胸部 - 2024-09-02 21:22:37
原发性空洞型结节病,你见过吗?

Primary cavitary sarcoidosis with “galaxy sign”

Authors:Matthieu Havaux, Alain Sauty, Angeliki Ailianou

DOI:10.35100/eurorad/case.18674


患者女性,31岁,在COVID-19检测结果呈阳性后的第11天,因近期出现的胸痛来到急诊室就诊。胸痛无放射性,无触痛感。胸部听诊闻及右肺干啰音和喘鸣音,其余均无明显异常。

bca9a5a592d05b154e7b89fd177c9794.png

轴位HRCT示左肺上叶可见星系征,中央可见空洞。

ebab138876a93291f35fa46934a55656.png7127468b887d68dc5502d1637049ea5a.png

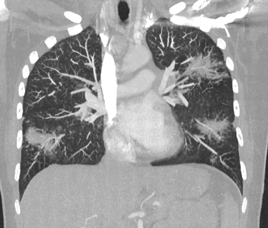
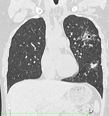
冠状位重建HRCT示多个结节影被多个淋巴分布的微小结节包围,呈现“星系征”外观。

冠状面 MIP 重建示“星系征”。

双侧对称性的非钙化性纵隔-肺门淋巴结肿大,未见明显占位效应。同时,影像检查中并未发现典型的病毒性肺炎特征,包括与COVID-19相关的异常表现。

53b3021d7591063ded6c84c96fcf05c4.png

CT肺动脉造影示双侧多发对称性非钙化的纵隔-肺门淋巴结肿大,对邻近结构没有占位效应。


患者接受了支气管镜检查,包括支气管肺泡灌洗、经支气管活检和主要病变的电子导航检查。所有样本均未发现病原体,结果显示为非干酪性肉芽肿性炎症,与肺结节病的特征相符。

拓展知识

为全面检查并排除心脏受累,患者进行了[18F]FDG PET-CT扫描,结果示多系统高代谢,提示受累,包括多个胸部-腹部-盆腔淋巴结肿大,以及肝脏和溶骨病变。


高代谢性的腹股沟淋巴结手术活检结果也符合结节病的诊断。



肺结节病的典型高分辨率CT肺部表现已在文献中有详细描述,包括淋巴管周围分布的结节和微结节,主要分布在中肺和上肺区。

本例患者表现为急性多系统结节病,肺部受累伴典型异常,以及左上叶空洞性结节伴“星系征”。

这种类型的结节由众多小尺寸结节汇聚而成,周围环绕着微小的卫星结节,形成独特的“星系征”。

肺结节病的这一罕见表现最早于2002年被报道,在其他肉芽肿性疾病中也有观察到,如结核病、过敏性肺炎和煤炭工人病。

此外,原发性空洞型结节病(PCS)是肺结节病的一种罕见表现形式。

在最近的一篇系统综述中,报告的患病率为0.56%至11%。然而,在论文中收录的两个主要病例系列中,仅有1.3-2.2%的结节病患者出现PCS。肺结节病中出现空洞的机制尚不明确,尽管提出了多种假说,包括缺血性坏死。

囊性支气管扩张或大疱可能模拟空洞形成,但这些病变通常出现在疾病的慢性阶段,伴有不可逆的纤维化变化,且可能被霉菌球占据。

原发性空洞通常与特定症状无关,很少伴咯血。空洞形态多样,可能为孤立性或多发性,边缘不规则或光滑,通常在皮质激素治疗下可消退,正如本例所示。

b914cf6995dc93d4648fac081fb9669b.png

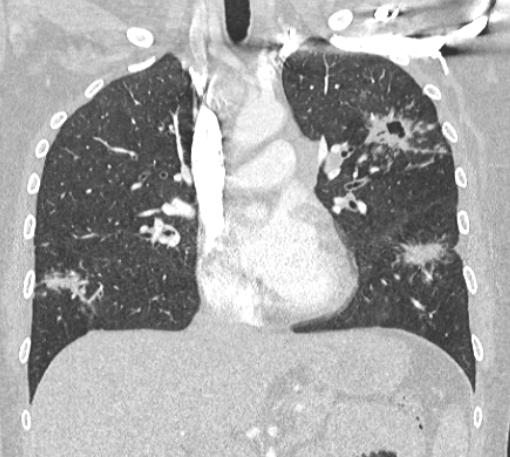
经过九个月的治疗,CT复查示左上叶结节及结节内空洞明显缩小。

若活检发现非坏死性肉芽肿,且在合理排除其他潜在原因后,可确诊为结节病,尤其是当临床症状和影像学检查结果一致时。

来源:https://eurorad.org/case/18674

DOI:10.35100/eurorad/case.18674

精选文章
更多精选文章