- 2024-05-10 21:56:10
ISMRM 2024 Summa Cum Laude Merit Award摘要速读

2024年5月9日,第32届国际医学磁共振协会年会暨展览会(ISMRM/ISMRT)在新加坡圆满闭幕。在备受瞩目的Neuro主题中,本届ISMRM共有19篇摘要荣获Summa Cum Laude Merit Award,这一荣誉仅占5%,充分彰显了其在该领域的学术价值和影响力。


01


Session: Age-Related Changes in the Brain

在老龄人群中,使用AI模型量化神经解剖体积和白质高信号病变,以此作为大脑年龄的决定因素》

Quantitating Neuroanatomic Volumetry and White Matter Hyperintensity Lesion wrapped in AI Model in Aging Cohorts as a determinant of Brain Age



该研究运用AI模型,精确量化了神经解剖体积及白质高信号(WMH)病变,以评估老龄人群的大脑年龄。其通过综合神经解剖体积、厚度以及WMH的量化数据,并经历训练与验证流程,成功构建了一个大脑年龄预测模型。研究发现,较高的WMH负荷与大脑年龄的增长紧密相关,且大脑年龄差距(BAG)与总WMH负荷呈显著正相关。该模型还融合了右心室体积和pWH等多个参数,为预测大脑年龄提供了非侵入性的关键指标,对理解大脑健康与认知状态具有重要意义。


8cf4363db831f9e40459a615ac2d5277.png

对于(A)无WMH(PVWMH和DWMH<1.5ml)和(B)高WMH(PVWMH+DWMH>5ml)的受试者,脑部MRI确定的前十名神经解剖量依据对脑年龄估计的贡献大小进行排列重要性降序排序。此外,冠状面、矢状面和轴向MRI切片描绘了T1加权和T2-FLAIR图像上重要大脑特征的分段掩模。


02


Session: All About Choroid Plexus

《用于测量脉络丛跨屏障水交换的弛豫-交换成像(REXI)》

Relaxation-exchange imaging (REXI) for the measurement of trans-barrier water exchange in choroid plexus



本研究介绍了一种创新的成像技术—REXI,旨在精确测量脉络丛中跨屏障的水交换率,从而突破传统成像技术在评估脉络丛功能时的限制。通过调整成像参数并应用不同的造影剂,研究者仅通过9分钟的扫描便能收集到数据,用以测定多种血流动力学参数。该技术在不同年龄的老鼠大脑中进行测试,旨在探究跨屏障水交换的年龄依赖性。研究结果表明,REXI能够可靠的区分肿瘤与正常组织,为未来的研究提供了一个强有力的新工具。

bc7787e49af43591b66e964d9df9ec8f.png



03


Session: Radiomics & Imaging Biomarkers in Brain Tumors

《脑胶质瘤中的CO₂和O₂反应性》

CO₂ and O₂ reactivity in brain gliomas


该研究聚焦于脑胶质瘤中二氧化碳(CO₂)和氧气(O₂)的反应特性。采用多参数成像技术,单一的扫描过程即可测定脑肿瘤的血流动力学参数,如脑血容量(CBV)及血氧水平依赖(BOLD)信号变化。研究揭示,多参数成像图不仅可区分肿瘤与正常组织,且能为肿瘤分级和类型提供有价值的信息。该技术为脑肿瘤的诊断和治疗带来了新的视角和工具。

a1bde0e592e70053a3df1c1a2c4fdf49.png


(a)从上到下 - 来自四名诊断患者的 T1W 图像、T1W 钆增强图像、FLAIR 图像、CVR 图、vCBV 图和 BAT 图(基于 WHO 2016 年神经胶质瘤分类)。

(b)比较 CVR(左)、vCBV(中)和 BAT(右)图(N=15,误差线表示标准误差)的肿瘤和对侧 ROI 值。



04


Session: Tumors in the Brain, Head & Neck

《在胶质母细胞瘤中TTFields个性化递送肿瘤治疗场的规划工作流程中整合全脑光谱成像》

Integration of Whole Brain Spectroscopic Imaging in Planning Workflow for Personalized Delivery of TTFields in Glioblastomas



本研究通过整合全脑光谱成像(WBSI)技术,旨在优化胶质母细胞瘤(GBM)治疗计划中的肿瘤治疗场(TTFields)个性化递送。研究对20名GBM患者进行了MRI扫描和WBSI,并基于WBSI数据手动创建了替代阵列配置,以精准定位肿瘤复发区域。结果显示,与基于解剖图像的潜在不可见肿瘤相比,WBSI能更精确地检测肿瘤边缘,从而改善TTFields的递送。WBSI整合对于精准界定肿瘤边缘、制定个性化TTFields治疗计划至关重要,有望提高GBM患者的生存率。

1af2ab378a7844b15f074bd58e0efc25.png


基线磁共振成像(MRI)显示,在左侧三叉神经旁的白质和左侧顶叶切除腔的深层边缘,可能存在不可见的肿瘤,这些区域在T2-FLAIR和PC-T1上显示。与对侧正常白质(胆碱/NAA=0.24;绿色体素)相比,该区域的胆碱/NAA比率升高了2.5倍(胆碱/NAA=0.6;红色体素),代谢物比率图上的中等信号异常升高,引起对活性胶质肿瘤的怀疑。



05


Session: Tumors in the Brain, Head & Neck

《使用基于CEST的深度学习在体素水平上预测胶质瘤患者的IDH突变和MGMT甲基化状态》

Predicting IDH Mutation and MGMT Methylation Status in Glioma Patients at the Voxel Level using CEST-Based Deep Learning



本研究提出了一种基于化学交换饱和转移(CEST)的深度学习方法,旨在体素水平上精准预测胶质瘤患者的IDH突变和MGMT甲基化状态。通过对86名患者进行的3T MRI扫描的CEST实验,我们开发了一个高效的CEST深度学习模型,用于预测IDH和MGMT状态。研究结果显示,该方法相较于现有CEST预测技术,展现出更高的准确性,并通过混淆矩阵和ROC曲线进行了性能评估该方法不仅有助于胶质瘤的精确诊断,还降低了对大量训练数据的需求,并提升了预测速度,对治疗决策和患者生存率预测具有重要的临床价值。

f8dc4fd66c549330ab771f55600bf1aa.png

8名测试患者数据的预测图。肿瘤和对照区域由经验丰富的神经放射科医师勾画。

A-1和A-2代表携带IDH野生型的患者,而B-1和B-2代表携带IDH突变的患者。

C-1和C-2是没有MGMT甲基化的病人,D-1和D-2是有MGMT甲基化的病人。




06


Session: Tumors in the Brain, Head & Neck

《在预测垂体催乳素瘤药物抵抗性中应用加速定量磁共振成像》

Application of accelerated quantitative magnetic resonance imaging in predicting drug resistance in pituitary prolactinomas



研究目标是使用加速定量T2映射(GRAPPA T2 mapping)来预测垂体催乳素瘤患者对药物的抵抗性,以指导治疗。研究招募了催乳素瘤患者,并根据对多巴胺激动剂的反应分为两组:药物抵抗和药物敏感。使用GRAPPA T2 mapping技术进行成像。结果表明,定量T2值在预测药物抵抗性方面比T2信号强度有更高的敏感性,发现药物抵抗性肿瘤的T2值显著低于药物敏感性肿瘤。加速GRAPPA T2 mapping提供了有关肿瘤组成的高质量数据,并且可以作为预测多巴胺激动剂治疗反应的潜在非侵入性成像工具。

2383c812075c864cc005dca6b7f540cc.png

垂体催乳素瘤患者在接受多巴胺激动剂(DA)治疗前后,加速GRAPPA T2映射和传统MR序列的示意图。


07


Session: Diffusion Imaging of Neurofluids

《在胶质母细胞瘤中个性化递送肿瘤治疗场的规划工作流程中整合全脑光谱成像》

Exploring radial asymmetry in MR diffusion tensor imaging and its impact on the interpretation of glymphatic mechanisms



本研究深入分析了磁共振弥散张量成像(MR-DTI)中的径向不对称性,并探讨了其对脑脊液循环机制理解的影响。研究者提出了两个假设:一是MR-DTI能够揭示白质纤维束中显著的径向不对称性;二是这种不对称性(A2/A3比率)在神经退行性病变中会普遍下降,不依赖于纤维的方向性。

实验涉及78名认知功能正常的参与者与22名轻度认知障碍(MCI)患者。我们利用MR-DTI技术,重点关注白质纤维束内的A2/A3比率,并将其与认知功能(通过Rey听觉语言学习测试评估)进行了关联。结果表明,相较于健康对照组,MCI组在特定白质纤维束中A2/A3比率显著降低,暗示径向不对称性的减少可能与神经退行性病变相关。此外,A2/A3比率与认知功能下降之间存在关联。

综上所述,MR-DTI中的径向不对称性对于评估和理解脑脊液循环及相关神经退行性疾病具有重要意义。

e0baac63fa578bfe8370a28176aa01ad.png

参与者的人口统计学特征以及两个代表性受试者的FA(各向异性分数)和λ2/λ3(弥散张量特征值比率)图。

(a) 人口统计学和认知特征包括每个组的平均值(标准差)。

(b) 一名50岁女性的FA图和径向不对称性图

(d) 一名90岁女性的FA图和径向不对称性图。

这些图表明,无论是50岁还是90岁的女性,都存在径向扩散不对称性。



08


Session: Diffusion Imaging of Neurofluids

《通过从体素内非相干运动弥散张量成像派生的D*张量表征血液和脑脊液流动》

Characterizing blood and cerebrospinal fluid flow by D* tensor derived from intravoxel-incoherent-motion-diffusion-tensor-imaging



该研究通过从体素内非相干运动-弥散张量成像(ivIM-DTI)衍生的D* tensor来表征血液和脑脊液流动,旨在提供对脑生理学和病理学的更深入理解。研究介绍了ivIM-DTI技术,该技术能够敏感地检测到血液和脑脊液流动速度和方向,以及实质各向异性和微血管灌注。研究包括了健康志愿者,使用ivIM-DTI技术获取数据,并通过特定的分析方法来表征流动。结果表明D* tensor与动脉血液和脑脊液流动方向一致,其大小和各向异性与动脉和神经病理学标志中预期的流动相符。研究讨论了这些生理过程对成像的显著贡献,并指出了未来研究方向,包括在静脉中的D*评估,以及D*作为微血管结构代理的潜力。该研究证明了ivIM-DTI在评估脑积水和脑微血管疾病等情况下的潜力。

图片

一个T1加权图像的例子,其中包含一个RGB彩色编码的实质弥散D张量,该张量可视化了白质纤维束,如胼胝体和皮质脊髓束。



09


Session: Neuroinflammation Follow-Up from 2023 Clinical Focus Meeting

《进行性核上性麻痹患者体内星形胶质细胞反应性的活体评估》

In vivo assessment of astrocyte reactivity in patients with progressive supranuclear palsy



该研究旨在评估进行性核上性麻痹(PSP)患者体内星形胶质细胞的反应性。PSP是一种神经退行性疾病,与星形胶质细胞的反应性有关。研究者使用磁共振波谱(MRS)和血浆生物标志物来评估星形胶质细胞的反应性。研究包括PSP患者和健康对照组,通过tau-PET确认PSP患者的tau沉积,并使用MRS和血浆生物标志物进行评估。结果表明,PSP患者的前扣带回皮质中星形胶质细胞反应性增强,与血浆中的乳酸水平升高有关,表明星形胶质细胞与大脑能量代谢变化相关。研究讨论了星形胶质细胞在PSP病理发生中的潜在作用,并提出了星形胶质细胞反应性在PSP早期可能就已增加的假设。结论指出,星形胶质细胞的反应性可能在PSP的病理进程中起作用,这为理解PSP的病理机制提供了新的视角。

图片

MRS体素位置、示例谱图以及使用18F-florbetapir的代表性tau PET图像。



10


Session: Pitch Glymphatic System What's New

《神经元活动可以通过脑血容量驱动脑脊液流量》

Neuronal activity can drive cerebrospinal fluid flux via brain blood volume



本研究探讨了神经元活动如何通过脑血容量驱动脑脊液流量,提出了一个假设,即脑内局部脑血容量的变化可以代表脑脊液的流入和流出。研究者使用了多模态磁共振成像(MRI)技术,结合脑电图(EEG)数据,来测量和分析脑脊液的动态变化。通过比较脑脊液流量和脑血容量的变化,研究者能够观察到它们之间的相互作用。实验结果显示,在神经元活动增加期间,脑血容量的增加与脑脊液流量的减少有关,这表明神经元活动可以通过影响脑血容量来调节脑脊液的流动。研究讨论了神经元活动和脑脊液流动之间的关系,以及这种调节机制如何可能影响脑部健康和疾病。研究者提出,这种机制可能有助于清除大脑中的废物,对理解神经系统疾病的发展具有重要意义。结论强调了神经元活动在调节脑脊液流动中的作用,以及这一过程对维持大脑健康的重要性。

6084e2f505075e130d84769d21fbd312.png

高碳酸血症诱发的双向灰质 CBF 变化、gGM-BOLD 和 CSF 信号。

 (A)实验设计。

( B ) pCASL 扫描定位。

( C ) 全脑 CBF 图和提取的 gGM CBF 受试者平均时程。CO₂应用周期以紫色进行颜色编码。

( D ) 受试者平均 gGM-BOLD 和 CSF 信号的时间进程。



11


Session: Pitch Neurodegeneration & White Matter

《疲劳、嗅觉和认知功能:多模态MRI能解释长期COVID综合征》

Fatigue, smell and cognitive functions: multimodal MRI can explain the long-COVID syndrome



该研究旨在探讨长期COVID综合征(长COVID)的潜在生物学机制,特别是疲劳、嗅觉和认知功能障碍。研究者使用多模态MRI技术对长COVID患者进行了评估,结合临床评分,分析了MRI指标与症状之间的相关性。结果显示,特定的MRI指标与疲劳评分的恶化有关,这强调了多模态MRI在临床上评估长COVID症状的潜力。研究讨论了多模态MRI在揭示长COVID综合征潜在机制方面的价值,并提出了未来的研究方向,包括对脑白质完整性、慢性炎症和神经退行性变化的参数进行敏感性分析。结论指出,多模态MRI可以为长COVID综合征的临床评估提供重要信息,并有助于开发更有效的治疗策略。

2efa4ea121f5cc0fcf4c3a407a4be288.png

定量 MRI 图和描述性分析。从多模态 MRI 协议获得的所有定量图的概述,与代表受试者平均值分布的箱线图相关。

BPF =结合池分数;MTV = 大分子组织体积,T2b = 结合质子的 T2;QSM = 定量磁化率绘图;χ neg = 负敏感性;χ pos = 正敏感性;NDI = 神经突密度指数;VFiso = 各向同性体积分数;ODI = 取向分散指数;MD = 平均扩散率;FA = 分数各向异性。



12


Session: Pitch Neurodegeneration & White Matter

多发性硬化症中的神经元和脑血管对经颅直流电刺激的反应:一项同步tDCS-MRI研究

Neuronal and Cerebrovascular Response to tDCS in Multiple Sclerosis: A Simultaneous tDCS-MRI Study



本研究旨在评估经颅直流电刺激(tDCS)对多发性硬化症(MS)患者神经元和脑血管反应的影响。研究者对20名MS患者进行了tDCS治疗,并在治疗前、治疗中和治疗后使用MRI技术测量了脑部的代谢和血流变化。在tDCS治疗期间,观察到脑代谢率的显著增加,表明tDCS可以立即增加神经元活动和脑血流量。研究讨论了tDCS对MS患者脑部的即时和累积效应,以及这些效应如何可能对MS和其他神经退行性疾病的治疗产生影响。结论强调了tDCS作为一种潜在的神经可塑性促进工具,对MS患者可能具有治疗潜力,并为未来的临床应用提供了科学依据。

c9ff26ae4f8ad4fb94c597ef5c60e7e5.jpg

(A) 用于放置相位对比(PC)磁共振成像(MRI)成像切片的飞行时间(TOF)血管造影参考框架。

(B) PC-MRI的幅度和相位图像输出,用于绘制感兴趣区域(ROIs):双侧颈内动脉(LICA, RICA)和双侧椎动脉(LVA, RVA)。

(C) T2-自旋标记下的松弛(TRUST)序列设置(左)和获得的标记和控制幅度图像(右)。

(D) 用于估计相应静脉血液氧合(Yv)的T2信号校准相关曲线。



13


Session: Imaging CSF Dynamics & Neurofluid Coupling

《定量相位对比脑脊液流动与皮层BOLD交替进行,通过BOLD-CSF耦合测量胶质淋巴功能》

Quantitative phase-contrast CSF-flow interleaved with cortical BOLD to measure glymphatic function via BOLD-CSF coupling



该研究旨在通过定量相位对比脑脊液(CSF)流动与皮层血氧水平依赖(BOLD)信号的交替,来测量通过BOLD-CSF耦合的胶质淋巴功能。研究基于CSF在第四脑室的流入是胶质淋巴系统功能的关键指标。研究者使用了实时相位对比(rtPC)和BOLD成像技术,通过在第四脑室和皮层交替放置扫描序列,同时在呼吸和视觉刺激范式下进行测量。实验结果显示,与单独的BOLD成像相比,rtPC/BOLD提供了更准确的CSF流动特征化,显示出更一致的CSF-BOLD耦合,这有助于量化CSF流动周期和比较不同的BOLD-CSF测量方法。研究讨论了rtPC/BOLD在测量CSF流动方面的优越性,尤其是在心脏驱动的流动测量中,以及如何克服了传统BOLD成像中的局限性,以反映BOLD和CSF在流入和流出动态中的信号对应关系。结论强调了通过BOLD-CSF耦合测量胶质淋巴功能的潜力,以及该技术在理解脑功能和疾病中的潜在应用。

89613f546e561cba522199cc630a3f9b.png

序列图、时间安排和实验设置的示意图。

实验1使用了交错的实时相位对比(rtPC,浅蓝色)和流入敏感的EPI序列(深绿色),以比较第四脑室水平的脑脊液(CSF)测量。

实验2-4同时使用了交错的rtPC和皮层BOLD以及流入敏感的EPI和皮层BOLD采集,以测量在控制呼吸和视觉刺激范式期间的BOLD-CSF耦合。

选择梯度回波rtPC而不是EPI读出,以最小化来自SENSE和部分傅里叶因子的混叠伪影。



14


Session: Imaging CSF Dynamics & Neurofluid Coupling

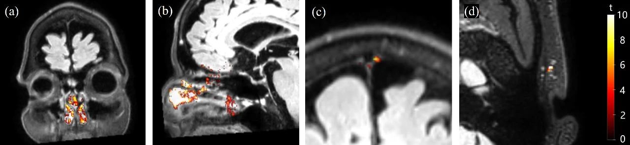
《健康受试者中静脉注射钆基对比剂(GBCA)在人类嗅觉区域的分布》

Distribution of intravenous Gadolinium-based contrast agents (GBCA) in human olfactory regions in healthy subjects



该研究探讨了静脉注射钆基对比剂(GBCA)在健康受试者嗅觉区域的分布,基于动物研究显示嗅觉途径是脑脊液清除的主要途径。研究者对25名健康受试者进行了MR信号敏感性对比剂增强的CSF空间MRI检查,以测量静脉注射GBCA后的信号变化。结果显示,静脉注射GBCA后,在嗅觉区域检测到显著的MR信号变化,其中颅外区域比颅内区域显示出更显著的GBCA诱导变化。研究讨论了在研究GBCA分布时考虑颅内和颅外/外周途径的重要性,特别是在嗅觉途径中,以及如何通过嗅觉途径研究GBCA随时间的清除。结论指出,通过嗅觉途径研究GBCA的分布和清除对于理解脑脊液清除机制具有重要意义。

85bfdbcf9624562a69b5e07797db86d1.jpg

代表性的体素图显示了一名受试者在cDSC MRI中由GBCA诱导的显著信号变化。

显著体素的t分数被叠加在GBCA后FLAIR图像的嗅觉区域(a,b)、副矢状硬脑膜(c)和淋巴结(d)上。




15


Session: Imaging CSF Dynamics & Neurofluid Coupling

《使用实时相位对比MRI研究自由呼吸期间的脑脊液振荡和导水管压力梯度》

Using Real Time Phase contrast MRI to investigate CSF oscillations and aqueductal pressure gradients during free breathing



本研究的目的是通过结合MRI解剖成像和实时相位对比MRI来量化自由呼吸期间的脑脊液(CSF)振荡和导水管压力梯度。研究者使用临床3T扫描仪和32通道头部线圈,对年龄在19至35岁之间的健康志愿者进行了检查,使用实时快速场回波(rtFFE)序列来成像导水管。结果表明,CSF在导水管中的流动与心脏和呼吸驱动的流量有关,研究者能够通过后处理分析得到连续的CSF流量,并计算出心脏和呼吸引起的压力差。研究讨论了使用非标准方程式来测量CSF流动的潜在优势,以及呼吸引起的压力变化可能具有的显著临床潜力。结论强调了通过实时相位对比MRI测量CSF振荡和压力梯度的能力,以及这种技术在理解CSF动力学和相关疾病中的价值。

ff32c5d13951d77cd46da7fd8d6f702f.jpg

A) 快速场回波(BFFE)形态学图像及相关参数。

B) 用于量化脑导水管阻力的后处理。空间分辨率增强、自动图像二值化和掩模包含。

C) 软件自动对导水管进行有限元分析,以求出每个元素的阻力。然后选择总阻力的95%作为终点。提取了如阻力、平均直径和长度等参数。



16


Session: Psychosis & Mood Disorders

《重度抑郁症中自杀思想和行为的脑连接组学和转录组特征》

Brain connectomic and transcriptional signatures of suicidal thoughts and behaviors in major depressive disorder



该研究旨在识别与重度抑郁症(MDD)患者自杀思想和行为相关的大脑结构网络缺陷,并确定相关的转录组特征。研究基于超过700名个体的多中心MDD数据,分析了自杀思想和行为(STB)患者的大脑结构网络,并使用表达数量性状位点(eQTL)分析来研究基因表达。研究发现与STB相关的大脑结构网络变化主要分布在额叶、边缘和颞叶区域。STB相关的网络变化与大脑区域的代谢和细胞大分子的代谢过程有关。讨论部分指出,这些趋势揭示了潜在的生物学机制,并可能成为预测和预防STB的标记。结论强调了这些发现对于理解自杀行为的神经生物学基础具有重要意义,并可能为临床生物标志物的开发提供新见解。


079f80e559c406d07d77c19c4010edb3.jpg

不同MDD-STB(有短暂性脑血流障碍的重性抑郁障碍患者)、MDD-nSTB(无短暂性脑血流障碍的重性抑郁障碍患者)和健康对照组(HC)之间的网络拓扑差异。

(A) 方差分析(ANOVA)的拓扑度量F-maps(特征图谱)。

(B) 在事后成对比较中显示出显著拓扑差异的区域。非显著区域以绿色显示。蓝色球体表示显著降低(即,MDD-nSTB < HC;MDD-STB < HC;MDD-STB < MDD-nSTB),红色球体表示显著增加(即MDD-nSTB > HC;MDD-STB > HC;MDD-STB > MDD-nSTB)




17


Session: Psychosis & Mood Disorders

《未经药物治疗的首发重度抑郁症患者丘脑和基底神经节认知相关连接组梯度功能障碍》

Cognition-related connectome gradient dysfunctions of thalamus and basal ganglia in drug-naïve first-episode major depressive disorder



该研究探讨了未经药物治疗的首发重度抑郁症患者的认知相关丘脑和基底神经节网络梯度功能障碍。研究者使用功能性梯度映射,这是一种新方法,通过捕捉功能连接模式来描绘大脑的空间组织。结果显示,与健康对照组相比,MDD患者在丘脑和基底神经节的梯度值较低,这与认知功能障碍有关。讨论部分指出,多尺度亚皮层梯度的变化可以增强我们对MDD中亚皮层功能层次扰动的理解,并可能为认知障碍提供有用的临床生物标志物。结论强调了亚皮层梯度功能障碍在MDD中的作用,这可能有助于开发新的神经生物标志物。


1d0dcad728679629582cc6a2b1952492.jpg

皮层下功能亚区的主要梯度变化。在边缘系统(A)、丘脑(B)和基底神经节(C)系统中,MDD患者与健康对照组(HCs)的功能亚区比较。

每个面板的左侧显示了分割掩模、亚区级空间组织图和组间差异。中间部分显示了每个功能亚区梯度值的密度图。

右侧显示了组间差异的条形图,其误差条表示标准差。表示经过FDR校正后P<0.05。




18


Session: Imaging Blood Vessels in the Brain

《用于测量单血管血流和直径的定量2D时间飞行(qTOF)MR血管造影技术》

A quantitative 2D time-of-flight (qTOF) MR angiography technique for measuring single-vessel blood flow and diameter



该研究旨在开发一种定量的2D时间飞行(qTOF)磁共振血管造影技术,用于测量单个血管的血流和直径。研究者使用qTOF框架测量血管的到达时间和速度,并计算了相对误差。研究结果表明,qTOF技术在测量血流速度方面与相位对比MRI(PC-MRI)相当,并能够测量健康志愿者的血管直径。讨论部分指出,qTOF技术能够提供对单个血管血流和大小的洞察,并在响应大脑活动变化时具有潜在的临床应用价值。结论强调了qTOF技术在测量单个血管血流和直径方面的潜力,这可能有助于更好地理解大脑活动。


30f30df22391d9557e6b2272179e25c1.jpg

所有实验均在一台3T PET-MR(正电子发射断层成像-磁共振成像)扫描仪上进行,该扫描仪配备了一个32通道线圈。A-1): 使用3D打印材料制成的水填充流动体模,以及两组狭窄管道(直径分别为760和280毫米)。将蒸馏水(掺杂了氯化钠和加多维司特)泵入管道中以模拟血流。虚线指示A-2)中TOF(时间飞行)图像的切片位置。B-1): 体内TOF扫描的切片位置。B-2) 分析了两条脑内血管。C) TOF和PC(相位对比)MRI(磁共振成像)采集参数的表格。



19


Session: Imaging Blood Vessels in the Brain

《利用7T USPIO-MRI在体绘制人大脑皮层内血管和层特异性Δχ及ΔR2变化》

In vivo mapping of the intra-cortical vasculature and layer-specific changes in Δχ and ΔR2 of human cerebral cortex using USPIO-MRI at 7T*



该研究介绍了一种利用超顺磁性氧化铁颗粒(USPIO)增强的7T磁共振成像(MRI)技术,用于体内绘制人类大脑皮层内血管分布和特定皮层的变化。研究者对6名健康志愿者进行了7T MRI扫描,通过分析SWI(易感性加权成像)数据来评估皮层内血管结构,并排除了主要血管以专注于皮层内微血管。结果表明,与脑脊液(CSF)邻近的表层可能具有更高的毛细血管密度。讨论部分指出,该技术提供了对皮层内微血管结构的详细描述,并且对于理解血管密度对BOLD(血氧水平依赖)信号的影响至关重要。结论强调了该技术在评估皮层微血管密度分布方面的潜力,并可能为研究大脑功能提供新的见解。

e89df1794797d9ac5bda1ae0351b8a98.jpg

A)代表性的高分辨率SWI(磁敏感加权成像)图像,上面覆盖了皮层灰质的掩模。这些图像被用于重建下面显示的整个大脑皮层的3D渲染的皮层血管。

B)C)SWI图像上皮层内血管的代表性图像。预对比(0mg/kg)SWI仅显示了皮层静脉和皮层内静脉,而对比后(3mg/kg)SWI既显示了皮层内动脉和静脉,允许在两组图像中对两者进行部分区分。



精选文章
更多精选文章
0.088586s