肌骨系统 - 2024-09-13 09:43:23
密尔沃基肩

Milwaukee shoulder: A destructive arthropathy

Authors:Fábio Ferreira, Miguel CastroFábio Ferreira, Miguel Castro

DOI:10.35100/eurorad/case.18679


59岁女性,右肩关节疼痛肿胀2个月。既往史提示9个月前有跌倒病史。

查体:右肩关节主、被动活动受限、疼痛。

bc028ec5fdfe4525628242b6fb5a0ebd.png

一年前肩关节平片未见确切骨质异常。

1623864b0e61ea9de14ecb324ed06575.png

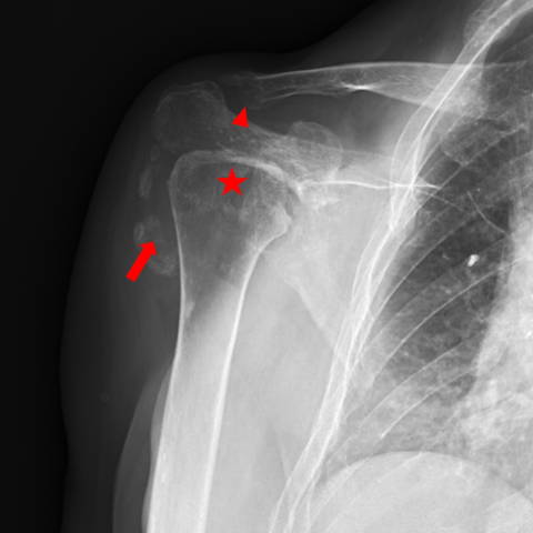
本次右肩前后位 X 光显示肱骨头的破坏、畸形和半脱位(*)、锁骨外侧端骨溶解(→)以及关节内钙化(长→)。

7e5eff31cca9354c7c52648bc771c9fa.png3fdfe6810192552559cd467f328712c0.png

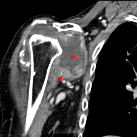
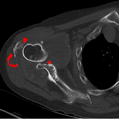
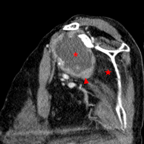
CT冠状面(a)和轴面(b)计算机断层扫描图像显示肱骨头和关节盂(*)有广泛破坏。肩峰下表面和锁骨外侧端也可见骨质溶骨性破坏(箭)。关节囊可见钙化(弯箭),关节内不规则钙沉积(箭头)存在。

d88e915d3590a695b10e74f03d03d065.png2462237051cef5adc106d37e243ce8cf.png2933160d9dd524f1c0ca5258bef790e0.png

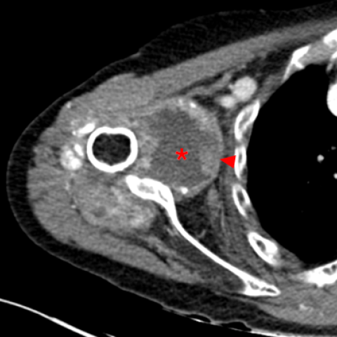
CT多平面重建软组织窗显示关节腔内存在大量积液(*),并伴有广泛的滑膜增生(箭头)。肩袖肌肉尤其是肩胛下肌明显脂肪浸润(五角星)。

最终诊断:密尔沃基肩(Milwaukee shoulder )

拓展知识

1. 疾病特征和影响:

  • 密尔沃基肩综合征是一种罕见且快速进展的关节破坏性疾病。

  • 主要影响老年女性,尤其是肩部关节,单侧(优势侧)多见,可发生在双侧。

  • 病因是关节内磷酸钙结晶的沉积,尤其是焦磷酸钙和羟基磷灰石晶体。这些结晶在关节腔内的沉积引发了溶酶体酶的释放,进而降解骨骼和周围的关节周围结构,包括肩袖肌腱。

  • 风险因素包括近期创伤、关节过度使用、透析和甲状旁腺功能亢进。

2. 病理表现和诊断:

  • 病理表现为肩袖撕裂、软骨和软骨下骨破坏、多骨软骨游离体和滑膜增生。

  • 临床症状包括肩部疼痛、肿胀和活动受限,且症状缺乏特异性。该病起病隐匿,呈进行性发展,常导致诊断和治疗延误。症状往往与晚期骨质破坏不相称。

  • 影像学检查,如x线平片、CT和MRI,对于诊断至关重要,用于评估骨质破坏和软组织损伤。

  • 通过茜素红染色在滑液中检测到羟基磷灰石晶体可以确诊该病。

3. 影像相关诊断:

  • X线平片:多表现为广泛的关节间隙狭窄,软骨下骨质破坏伴肱骨头部分骨性塌陷,关节内及关节周围钙化,软骨下硬化伴囊肿形成。骨质破坏也可延伸至肩峰、喙突和锁骨远端。肱骨头、喙突和肩峰的假关节形成较为常见。

  • CT:有助于评估骨质破坏及术前评估。

  • MRI:可见大量关节积液,并延伸至三角肌下和肩峰下区域。这与巨大肩袖撕裂密切相关。并可见关节软骨和软骨下骨质的破坏、囊变,关节间隙变窄;滑膜增生,关节腔积液;关节腔内多发游离态。

4.鉴别诊断和治疗:

  • 诊断时需排除其他疾病,如感染性关节病变和神经性关节病。

  • 关节穿刺和关节液分析是诊断的关键步骤,通过检测滑液中的羟基磷灰石晶体确诊。

  • 治疗方法包括对症治疗和全关节置换术,保守治疗包括药物和物理治疗。

5.治疗的重要性和挑战:

  • 早期诊断和及时治疗对于减轻症状和提升患者生活质量极为重要。

  • 治疗重点是缓解症状,非甾体抗炎药、皮质类固醇注射和物理治疗是最常见的保守策略。

  • 在严重关节破坏的情况下,手术干预可能是必要的。

TAKE HOME MESSAGE
  • 密尔沃基肩是一种由关节内磷酸钙晶体沉积引起的破坏性关节病。

  • 影像技术如平片、CT和MRI可显示关节间隙变窄、骨破坏和软组织变化。

  • 确诊是通过在滑囊液中检测羟基磷灰石结晶来确认的。

DOI:10.35100/eurorad/case.18679

精选文章
更多精选文章