究者在晚期PD小鼠模型上进行了fMRI实验,并使用C-FOS蛋白表达和CBF测量来验证fMRI的结果。结果揭示了PD小鼠在视觉路径上的信号异常,C-FOS表达和CBF测量证实了这些神经起源的缺陷。讨论部分指出,PD患者常见的视觉能力下降可能与大脑感觉系统的损害有关。结论强调了fMRI在研究PD中视觉缺陷的潜力,并为早期生物标志物的发展提供了希望。

图片

上面板显示了一组野生型(WT,N=3)和帕金森病(PD,N=3)小鼠的脑血流(CBF)图。

下面板显示了3个研究的感兴趣区域(ROIs,即SC、VC和LGN,用洋红色标记)内的平均CBF信号。



30


Session:Pitch:Neurodegeneration & White Matter

《多发性硬化症患者皮层病变中细胞体丢失的活体证据》

In-vivo evidence for cell body loss in cortical lesions in people with multiple sclerosis



该研究提供了多发性硬化症(MS)患者皮层病变中细胞体丢失的活体证据。研究者对MS患者和健康对照组进行了高场强MRI扫描,并使用了扩散模型来分析皮层病变区域的细胞内信号。结果显示,与周围区域和正常外观的皮层相比,MS患者的皮层病变区域显示出细胞内信号分数的减少。讨论部分指出,高梯度扩散MRI有潜力在活体中检测皮层细胞体丢失,这可能对认知功能有重要影响。结论强调了高梯度扩散MRI在MS患者皮层病变评估中的应用,并可能对认知功能下降的风险评估有所帮助。

ef4a0ed274b5790d61c7b32996ae0262.png

代表性的冠状切面图像展示了多发性硬化症中皮层病变在扩散空间(A)红色对应病变核心,绿色对应内周病变层,蓝色对应外周病变层)和SANDI测量(B)的情况。信号分数范围从0到1。




31


Session:Pitch:Diffusion Imaging of Neurofluids

《使用同步相干和非相干运动成像方法测量慢流速中的呼吸运动动态》

Dynamics of Respiratory Motion in Slow Flow Measurement using Simultaneous Coherent and Incoherent Motion Imaging Method



本研究探讨了使用同步相干和非相干运动成像方法(SCMi)来测量脑脊液流动的敏感性,特别是关注了呼吸运动在脑实质中诱导的相位变化,这对于获取准确的脑脊液缓慢流动测量——一个重要的淋巴功能生物标志物——至关重要。研究使用了3T PET-MR扫描仪和32通道接收线圈,通过特定的梯度回波(GE)序列和螺旋速率(SR)进行信号传输和接收。为了模拟呼吸对脑脊液流动的影响,使用了水填充的流动体模,并泵入掺杂了NaCl和Gadovist的蒸馏水。代表性的呼吸曲线显示了三个呼吸曲线和相应的单次成像时间点。通过一般线性模型(GLM),研究者能够提取出与呼吸曲线同步的呼吸诱导相位,并发现这种相位保留了呼吸曲线的周期性。SCMi技术对呼吸诱导的相位变化具有敏感性,并且可以通过GLM属性来回归这种相位变化,这在大脑中是一个重要的发现,需要进一步的研究来验证。

717b95ac48640f29dbac5b2aecb9b597.jpg

该图显示了测量相位的时间演变与x(A-C)和z(D-F)采集在不同通气水平(自由呼吸、屏气和慢呼吸)下的呼吸信号之间的交叉相关性图。

在x(G-I)和z(J-L)采集期间,不同通气水平(自由呼吸、屏气和慢呼吸)下,测量相位的时间演变与呼吸信号在零时间滞后下的逐像素交叉相关性图。



32


Session:Neuroinflammation:Follow-Up from 2023 Clinical Focus Meeting

《COVID-19相关嗅觉丧失由炎症和髓鞘改变驱动:体素基础分析显示》

COVID-19-related anosmia is driven by inflammation and myelin alterations as shown by Voxel Based Analysis



该研究探讨了COVID-19引起的嗅觉丧失的潜在机制,特别是通过体素基础分析(Voxel Based Analysis, VBA)来研究与炎症和髓鞘变化相关的脑部结构。使用定量磁共振成像(MRI)技术,包括转移和扩散加权成像,来评估COVID-19康复患者与健康对照组之间的微观结构差异。研究发现,与健康对照组相比,COVID-19康复患者的嗅觉相关脑区存在显著的微观结构变化,包括髓鞘体积分数(MVF)和纤维体积分数(Fiber Volume Fraction, FVF)的变化。研究结果表明,COVID-19引起的嗅觉丧失可能与脑内炎症和髓鞘损伤有关,这些变化可能与长期神经功能损害有关。

e1f5c7d2403351bb5a2efffec8b74626.png

对于一个随机选择的受试者,白质定量图及其生物物理意义。

考虑的指标包括:结合池分数(Bound Pool Fraction, BPF)、g比率(g-ratio)、各向同体积分数、细胞内体积分数和T(可能指某个特定的时间或温度参数,具体含义需根据上下文确定)。




33


Session:Neuroinflammation:Follow-Up from 2023 Clinical Focus Meeting

《多参数定量MRI显示多发性硬化症中顺磁性边缘病变及其周围组织的退行性变化增强》

Multiparametric Quantitative MRI Shows Enhanced Degeneration in Paramagnetic Rim Lesions and Their Perilesional Tissue in Multiple Sclerosis



本研究使用多参数定量MRI来评估多发性硬化症(Multiple Sclerosis, MS)患者中的顺磁性边缘病变(Paramagnetic Rim Lesions, PRLs)及其周围组织的退行性变化。研究对75名MS患者进行MRI扫描,包括3D流体衰减反转恢复(FLAIR)、3D多期稳态采集(MP2RAGE)、多回波扩散成像和磁化转移(MT)成像等序列。与脑白质其他病变相比,PRLs表现出更明显的病理学改变,包括增强的脱髓鞘、神经轴突损失和铁质积累。研究结果强调了PRLs作为MS病变中可靠生物标记的重要性,并指出这些病变的早期识别对于疾病管理和治疗策略的制定至关重要。

486450f570f65310829095751db99ee3.jpg

两个FLAIR高信号病变的例子,在定量易感性映射(QSM)和解包相位图像上均显示出顺磁性信号的边缘。

缩写:FLAIR:液体衰减反转恢复;QSM:定量易感性映射。




34


Session:Striking a Cord: Neuroimaging of the Spine & Nerves

《在高采样个体中使用功能性MRI映射脊髓血管反应性和血管领域》

Mapping spinal cord vascular reactivity and vascular territories using fMRI in highly sampled individuals



本研究旨在探索使用功能性磁共振成像(fMRI)在高采样个体中绘制脊髓血管反应性(SCVR)振幅和血液动力学延迟。通过时间位移技术映射脊髓血管反应性,评估了两个高采样成人的SCVR振幅和血液动力学延迟。研究发现,通过fMRI可以在个体水平上映射SCVR振幅和血液动力学延迟,并且从单一会话中获得的数据可能足以映射SCVR。该研究展示了在脊髓灰质和白质中识别血管领域的能力,这种方法可以应用于识别与神经学状况相关的SCVR改变。

57f3b92588ce4936d3c395dfcc5ea29f.jpg

在两个高采样个体中进行脊髓血管反应性(Spinal Cord Vascular Reactivity, SCVR)延迟映射。

(A,E) SCVR延迟图(范围±10秒,以2秒为增量)。

(B,F) 校正延迟后的SCVR振幅(校正家族错误率,p<0.05)。轴位、矢状位和冠状位切片在图1和图3中保持一致。

(C,G) 仅在灰质内的SCVR延迟图。

(D,H) 基于延迟阈值的灰质区域分割。

两个区域之间的延迟差异对于受试者1和2分别约为8秒和10秒。




35


Session:Pitch:Psychosis & Mood Disorders

《明亮光疗法对亚临床抑郁中扣带回皮质动态功能连接和神经递质活动的影响》

Effects of bright light therapy on cingulate cortex dynamic functional connectivity and neurotransmitter activity in subthreshold depression



研究探讨了明亮光疗法(Bright Light Therapy, BLT)对亚临床抑郁症患者扣带回皮质动态功能连接和神经递质活动的影响。通过随机对照试验,将亚临床抑郁症患者随机分配到BLT组或安慰剂组,主要结果指标为汉密尔顿抑郁量表(HDRS)。研究结果表明BLT能够减轻抑郁症状,并改变亚临床抑郁症患者扣带回皮质的动态功能连接(dFC)变异性。BLT对扣带回皮质的dFC变异性的影响表明,治疗前的dFC变异性可以作为BLT治疗亚临床抑郁症改善的生物标志物。

7e080730250c53fbcc26021d574eb1ef.png

BLT后dFC模式及与神经递质分布图的相关性。

A: 眶额皮质背侧部分(supACC)的dFC变化模式与5HT1a、5HT2a、D1、DAT、FDOPA、GABAa、NAT、SERT和mGluR5的分布显示出显著关联。

B: 中扣带回皮质(MCC)的dFC变化与5HT1a、5HT1b、5HT2a、D1、D2、DAT、GABAa、NAT、SERT和mGluR5的分布显示出显著关联。

误差条代表平均值的参数95%置信区间。点代表每个受试者和对比度的Fisher's z转换相关系数与相应神经递质图的关联。




36


Session:Pitch:Flow, Fluid Exchange & Microvasculature in the Human Brain 

《通过CINE MR成像识别颈动脉粥样硬化斑块的构成参数》

Identification of constitutive parameters of carotid atherosclerotic plaques by CINE MR imaging



本研究提出了一种基于CINE MR成像技术的方法,用以识别颈动脉粥样硬化斑块的构成参数,这对于了解斑块的力学特性和潜在的破裂风险至关重要。研究中使用了MRI和CINE MRI技术来获取颈动脉壁的图像,并在24小时内对图像进行分割,以便进行单轴拉伸测试,从而获得斑块的应力-应变曲线。通过非线性最小二乘拟合方法,研究者们得到了斑块的构成参数,包括两个关键的常数D1和D2,这些参数能够区分不同硬度的斑块成分。研究结果表明,所提出的MR成像方法能够有效地识别颈动脉斑块的构成,为临床提供了一种新的工具,有助于更好地评估和管理动脉粥样硬化病变。

cac6893540a52baf6d3ff1268f804ca1.jpg

属性识别和单轴拉伸试验的展示。

(a) 动脉壁的拉伸比率图,(b) 用于属性识别的压力曲线,(c) 用于验证的样本条带的单轴拉伸试验。



37


Session: Imaging Blood Vessels in the Brain

《在4D流MRI中使用水珠作为Circle of Willis流模型中的静态组织》

Using water beads as static tissue in a Circle of Willis flow phantom in 4D flow MRI



本研究旨在寻找一种合适的材料来模拟Circle of Willis(Willis环)的静态组织,以便在4D流MRI中更好地评估血流动态。研究者们使用了置于钆剂掺杂溶液中的透明水珠作为静态组织模拟材料,并在4D流MRI系统中进行了测试。水珠有效地减少了运动伪影,提高了时间分辨率,并允许更精确地测量血流参数,如速度和流向。研究表明,水珠作为静态组织的模拟材料,在复杂血管模型中非常适用,未来可以进一步优化相位偏移校正技术,提高4D流MRI的准确性和可靠性。

8eb284a9e257fe2ef65be8ec6738b456.jpg

(A) 使用水珠的模型:流线可视化显示动脉瘤中的螺旋型再循环血流速度比其他血管慢。

(B) 仅使用水的模型:流线质量下降,显示较少且较短的流线,特别是在动脉瘤中尤为明显。

(C) Willis环模型的3D TOF横向视图,带水珠(左)和仅带水(右)。箭头指示了运动伪影。




38


Session: Imaging Blood Vessels in the Brain

《使用血管编码动脉自旋标记在Willis环上方实现稳健的标记》

Achieving Robust Labeling Above the Circle of Willis with Vessel-Encoded Arterial Spin Labeling


【关键词:血管、灌注、动脉自旋标记(ASL)】

本研究致力于在Willis环上方实现稳健的血管区域标记,这对于血管成像和脑部灌注研究具有重要意义。研究中采用了优化的参数和改进的编码方案(OES),通过血管编码动脉自旋标记(VEASL)技术来提高标记效率和血管分离度。通过优化的参数设置,研究者们成功实现了在Willis环上方的稳健标记,提高了血管区域分割的准确性和信噪比效率。研究结果证实,使用优化的参数和OES可以显著提高VEASL的标记效率和血管分离度,即使是在复杂的血管结构中也能进行更细致的血管区域分离,为自动寻找最优标记平面提供了有效的辅助方法。

51e37e3fbf908363f4742e11d053271c.png

(A) 结合最优设置和改进的编码方案(IUES),贝叶斯分析概率图展示了对这四个示例动脉分支的血管领域更为稳健的估计。

(B) 使用最优设置和IUES,血管领域图有效地缓解了右侧大脑中动脉(MCA)分段与左侧大脑后动脉(LPCA)之间的误分类问题。



精选文章
更多精选文章
0.087199s