- 2024-09-12 22:39:04
典型鞍区生殖细胞瘤影像诊断要点
  • 颅内生殖细胞瘤起源于原始生殖细胞残余组织,是生殖细胞肿瘤中最常见的亚型,占65%~75%。

  • 多见于青少年及儿童,高峰年龄10-19岁。

  • 好发于中线及近中线区,松果体区(男性常见)>鞍区(女性略多)>基底节区(几乎皆为男性)、丘脑,其他部位少见。

  • 临床表现多样,取决于发病部位,实验室检查AFP、HCG可升高。

4ff860f991a05bd80f9457fc1ddbbf95.png18578e68c9de6d9d45133e60d643a591.png

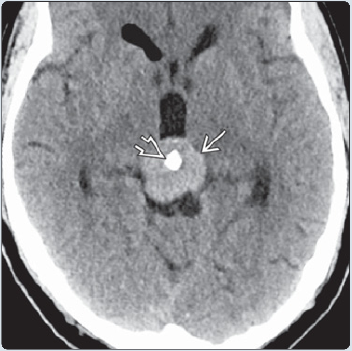
轴位CT扫描示典型的松果体生殖细胞瘤,可见边界清楚的稍高密度肿块包绕钙化的松果体。

  • 鞍区生殖细胞瘤儿童多见,早期可隐匿发病,90%的病例以中枢性尿崩症为首发症状,放疗敏感。

  • 起源于第三脑室底部(下丘脑)或漏斗,可延伸至鞍内累及垂体后叶。

  • 实性为主,CT呈稍高密度,钙化少见;

  • T1WI、T2WI等信号为主,可见“小泡征”,弥散受限,垂体柄可增粗;实性部分常明显均匀强化;病变易沿脑脊液播散。

  • 鞍区、松果体区可同时出现病灶,具有特征性。

160735408cc0763a5cad3b028bc52636.png

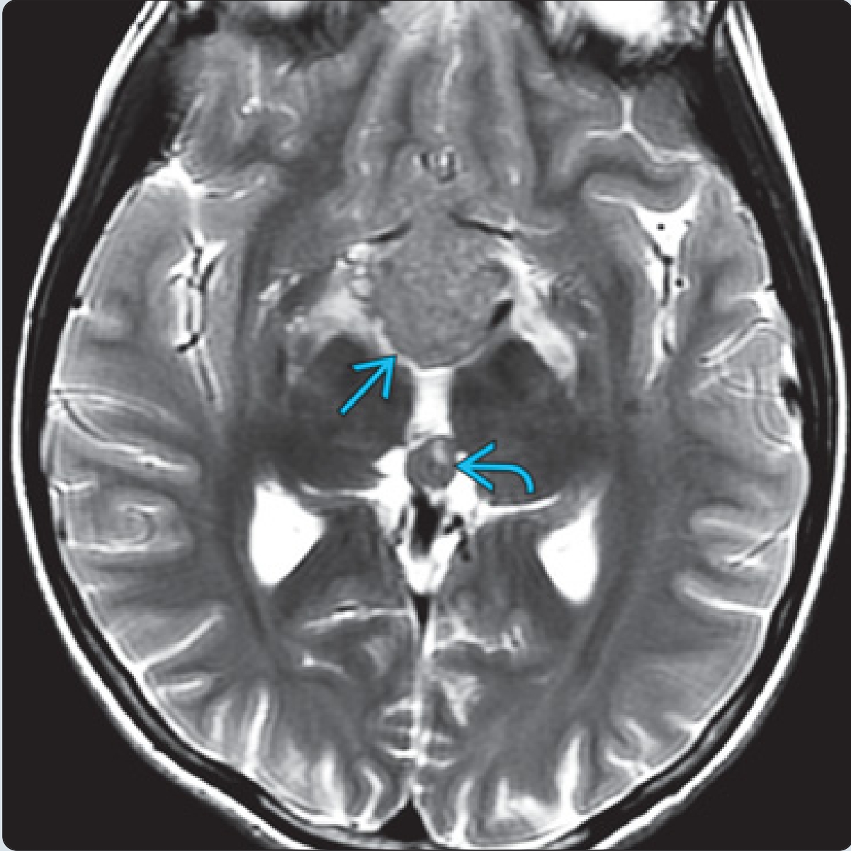
14岁男孩,视力下降,轴位T2WI示鞍上肿块,相对于灰质呈稍低信号。第二个较小的肿块存在于松果体。

aa8893675095787589fdd3c3c6681d16.png

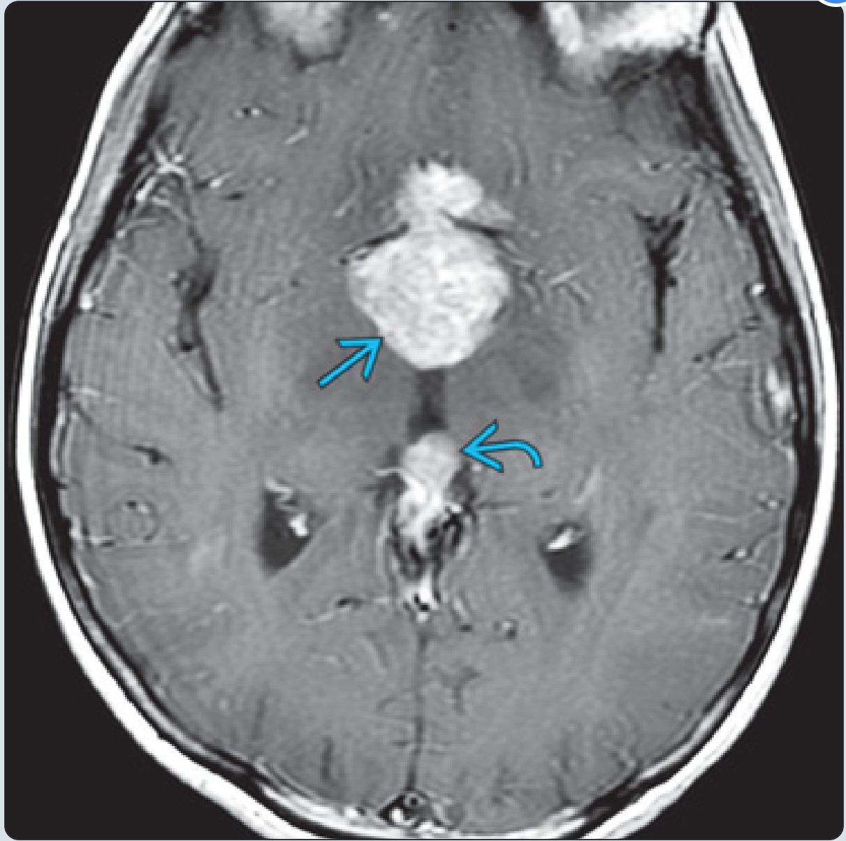
同一患者的T1 C+示鞍上病变明显强化。松果体也均匀增大。约20%的病例合并有鞍上和松果体肿块(有时称为“双中线”生殖细胞瘤)

a2e45de71f690b1f60e51ce659fa3186.png

(左)14岁尿崩症女童矢状体 T1Wl显示垂体后叶缺失亮点啊。”与皮质等强度的细小肿块增厚了下颌骨柄,向上延伸至下丘脑和第3脑室。(右)同一患者的矢状T2WI显示垂体柄和下丘脑/下三脑室与灰质等信号。注意良性出现的松果体囊肿

(左)一名患有尿崩症的14岁女孩的矢状T1Wl显示垂体后叶“亮点”缺失。一个与皮质紧密相连的分叶状肿块使漏斗状茎Z向上延伸到下丘脑和第三脑室E>,(右)同一患者的矢状T2Wl显示,垂体茎和下丘脑/下第三脑室的肿块仍呈灰色,注意良性外观松果体囊肿

诊断要点提取:青少年/儿童,鞍区实性肿块+小泡+弥散受限+尿崩+较均匀明显强化+HCG、AFP可升高,需重点考虑生殖细胞瘤,如可见合并松果体区病灶或其他脑脊液播散病灶则更进一步证实。


生殖细胞瘤还有两个好发部位,一个是松果体区,其常常包绕松果体本身钙化,而另一个好发部位是基底节区,其几乎只见于男性,其常伴患侧邻近脑实质、脑干萎缩,可见华勒氏变性。

精选文章
更多精选文章