胸部 - 2024-07-12 15:49:42
胸部CT上看到“彗星尾征”,你会想到什么?

彗星尾征:最先用于描述胸部X线片征象,由扭曲的血管和增厚胸膜下的局灶性肺不张组成。

扭曲的血管表现为条索状软组织密度影,从肺不张的内侧缘延伸至肺门。

当有多发扭曲血管时,就形成多条“尾巴”,此时更像是“降落伞”,因此,也可称降落伞征(图1)。

这是挛缩的纤维痕、胸膜和圆形肺不张造成的。

同样,在CT上,从肺门发出的扭曲支气管和血管汇聚于不张的肺组织,构成彗尾征“(图1和图2)。

bf29685da259f048701c66467a065709.png62af5bb3ca36f617f195e6aa16c9c4a1.pngf00074f1d4d25f77f5dd2cf4f93b786a.png

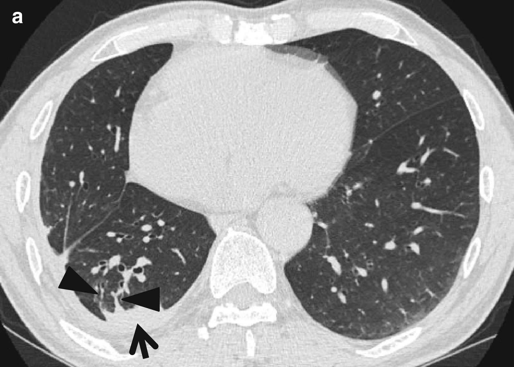
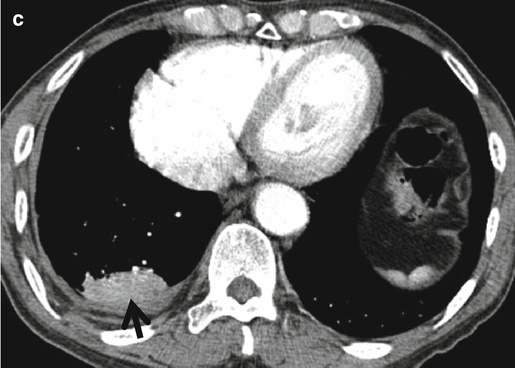
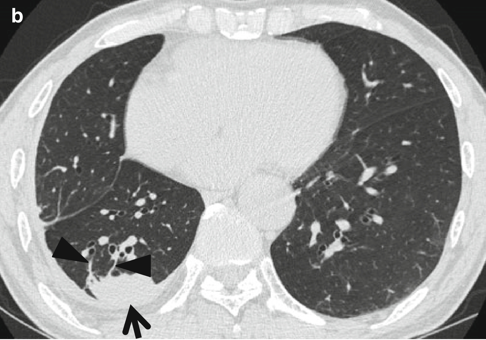
图1 圆形肺不张。

男,66岁,主诉气促和咳嗽。

(a,b)连续薄层 CT(层厚=1.5 mm)扫描于心室水平示右肺下叶(箭头所示)胸膜下圆形肺不张,并可见两条迁曲血管样的条索状软组织密度影(楔形箭头所示),由圆形肺不张的前缘延伸至肺门;这两种结构有助于理解降落伞征(参见彗尾征定义)。并且,可于不张肺组织的后方见胸腔积液和胸膜增厚,以及胸膜外肋骨下脂肪堆积。

(c)纵隔窗可见不张的肺组织强化(箭头所示)。

0b64c39f16092c9a61035059ec913ca0.png4f37eedeb011e9dec1219e03c89ea903.png图2 肿块样圆形肺不张。

男,63岁,主诉轻微呼吸困难和咳嗽。

(a)胸片显示:右侧胸腔积液和右中肺野水平裂(楔形箭头所示)上方肿块(箭头所示)。

(b,c)薄层CT(层厚=1.5mm)显示:分别在右上叶支气管分叉水平(b)和右肺中间段支气管水平(e),可见与前胸膜粘连的右肺上叶圆形肺不张(箭头所示);并可见血管性的条索状软组织密度影(楔形箭头所示),从圆形肺不张的后缘延伸至肺门。另可见右后部胸腔积液和胸膜增厚(空心箭头所示)。

(d)与c图相同位置软组织窗显示右肺上叶圆形肺不张(箭头所示),同时可见右侧胸腔积液和胸膜增厚。


常见疾病:彗星尾征是圆形肺不张的特异性征象。


分布:圆形肺不张中的彗星尾征,通常见于下肺的背部。


临床意义:圆形肺不张常见于有石棉接触史的患者。


圆形肺不张

病理学:圆形肺不张(RA)为基于胸膜的局限性病灶,由胸膜和胸膜下瘢痕及邻近不张的肺组织组成。有文献报道,60%~70%的圆形肺不张患者有石棉接触史。


症状与体征:大部分圆形肺不张患者无症状,在胸片检查时偶然发现,病灶形似肺部肿块。常见呼吸系统症状包括呼吸困难、咳嗽和胸痛。


CT表现:圆形肺不张在CT上表现为与胸膜粘连的圆形或椭圆形肿块及在肿块边缘汇聚的、发自肺门的扭曲支气管和血管,这样构成彗星尾征,并伴邻近胸膜增厚(图1和图2)。由于血管的进入,肿块内侧缘常模糊不清。常可见病变肺叶缩小。大约有60%的病例肿块内可见空气支气管征。注射对比剂后,圆形肺不张多呈明显强化(图5.1和图5.2)。圆形肺不张也可被称作折叠肺(Blesovsky综合征)、螺旋形肺不张、胸膜假瘤或胸膜瘤。


CT-病理对照:因其发病机制与胸膜纤维化有关,圆形肺不张通常见于邻近脏层胸膜的肺组织。病理检查示纤维化的胸膜覆盖在不张肺组织表面,也可陷入塌陷区域。这些征象提示胸膜胶原蛋白的回缩导致了肺组织塌陷。


预后:圆形肺不张通常不随时间变化,但也有报道缓慢增大或缩小的病例。


摘自:<肺部CT精解>

精选文章
更多精选文章