乳腺 - 2024-09-12 14:41:46
腋窝淋巴结脂肪浸润

Fat infiltration in axillary lymph node: Mimicking metastases in BRCA2 carrier

Authors:Emine Meltem, Esther M. Heuts, Loes F. S. Kooreman, Andrzej A. Piatkowski, Thiemo J. A. van Nijnatten

DOI:10.35100/eurorad/case.18682

患者女,34岁,因右侧腋下可触及肿块前来就诊。患者既往有BRCA2基因突变相关风险,已接受双侧预防性乳腺切除术。

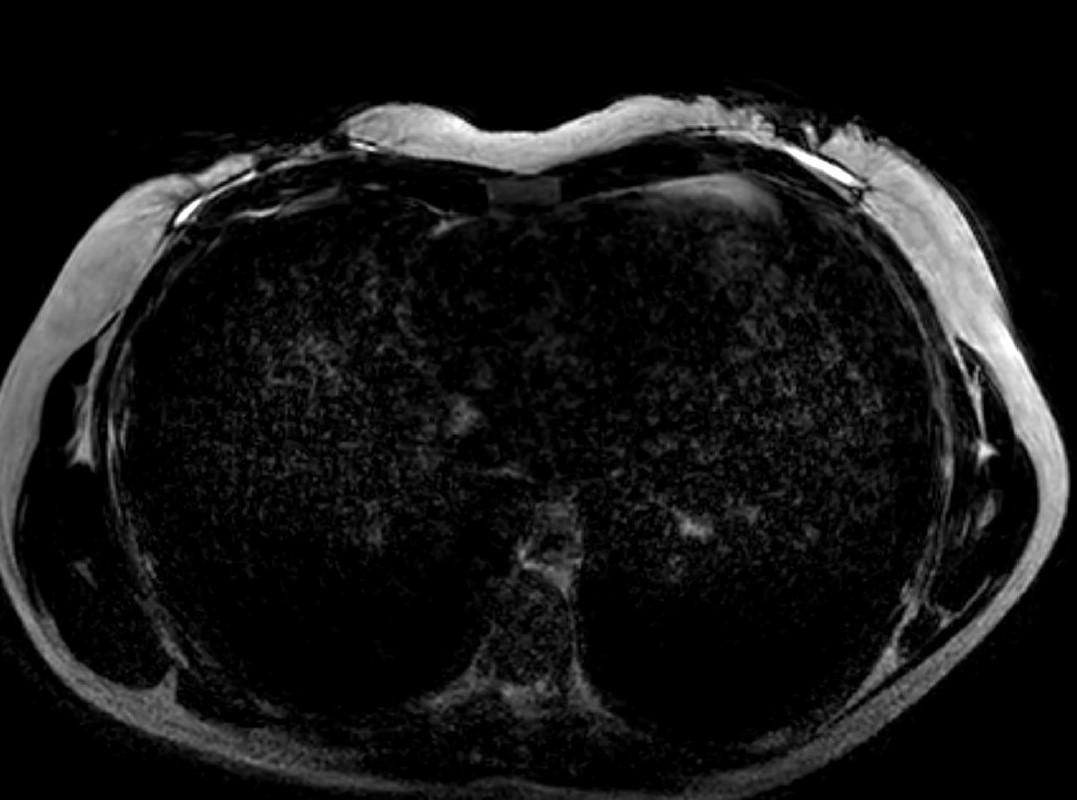
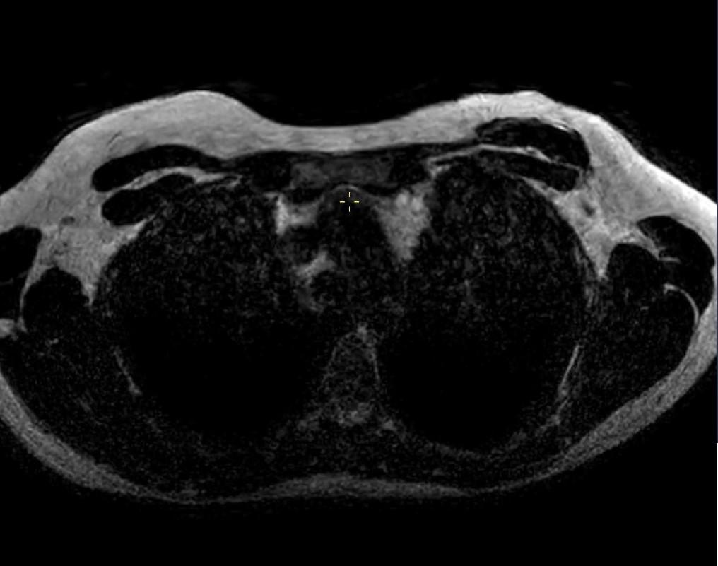
2021年的乳腺MRI检查结果显示,乳腺切除术后无残余乳腺组织(图1、2),同时腋下影像表现无明显异常(图3)。

a5d09c15bf14b3407064cc8a2e85714d.jpg6e55d423e8f0954749c04b0b5302dd85.jpg8e92251d167c8f2244e28e63225658d9.jpg

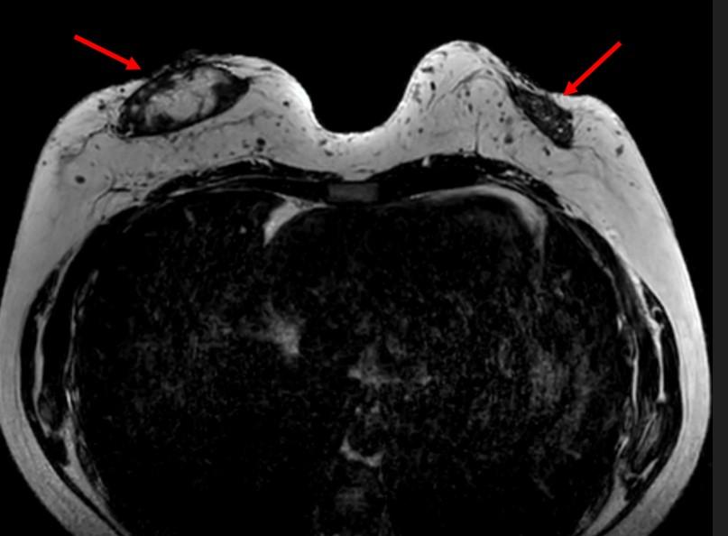
2023年的乳腺MRI检查可以看到双侧全乳重建术后自体脂肪移植(AFT)的效果,其表现为双侧乳晕后异质性肿块。

轴位T1WI图像(图4)及对比增强T1WI脂肪抑制图像(图5)显示,肿块中心见含脂肿块,边缘环绕着薄薄的强化带。

6d34f329358f9686f11ac637d14dda67.jpgff37d60717bf932b7e09b2e00ea22ebb.jpg

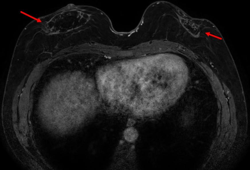
腋下MR影像显示双侧呈球形肿块,在T1WI上表现为低信号。在T1WI对比增强脂肪饱和影像中,可见腋下肿块呈异质性明显强化,伴有点状脂肪区域(图6、7)。

ccb86a91f6c48188bcd8ee7993601a4b.jpgf7ef49ccf18c7a0e3c51ddb77209d20f.jpg

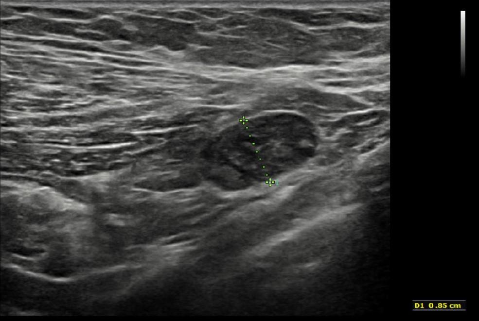
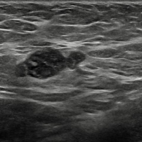
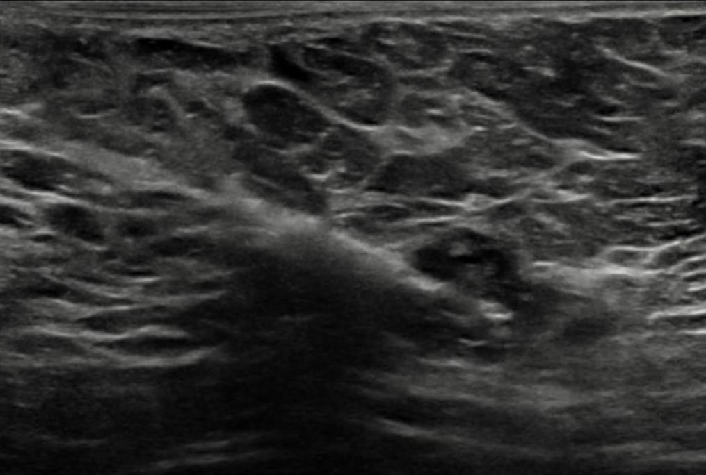
右侧腋窝超声检查可见一个边界清晰的复杂异质性肿块,内部可见小囊性成分以及脂肪回声区域(图8、9、10)。针对这些腋下肿块,建议进一步活检评估。

36706edec94bc2ec744baa93c41ccc46.jpg647f09a51cf759be9a5c371559ef54c1.jpg760734a623eb5bab3f37a9545c3a06d5.jpg

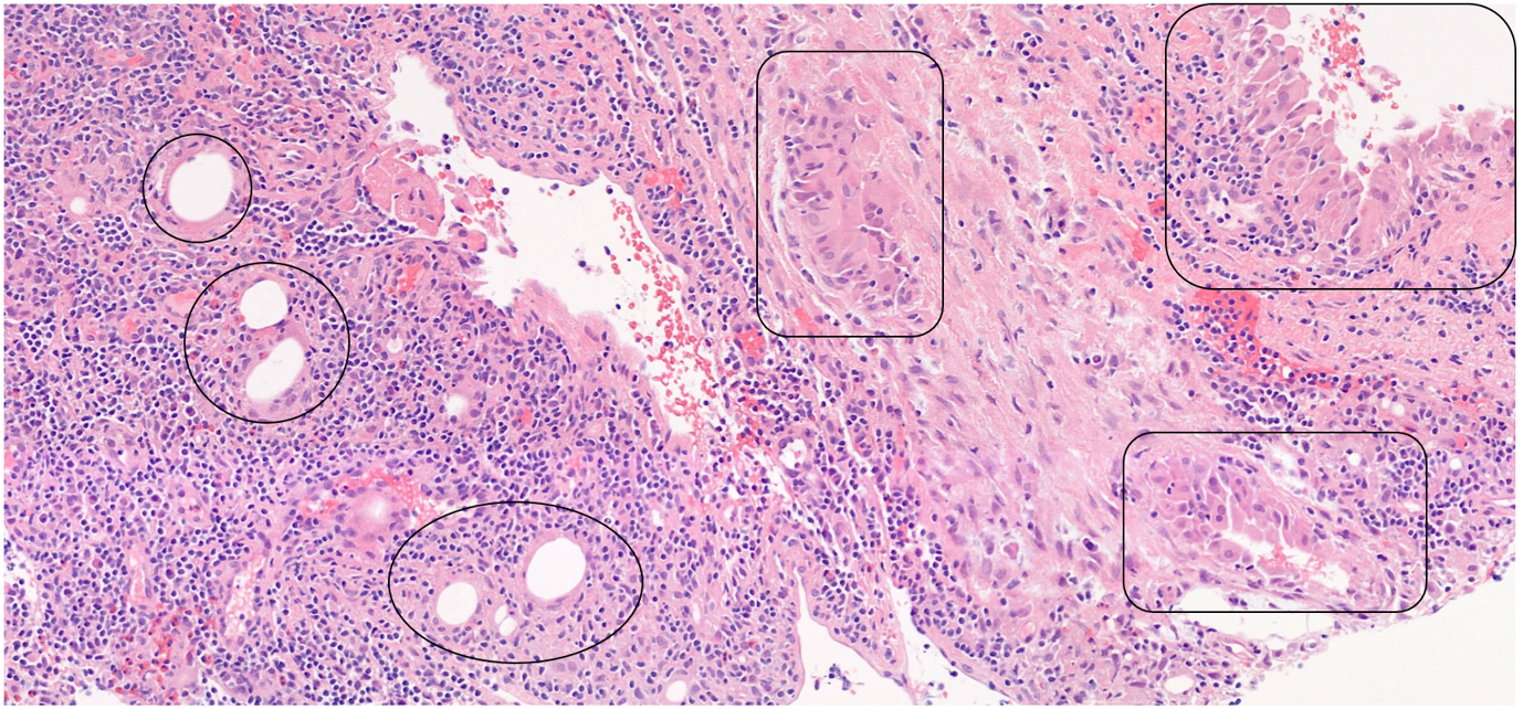
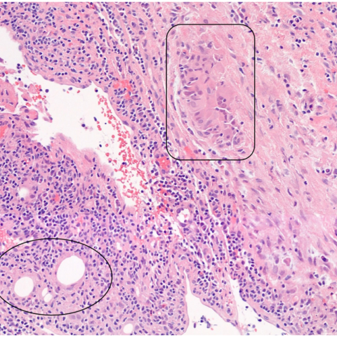
结果:腋窝淋巴结脂肪浸润。

9a209bfa122b6920704aa5ad2f09a5f5.pngd959577af5abcb3b584853407685a39d.png

相关知识

自体脂肪移植(AFT)常用于重建和美容领域,包括乳腺切除术后的乳腺重建。最近,Piatkowski 等人引入了使用 AFT的完全乳腺重建。

脂肪坏死是AFT后最常报道的良性非脓性炎症过程之一。Rijkx 等人最近介绍了与AFT相关的其他影像学发现,包括血肿、钙化和胸肌脂肪沉积。值得注意的是,他们是首次在文献中报告胸肌脂肪沉积,这些沉积在MR上表现为肌肉内脂肪强度信号。

至今尚无研究报告显示腋窝淋巴结在自体脂肪移植(AFT)后出现脂肪浸润。然而,我们的病例通过病理学确认了这一现象。影像学发现显示这些脂肪沉积在 T1 加权 MRI 图像上表现为小的脂肪衰减区域,而在超声检查中则表现为脂肪回声。

研究表明,腋窝淋巴途径是乳腺组织的主要引流途径,淋巴液直接引导或通过Sappey丛的网络运输到腋窝。在不同情况下都观察到了细胞或颗粒通过淋巴通道的迁移,这表明通过自体脂肪移植引入的脂肪细胞可能会沿着这些既定的淋巴通路移动。这为脂肪及其吞噬细胞沉积在腋窝淋巴结中的存在提供了一个合理的机制,这一点得到了我们的影像学和病理学的证实。

仅凭临床发现区分良性肿大的腋窝淋巴结(脂肪含量较少)与恶性肿瘤是有挑战性的,尤其是在像 BRCA 突变这样的高风险患者中。

在有AFT病史的患者中,还应考虑腋窝脂肪浸润作为潜在的诊断,特别是如果MRI显示淋巴结内有超声上不典型的脂肪信号。准确的诊断通常需要结合临床和影像学评估,以及活检。

教学要点
  • 自体脂肪移植可能导致脂肪细胞通过乳腺的淋巴系统迁移至腋窝。

  • 仅根据临床表现,区分脂肪浸润与恶性肿瘤,尤其是在 BRCA 突变携带者等高风险人群中,可能会面临挑战。

  • 准确的诊断通常需要临床和放射学评估以及活检。

  • 在有 AFT 病史的患者中,应考虑腋下脂肪浸润作为潜在诊断,特别是当 MRI显示在淋巴结中出现超声下显得不典型的脂肪信号时。

精选文章
更多精选文章