胸部 - 2024-02-01 00:43:25
CT上的星系征,你知道吗?
Galaxy Sign
星系征

由多个小结节组成的一个大结节,其周围存在许多小得多的卫星结节,称作星系征(图1)。

f4fd745ef885375d8f304c0d5b652e98.png3947963096d2ac4ba638ab9ea839b1e2.png

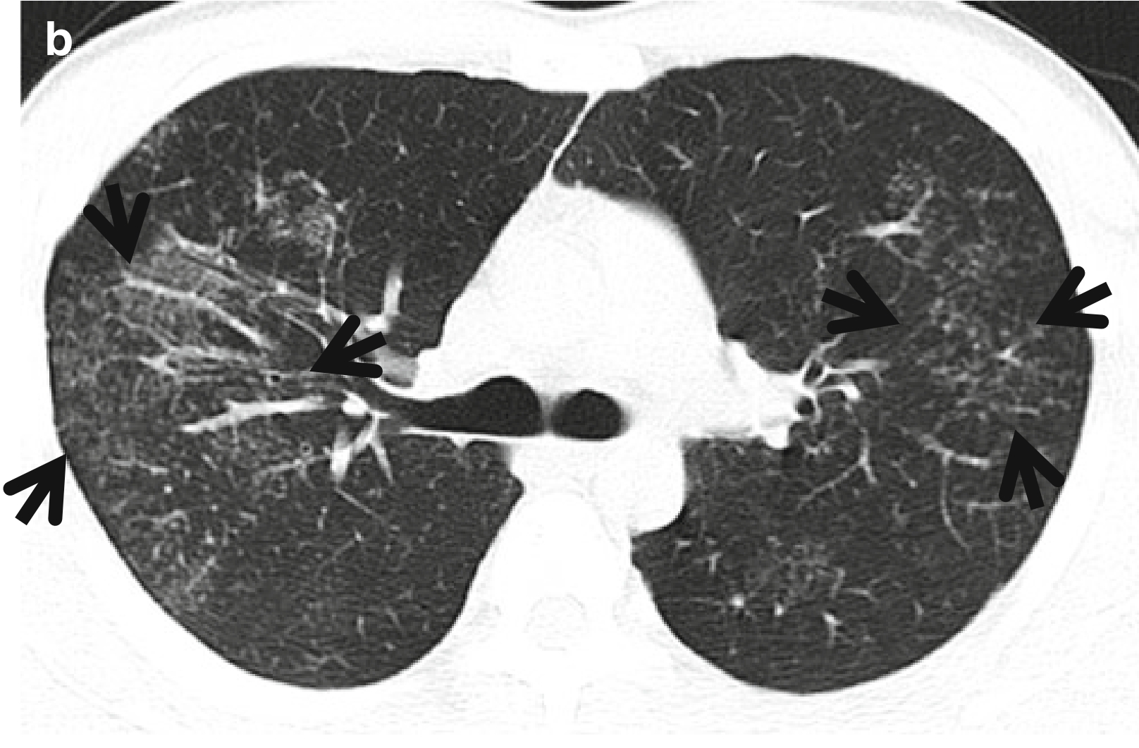
图1,CT星系征。男,23岁、肺结节病患者。连续薄层CT扫描(层厚=2.5mm)于右肺上叶支气管水平可见多发星系征(箭头所示),由多个小结节和周围多发非常小的卫星病灶组成、以右肺上叶最为明显。纵隔窗(此处未给出)可见纵隔和双侧肺门增大的淋巴结影。


常见疾病:在CT上,星系征见于肺结节病和活动性肺结核(表1)(图2 和图3)。肺结节的CT星系征与其他征象一样,通常分布在中、上肺野,但在下肺野也可见到。

在肺结核中,星系征特异性地出现在上叶或下叶的背段。

22c5ea4802f4deede0c1fcbc5aad2d84.jpg

f6e5f8c1eee0ba3dfbe35d3a6d773a28.png712de4191ae6a51e2383bb65b02c66ec.png

dd9868a6b119405127c610777ffa0861.pngdc91dcd673c7adf7a998b0d2cd921ef3.jpg

图2 CT星系征。

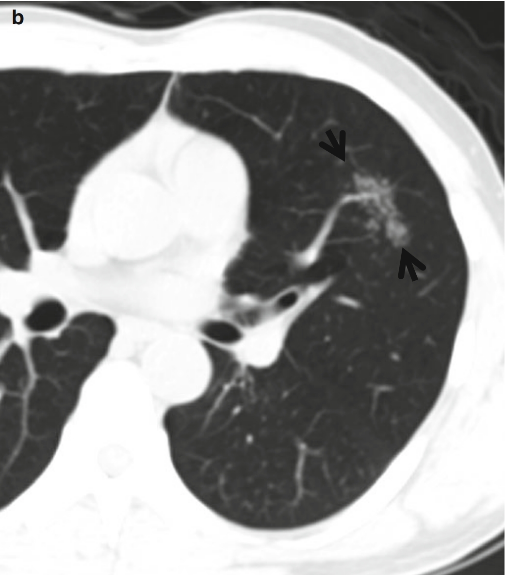
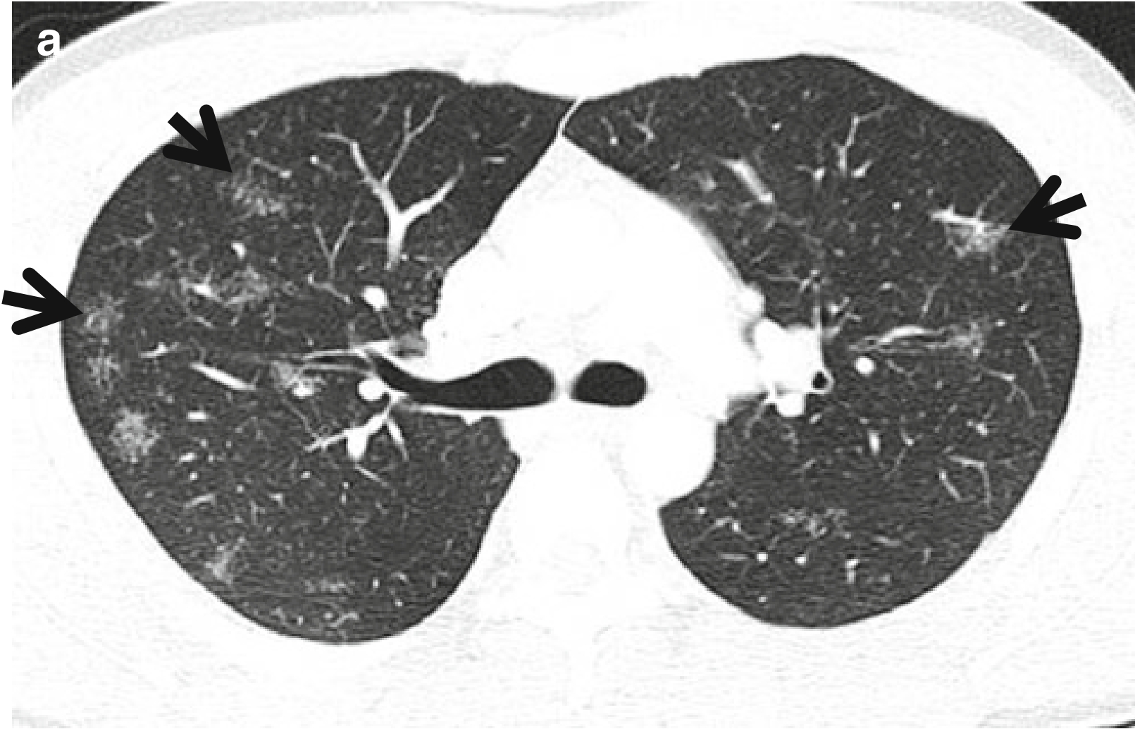
患者男性,44 岁,活动性肺结核。

(a.b)连续CT扫描(层厚=5.0 mm,低剂量模式)于右中间段支气管水平,可见左肺上叶上舌段CT星系征(箭头所示)。在层厚相对较厚的CT图像上。需要注意的是,不能把星系征看成磨玻璃密度影而诊断为浸润性肺腺癌。

(c)左肺上叶外科活检大体病理标本;可见多发结节状小肉芽肿相互聚集(箭头所示)。

(d)低倍光镜(×4)下可见:细支气管周围间质内见聚集的多发肉芽肿结节、其中心可见坏死。肉芽肿向心性汇聚,外围较分散。Br.细支气管。


临床意义:肺结核患者肺CT若出现星系征,提示病灶是活动性的,抗结核治疗后星系征可消退。

肺结节病的星系征也是可逆的。

Heo等人报道称,在肺结核中比在结节病中更常见到单发的星系征。


鉴别诊断要点

1.CT单发(而非多发)星系征提示肺结核的诊断。

2.相比结节病,肺结核的星系征具有好发区域,常见于特定区域,如肺上叶和下叶背段。肺结核CT星系征常伴有树芽征,而肺门或纵隔淋巴结肿大则多见于肺结节病。

肺结核星系征

病理学:肺结核最主要的组织学变化是肉芽肿、坏死和空洞形成;病灶可演变成纤维化及钙化。多发肉芽肿的聚结形成星系征(成串的结核肉芽肿)。


症状与体征:咳嗽是活动性肺结核最常见的症状,可表现为干咳,疾病进展时多有痰;可有咯血、胸痛和胸闷,常伴有全身症状,包括发热、倦怠、疲乏、体重减轻、盗汗和纳差。患者也可无症状。


CT表现:CT表现为上叶和下叶背段簇状的单发或多发结节伴星系征,或星系征不伴有淋巴结肿大、树芽征,均支持肺结核的诊断,而非肺结节病(图2和图3)。

d5f43485d78e1e8026e2672619e19f66.png7f4531d27bf3ee8adcec0c6539c077c6.png

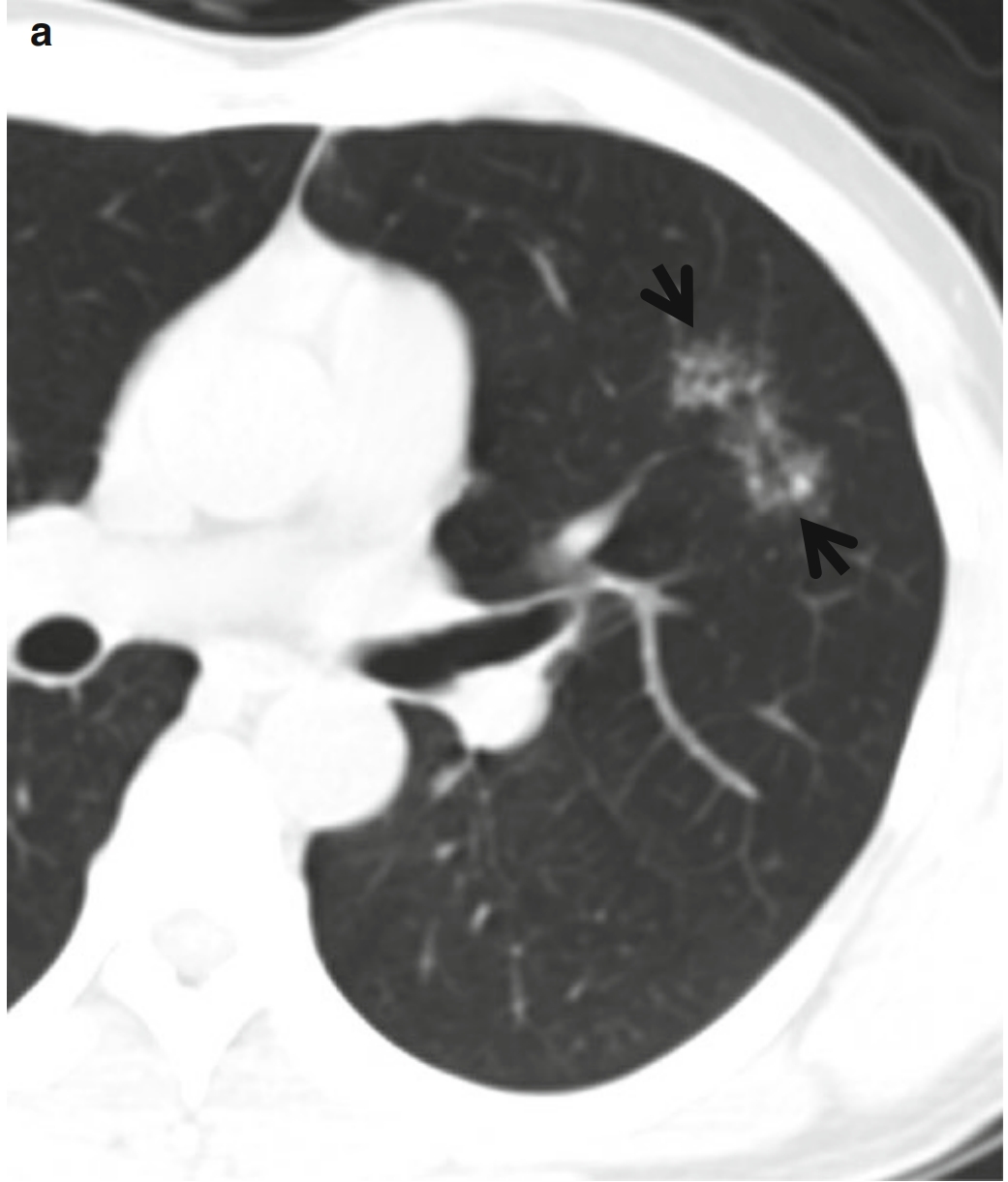
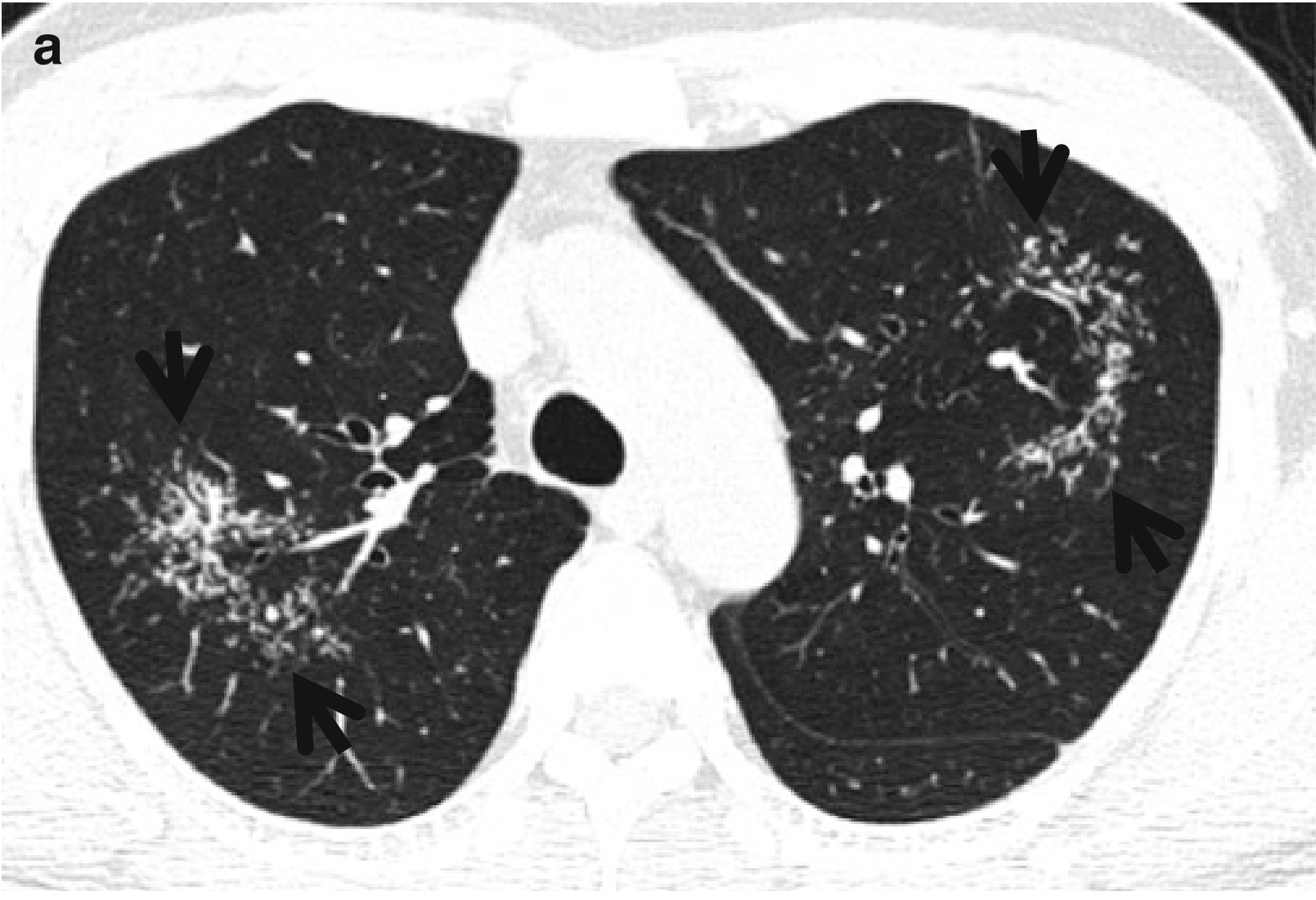
图3 CT星系征。男,53岁,活动性肺结核患者。薄层CT扫描(层厚=2.5mm)分别于主动脉弓水平(a)和奇静脉弓(b)水平肺窗示双肺上叶和左肺下叶背段的星系征(箭头所示)。


CT-病理对照:在 HRCT上,CT星系征反映了多发肉芽肿的聚结,越往簇中心肉芽肿越密集,当肉芽帅结合得不甚紧密时,光镜下可分辨单个的肉芽肿(图2)。


预后:采用目前的标准方案治疗6个月,即联合应用4种一线药物(异烟肼、利福平、吡嗪酰胺和乙胺丁醇),对药物敏感性肺结核的治愈率超过95%。

对多重耐药(multidrug-resistant MDR)的肺结核患者,须长疗程使用二线药(至少20个月)。广泛耐药(XDR)肺结核极难治愈。

对局限性MDR或XDR肺结核患者,可药物联合外科切除治疗。

精选文章
更多精选文章