肌骨系统 - 2023-08-18 10:54:35
半月板根部解剖与MRI对照

半月板根部是膝关节中一个重要的解剖结构,它对于维持半月板的正常位置和生物力学功能起着至关重要的作用。以下将详细论述半月板根部的解剖与MRI解剖对照。

01
半月板根部解剖

  1. 定义与位置

    • 半月板根部是将半月板前后角固定于胫骨髁间前后区的连接部分,分为前根部与后根部。

    • 内侧半月板前根部附着于前交叉韧带(ACL)的胫骨附着点前方,后根部附着于后交叉韧带(PCL)的胫骨附着点前方。

    • 外侧半月板前根部附着于胫骨平台外侧,后根部附着于胫骨平台后外侧。

  2. 形态与结构

    • 半月板根部是致密的纤维结构,具有较强的抗拉伸应力。

    • 内侧半月板根部较宽且短,外侧半月板根部则相对较长且细。

  3. 功能

    • 半月板根部在力的传导与分布中将上下应力转化为箍形应力,保护上下关节面。

    • 当半月板根部损伤时,会导致半月板移位,丧失其正常功能,增加关节软骨损伤退变的风险。

02
MRI解剖对照

MRI(磁共振成像)是评估半月板根部损伤的重要影像学手段。通过MRI,可以清晰地显示半月板根部的形态、信号特点及附着点位置。

  1. 正常MRI表现

    • 信号特点:半月板根部在MRI上通常呈现与半月板主体相似的低信号或稍高信号。

    • 形态与走行:MRI可以清晰地显示半月板根部的形态和走行方向,特别是其附着于胫骨平台的位置。

    • 附着点位置:MRI能够准确显示半月板根部附着于胫骨平台的精确位置,这对于诊断根部损伤至关重要。

  2. 损伤MRI表现

    • 信号改变:当半月板根部发生损伤时,MRI上可出现信号增高或混杂信号,提示根部撕裂或水肿。

    • 形态异常:根部损伤可能导致其形态发生改变,如根部变细、断裂或移位。

    • 附着点分离:在MRI上可观察到根部与胫骨平台的附着点分离,这是根部撕脱的典型表现。

03
MRI在半月板根部损伤诊断中的应用

MRI在半月板根部损伤的诊断中具有以下优势:

  1. 无创性:MRI检查无需侵入性操作,对患者无创伤。

  2. 高分辨率:MRI能够提供高分辨率的图像,清晰显示半月板根部的细微结构。

  3. 多平面成像:MRI可进行冠状面、矢状面和横断面的多平面成像,全面评估半月板根部的损伤情况。

  4. 早期诊断:MRI能够早期发现半月板根部的微小损伤,为临床干预提供及时依据。

617c4971c2d99e45bcf6420a8f7c7095.jpeg

图1A-59岁男性。

黑色长箭头表示内侧半月板(MM)前根;黑色短箭头表示内侧半月板后根;白色长箭头表示外侧半月板(LM)前根;白色短箭头表示外侧半月板后根。上视图显示了右侧胫骨关节面上的相对插入部位位置。

89141a96fc81e5eb8bc204b47a14e7e9.jpeg

图1B-59岁男性大体标本。

黑色长箭头表示内侧半月板(MM)前根;黑色短箭头表示内侧半月板后根;白色长箭头表示外侧半月板(LM)前根;白色短箭头表示外侧半月板后根。主视图显示了与前交叉韧带(星号)、后交叉韧带(P)、后股关节Wrisberg韧带(黑色箭头)和膝横韧带(白色箭头)的关系。

6f2db9ab6f006de86b562ba55d7d4251.jpeg

图1C-59岁男性。

黑色长箭头表示内侧半月板(MM)前根;黑色短箭头表示内侧半月板后根;白色长箭头表示外侧半月板(LM)前根;白色短箭头表示外侧半月板后根。侧视图显示了去除软组织结构后胫骨插入部位的相对位置。星号表示前十字韧带。P =后交叉韧带。

f862b6cff7f721a1529142d7c1ec8b07.jpeg

图1D-59岁男性大体标本。

黑色长箭头表示内侧半月板(MM)前根;黑色短箭头表示内侧半月板后根;白色长箭头表示外侧半月板(LM)前根;白色短箭头表示外侧半月板后根。照片对应于C。MP =内侧胫骨平台,MT =内侧胫骨结节,LT =外侧胫骨结节,LP =外侧胫骨平台。P =后交叉韧带。

250f892f7eceac83cd55473784457a3c.jpeg

59岁男性大体标本。

照片显示了膝前根、膝横韧带和前交叉韧带胫骨止点的解剖关系。膝关节前视图,切除半月板和韧带,显示内侧半月板前根(黑色箭头)在前髁间嵴(箭头)、外侧半月板前根(白色箭头)和ACL胫骨插入部位(星号)上的轮廓。LP =外侧胫骨平台,LT =外侧胫骨结节,MP =内侧胫骨平台,MT =内侧胫骨结节。

ec19cff161955ec7aeb91df2e4ee4529.jpeg

59岁男性大体标本。

照片显示了膝前根、膝横韧带和前交叉韧带胫骨止点的解剖关系。膝关节前视图,半月板和韧带就位,显示内侧半月板前根(黑色箭头)、外侧半月板前根(白色箭头)、ACL(星号)和膝横韧带(钩)的关系。

845d2c53ebac21611869406bcff6a625.jpeg

59岁男性大体标本。

照片显示了膝前根、膝横韧带和前交叉韧带胫骨止点的解剖关系。前交叉韧带切除后的膝关节前视图(星号)显示外侧半月板前根(白色箭头)和内侧半月板前根纤维(黑色箭头)的共同插入。

ada45784ed7dd56fa1d17c892210c599.jpeg

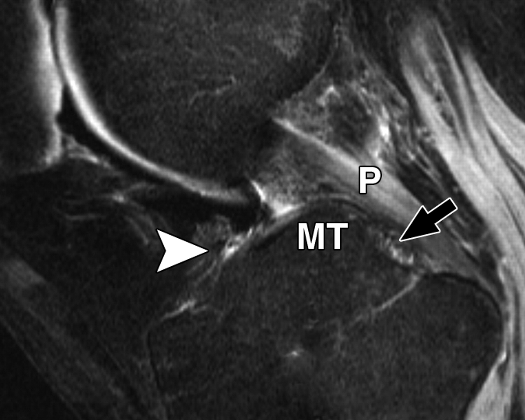
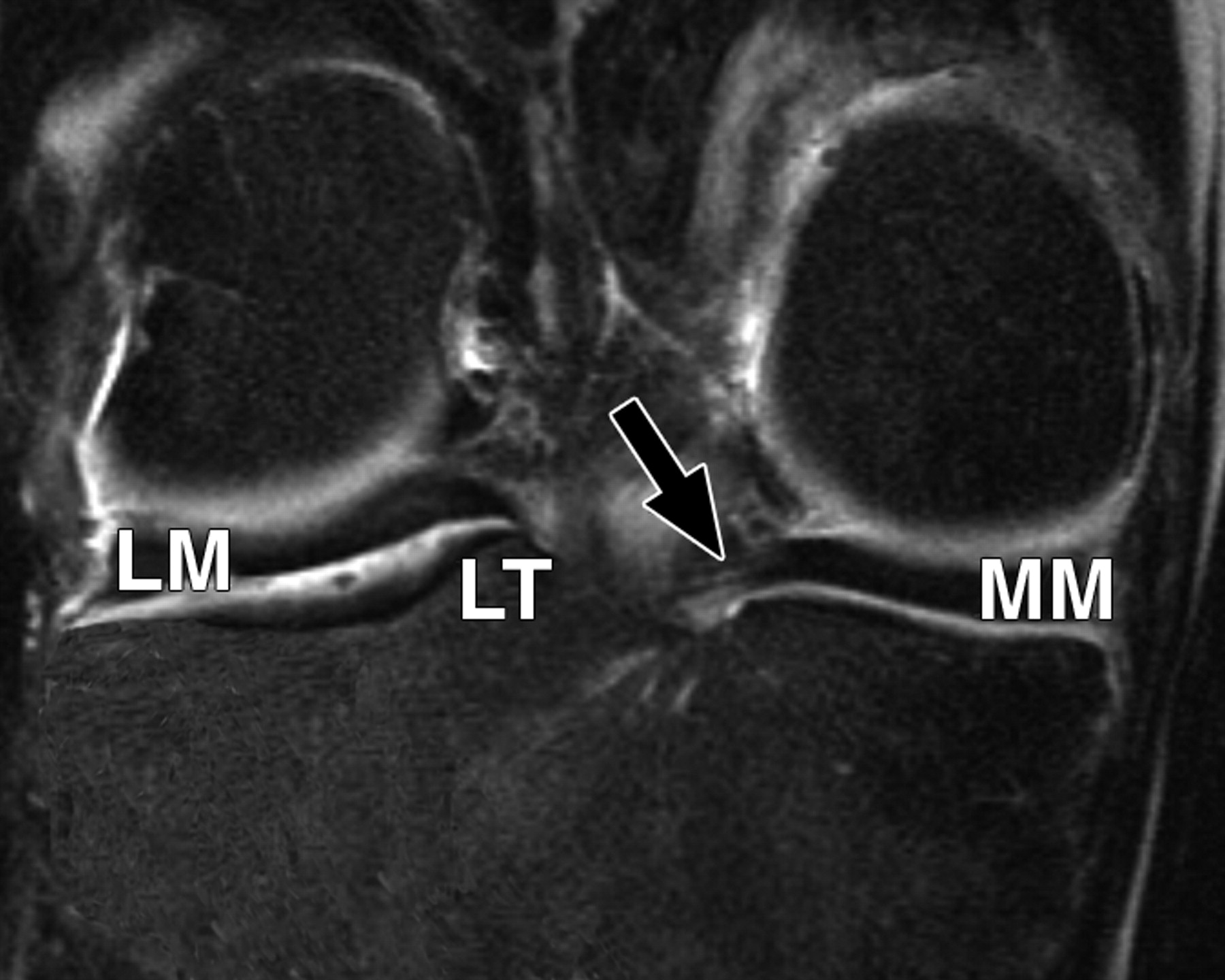
图3A-51岁女性。

膝关节的中等加权、脂肪饱和、快速自旋回波(TR/TEeff,3,700/29)3-T MR图像显示了膝关节前根、前交叉韧带(ACL)和膝横韧带的解剖关系。经胫骨前平台的冠状面MR图像显示内侧半月板前根(箭头)和膝横韧带(箭头)分离。MM =内侧半月板。

c72f940e7a2b62d20ba7c9ccc9eff2c3.jpeg

图3B-51岁女性。

膝关节的中等加权、脂肪饱和、快速自旋回波(TR/TEeff,3,700/29)3-T MR图像显示了膝关节前根、前交叉韧带(ACL)和膝横韧带的解剖关系。相对于A的后部冠状位MR图像显示内侧胫骨结节(MT)外侧斜面上外侧半月板(LM)前根的附着点(圆圈)接近ACL胫骨附着点(星号)。P =后交叉韧带,MM =内侧半月板。

ceae63087eb77753c66b161130d735bf.jpeg

图3C-51岁女性。

膝关节的中等加权、脂肪饱和、快速自旋回波(TR/TE,3,700/29)3-T MR图像显示了膝关节前根、前交叉韧带(ACL)和膝横韧带的解剖关系。相邻中线MR图像显示内侧半月板前根(箭头)在髁间嵴前部相对于膝横韧带(白色箭头)和ACL(星号)的插入。黑色箭头表示里斯伯格韧带。P =后交叉韧带。

eb13babf5e9b8d8f8cdc165a92bdcb48.jpeg

图3D-51岁女性。

膝关节的中等加权、脂肪饱和、快速自旋回波(TR/TEeff,3,700/29)3-T MR图像显示了膝关节前根、前交叉韧带(ACL)和膝横韧带的解剖关系。B侧位的关节旁MR图像显示外侧半月板前根(箭头)插入处与膝横韧带(白色箭头)后方的ACL(星号)混合。黑色箭头表示里斯伯格韧带。

601f9e56c569d9e0b81247771827e666.jpeg

图4A-59岁男性大体标本。

照片显示了前、后交叉韧带胫骨止点的解剖关系。

胫骨平台的后视图,去除了韧带和韧带,显示了外侧半月板后根(白色箭头)、内侧半月板后根(黑色箭头)和后交叉韧带(P)的附着点轮廓。MP =内侧胫骨平台,MT =内侧胫骨结节,LT =外侧胫骨结节,LP =外侧胫骨平台。

876e6aa3ed959ec44608ba1418643771.jpeg

图4 B-59岁男性大体标本。

照片显示了前、后交叉韧带胫骨止点的解剖关系。

膝关节后视图显示外侧半月板后根(LM)(白色箭头)的止点比内侧半月板后根(MM)(黑色箭头)和后交叉韧带(P)的止点更靠前。前交叉韧带止点(星号)在结节间嵴的前面,但由于摄影变形,看起来更靠近外侧半月板后根。

9cbb36ee1c712979ea32a2768ae4d5b4.jpeg

图4C-59岁男性大体标本。

照片显示了前、后交叉韧带胫骨止点的解剖关系。

去除交叉韧带后的膝关节后视图对应于B。长白色箭头表示外侧半月板(LM)的前根。短白色箭头=外侧半月板后根,黑色箭头=内侧半月板后根(MM),MT =内侧胫骨结节,LT =外侧胫骨结节,P =后交叉韧带。

b7f7849fc4e0c575ecbf3579ea426282.jpeg

图5A-59岁男性。

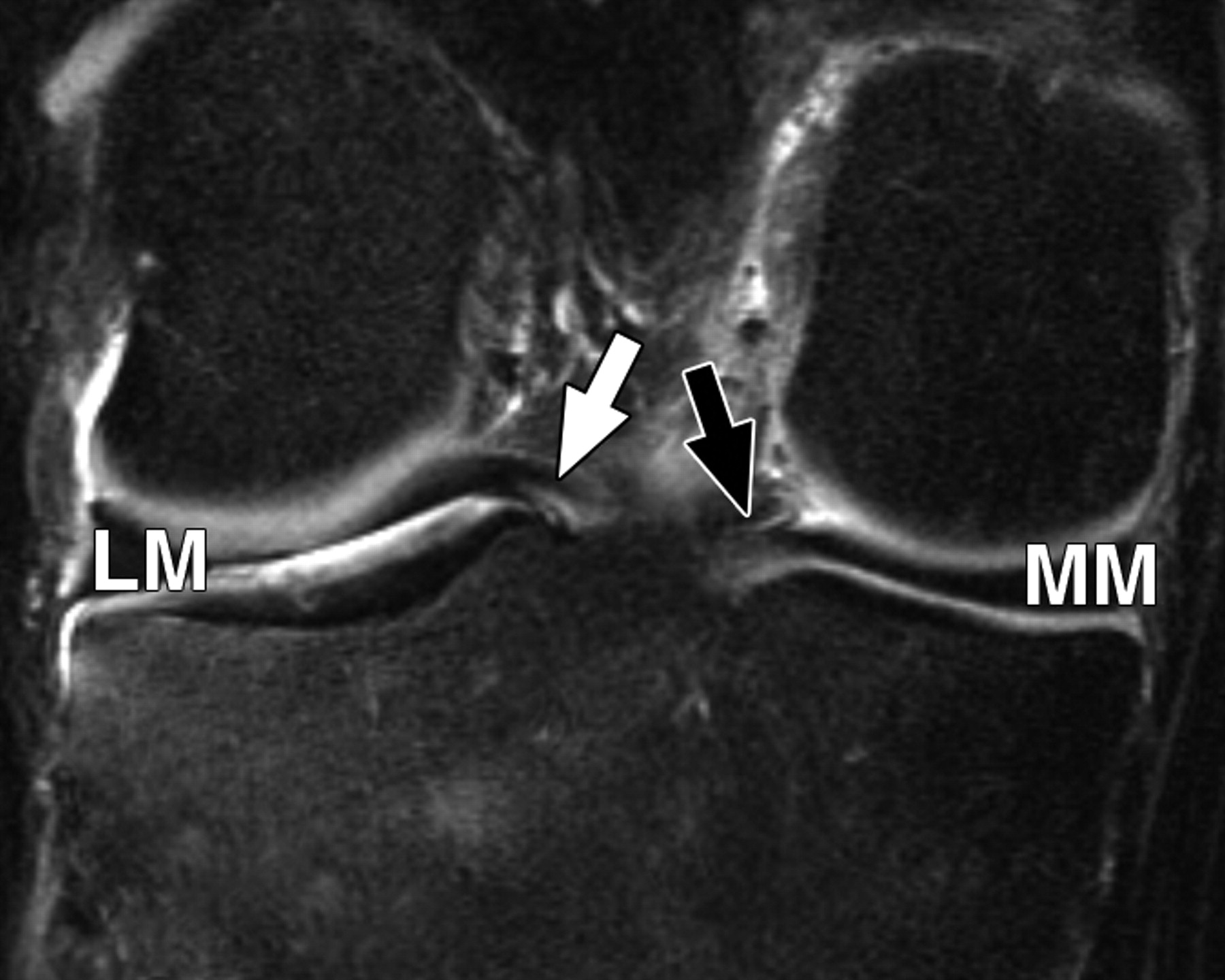
中等加权、脂肪饱和、快速自旋回波(TR/TE有效值,3,700/29)3-T MR图像显示半月板后根和交叉韧带的解剖关系。

冠状面MR图像显示内侧半月板(MM)后根(箭头)覆盖后髁间区域的一个以上切片厚度。LM =外侧半月板。LT =胫骨外侧结节。

5520cf3c3107bcbe16a450c0ac30f232.jpeg

图5 B-59岁男性。中等加权、脂肪饱和、快速自旋回波(TR/TE有效值,3,700/29)3-T MR图像显示半月板后根和交叉韧带的解剖关系。

冠状面图像依次位于A的腹侧,显示外侧半月板后根(LM)(白色箭头)和内侧半月板后根(MM)(黑色箭头,B)的插入,覆盖后髁间区域的一个以上切片厚度。MT =胫骨内侧结节。

107f7f7cbccc5f7ef7f135a981bab0b2.jpeg

图5C-59岁男性,中等加权、脂肪饱和、快速自旋回波(TR/TE有效值,3,700/29)3-T MR图像显示半月板后根和交叉韧带的解剖关系。

冠状面图像依次位于A的腹侧,显示外侧半月板后根(LM)(白色箭头)和内侧半月板后根(MM)(黑色箭头,B)的插入,覆盖后髁间区域的一个以上切片厚度。MT =胫骨内侧结节。

56ddb74b91044972475ef5d11ebdf151.jpeg

图5D-59岁男性,中等加权、脂肪饱和、涡轮自旋回波(TR/TE eff,3,700/29)3-T MR图像显示半月板后根和交叉韧带的解剖关系。

通过后交叉韧带(P)的矢状图像显示内侧半月板后根的插入部位(箭头)相对于韧带插入部位位于前方。MT =胫骨内侧结节。箭头表示膝前韧带。

42c13cbcda85f48ee1b78f01bdc329d0.jpeg

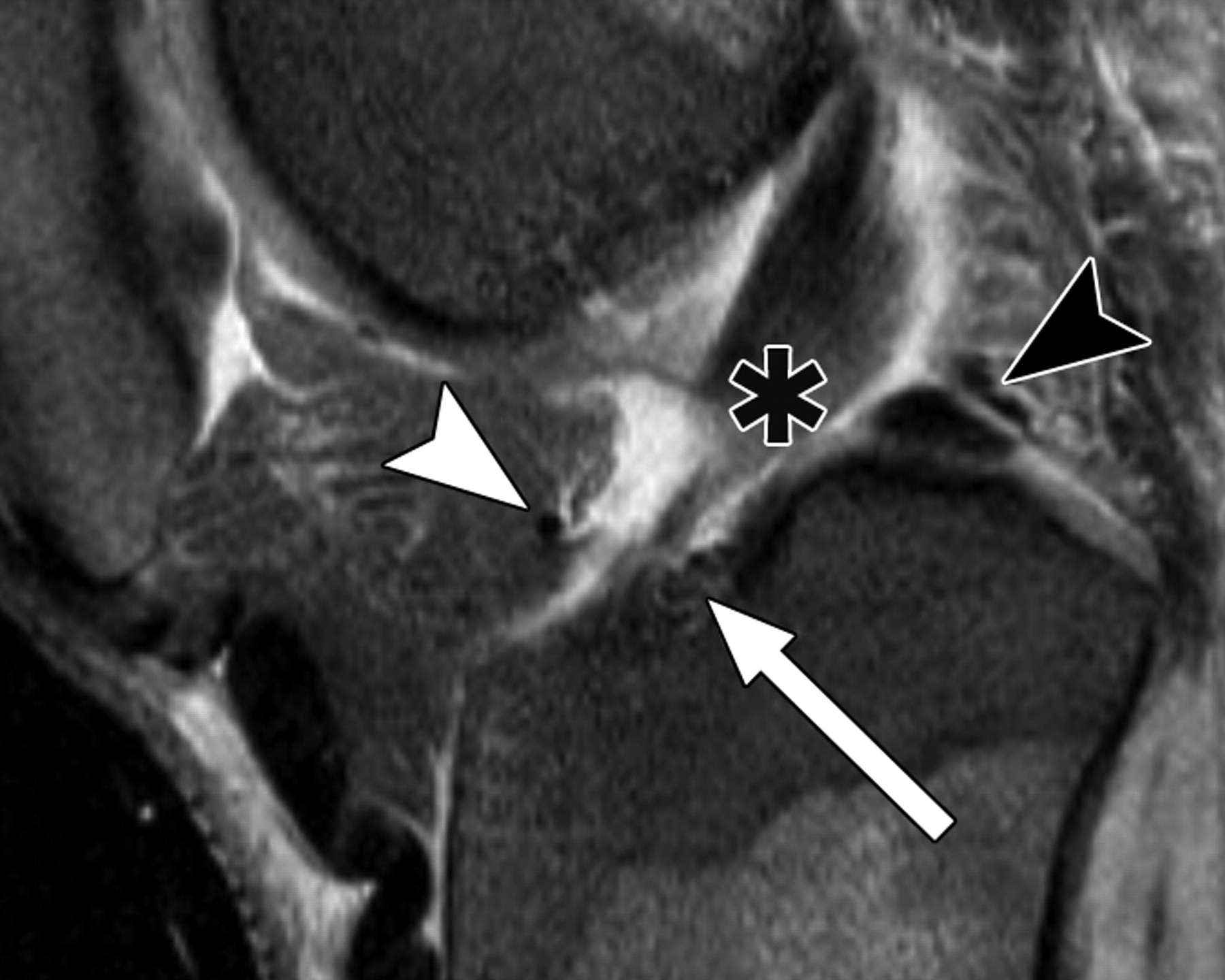
图5E-59岁男性,中等加权、脂肪饱和、快速自旋回波(TR/TE,3,700/29)3-T MR图像显示半月板后根和交叉韧带的解剖关系。

通过前交叉韧带(星号)的MRI图像显示外侧半月板后根的附着点(箭头)相对于内侧半月板的附着点稍靠前。圆圈表示前交叉韧带和外侧半月板前根的共同附着点。箭头表示膝前韧带。P =后交叉韧带。

来源:The Meniscal Roots: Gross Anatomic Correlation with 3-T MRI Findings,American Journal of Roentgenology

精选文章
更多精选文章