神经影像 - 2025-10-15 16:17:20
超急性期脑梗死:慧眼识病的四个 “独门绝技”

依据时间划分,脑梗死可分为超急性期、急性期、亚急性期以及慢性期。

在发病后的 3 - 6 小时内,约 40% 的梗死灶在CT图像上难以察觉;而当CT上出现明确低密度灶时,往往意味着已不可逆(发病时长>6 小时)。

我们整理一下早期脑梗死的几个征象供大家学习

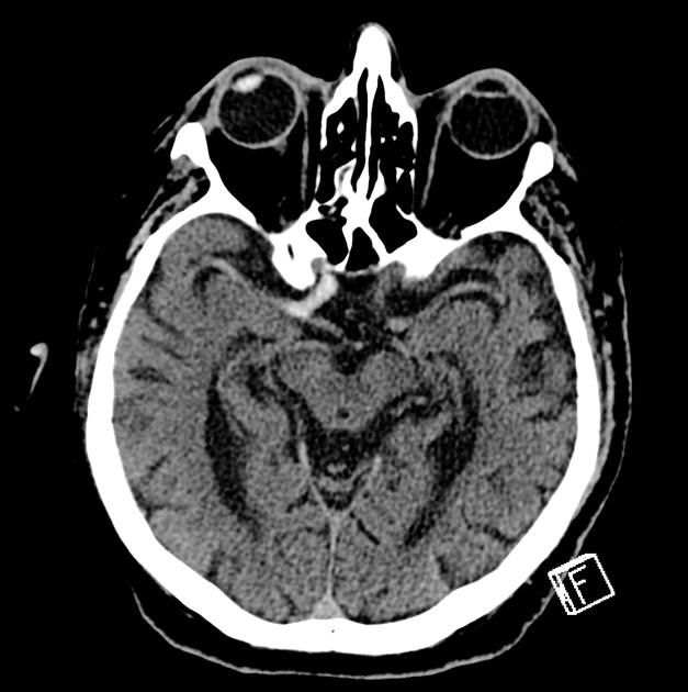
脑动脉高密度征(动脉致密征)

此征象出现时间最早(高级考点),发病1小时内就可出现。其表现为病变同侧M1段呈现条状高密度影,M2或M3处出现点状高密度点。不过,该征象的出现概率较低,容易发生漏诊情况。为进一步确认,可借助 CTA 来证实相应动脉是否闭塞。

1429a9ceb25926e3fb04897a2f7c3221.jpgd0b2fc2af660f41ec7fc976141078e9a.jpg


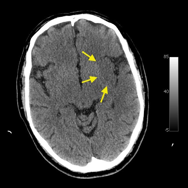
局部脑沟变浅与灰白质分界模糊

在脑梗死超急性期,患侧常出现脑肿胀,进而致使脑沟变浅。需要注意的是,不同年龄段患者的脑沟深浅存在差异,因此在判别时,对比两侧的对称性更具重要意义。阅片时,有个小技巧,适当调窄窗位和窗宽,能提高组织密度对比度,有助于更清晰地观察灰白质分界。

16879b990934da30dadfff2ec2b1966c.png


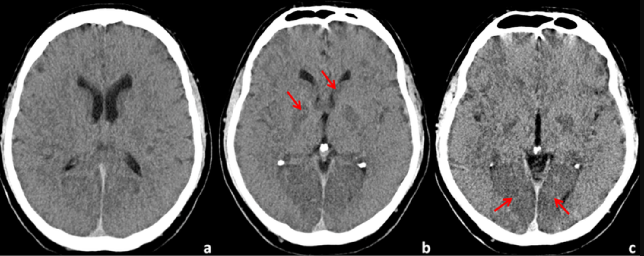
豆状核模糊

正常状态下,通过 CT 能够清晰观察到三角形状的豆状核,以及其内侧的内囊膝部、前后支,外侧低密度的外囊和岛叶皮层。然而,一旦发生脑梗死,豆状核边缘会变得模糊,内外囊与豆状核的分界不再清晰,岛叶皮层也可能出现肿胀的低密度影。 

939dd6ea68d71136f1738b7d4d0a9bac.png


岛叶带征(岛带征)

正常情况下,岛叶皮层的灰质与白质界限清晰。当岛叶皮层发生急性脑梗死时,CT 图像上会出现带状低密度影,这便是所谓的岛叶带征。

ac570795e541ebd8349a9a924dcf1586.jpg

精选文章
更多精选文章