腹部(消化、泌尿生殖) - 2023-06-19 10:09:55
男性盆底的磁共振解剖

盆底是一个复杂的结构,支持盆腔器官,提供静息张力,并随意控制尿道和肛门括约肌。

盆底功能障碍或盆底损伤可导致胃肠道、泌尿和性功能障碍。男性盆底疾病的患病率比女性低很多,正因为如此,大多数关于盆底MRI的文献都是针对女性盆底的。男性盆底在解剖学和病理生理学上存在性别差异。


尽管存在这些差异,这些疾病的静态和动态MRI特征,特别是胃肠道疾病,在两性中是相似的。MRI和MR排便造影可用于评估与盆底相关的肛门直肠疾病。MRI也可用于前列腺切除术后,以帮助预测术后尿失禁的风险,通过动态排尿MR膀胱尿道造影术评估术后功能,进而评估尿失禁治疗失败的原因。慢性疼痛导致的盆腔肌肉张力增加可能引发性功能障碍。


本文将回顾正常的男性盆底解剖及不同于女性盆底的相关知识;男性骨盆的磁共振成像技术;以及与男性盆底结构异常相关的泌尿、胃肠和性功能疾病。

96db075293b7f92c79699b42fa6cf709.jpeg

形成浅会阴囊及尿生殖膈的男性盆底,肌肉,筋膜的下面观。

从1点钟方向顺时针分别为:

bulb of penis=尿道球部;

bulbospongiosus muscle=球海绵体肌;

perineal body=会阴体;

perineal membrane=会阴膜;

gluteus maximus muscle=臀大肌;

external anal sphincter=肛门外括约肌;

internal anal sphincter=肛门内括约肌;

levator ani muscle roofing ischioanal fossa=覆盖坐骨肛门窝的肛提肌;

ischial tuberosity=坐骨结节;

superficial transverse perineal muscle=会阴浅横肌;

ischiocavernosus muscle=坐骨海绵体肌;

ischiopubic ramus=坐耻支;

crus of penis=阴茎脚。

6ba56e878b3325c72bd05961287e0f56.jpeg

形成盆腔膈的男性盆底肌肉筋膜的上面观。


从1点钟方向顺时针分别为:

inferior pubic ligament=耻骨下韧带;

hiatus for deep dorsal vein of penis=阴茎背深静脉的裂孔;

transverse perineal ligament=会阴横韧带;

muscle fibers from levator ani to conjoined longitudinal muscle of anal canal=从肛提肌到肛管联合纵肌的肌纤维;

puborectalis muscle=耻骨直肠肌;

tendinous arch of levator ani muscle=肛提肌腱弓;

obturator internus muscle=闭孔内肌;

iliococcygeus muscle=髂尾肌;

ischiococcygeus muscle=坐骨尾骨肌;

piriformis muscle=梨状肌;

anterior sacrococcygeal ligament=骶骨前韧带;

anorectal hiatus=肛门直肠裂隙;

sacrum=骶骨;

pubococcygeus muscle=耻尾肌;

ischial spine=坐骨棘;

wing of ilium=髂骨翼;

arcuate line=弓状线;

obturator fascia=闭孔肌筋膜;

obturator canal=闭孔管;

superior pubic ramus=耻骨上支;

perineal membrane=会阴膜;

hiatus for urethra=尿道裂隙;

pubic symphysis=耻骨联合

06c54491c7afb90ab037a53ed3366c01.jpeg

男性盆腔矢状位示意图,展示盆腔器官,肌肉结构及某些筋膜的解剖位置。


从1点钟方向顺时针分别为:

膀胱;直肠膀胱陷窝;直肠膀胱隔;尾骨;直肠前列腺筋膜;肛提肌;直肠;肛门外括约肌;肛门内括约肌;尿道内括约肌;会阴深横肌;尿道前列腺部;尿道外括约肌;悬韧带;耻骨前列腺韧带;耻骨联合;前列腺;耻骨后间隙;腹直肌。

713e2b695b4e15d63bd530873778ca7b.jpegfe37050b09339c776e69572d0f7a2085.jpegc6689bbfea7b1ec0497392325af8da2a.jpeg1e77dbfb756834926f2750b357aa76c8.jpeg914086d7376105f30e2135f1e9839bed.jpega589c3715e2fb862bc85258e9a239342.jpeg7456b8b7410799f7b171f3cc1d8b4ccc.jpeg

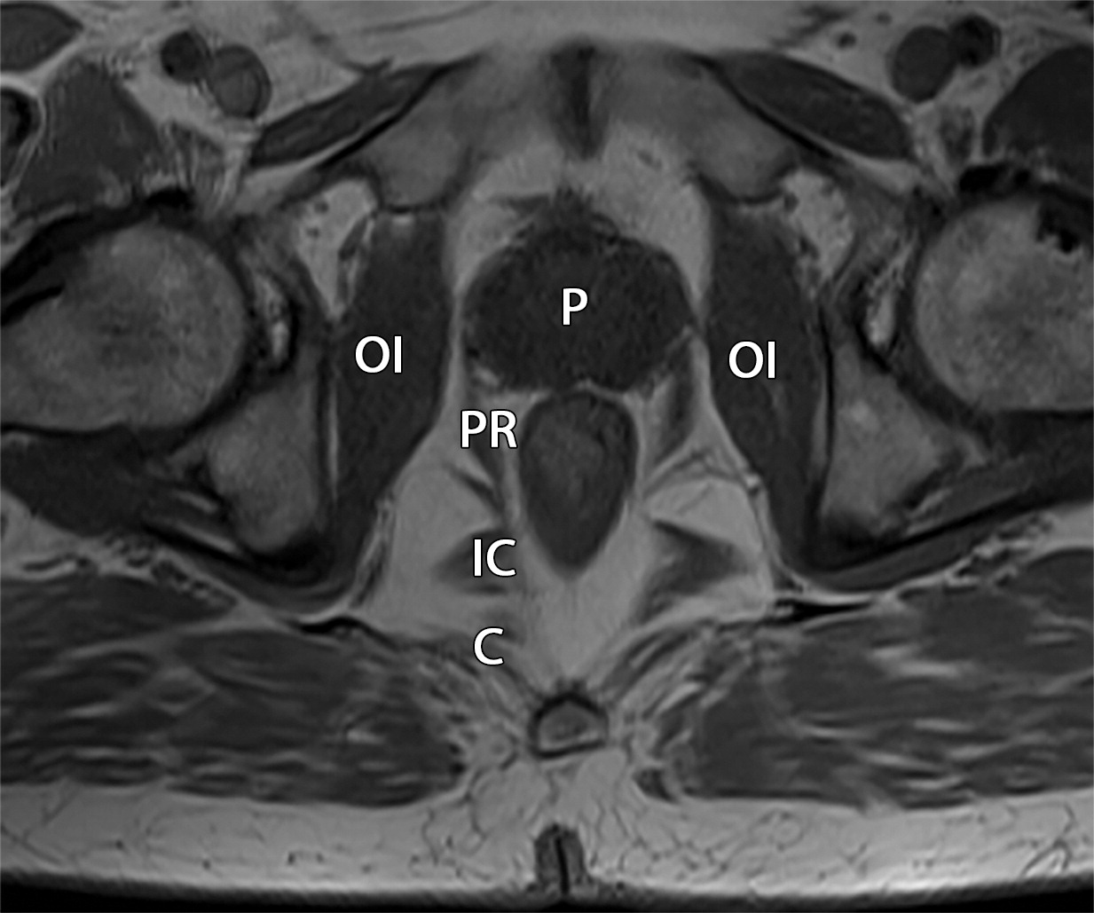
50岁以上男性骨盆和盆底的MRI解剖。

提肛肌(LA),由耻骨直肠肌(PR)、耻骨尾骨肌(PC)和髂尾骨肌(IC)组成;尾骨肌(C),前列腺(P),闭孔内肌(OI),会阴浅横肌(STP),球海绵体肌 (B), 坐骨海绵体肌(ISC),肛门外括约肌(EAS),肛门内括约肌(IAS),直肠(R),尿道括约肌(SU),也称为尿道外括约肌(U),它包围着整个膜性尿道。6774449af17bb1b8df6e83ab4e9fa158.jpeg

21275e03960898e722a126e0e4375034.jpeg

(上图)70岁男性,轴位T2WI示右侧会阴横肌的瘢痕及增厚(上图黑色短箭头),左侧会阴横肌相对萎缩(上图黑色长箭头)。

(下图)40岁无症状男性,轴位T2WI示正常的解剖结构(下图弯曲黑色箭头)。

6d6d81d3c968fb4da4c4e0914b865b2a.jpeg阴茎背侧静脉的血栓栓塞。

一个偶然发现的血栓,导致阴茎背静脉的正常血流流空信号消失,伴近端不规则扩张(白色短箭头),白色长箭头标识直肠癌。图中标注了尿道的四个部分,1=前列腺前部,2=前列腺部,3=膜部,4=海绵体部。

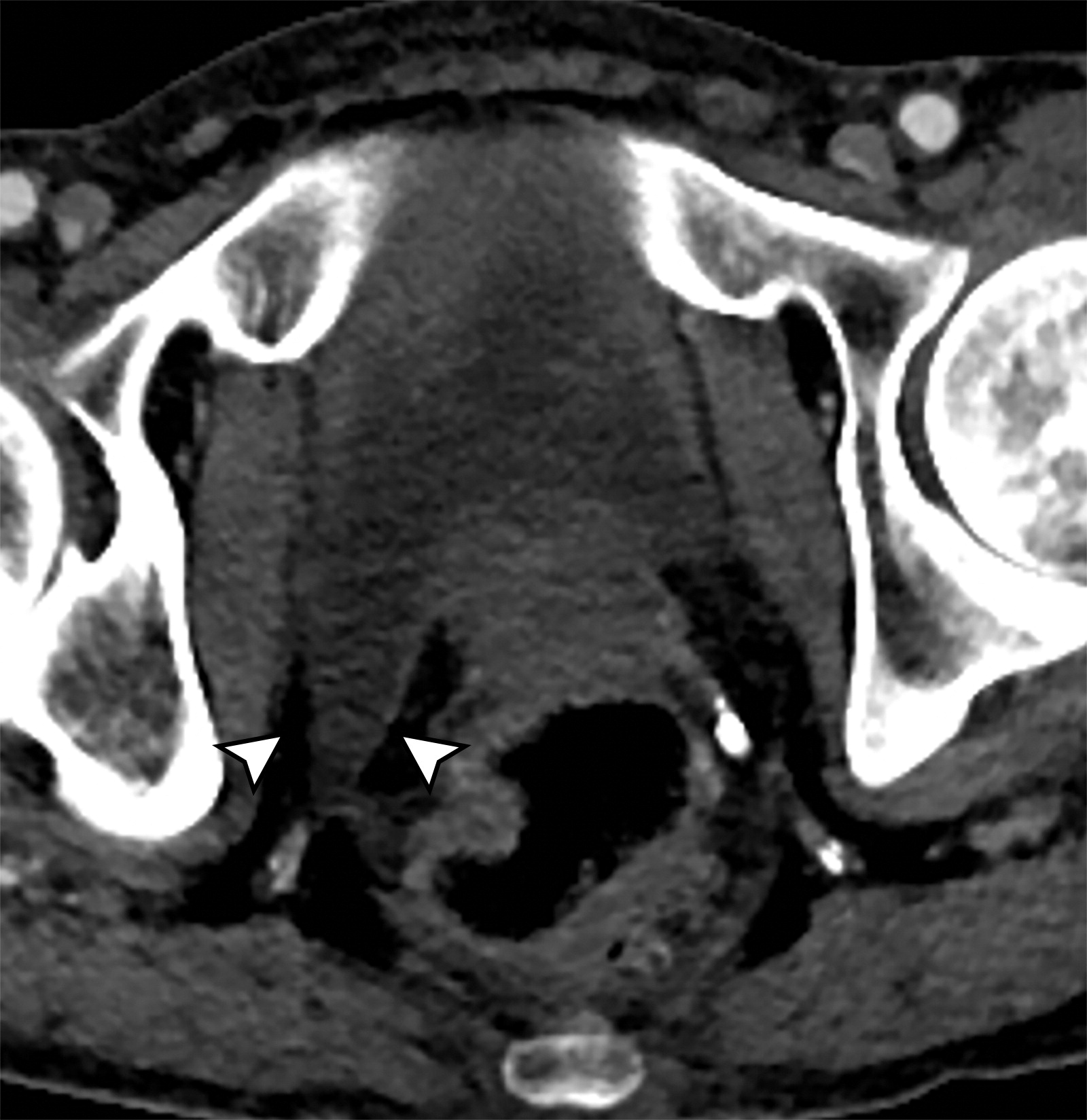
1327c40cd0748e6d87b4cfea2fce8541.jpeg5e035c7e4059e08fb1d03d282633f38e.jpeg髂尾肌的不同形态。

(上图)右侧髂尾肌萎缩(上图白色长箭头),复发性直肠腺癌(上图黑色字母A),(下图)另一个患者,双侧髂尾肌增厚(下图黑色短箭头)。

b4bc7b454536c7726725d2e5cd032738.jpeg4fdc2ac6ab3fbd2a5d2c4570d367fe6c.jpeg

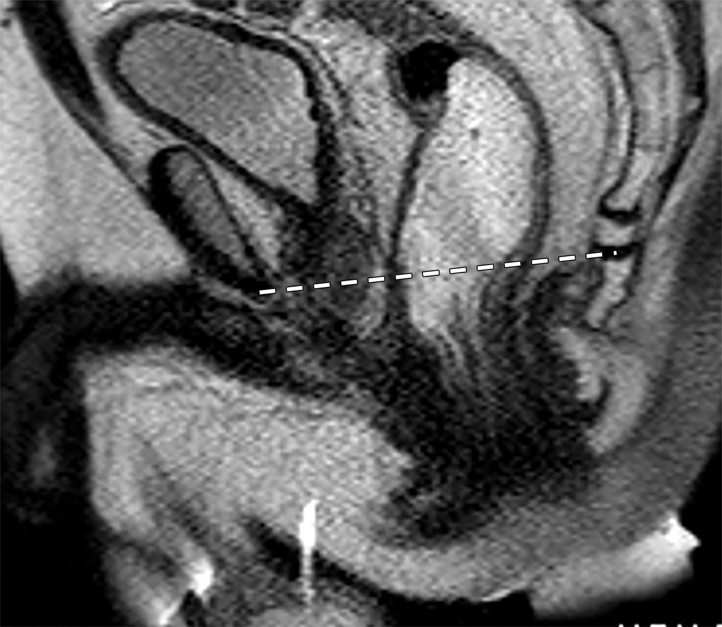
在Denonvillier筋膜和直肠后壁之间注射垫片的成功案例和失败案例。

(上图)成功案例,垫片(上图中黑色字母S)位于Denonvillier筋膜(上图中白色长箭头)与直肠壁之间,用于减少前列腺放疗的毒性作用。

(下图)失败案例,垫片位于前列腺周围血管(白色短箭头),这是当垫片注射至Denonvillier筋膜前方的时候(下图白色虚线点)一种潜在的并发症。

2e7c5baccf23e3a9e5963d9537af7b54.jpeg

马鞍袋征阳性。

膀胱右壁向后下垂(白色短箭头),这可能继发于Denonvillier筋膜的缺损。

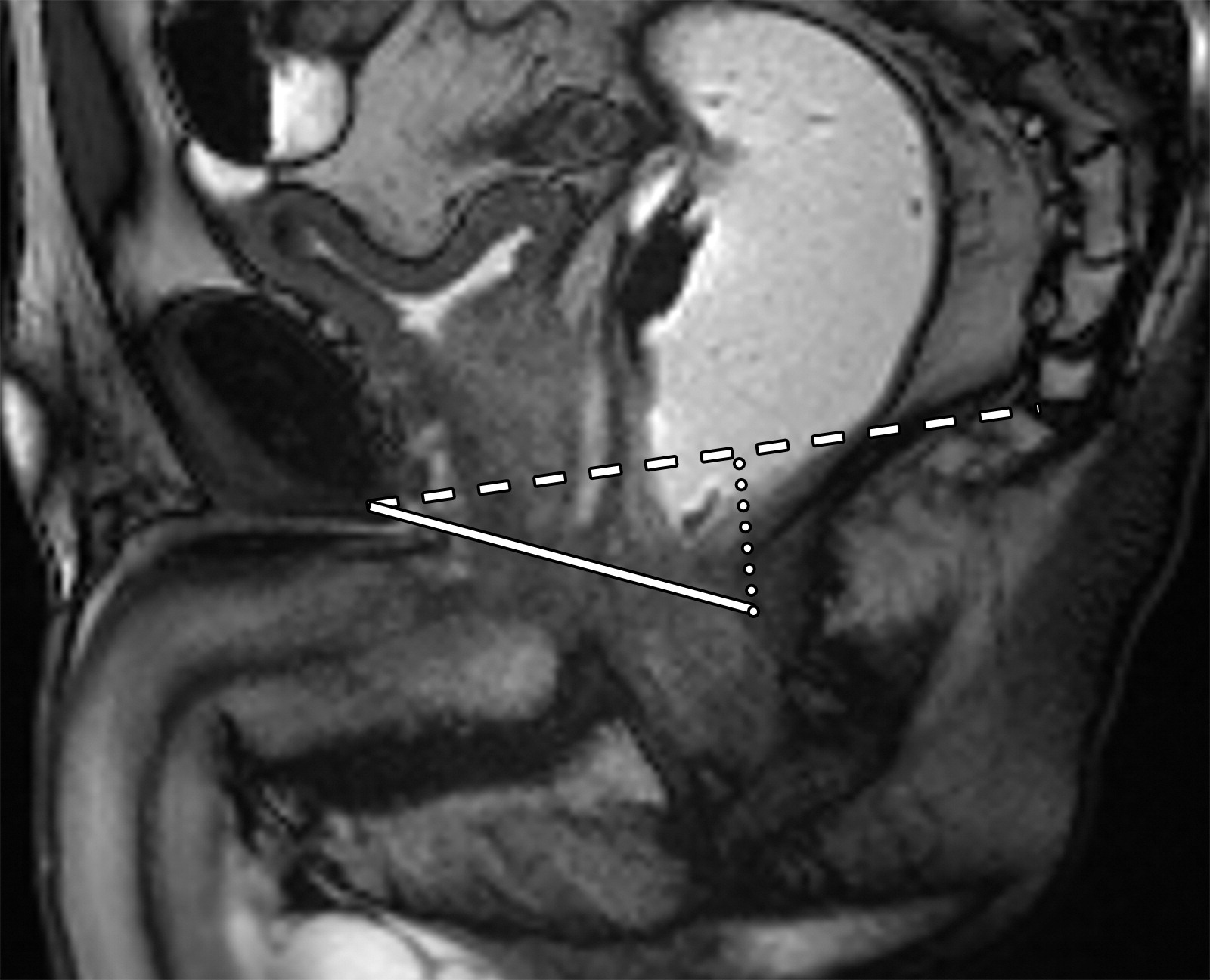
5aeb481c35f3f44c06292ac752840c01.jpeg

盆底标志线,包括PCL(白色长虚线)、H线(白色实线)、M线(白色点状虚线)。

PCL是一条从耻骨联合下缘延伸到最后尾骨关节的线。H线从耻骨联合下缘延伸至直肠后壁的线,代表提肌裂孔的前后宽度。M线是从PCL到H线的一条垂线,表示提肌裂孔下降的距离。

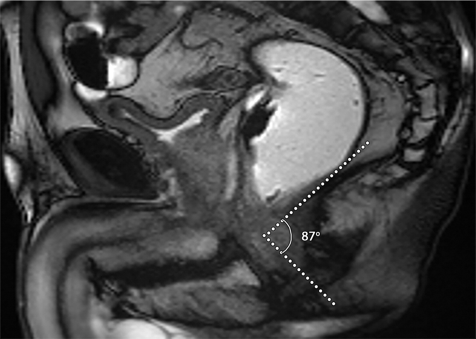
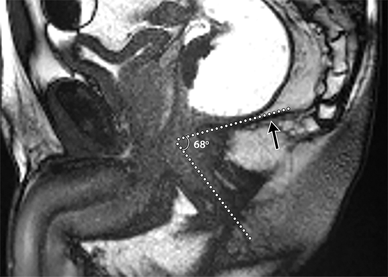
02b30ed4a7e2f5b218cd7c859419af04.jpegd7d20971f4726c22874ec1f489d536ad.jpeg6a942d5d2d6e82f6400de4b653353430.jpeg63岁男性的肛门直肠角。

(a)矢状位T2WI示肛门直肠角,即肛管中轴与远端直肠后壁之间的夹角为87°(白色点状虚线)。男性静息时正常角度约101°(图片未显示)。

(b)矢状位T2WI示提肛板(b图黑色长箭头)在增加腹压过程中正常抬高,导致肛门直肠角下降至68°。

(c)矢状位T2WI示肛门直肠角在紧张和排便期间预期增加到97°。

60daa71d4f08707dff67558236fa97a8.jpeg

56077a6914540b170f5f1bc01d7b9ad2.jpeg

d282a23ed81d4b9721092120f9efffe2.jpeg

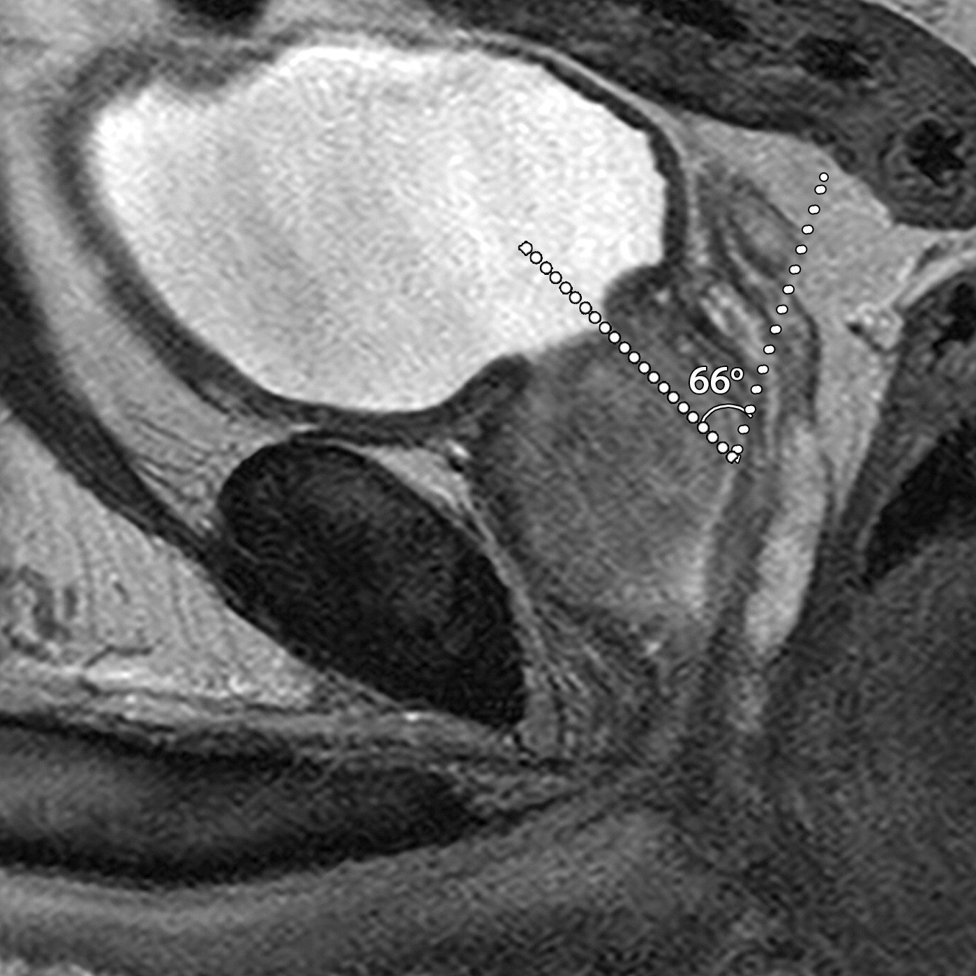
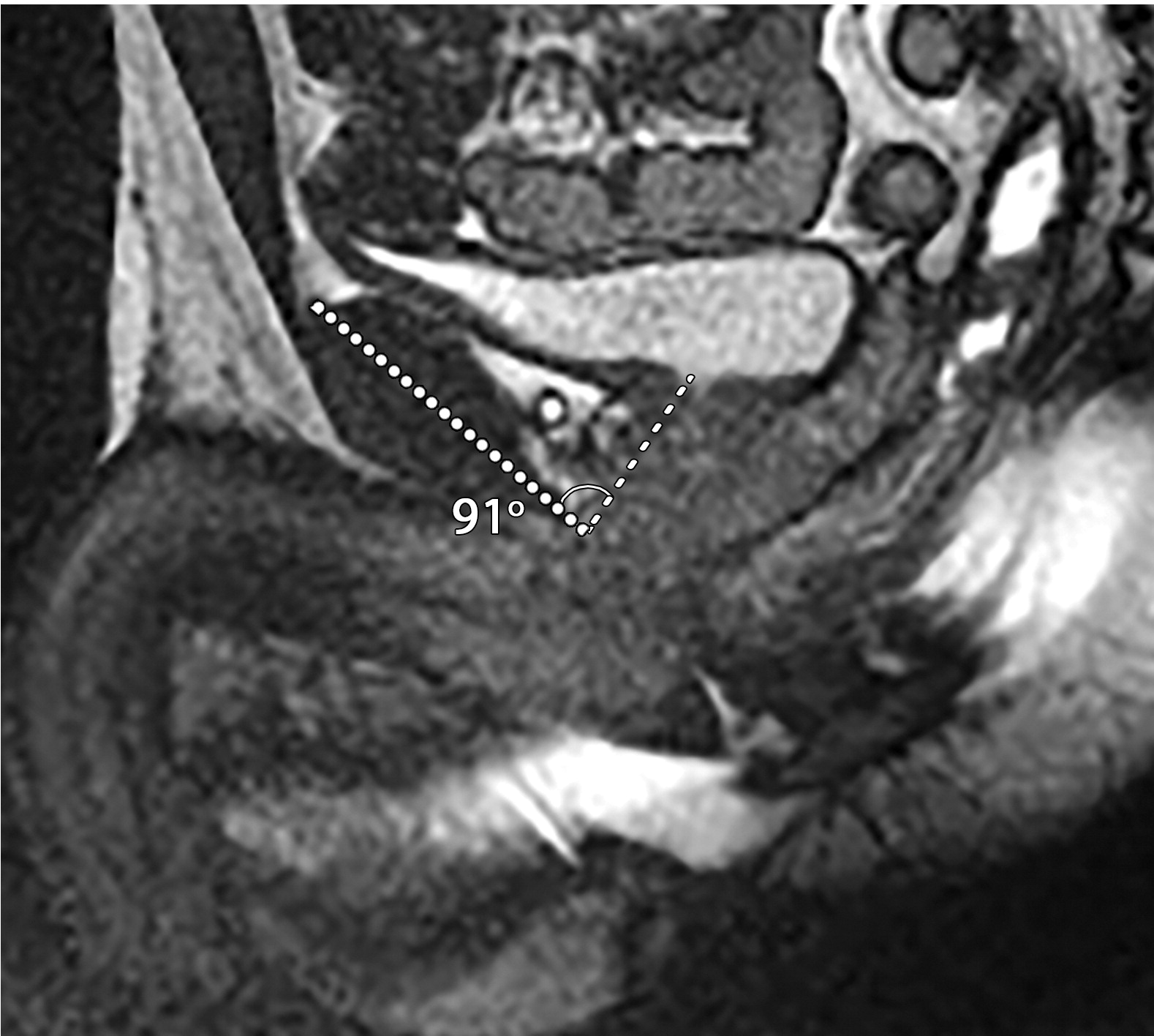
耻骨前列腺和前列腺尿道角

患者男性,39岁,良性前列腺增生,骶正中线TrueFISP MR图像显示,耻骨前列腺角从静息时的42°(a)正常增加到用力时的91°(b)。(c)67岁男性的矢状位T2加权MR图像显示前列腺-尿道角测量值为66°。

c1b7d95db75e323ed153206a41d3e64e.jpeg6794a4cbd4a87e017c36a0e0d6dff199.jpeg

直肠内肠套叠。

(a图)为患者静息时表现,(b图)为用力时直肠内肠套叠(b图白色长箭头)。

5b37c973dc3130b025d5647c71540da5.jpeg279c20ad5aa41e2c495e2183e2cf526d.jpeg

直肠脱垂。

(a图)为静息态,(b图)为增加腹压态。可见直肠(白色字母R)及轴位的腹膜脂肪(黑色字母F)在增加腹压时全层脱垂。

effba544ac877419ee24b4a5f3434684.jpeg

直肠固定术后表现(白色长箭头)。

c648fc4aa1f2e670e199ebd0ce2f1cdc.jpegc01e9900b18a55a71d1c35f545dde952.jpeg

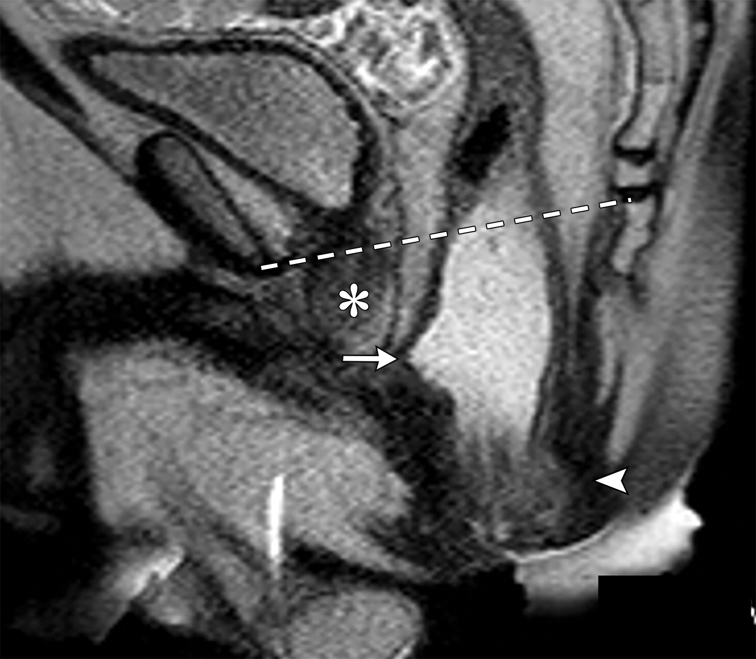
肛门直肠下降及直肠前突。

(a图)为静息态,(b图)为增加腹压态,显示肛门直肠下降(b图中白色短箭头),直肠前突(b图白色长箭头),注意观察前列腺(b图中白色*)位于耻尾线之下(b图中白色虚线)。

a54a1cb8cfeaf259eec8f4d8f79de20f.jpeg5bd0d167d41482a652f0e12d75b5e4a4.jpeg9414a04737a9077a8760c398f38476f8.jpeg

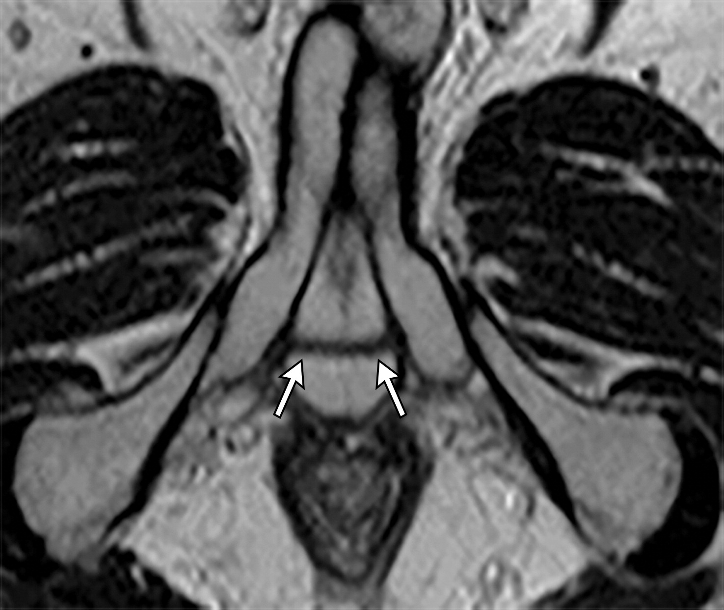
肛门直肠角(ARA);

28岁协同动作障碍患者,a图静息态ARA为104°,b图在排便时ARA为86°,这是由于耻骨直肠肌的反常收缩。c图示双侧耻骨直肠肌增厚(c图白色长箭头)。

50fd685b070f358e6c3aebcb92d79532.jpege21cb59776e2e69741a7e06f3a7139c6.jpeg

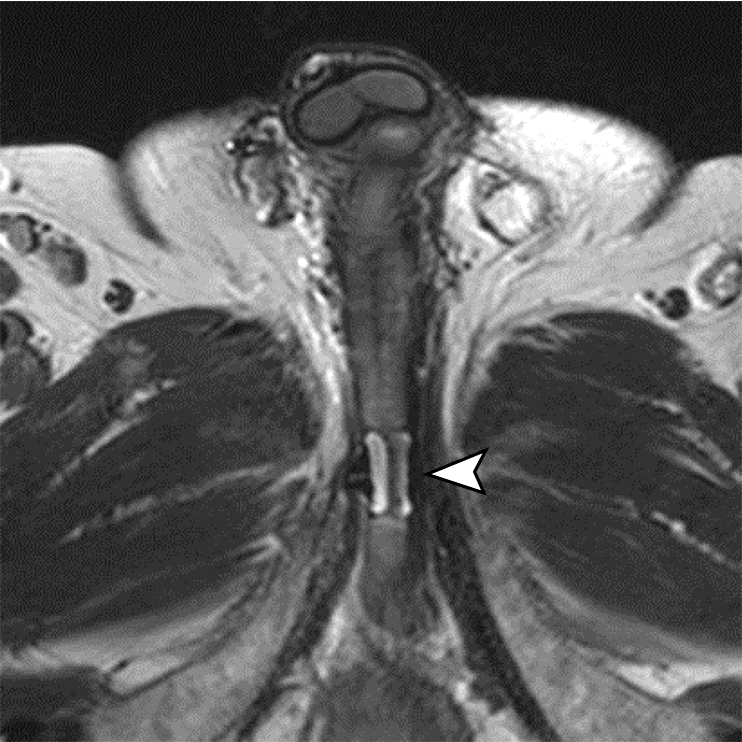
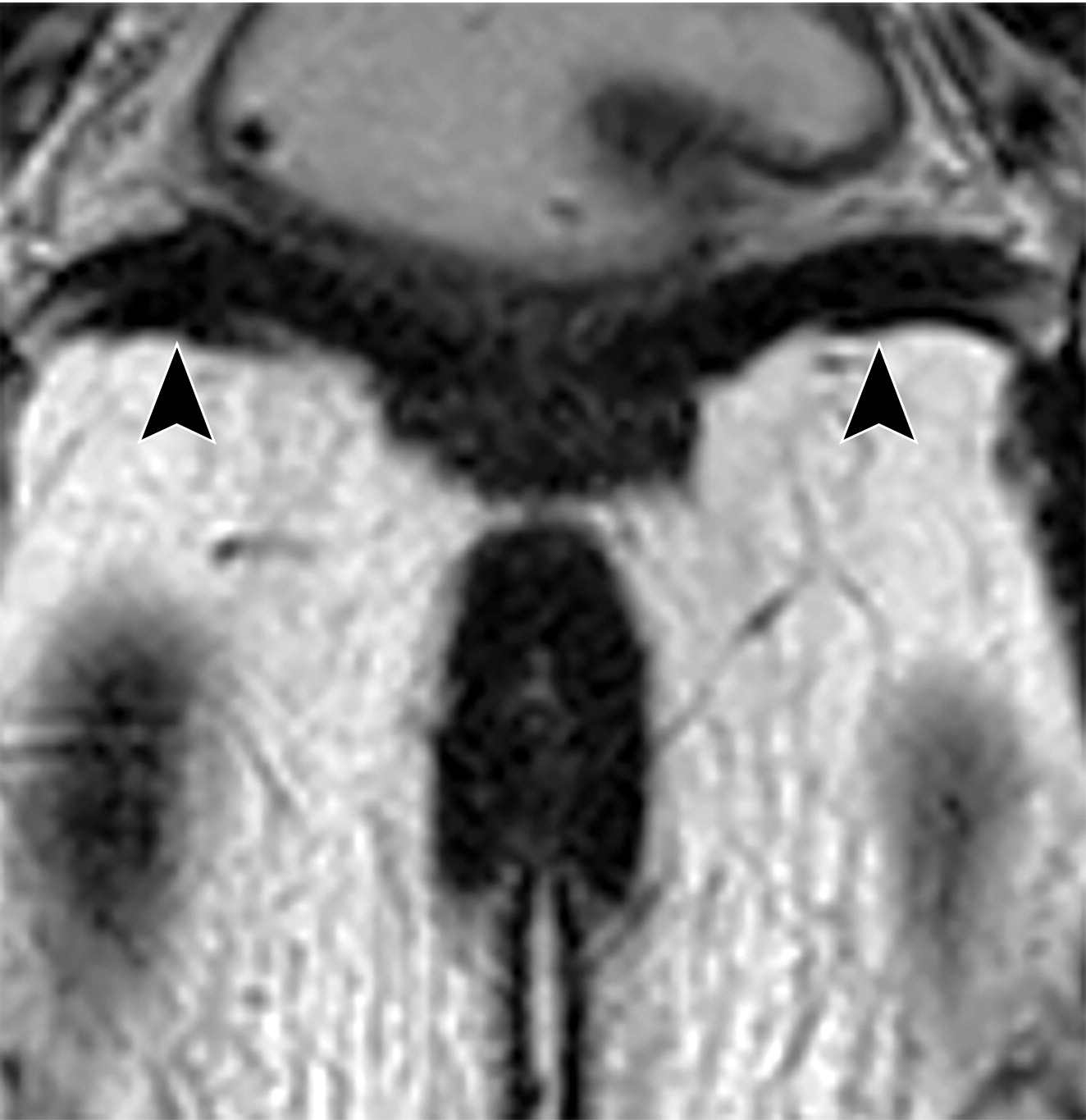
跨会阴疝。

左侧髂尾肌在增加腹压时可见缺损,伴脂肪从缺损处疝出(白色长箭头)。

7707da9fc855774aa02aa41c9d08d431.jpeg

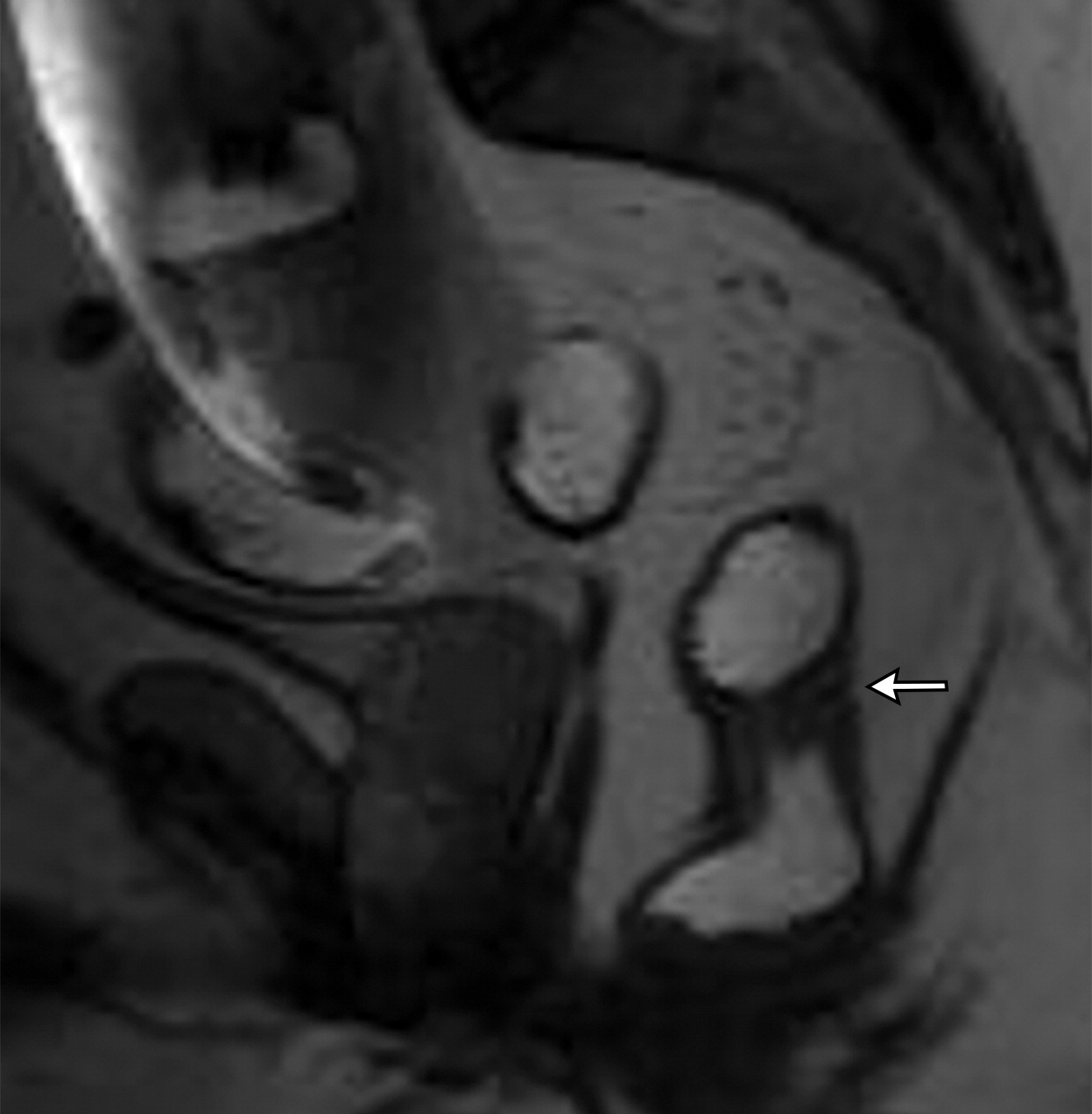
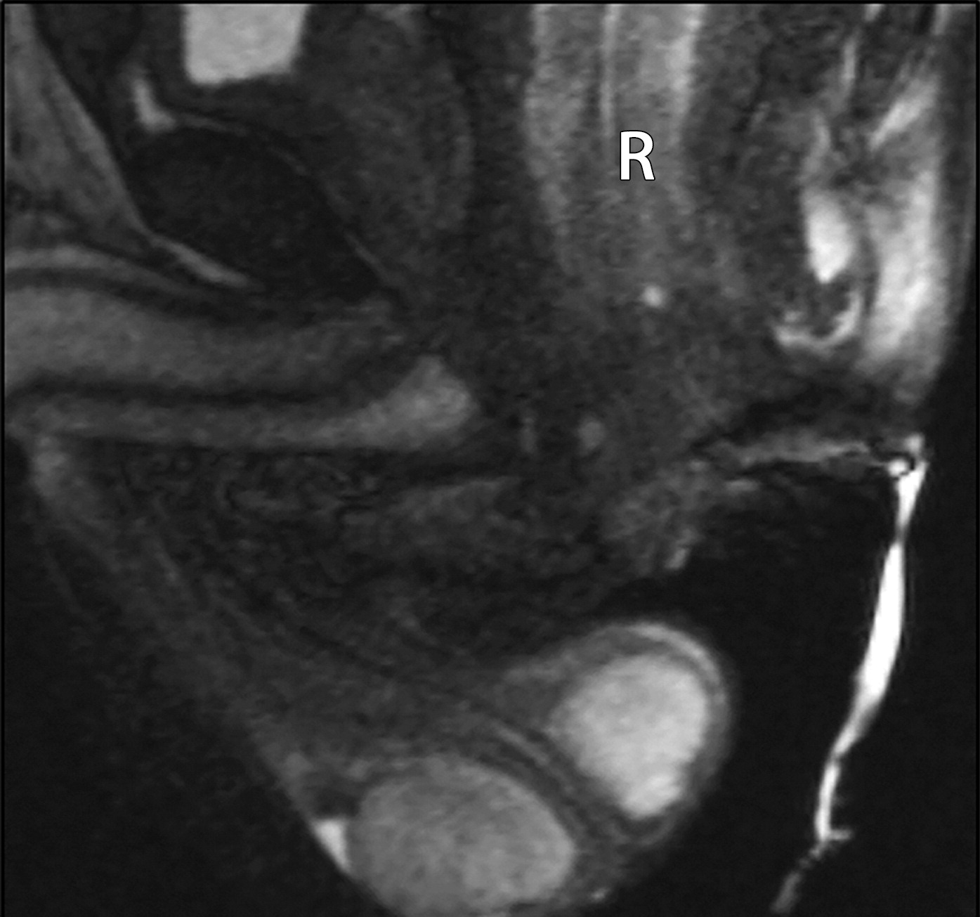
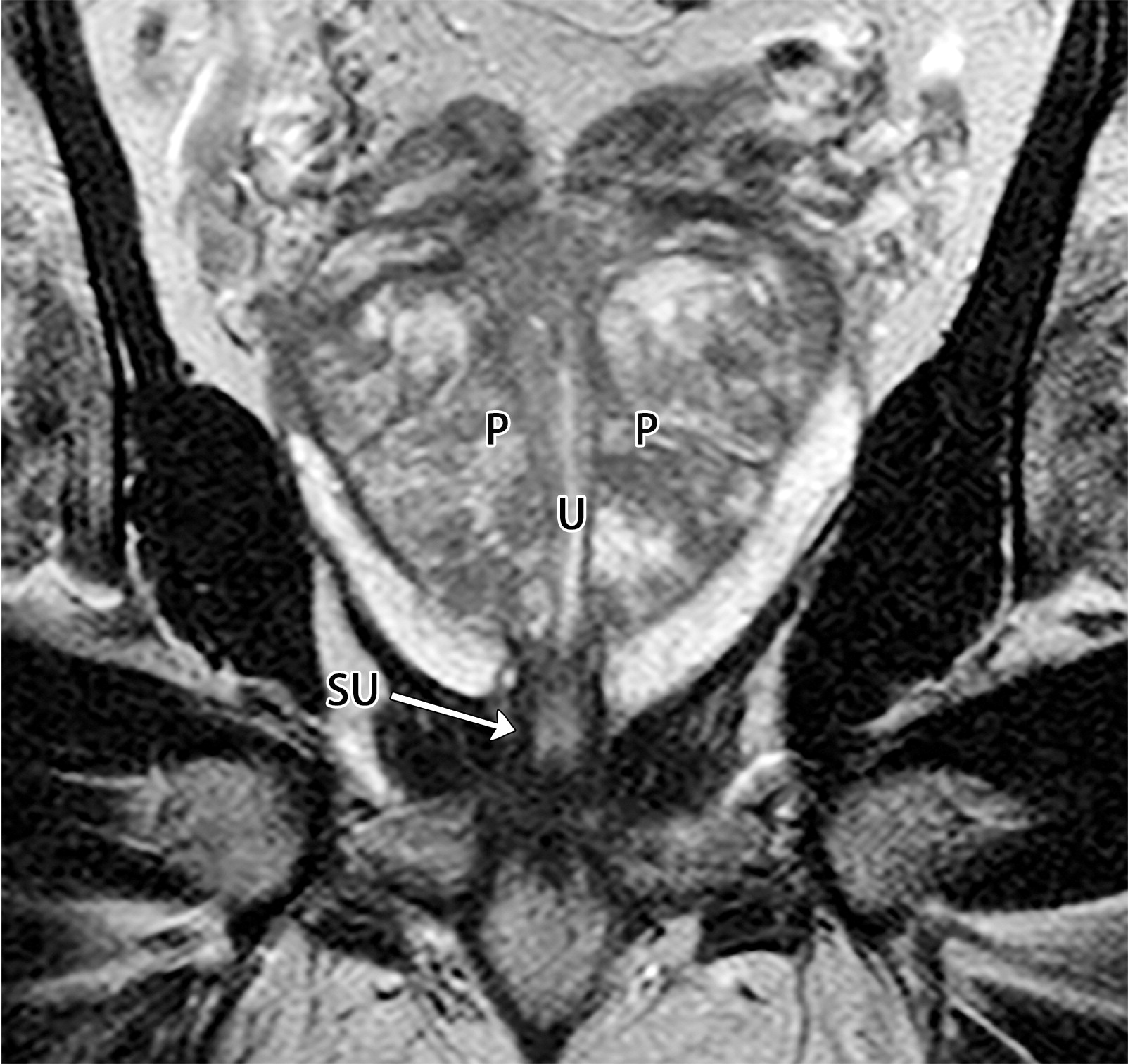
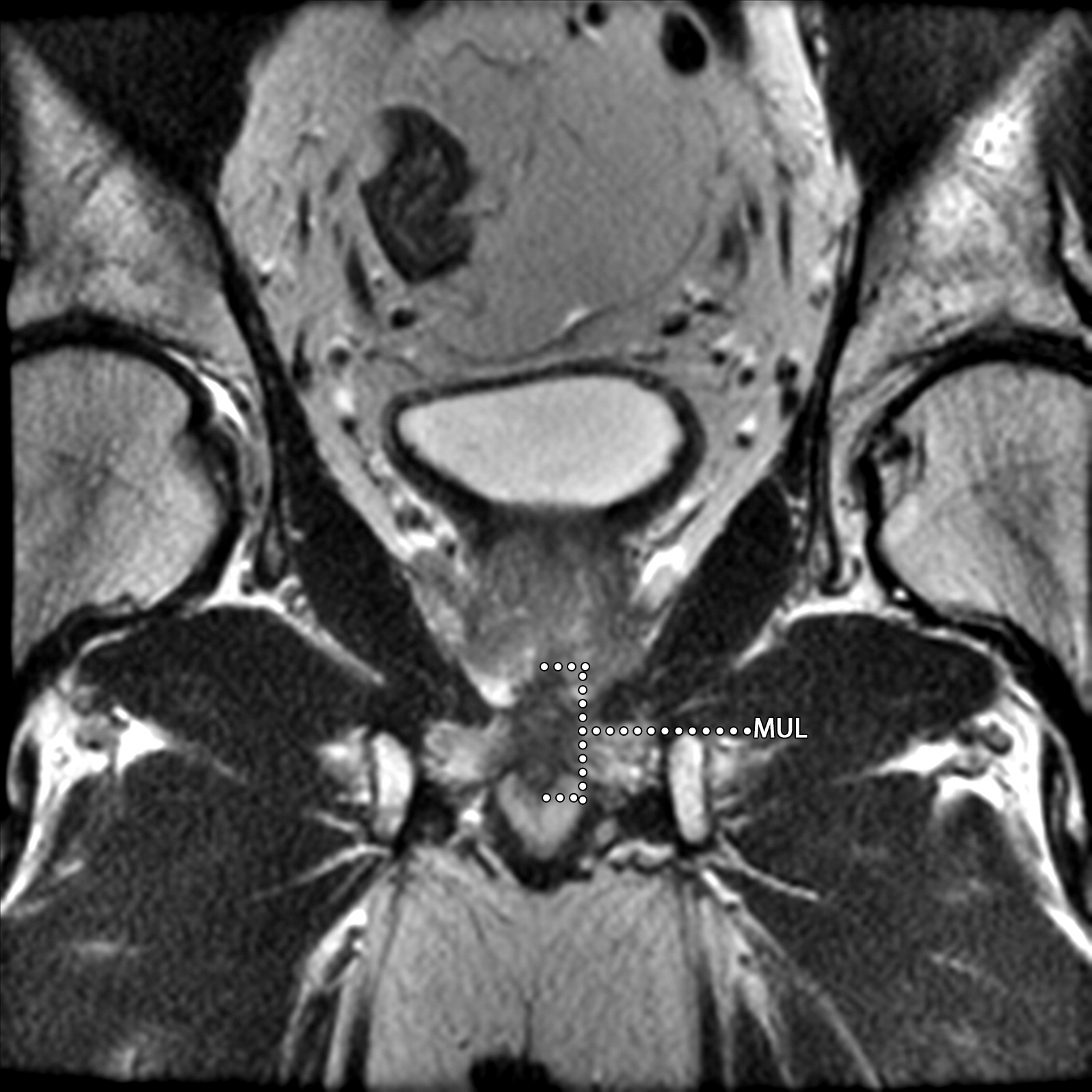
膜性尿道长度(MUL)的测量,注意膜性尿道的近端被前列腺尖端覆盖。

45d202b8c9b68c9a5a2f56b9e29f9039.jpeg709dc23c4aabdb61c1873e30f3ca4c92.jpeg

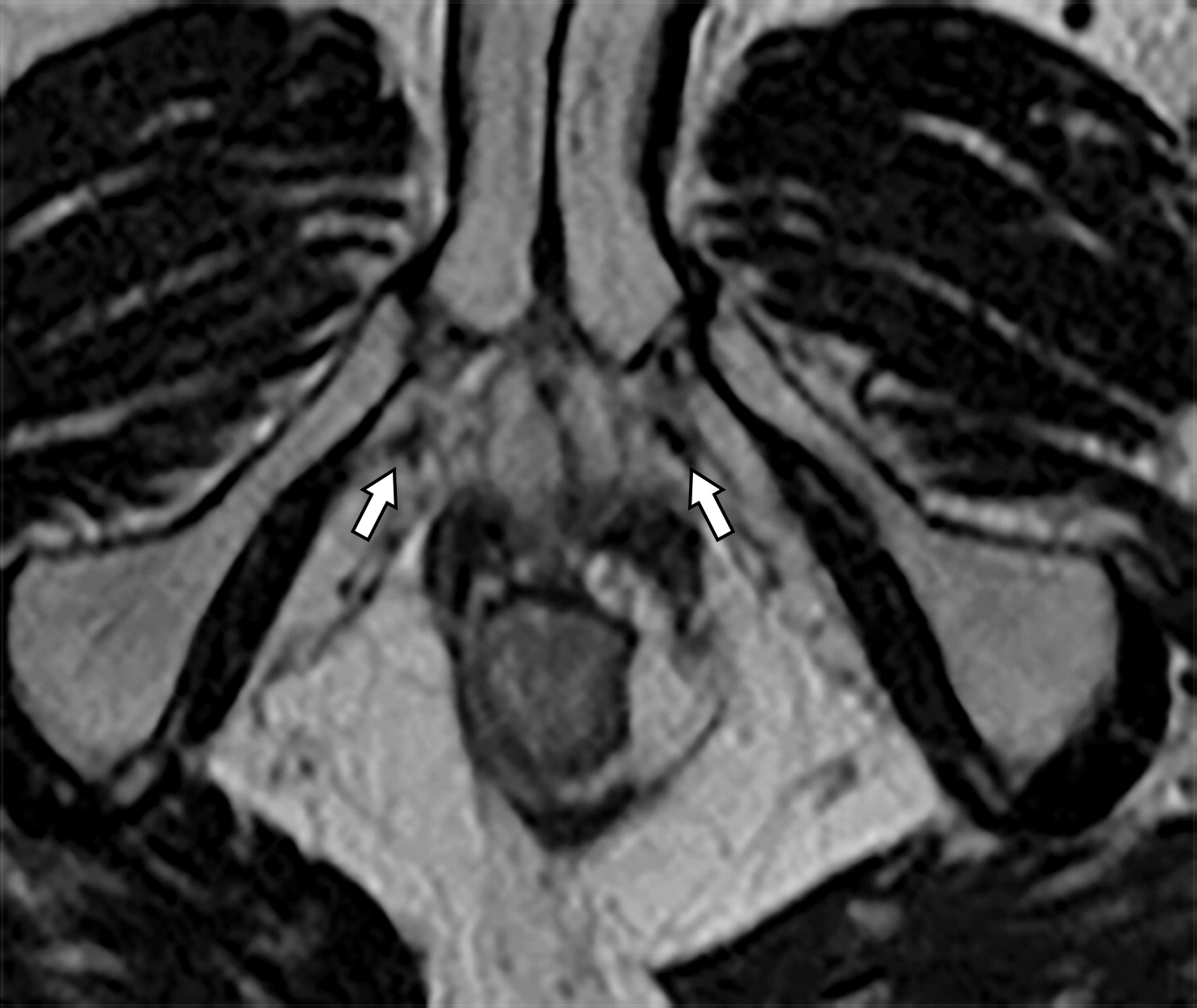
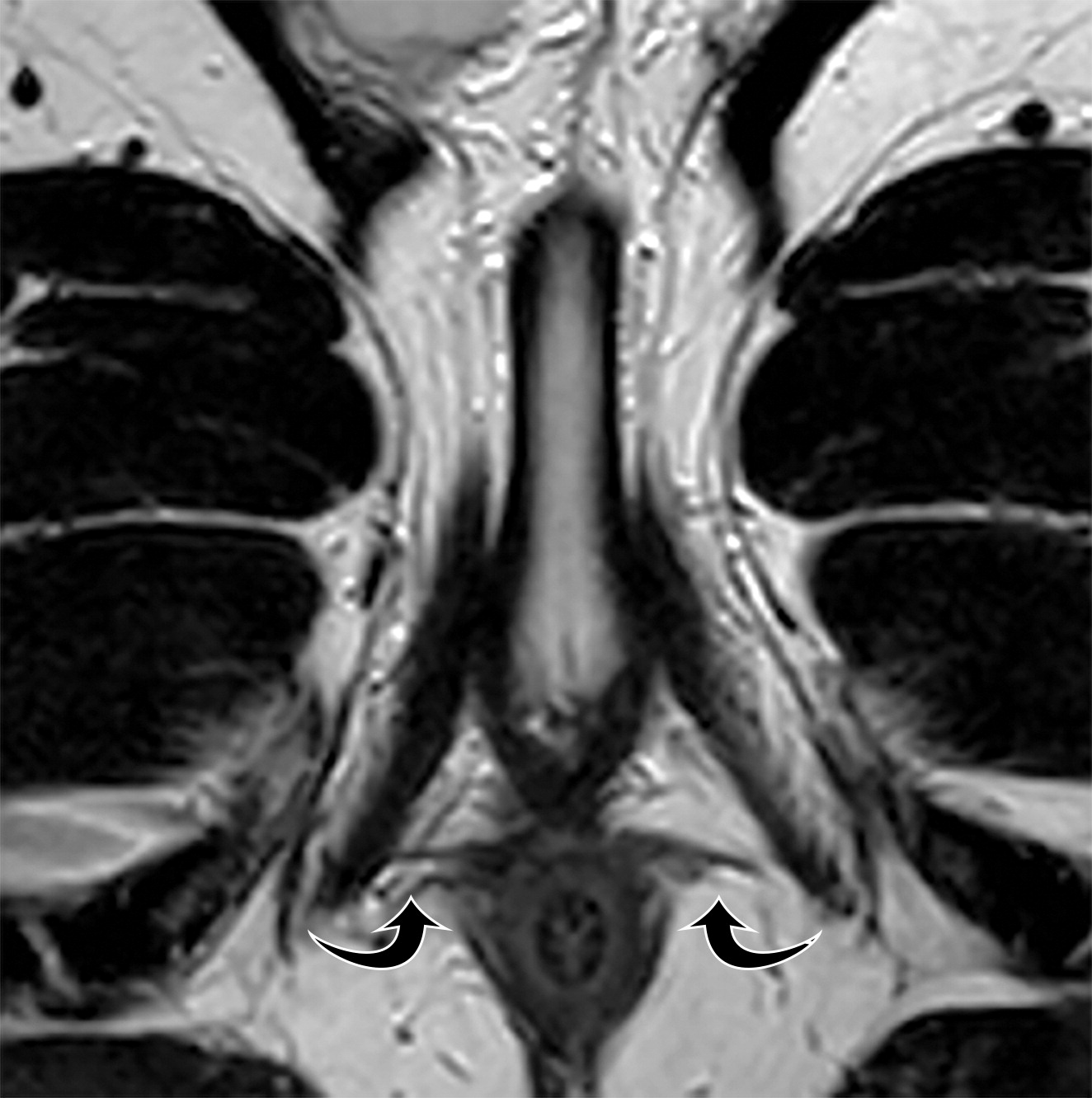
尿道吊带。

白色长箭头示尿道吊带的正常位置,正常的尿道吊带是薄的T2WI低信号影,向外延伸至闭孔。

cf8cac443d11fbd2ae10f7c2e9679f40.jpeg

3ad60b38ca808d2dd0b16da28e4b6ad6.jpeg

3f4e3134dcd4249828e575b854964779.jpeg

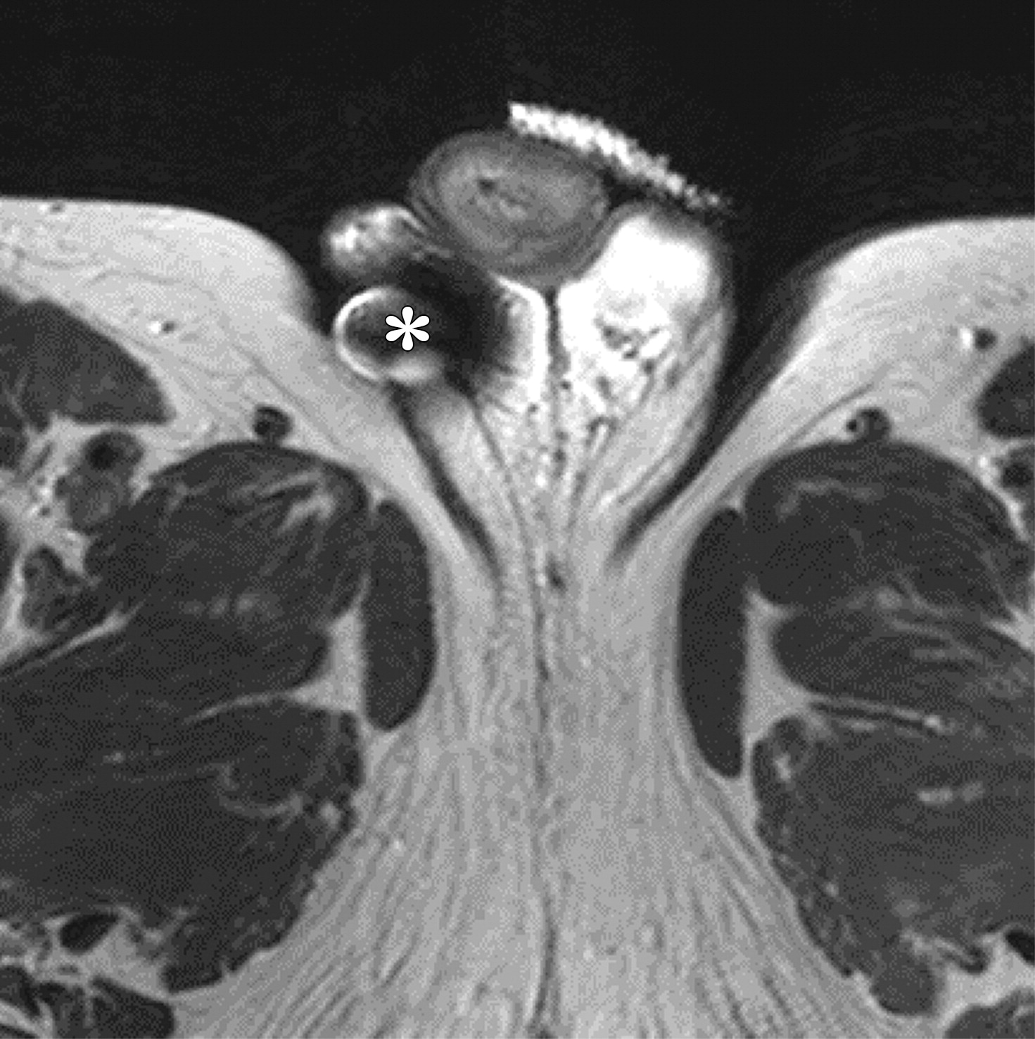
人工尿道括约肌。

人工尿道括约肌的组成部分包括位于腹部的压力容器(a图中白色长箭头),围绕球部尿道的括约肌袖口(b图中白色短箭头),以及位于阴囊的泵(c图中白色*)。


参考文献:Janesh Lakhoo, MD, MS,Gaurav Khatri, MD etc. MRI of the Male Pelvic Floor,RadioGraphics 2019; 39:2003–2022 https://doi.org/10.1148/rg.2019190064

精选文章
更多精选文章