肌骨系统 - 2016-11-01 10:35:23
上腔静脉综合征致“假性”骨转移

Bone pseudo-metastases in superior vena cava syndrome

Author(s):Rodrigues T; Gomes A; Gonçalves, A; Fonseca, J;

DOI: 10.1594/EURORAD/CASE.12463

患者女性46岁,三年前被确诊为Ⅳ期直肠癌,并接受了直肠切除手术及辅助化疗和放疗。目前,癌症已转移至肺部,但未发现其他部位的转移。

28c1f65600c6050c0bd3ffc65615c0c5.jpg

胸部增强CT扫描显示:双侧无名静脉和上腔静脉起始段(位于奇静脉汇合点上方)存在阻塞,但未观察到明显局部淋巴结肿大或任何表面肿块的证据。

我们分析认为,这些阻塞现象可能与多次化疗过程中导管插管操作引发的纤维化反应有关。

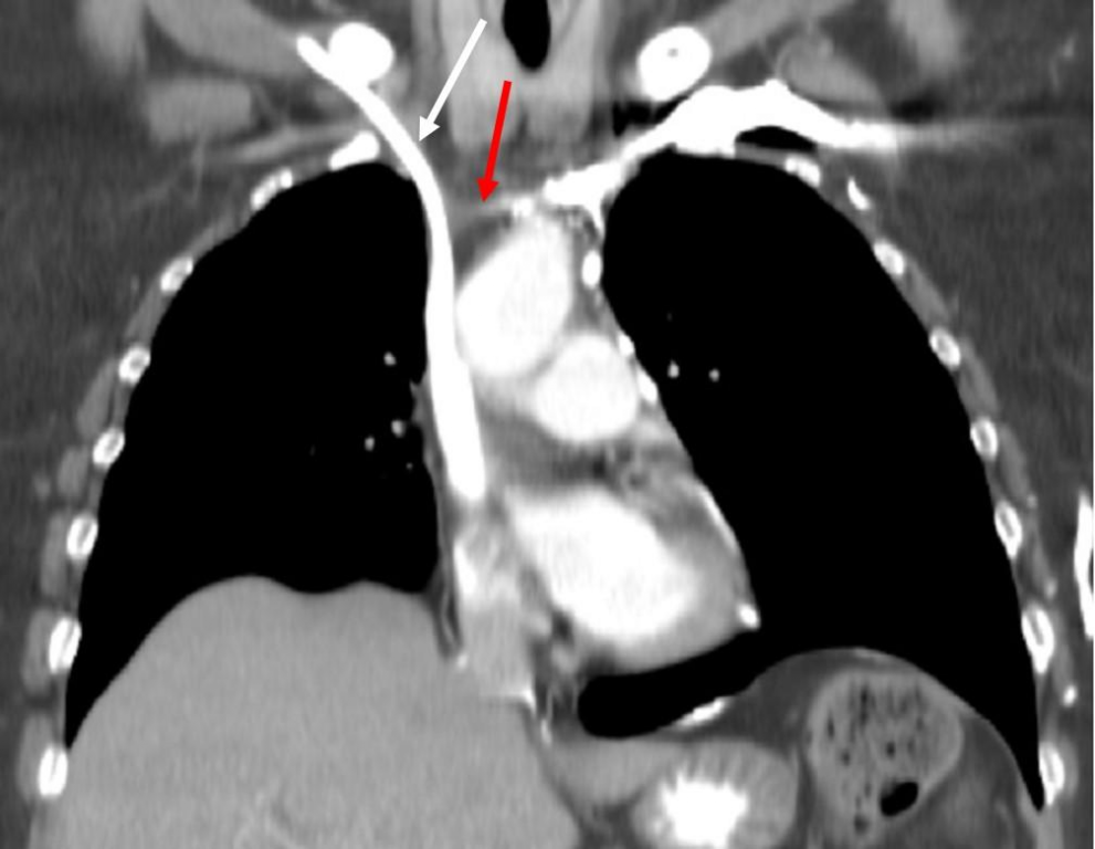
ec257030914cde4140e416d57fa0a345.jpg

对比增强冠状重建 CT 图像显示闭塞的左无名静脉(红色箭头)。

右侧无名静脉插入了一条化疗导管(白色箭头)。

正如预期,我们还观察到由于静脉阻塞而形成的丰富侧支循环,这些循环涉及常见的和较少见的血管通路,包括奇静脉-半奇静脉系统、内乳动脉-腹壁下血管、椎基静脉丛以及心包膈静脉(后者引流至下腔静脉)。

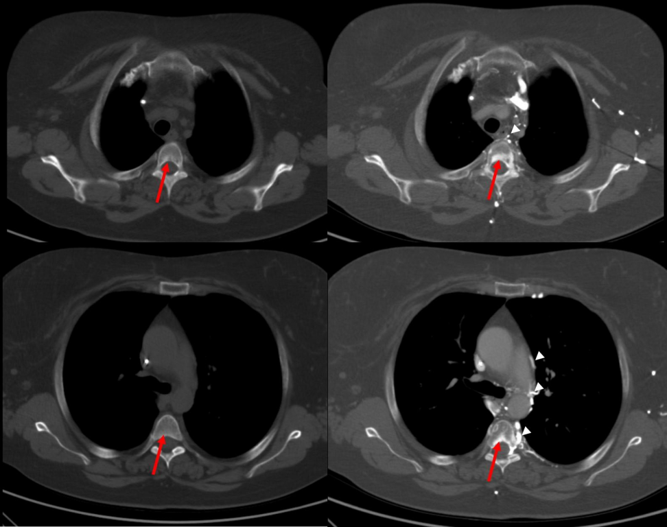
同时,我们还注意到以第一胸椎椎基静脉孔为中心的三角形强化区域,在相同层面的非增强CT扫描中并未显示出任何显著的异常密度(见下图)。

0093e0a21f1deffcc8c31c25f0e32022.jpg

左侧图像:未增强扫描显示椎体密度未见明显异常改变(红箭头指示);

右侧图像:对比增强后,可见椎基静脉孔区域出现三角形的强化影(红色箭头),这是由于静脉淤血和侧支血管形成所致(白色箭头标出)。


CASE诊断:上腔静脉综合征所致的“假性”骨转移(椎静脉丛血管充血)


TIPS:上腔静脉综合征时,导致侧支循环的开放,椎基静脉丛可能会充血,在增强时可能会看到椎基静脉孔区域的明显强化,请勿误诊为转移。

上腔静脉综合征
SVCS

是一种由上腔静脉(SVC)或双无名静脉水平血流受阻(狭窄或闭塞)引起的阻塞性疾病,主要影响头部、上肢和上胸部的静脉。

病因可分为恶性与良性:

  • 恶性病因:主要由胸内肿瘤直接侵犯静脉,常见于小细胞肺癌和淋巴瘤。

  • 良性病因:包括纤维性纵隔炎、放射性纤维化或静脉导管留置等。

临床表现:症状的严重程度与梗阻发生的速度有关。急性闭塞常导致严重症状,而慢性阻塞则可能症状较轻。

典型症状包括头部(脸)、颈部和上肢(手臂)、上胸部的水肿及静脉扩张。呼吸困难、头部肿胀或充血感也是常见症状。

在慢性梗阻的情况下,机体有时间建立静脉侧支循环,将血液从受阻的上腔静脉分流。

常见的侧支循环途径包括奇静脉-半奇静脉系统、内乳静脉至下腹壁静脉、侧胸静脉至腹壁浅静脉以及椎体静脉丛。在某些情况下,侧支循环可能引流至肺部系统,形成右向左分流,增加中风和高心输出状态的风险,可能导致发绀。

影像表现:

1. 上腔静脉部分或完全闭塞。

2. 侧枝循环形成。

3. 少见征象:肝脏S4段前份异常灌注,体-肺静脉瘘,直肠周围静脉迂曲扩张。

大多数SVCS病例与恶性肿瘤相关,尤其是上肺肿瘤直接压迫和侵犯纵隔所致。其他相关恶性肿瘤包括前纵隔肿瘤、纵隔转移(尤其是乳腺癌)、伴有纵隔浸润的淋巴瘤,以及罕见的腔静脉原发性肿瘤。

感染性疾病也是SVCS的一个重要原因,可能由纵隔炎症和纤维化引起,如组织胞浆菌病和结核,或由血管损伤如梅毒性主动脉瘤所致。

苏格兰解剖学家威廉·亨特在1757年首次描述了SVCS,而现在良性病因更多是由于医疗干预,如中心静脉导管和起搏器的放置,这些都可能导致上腔静脉血栓形成和纤维化。


精选文章
更多精选文章