神经影像 - 2019-12-31 09:35:29
脑疝的类型、影像学特点及诊断

脑疝是脑组织从正常位置移位至邻近间隙的危急病症,需迅速诊断和处理,放射科医生需熟悉各类脑疝的影像特征以确保准确诊断。

脑疝根据其位置分为颅内和颅外疝。

分类

  • 颅内脑疝:包括大脑镰下疝、小脑幕裂孔疝(上升/下降[外侧/中央])、小脑扁桃体疝。

  • 颅外脑疝:较少见。主要见于非闭合性颅脑外伤或去骨瓣的手术后。

临床意义:脑疝可导致颅脑损伤,压迫颅神经及血管,引发出血、缺血,或阻塞脑脊液循环导致脑积水。不同类型脑疝伴随特定神经系统症状,了解临床表现有助于针对性影像分析。容易导致意识障碍的,主要是小脑幕疝和小脑扁桃体疝,均可对脑干组织进行直接压迫,或者影响局部血供,引起继发缺血。

诊断建议
  • 综合分析患者病史及临床检查结果。

  • 熟悉解剖标志。

  • 识别直接占位效应。

  • 确认移位脑组织结构。

  • 检出间接影像学表现。

  • 评估可能的并发症(如脑出血、脑积水)。

146b57c2ca68f8d07a1f298aacb244ad.jpg

a692c23811e93e7a671756c9dcef903b.jpg不同类型的脑疝图解: Extracranial hernia=脑外疝。Subfalcine hernia=大脑镰下疝。小脑幕疝,包括:DTH=下行小脑幕疝(Central DTH=中央疝;Lateral DTH=侧疝);ATH=上行小脑幕疝。Tonsillar hernia=小脑扁桃体疝。

诊断的六个关注点

73ceab33e6d38ad2f65d05312d947a86.jpg

1. 临床信息(绿色圆圈)  

内容:收集患者病史(如头部外伤、肿瘤、脑水肿病因)及神经系统综合征(如意识障碍、瞳孔不对称、偏瘫)。  

意义:临床症状提示脑疝类型(如小脑扁桃体疝常伴枕部头痛、呕吐)。  

应用:结合CT/MRI,关注与症状相关的脑区异常。

2. 解剖标志(草绿色圆圈)  

内容:熟悉关键解剖结构,如大脑镰(中线移位)、透明隔、枕骨大孔(小脑扁桃体疝)、小脑幕(幕上/幕下压迫)。  

意义:异常解剖标志是脑疝的直接证据(如中线移位>5mm提示大脑镰下疝)。  

应用:CT快速识别中线移位;MRI清晰显示枕骨大孔受压。

3. 占位效应的方向(暖黄色圆圈)  

内容:分析病变(如血肿、肿瘤)的位置及力矢量(如幕上病变向下推挤)。  

意义:力矢量决定脑组织移位方向,提示脑疝类型(如幕上占位导致小脑幕裂孔疝)。  

应用:CT显示占位病灶位置;MRI进一步评估受压脑组织的微小变化。

4. 移位的结构(红色圆圈)  

内容:明确移位脑组织,如幕上(扣带回、钩回)或幕下(小脑扁桃体)。  

意义:移位结构决定脑疝分类及临床表现(如钩回疝压迫动眼神经)。  

应用:CT/MRI识别具体移位区域,MRI对软组织分辨更优。

5. 间接征象(其他受累结构)(紫色圆圈)  

内容:检查脑池消失、脑干受压、脑室变形等间接表现。  

意义:间接征象反映脑疝的严重程度(如脑池消失提示颅内压增高)。  

应用:CT快速发现脑池受压;MRI显示脑干细微变形。

6. 脑室脑疝相关的并发症(蓝色圆圈)  

内容:评估脑积水、卒中(大脑前/后动脉、小脑后下动脉梗塞)、颅神经综合征(如动眼神经麻痹)。  

意义:并发症影响预后,需紧急干预(如脑室引流治疗脑积水)。  

应用:CT检测脑积水和出血;MRI敏感显示早期缺血。

80a59829ecd8d3e34cd8b153c609ffcc.jpg

大脑镰与小脑幕的解剖示意图:Falx cerebri(大脑镰)、Incisura(切迹)、Tentorium cerebelli(小脑幕)

8661e4013eed444f2a047a191a475a2a.jpeg

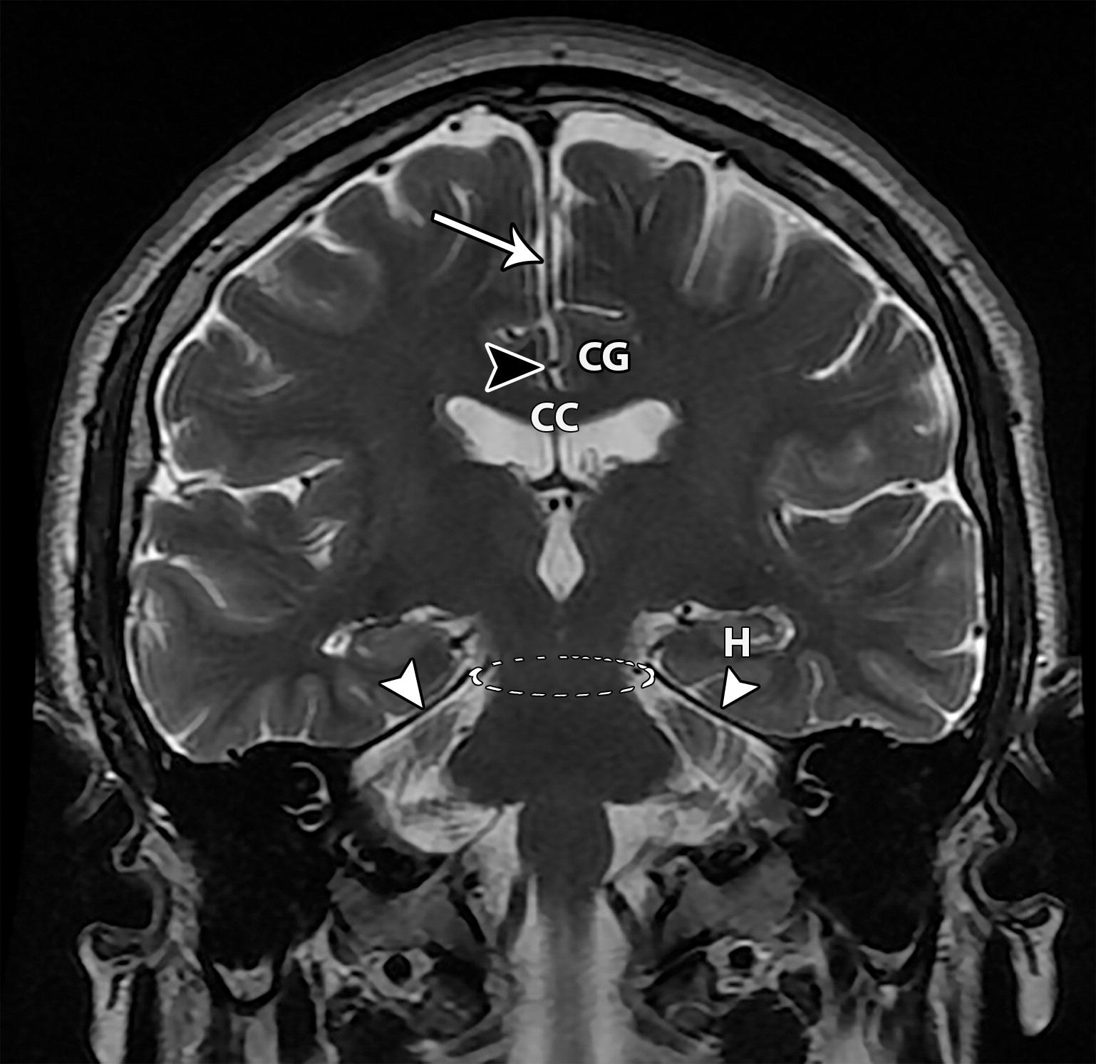
位于大脑半球裂之间的大脑镰(白色长箭头),小脑幕(白色短箭头),小脑幕切迹(点状卵圆形圈出的结构),胼胝体(CC),扣带回(CG),海马(H),胼胝体周围沟及胼周动脉(黑色短箭头)。

169690e0c66d9650f05be6cd7ce5d1fb.jpeg

枕大池(CM),脚间池(IPC),延髓池(MC),脑桥池(PC),四叠体池(QC),小脑上池(SCC),胼胝体(CC),扣带回(cingulate gyrus),斜坡(*),脑干组成:中脑(Mb),脑桥(P),延髓(M)。

338eacde522c534fcbe30a562cfb64f4.jpeg

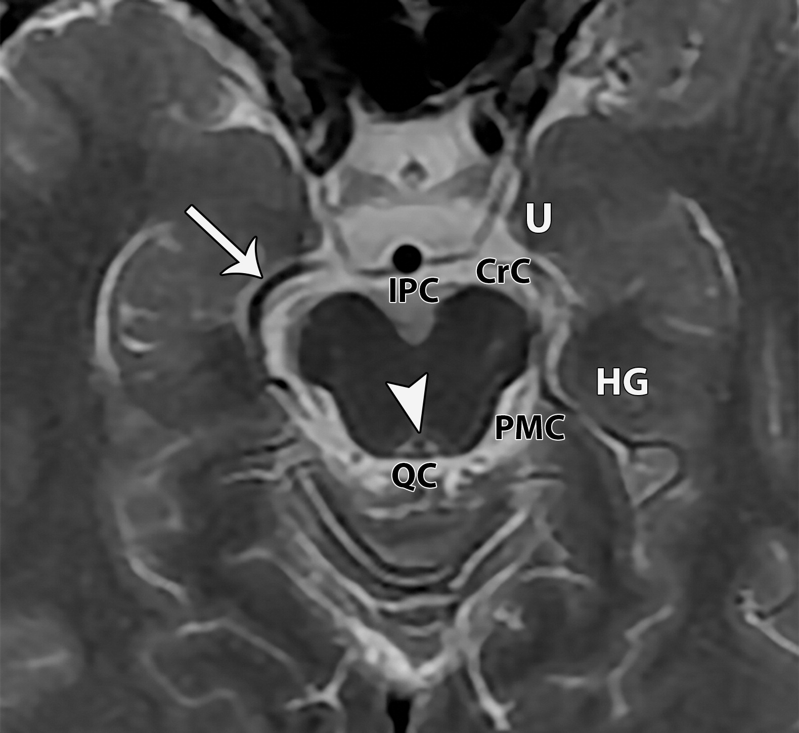
中脑导水管(白色短箭头),大脑后动脉(白色长箭头),大脑脚池(CrC),海马回(HG),大脑脚间池(IPC),中脑周围池(PMC),四叠体池(QC),钩回(U)。

2a4f468a04150c279dbe4187672a609d.jpeg

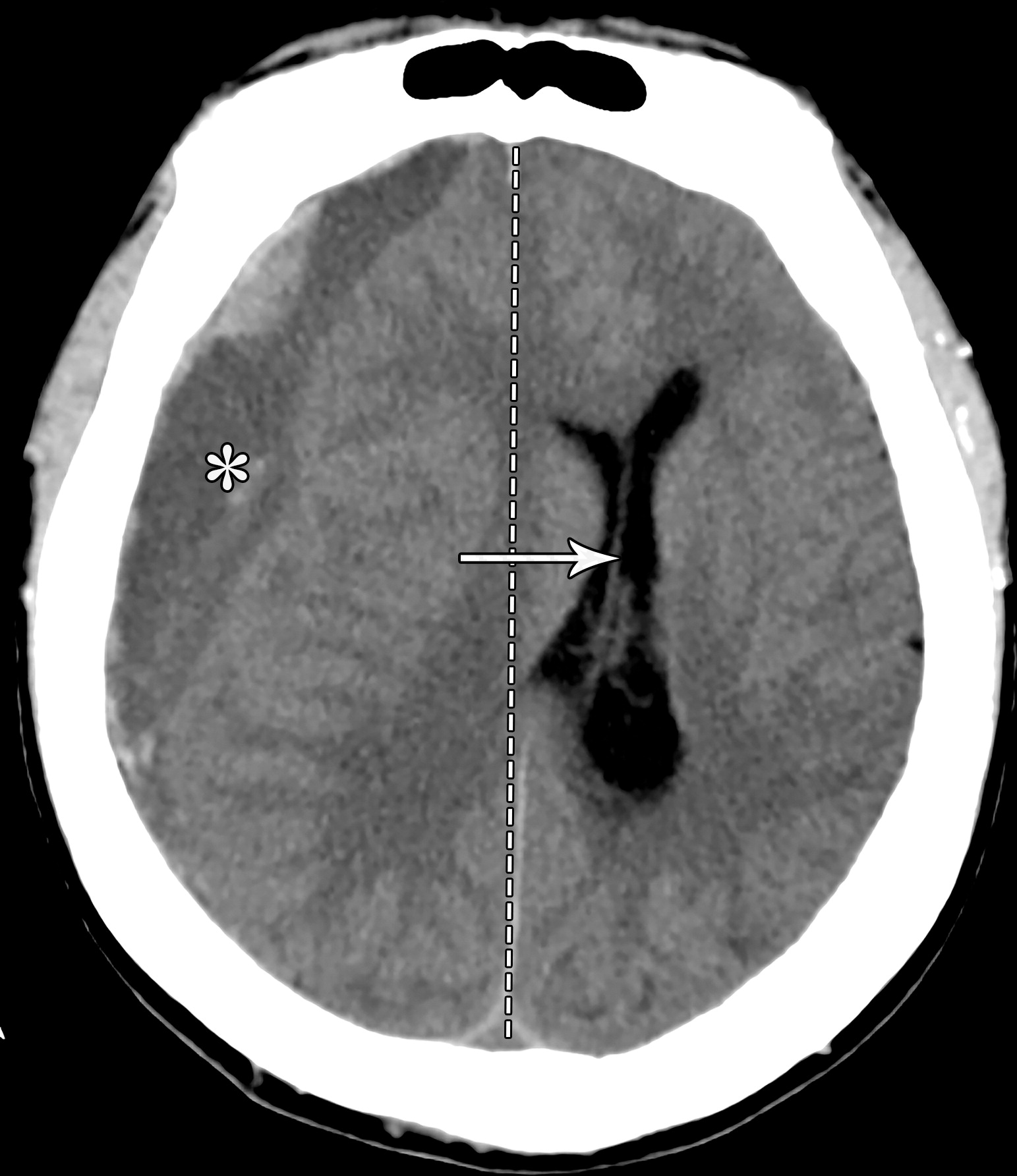
大脑镰下疝。平扫轴位CT示:右侧硬膜下血肿(*)伴混合密度影,表明处于不同时期的血液,血肿推挤使透明隔相对于中线(白色虚线)向左侧移位(白色长箭头)。右侧侧脑室受压,但是左侧侧脑室扩张。

e10b81f69aecfde7ed5f5612478dbcdc.jpeg

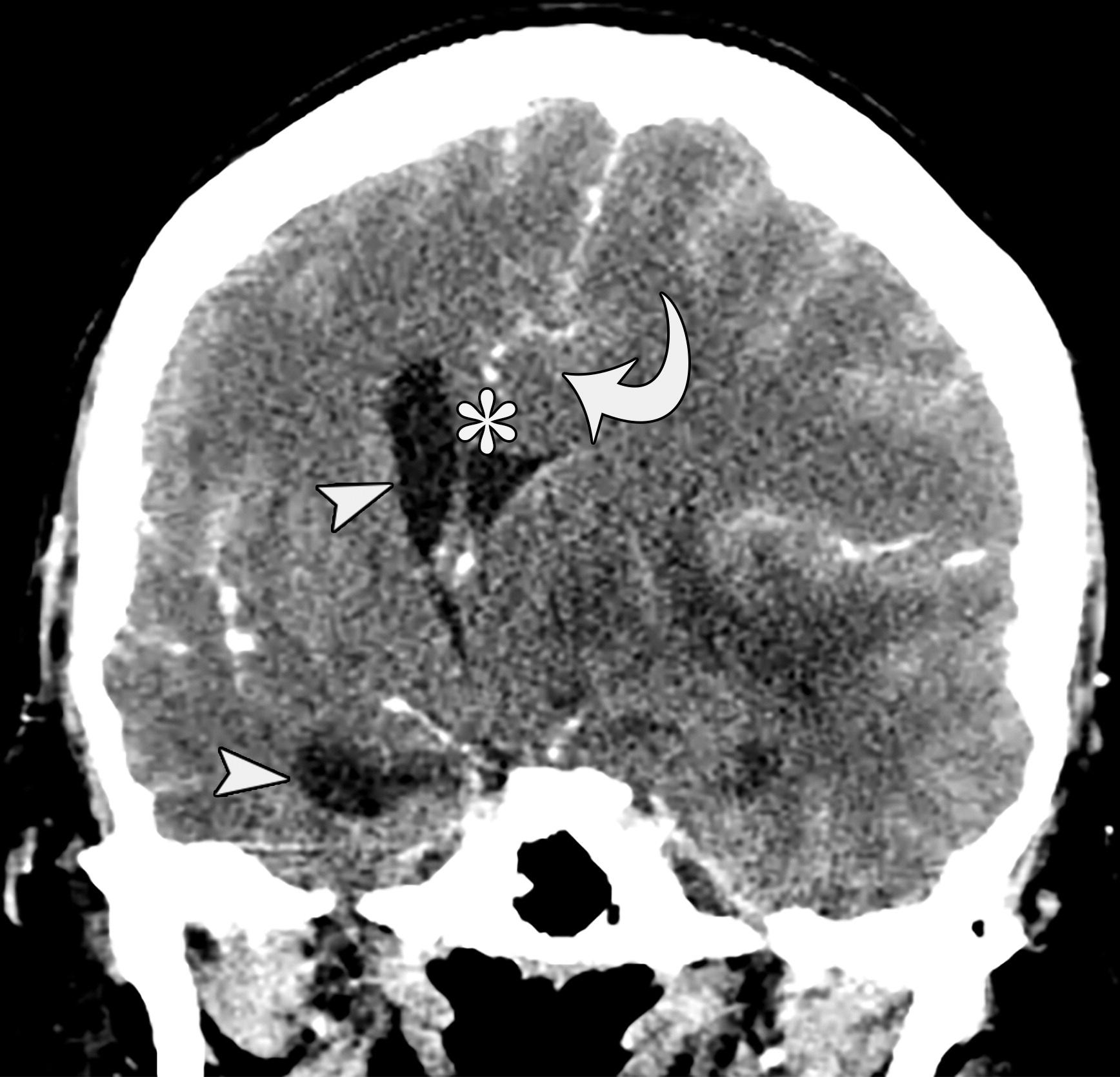
33岁男性,生殖细胞肿瘤脑转移患者的大脑镰下疝:冠状增强CT示大脑穹隆游离缘下方的扣带回从左向右疝入(白色弯箭头),并伴同侧胼胝体(*)的下侧移位,注意同侧脑室受压和对侧脑室的扩张(白色箭头)。

b970e936c5e18c5c1ffcf84ad6aaa810.jpeg

分房性硬膜下血肿及大脑镰下疝。左侧额叶挤压大脑镰(白色短箭头),以及蛛网膜下腔的消失。同时需要注意室间孔略向右侧移位(白色长箭头)。

17496552da14d75da4e50ca41aa734cc.jpg

由于大脑镰下疝,胼周动脉(白色长箭头)挤压至大脑镰。

efea1e52634ae161c2a373b06cffd36e.jpeg

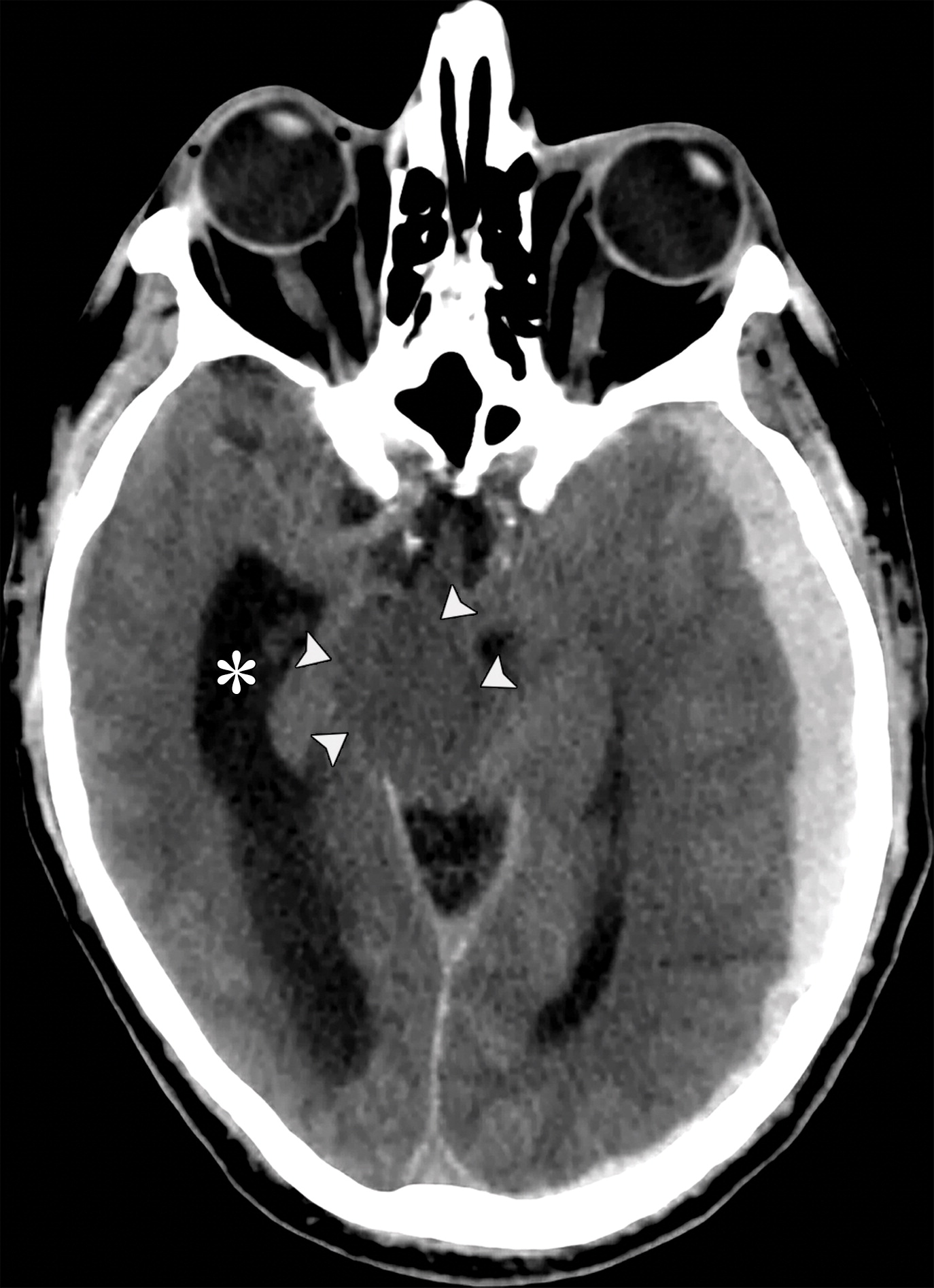
下降性小脑幕裂孔疝。左侧基底池增宽(白色长箭头),右侧基底池消失(白色虚线),右侧侧脑室的颞角扩张(*)。

cb72654f931b7e103fe4a14d193b2b5a.jpeg

下降性小脑幕裂孔疝。中脑受压,旋转,变长(白色短箭头)。中脑周围池完全闭塞。注意对侧侧脑室的增宽(*)。

cbe1ef133c421383c74d5ed9defc43e3.jpeg

26岁男性,终末期肾病血液透析后硬膜下血肿,右侧瞳孔扩张,对光反射消失。钩回向下跨越小脑幕切迹(白色弯曲箭头),同侧的中脑周围池增宽(白色双箭头),对侧中脑周围池受压。注意对侧侧脑室的颞角增宽(*)。

7fc5fed79858f9b47f5b45469c50c241.jpg

横向下降性小脑幕裂孔疝的示意图,伴大脑后动脉受压(白色短箭头),动眼神经受压(黑色短箭头),注意同侧瞳孔扩张(黑色长箭头),对侧侧脑室颞角扩张(*)。

35092bcf5effd8e2414c408677ab3fb1.jpeg

下降性小脑幕裂孔疝。64岁男性,缺血性心脏病病史,由于卒中出现突发的神经系统恶化。继发于脑水肿的下降性小脑幕裂孔疝。在中脑水平的轴位平扫CT示中脑向左移位及旋转(白色弯曲箭头),四叠板向左侧移位(白色短箭头),中脑周围池的闭塞。以及左侧侧脑室的扩张(*)

5a88f8d4faf9bc5cae49b5fc5c09b01a.jpeg

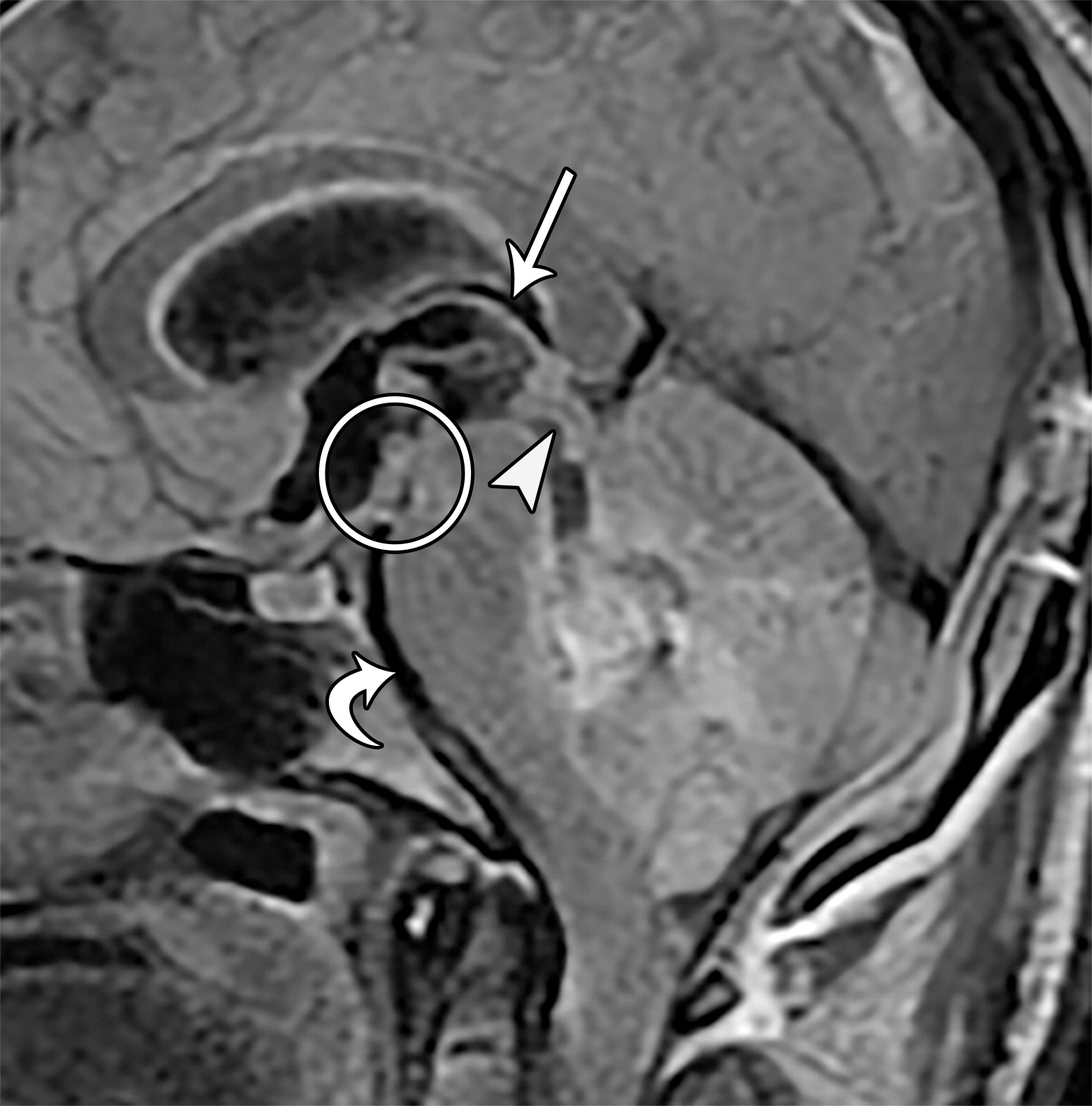
上升性小脑幕裂孔疝。26岁男性,切除髓母细胞瘤后。四叠体池,小脑上池,大脑脚间池的闭塞。下丘(白色短箭头)折叠于上丘的下方,且上丘及下丘两个结构均向上移位。脑干向前移位,导致脑桥池及延髓池间隙变窄(白色弯曲箭头),注意第三脑室顶的向上移位(白色长箭头),乳头体及灰结节向前移位并与中脑紧密相连(白色圆圈)。

4ba8451213c1f99e2e61ef93acd5cfd9.jpeg上升性小脑幕裂孔疝,33岁男性,可疑患有颅内病变。小脑组织(白色*)通过右侧小脑幕切迹(白色短箭头)向上疝出,导致右侧中脑周围池及左侧大脑脚池的闭塞,四叠体池间隙变窄,侧脑室颞角的扩张(黑色*),顶盖及右侧大脑脚(白色长箭头)的水肿。

04195f077fedbc1c48a7bdd1f903932f.jpeg

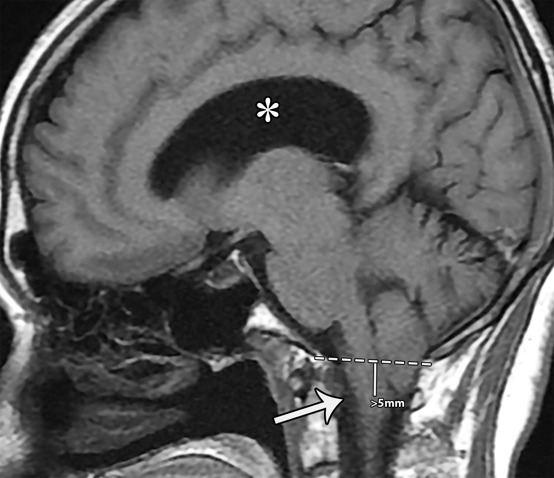
相比于McRae线(白色虚线),小脑扁桃体向下移位(超过5毫米),注意枕大池闭塞,延髓向前移位(白色长箭头)以及脑积水(白色*)

ada0d28046f51452ac0893532b2d281e.jpg

Chiari畸形Ⅰ型。小脑扁桃体下降(b图中白色弯曲箭头),伴脑干向前移位(a图白色长箭头),以及枕骨大孔脑脊液的闭塞(a图中白色短箭头)。

2dc5adc084ecd71c0855dbcfaf191767.jpg

小脑扁桃体疝的示意图。(a图)小脑扁桃体延伸至枕骨大孔的下方(白色弯曲箭头),脑干挤压斜坡(白色长箭头),延髓池的闭塞(黑色长箭头),梗阻性脑积水(黑色*)。(b图)枕骨大孔层面的轴位图,移位的小脑扁桃体(黑色*)导致周围脑脊液的闭塞,延髓向前移位(白色弯曲箭头),挤压脊髓动脉(黑色短箭头)及椎体动脉(白色短箭头)。

13f0c419b13c075af8c7957aee746573.jpeg

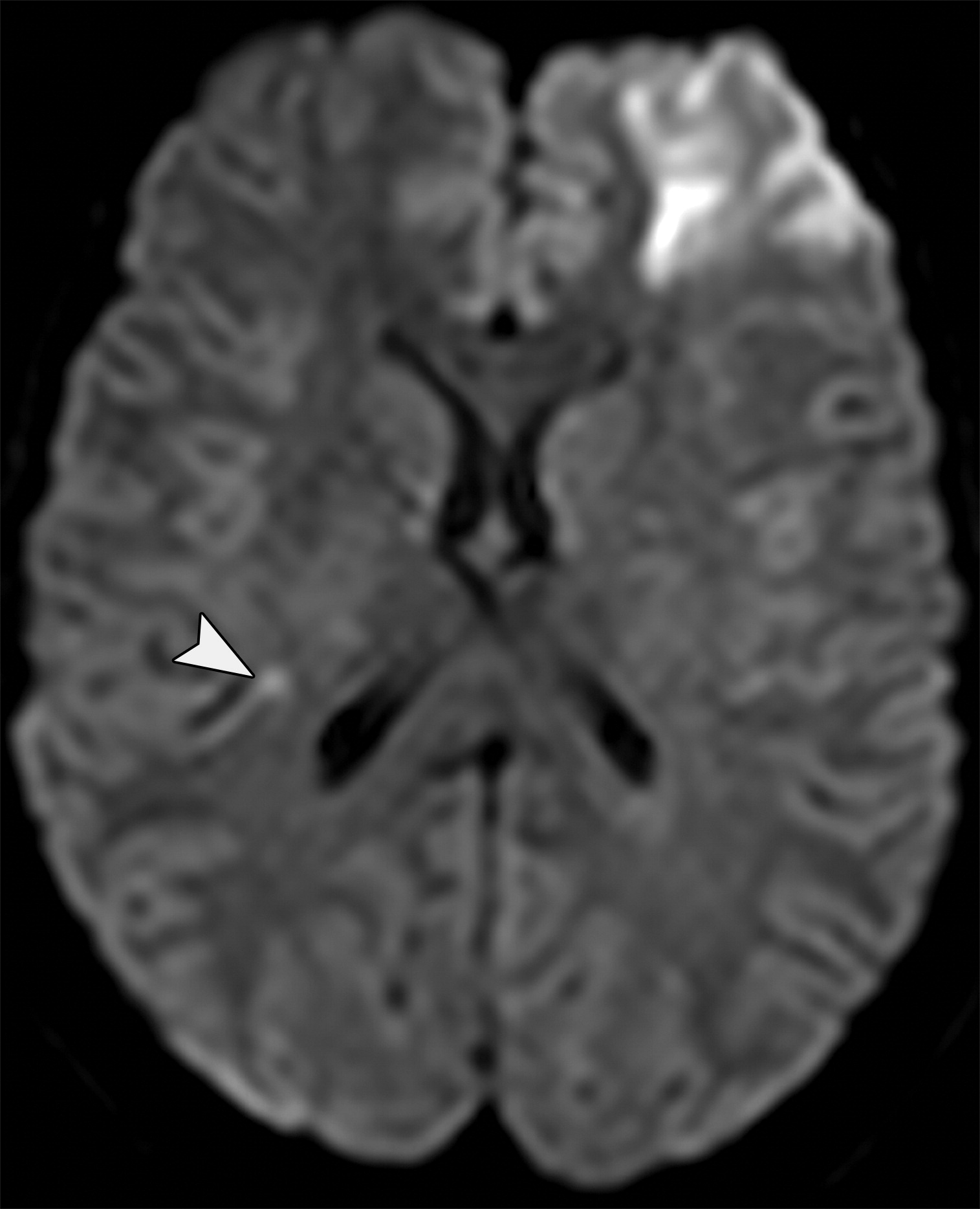
颅外脑疝。左侧额叶的急性梗死,注意右侧小灶状病变(白色短箭头)。数天后,患者出现血管源性脑水肿,并进行了去骨瓣减压术。

811f47e33d6b1d13943a77f716f35d33.jpeg

颅外脑疝。去骨瓣减压术后,脑实质从左侧额颞部缺损的位置疝出(白色长箭头)。大脑侧裂增大,左侧侧脑室的额角及枕角回缩。

f88fb8c598c0813eb5eb7b710f50c5f7.png

参考文献:Berta Riveros Gilardi, MD,José Ignacio Muñoz López, MD etc. Types of Cerebral Herniation and Their Imaging Features.RadioGraphics 2019; 39:1598–1610

精选文章
更多精选文章