肌骨系统 - 2024-09-13 11:53:40
粘液样脂肪肉瘤的非典型转移模式

Atypical metastatic pattern of thigh myxoid liposarcoma

Authors:Khaoula Boumeriem, Iliass Bourekba, Ihssan Hadj Hsain, Hassan En-nouali, Jamal El Fenni

DOI:10.35100/eurorad/case.18690

70岁男性患者,既往有大腿粘液样脂肪肉瘤病史,行CT扫描。

CT扫描示多个非典型位置的转移灶。这些转移灶在影像学上呈现出相似的特征,表现为低密度改变。转移灶的分布广泛,涉及心脏内部(右心室和左心室)、纵隔(后纵隔)、腹腔、左侧前腹壁以及右侧阴囊。

d7a961d1d90ecefb4ec03d633d5c0ad9.jpg

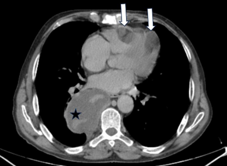
CT 扫描显示两个位于左心室和右心室的低密度病灶,与心包接触(白色箭头),以及位于后纵隔的低密度病灶,与同侧下肺静脉、胸膜和邻近椎体紧密接触(黑色星号)。

CT扫描显示患者的心脏内有两个低密度病灶,分别位于左心室和右心室,且与心包分界不清(白色箭头)。此外,还有一处位于后纵隔的低密度病灶,该病灶与同侧下肺静脉、胸膜以及邻近椎体紧密接触(黑色星号)。

d358cec799e22ec1ecc33a497cc4e88e.jpg

腹腔脾胃间隙可见低密度病变(黑色星号)。

0e6e00a28aed022340af8e4984f25d3d.jpg

左侧前腹壁低密度病变,腹直肌受压移位(白色箭头)。

5011c5ae85aa7e54c75d71fb0816f98e.jpg

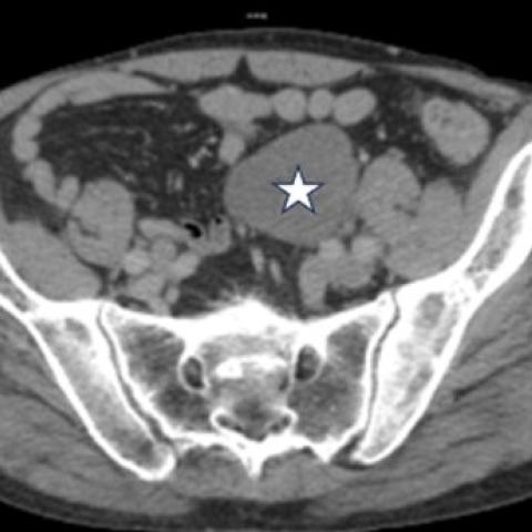
盆腔左侧与相邻肠袢和同侧髂血管接触的低密度肿块(白色星号)。

58aaf086b52c57d07d0b4dc80f5d211f.jpg

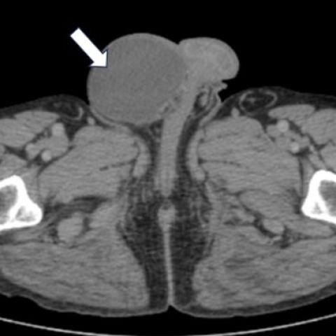
右侧阴囊低密度肿块(白色箭头)。


相关拓展

软组织肉瘤是一种罕见但严重的疾病,其在成人恶性肿瘤中的占比仅为0.7%。脂肪肉瘤,作为软组织肉瘤的一种,起源于脂肪组织,可进一步细分为分化良好、粘液样、圆细胞、多形性和去分化等亚型。其中,高分化和粘液样脂肪肉瘤通常为低级别肿瘤,转移风险较低;而其他亚型则更具侵袭性,转移风险较高。

肢体软组织肉瘤,尤其是脂肪肉瘤,最常见的转移部位是肺部。然而,粘液样脂肪肉瘤却呈现出一种独特的肺外转移模式,常见于软组织、腹膜后、胸腹壁、腹膜表面、骨骼和心脏等部位。研究表明,这些部位含有丰富的脂肪组织,可能是粘液样脂肪肉瘤偏好这些部位转移的原因。

本文介绍了一例下肢粘液样脂肪肉瘤的病例,该亚型在四肢脂肪肉瘤中占比约40%。

粘液样脂肪肉瘤的影像学表现取决于脂肪和粘液样组织的比例,一般表现为T1加权低信号伴高信号灶,T2加权呈高信号,强化程度取决于肿瘤的细胞和血管分布。

在某些病例中,肿瘤呈囊性。转移瘤通常由于黏液物质而呈现低密度外观。

随访检查应包括胸部、腹部和盆腔的CT扫描,甚至全身MRI检查,以监测肿瘤进展和转移情况。治疗管理主要包括手术切除肿瘤,必要时辅以放疗和化疗,治疗方案的选择取决于复发风险。

粘液样脂肪肉瘤的预后较差,特别是在肿瘤较大、组织学分级高和存在肿瘤坏死的情况下,肺外转移的风险较高。

精选文章
更多精选文章