胸部 - 2024-07-12 15:21:43
反晕征的疾病谱,你知道多少?

反晕征:最初用于描述隐源性机化性肺炎(cryptogenic organizing pneumonia,COP)病灶,表现为局性、圆形GGO周围绕以大致完整的环形实变影(图1)。

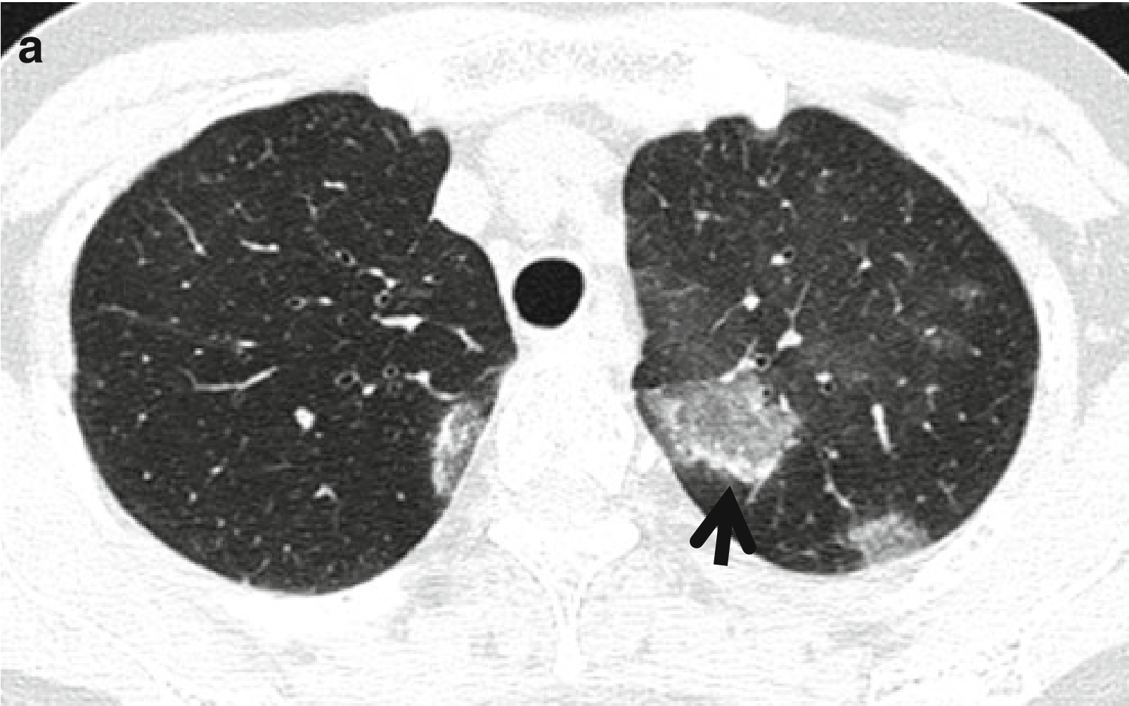
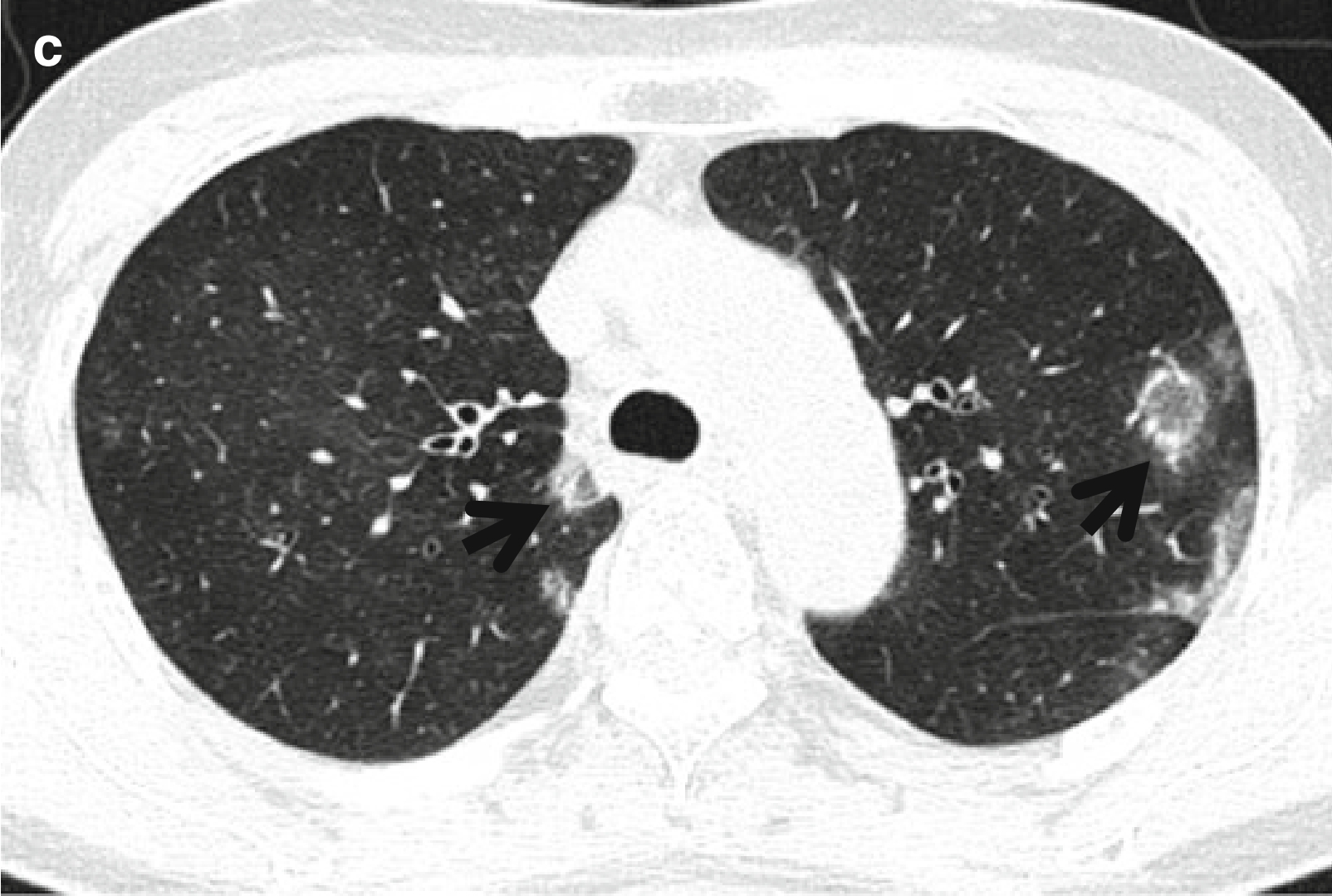
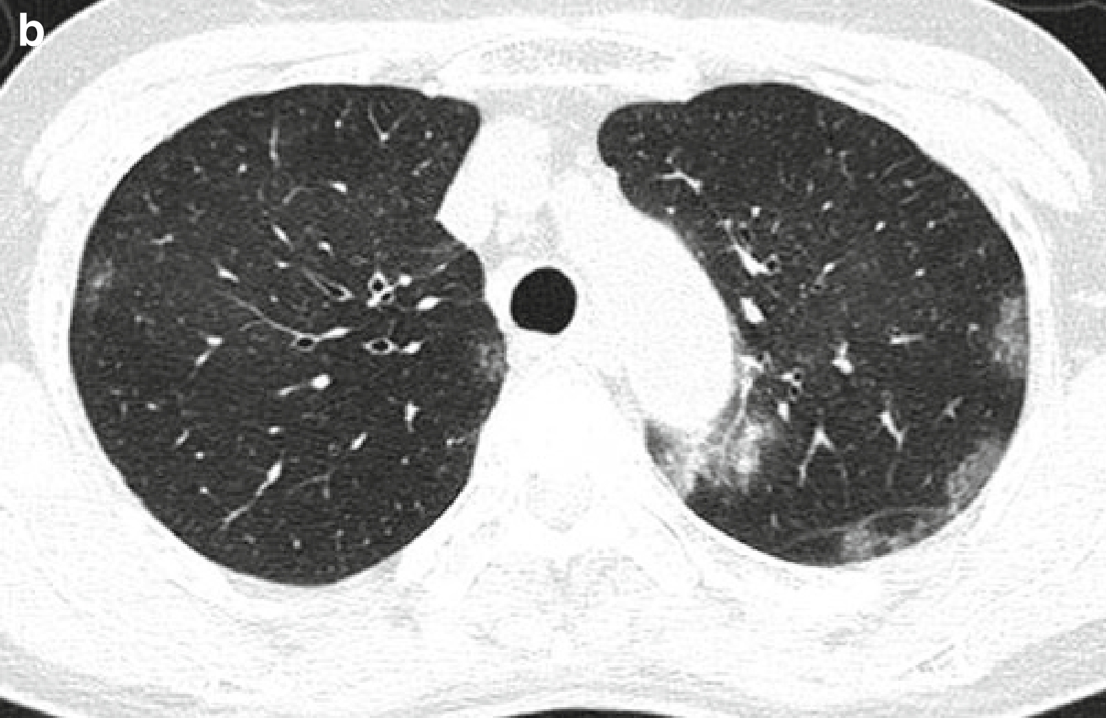
图1 反晕征。女,55岁。哮喘和慢性嗜酸细胞性肺炎患者。(a~c)薄层CT扫描(层厚=1.5 mm)肺窗分别于主动脉弓上层面(a)、主动脉弓层面(b)和奇静脉弓层面(c)示双肺多发局灶性GGO。请注意双肺上叶的反晕征(中央GGO被大致完整的环状实变影包围)(箭头所示)。


常见疾病:反晕征,最初被认为是COP(图2)或COP样病变的相对特异的表现,但随后发现在其他感染性或非感染性疾病中亦可见到。肺毛霉菌病(曾名为肺接合菌病)(图3)和侵袭性肺曲霉菌病可见反晕征。其他可出现反晕征的疾病包括非侵袭性真菌感染,如副球孢子菌病、组织胞浆菌病及肺孢子菌肺炎。

此外,肺梗死、ANCA相关性肉芽肿性血管炎(韦格纳肉芽肿)、射频消融术后和淋巴瘤样肉芽肿病(下图)等亦可见反晕征(下表)。

f4b30f1cfb7fb1ee81386046d0ca7e6e.pngb5f3b7d2ba07c9fc6dda1528e23d8db3.png

图2 表现为反晕征的隐源性机化性肺炎。

女,58岁。

(a,b)薄层CT扫描(层厚=2.5mm)肺窗分别于肝上下腔静脉水平(a)和右膈顶水平(b)示双肺多发磨玻璃密度病灶,并可见反晕征(箭头所示)。

(c)低倍光镜(×8)下可见稍密集的实变区域(箭头所示)及有炎症细胞浸润的相对松散的间质区(空心箭头所示),这些密集区与相对松散区,形成了反晕征。

(d)高倍光镜(×100)下可见:在呼吸性细支气管、肺泡管和肺泡内见由成纤维细胞组织构成的多发息肉(箭头所示)。由于单核细胞浸润,肺间质中度增厚。

d354518169c674eb3e5320b37edc13d5.jpg

分布:在COP中,反晕征沿胸膜下或支气管血管束分布。在免疫功能减退的侵袭性真菌感染患者中,反晕征表现为大的单发病灶。在非侵袭性真菌感染患者中,反晕征常伴有GGO、小叶中央性小结节或片状实变,病灶常呈非对称性双侧发病。在慢性嗜酸细胞性肺炎,反晕征主要分布于上、中肺野而肺梗死的反晕征则出现在胸膜下。

鉴别诊断要点

1.约20%的COP患者在CT扫描时可见反晕征;

2.反晕征和晕征同时出现,高度怀疑早期血管侵袭性真菌感染的诊断;晕征和反晕征分别最常见于侵袭性肺曲霉菌病和肺毛霉菌病;

3.在副球孢子菌病,10%的活动性巴西副球孢子菌感染患者可见反晕征;

4.当没有血栓栓塞的直接征象,特别是当CT检查迟于疾病发作时,反晕征对肺梗死的诊断特别有帮助。


临床意义:在中性粒细胞减少症患者中,反晕征提示侵袭性真菌感染。大约40%的慢性嗜酸细胞性肺炎患者有哮喘,因此,有反晕征的哮喘患者提示其患慢性嗜酸细胞肺炎可能。在临床肺栓塞疾病中,反晕征提示肺梗死的诊断。


01
隐源性机化性肺炎

病理学:隐源性机化性肺炎(COP)不同程度地累及远端细支气管、肺泡管和细支气管周围肺泡,以气腔实变和活动性纤维化为主。在低倍光镜下更容易辨别纤维化,因为纤维为轻度染色,呈圆形或椭圆形、细长、分枝状。与邻近正常肺实质有清楚的分界。


症状与体征:COP平均发病年龄为50~55 岁(范围是21~80岁)。确诊前其症状持续时间通常少于2个月。表现典型者以流感样症状起病:发热、乏力、倦怠、体重减轻和咳嗽,随后进展为呼吸闲难。COP的临床表现常常与社区获得性肺炎相混淆。咯血和杵状指罕见。胸部听诊可于吸气相听到清晰的双下肺湿啰音。


CT表现:典型CT表现为单侧或双侧肺实变影。将近60%病例,实变主要累及胸膜下或支气管周围区域或两者均累及。GGO通常和实变影一并出现。30%~50%的病例可见边界模糊的小结节。通常呈小叶中央性分布。在广泛肺实变患者,可见空气支气管征和牵拉性支气管扩张,并常局限于实变区域。偶尔COP也可表现为大结节或肿块样实变影。约20%的COP患者可见CT反晕征。


CT-病理对照:组织学上,实变区域对应于肺实质纤维化:GGO对应肺泡间隔炎症和少量纤维化;小结节为局限于细支气管周围的局灶性机化性肺炎和(或)成纤维细胞充填细支气管腔;反晕征中央的GGO在组织学上对应肺泡间隔炎症和细胞碎屑;反晕征外围的环形实变影对应肺泡管区域的机化性炎症。


预后:一般来说,COP经糖皮质激素治疗后能很快改善,约2/3患者完全康复(呼吸功能改善和胸部病灶吸收)。也有报道称(COP能自行好转。停用糖皮质激素后可复发。快速进展致命型可有急性间质性肺炎的临床病程、其死亡率很高。

02
肺毛霉菌病

病理学:肺毛霉菌病的病理特点是菌丝体广泛侵袭肺实质和血管,伴由此导致的出血性肺梗死。不同于曲霉菌,毛霉菌的菌丝较粗大、无隔、多核,伴不规则分枝(夹角常为 90°)。


症状与体征:对于患有血液系统肿瘤或接受干细胞移植治疗的免疫功能严重受损的患者,肺毛霉菌是一种重要的机会性致病菌。肺毛霉菌病临床表现与曲霉菌病类似。一同出现的鼻窦炎、硬腭-口腔坏死性病灶及胸壁蜂窝组织炎,提示肺毛霉菌感染。尽管使用广谱抗生素,仍常出现难治性发热、干咳、进行性呼吸困难和胸膜炎性疼痛。


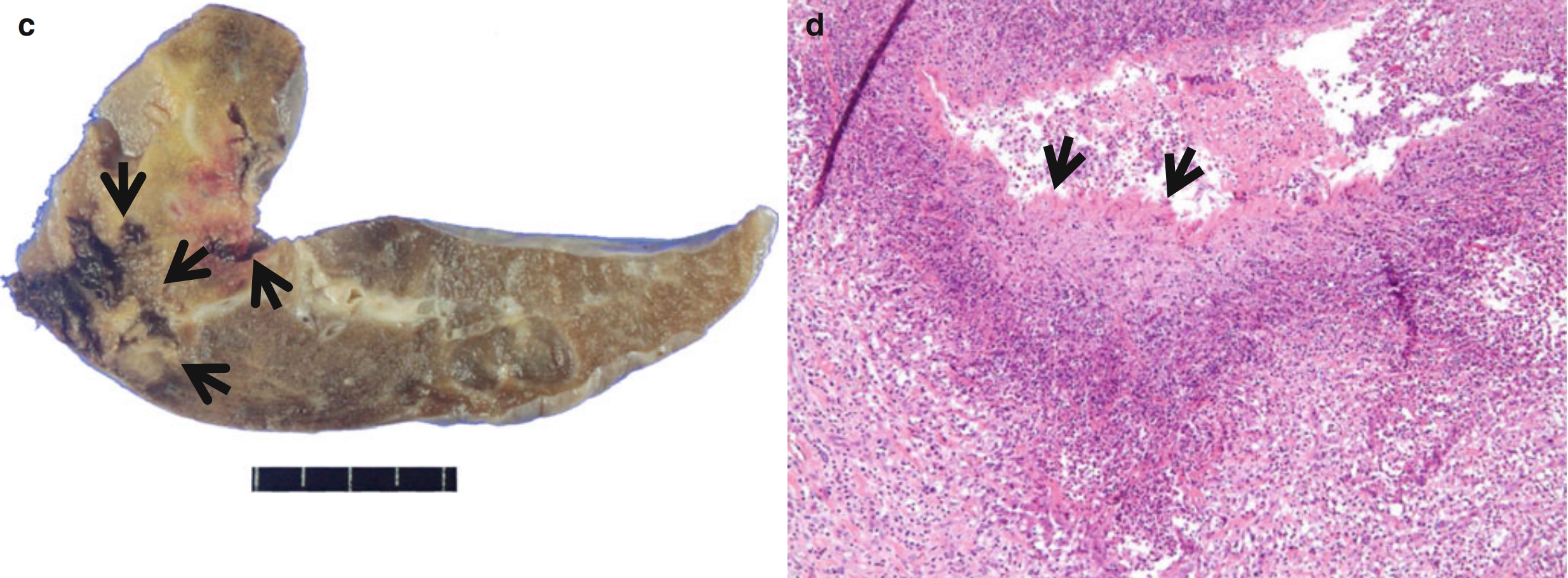
CT表现:肺毛霉菌病最常见的CT表现为结节或实变。实变最常见于背侧并与胸膜相贴,可呈楔形,也可有空气支气管征。结节和肿块中央可见低密度区和空洞。也可见CT晕征和反晕征(图8.3)。4%的肺真菌感染患者早期可见反晕征,反晕征在肺毛霉菌病中比侵袭性肺曲霉菌病更常见。

b398ddc9cd001c8cd22d25e668867f22.png9fe20fb2010a729413f7c5ddcc088e4c.png图 8.3 肺毛霉菌病。

女,17岁,5年前患有间变性大细胞淋巴瘤。

(a,b)CT增强扫描(层厚=5.0mm)连续肺窗于右侧中间段支气管水平可见致密实变影,周围绕以GGO(晕征的一种)。请注意看内部的反晕征(箭头所示),由中央的坏死区及周围环状强化的实变区组成。

(c)在可视化胸腔镜下行左肺上叶楔形完全切除术,大体标本切面可见侵袭性真菌的实变区及坏死病灶(箭头所示)。

(d)高倍光镜(×100)下可见坏死性肺炎。请留意伴有宽大的菌丝(箭头所示)、薄壁及无(或极少)分隔的真菌。


CT-病理对照:侵袭性真菌感染的反晕征在组织病理学上与肺组织梗死对应,外周出血量超过病灶中心。


预后:如不及时治疗,肺毛霉菌病可快速扩散到对侧肺和远处器官,因此及时诊断对患者预后非常关键。用于曲霉菌治疗的典型一线抗真菌药(如伏立康唑)对毛霉菌病没有疗效。肺毛霉菌病的总体死亡率为50%~70%,但是如果扩散到胸外,则上升到90%。为提高生存率,需要紧急手术切除感染灶并应用抗真菌药物。


03
淋巴瘤样肉芽肿病

病理学:双肺内多发灰粉色的结节,最大者可见中央坏死和空洞,肺实变区域可融合。显微镜下,大部分病例可见宽大的坏死带,由围绕血管的混合性渗出物隔开,内可见稀疏的多形性不典型淋巴样细胞。大部分淋巴细胞呈T细胞染色,而不典型淋巴样细胞呈B细胞染色。细胞的异型程度多变。根据细胞的异型程度、坏死程度及多形性细胞的数量,病变可分1~3级,3级即为血管中心性淋巴瘤。


症状及体征:最常见的症状包括发热、持续的咳嗽和多痰、呼吸困难及胸闷。病症隐匿,肺部病变时好时坏。可有全身症状,如体重减轻、乏力及疲倦。可累及其他器官,包括皮肤、中枢神经系统和肾,出现相关症状。


CT表现:典型CT表现为多发肺结节和肿块,病灶中央为低密度,外围呈环形强化,可见磨玻璃密度晕征或反晕征(图8.4)。结节和肿块主要见于双肺下叶,并沿支气管血管束和(或)胸膜下分布,也可见粗糙不规则密度增高影和薄壁小囊肿。

7ccc269819e97c35dc1ffefa33c41ec9.png

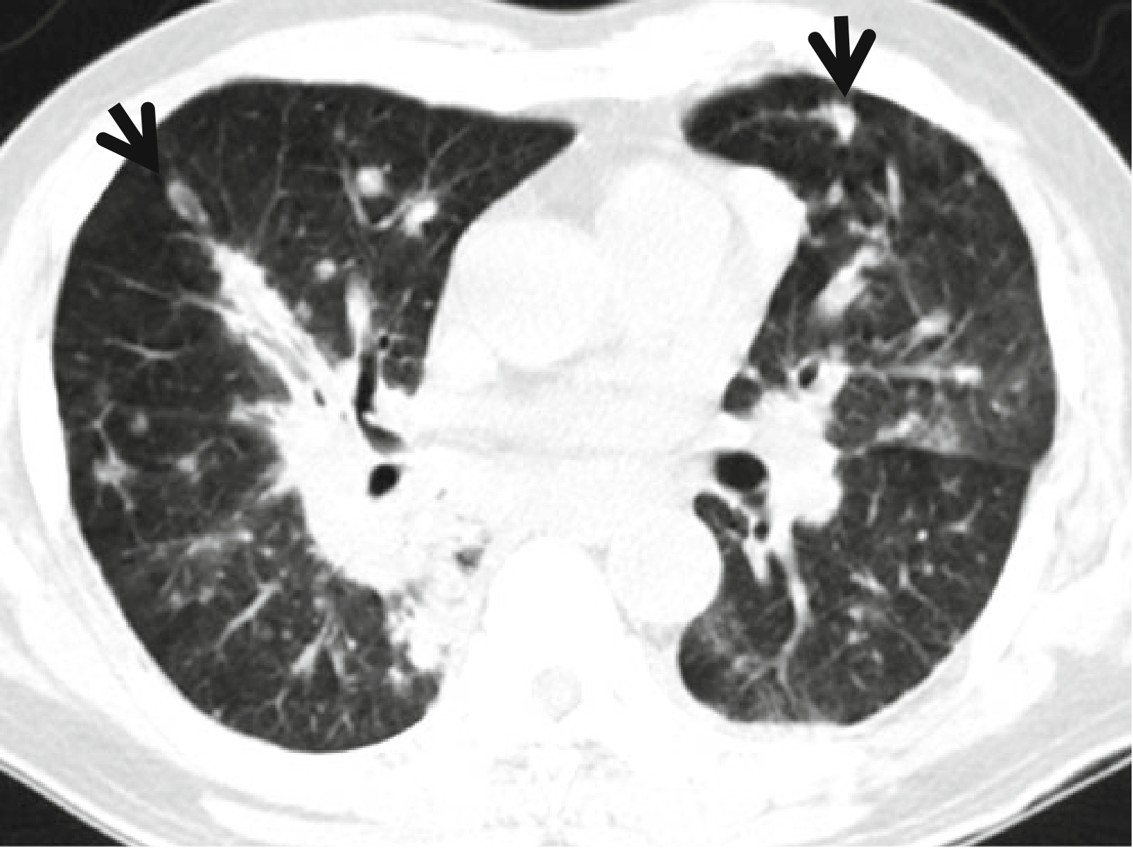
图8.4 男,70岁,淋巴瘤样肉芽肿病患者、可见反晕征。

CT扫描(层厚=5.0mm)肺窗于左肺下叶支气管水平可见双肺多发大小不等的结节,双侧肺门淋巴结肿大。部分结节可见反晕征(箭头所示)。


CT-病理对照:在组织学上,肺内结节和肿块为血管内和血管周围不典型淋巴样细胞浸润导致。病灶中央低密度区为中央坏死区,而结节外围环状强化,则与淋巴瘤样肉芽肿病的血管受侵、破坏有关。


淋巴瘤样肉芽肿病的反晕征,可能与气腔中心被水肿液和泡沫样组织细胞充填及更密集的周围淋巴细胞浸润有关。


预后:淋巴瘤样肉芽肿病是见于免疫功能减退人群的淋巴组织增生性疾病,通常继发于EBV感染。因此,须停用免疫抑制剂。可采用皮质激素、抗CD20单克隆抗体如利妥昔单抗、干扰素-2b及联合化疗等特殊疗法,但其成功率高低不一。

来源:<肺部CT精解>

精选文章
更多精选文章