胸部 - 2023-06-08 22:19:46
间质性肺炎分类、影像表现及鉴别诊断
01
概述

间质性肺炎(IP)或称特发性间质性肺炎(IIP),是指各种以不同程度肺部炎症及纤维化为特征的弥漫性肺部疾病。它们的最佳定义是反应性肺损伤,呈现特定的组织学形态。

它们具有一些相对统一的特征性表现,包括临床症状、影像学征象及病理表现,可单独发生或伴发于某些特定疾病。本章节内容有助于全面理解间质性肺炎及其相关的临床病变。

02
间质性肺炎分类

间质性肺炎的分类由Liebow在20世纪60年代首先提出。随着人们对这类疾病的深入认识,已进行了数次重新定义与分类。其中有些词条一直保留至今,有些则被修正或者删除。


重要的是要认识到间质性肺炎是一种组织学分型不是疾病种类。每一种分型都可能是一种特发性临床综合征的结果(表现为特发性间质性肺炎),或者伴发于某种特定疾病而不是特发性的。目前的分类标准详见下表。

a3ec7ad8238ac7dd0e79f523f9a02e82.png

间质性肺炎(IP)和特发性间质性肺炎(IIP) 可使用其全称或缩写形式。缩写通常用来指代这类疾病,甚至在报告中也是如此。


间质性肺炎包括普通型间质性肺炎(UIP)、非特异性间质性肺炎(NSIP)、机化性肺炎(OP)、脱屑性间质性肺炎(DIP)、淋巴细胞性间质性肺炎(LIP)、弥漫性肺泡损伤(DAD)和急性间质性肺炎(AIP) 及胸膜肺弹力纤维增生症(PPFE)。

脱屑性间质性肺炎和伴呼吸性细支气管炎的间质性肺部疾病(RB-ILD)通常与吸烟有关。淋巴细胞性间质性肺炎是一种肺淋巴组织增生性疾病 。

03
间质性肺炎HRCT表现

在解读疑似间质性肺炎的HRCT表现时,正确理解影像特征与病理及临床症候群之间的关系是十分重要的。在典型病例中,HRCT 征象有时可以预测病理类型。


以普通型间质性肺炎(UIP) 为例,当HRCT呈现普通型间质性肺炎的典型表现时,则获得肺活检证实的可能性很大。然而,几种不同的疾病在HRCT和病理上可能都伴有普通型间质性肺炎的表现。如果病变是特发性的,UIP被认为是特发性肺纤维化(IPF)。另一方面,普通型间质性肺炎可能伴有结缔组织病、药物中毒、石棉沉着病。UIP相关的这些疾病在放射学和病理学上均难以区分。相关的临床表现对于鉴别普通型间质性肺炎的不同病因具有重要意义。每个不同类型的间质性肺炎都存在类似的关系。


间质性肺炎是弥漫性肺病的常见病因,当患者有慢性症状或者HRCT表现为纤维化或肺部渗出时,应考虑间质性肺炎的可能。

间质性肺炎的HRCT表现取决于炎症或者纤维化的程度。以炎症为主的病例表现为磨玻璃影(GGO)和(或)实变。以纤维化为主的病例表现为不规则网状影、牵拉性支气管扩张和(或)蜂窝征。


虽然在某些病例中可能存在明显的炎症和纤维化成分,但是大部分间质性肺炎通常以两者之一为主要表现。普通型间质性肺炎(UIP)以肺纤维化为主要特征,非特异性间质性肺炎则可能表现为纤维化型或细胞型或两者兼有。其余的间质性肺炎则以炎症为主,但是部分病例可能向纤维化进展。

eb8e21eebff9ef7cc5bf91aa43df6ecf.png

炎症与纤维化的HRCT不同表现。

间质性肺炎表现为不同程度的炎症和纤维化;A和B. 2例结缔组织病患者的非特异性间质性肺炎。

A.HRCT显示GGO,无明显的纤维化征象,提示潜在可逆的炎症性病变;

B.HRCT显示牵拉性支气管扩张(箭)及不规则网状影的纤维化征象,提示对治疗不敏感的肺部瘢痕。


HRCT上异常病变的分布特点有助于区分不同类型的间质性肺炎及鉴别间质性肺炎与其他弥漫性肺部疾病。普通型间质性肺炎、非特异性间质性肺炎及脱屑性间质性肺炎主要表现为肺外周分布为主的异常,累及肺底和肋隔角其余类型的间质性肺炎典型表现为同等累及肺外周部与中央部。其他病因导致的弥漫性肺部疾病(如过敏性肺炎或结节病)通常呈弥漫或中心轴分布,下肋膈角不受累。

d9aa28845b7cba2a1759d5760b020659.png

异常病变的HRCT分布特征在诊断中的价值。

A.纤维型非特异性间质性肺炎相关的硬皮病患者,HRCT显示以肺外周及胸膜下区分布为主的异常表现;

B.结节病患者,HRCT异常表现主要分布在肺门区及支气管周围,而相对未累及胸膜下区。对于慢性症状的病例,胸膜下及肺基底部分布为主的病变提示普通型间质性肺炎、非特异性间质性肺炎或脱屑性间质性肺炎。弥漫性或者中心轴分布是间质性肺炎的不典型分布,提示其他疾病,如过敏性肺炎或结节病。

04
普通型间质性肺炎

普通型间质性肺炎(UIP)(下表) 是常见的间质性肺炎(IP),约占IP的50%。病理学上,UIP有典型的表现,其特征如下所示。

4237ea5e26a1a04b8d53494c36497713.png


①明确的纤维化病灶,散在分布且不均匀(反映肺受累的空间和时间异质性);

②镜下蜂窝征(含气囊肿,内衬支气管上皮伴周围纤维化);

③成纤维细胞灶(纤维化沉积的活跃期);

④正常肺组织(也反映病变的空间和时间异质性);

⑤胸膜下肺组织受累为主,与细支气管不相关;

207a358047bcebd76d6336596b2ccc4d.png

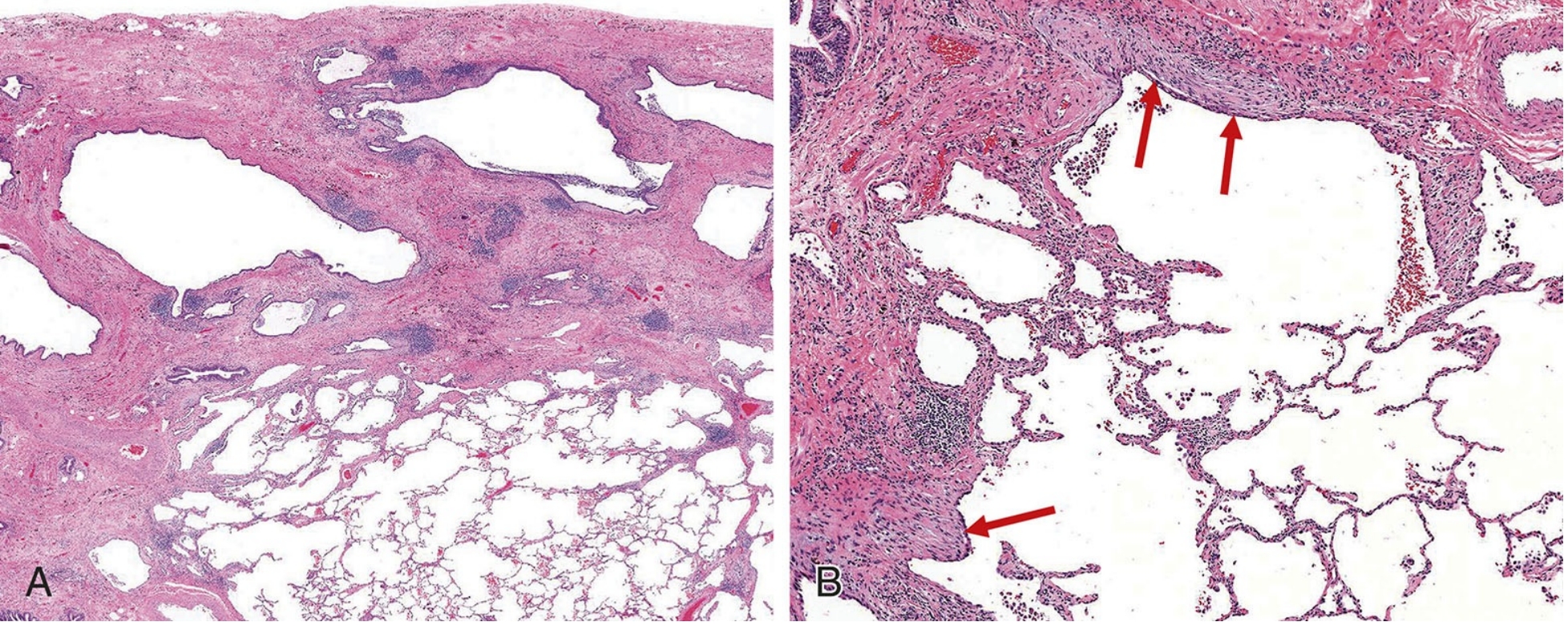
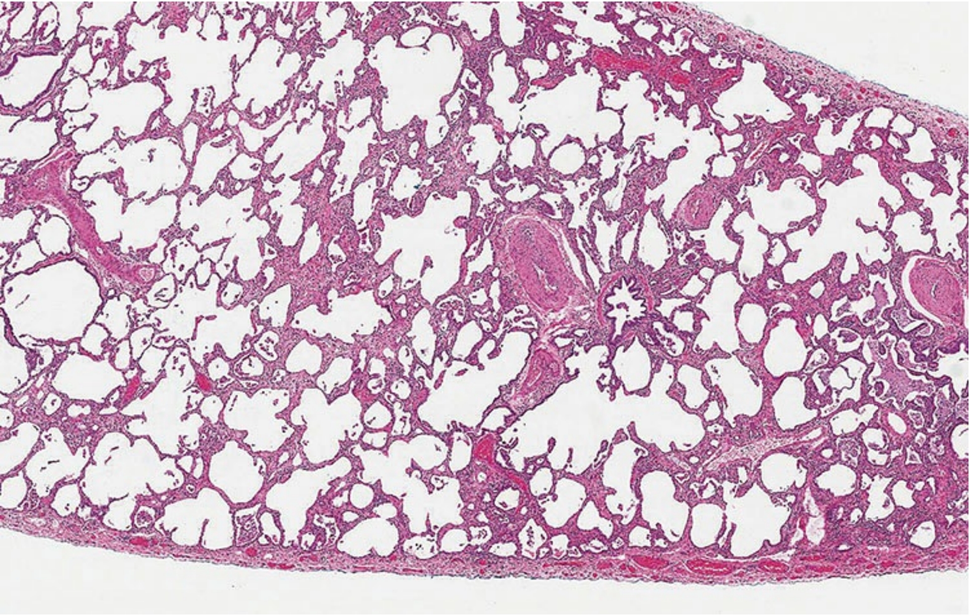
间质性肺炎的病理表现。

A.在低倍镜下,普通型间质性肺炎有着明显的时间和空间异质性,表现为镜下可见胸膜下分布的蜂窝征(含气囊肿)而中央肺组织的纤维化程度较轻;

B.在高倍镜下,成纤维细胞灶位于纤维化组织和较少受累的肺组织的交界处(箭)。


最常表现为UIP的疾病是特发性肺纤维化(IPF ),但是也有数种特定的疾病也可导致这种类型的间质性肺炎,包括结缔组织病、药物中毒及石棉沉着症。

01
HRCT表现

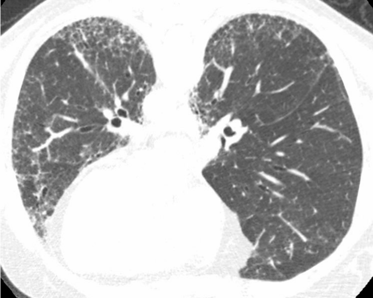
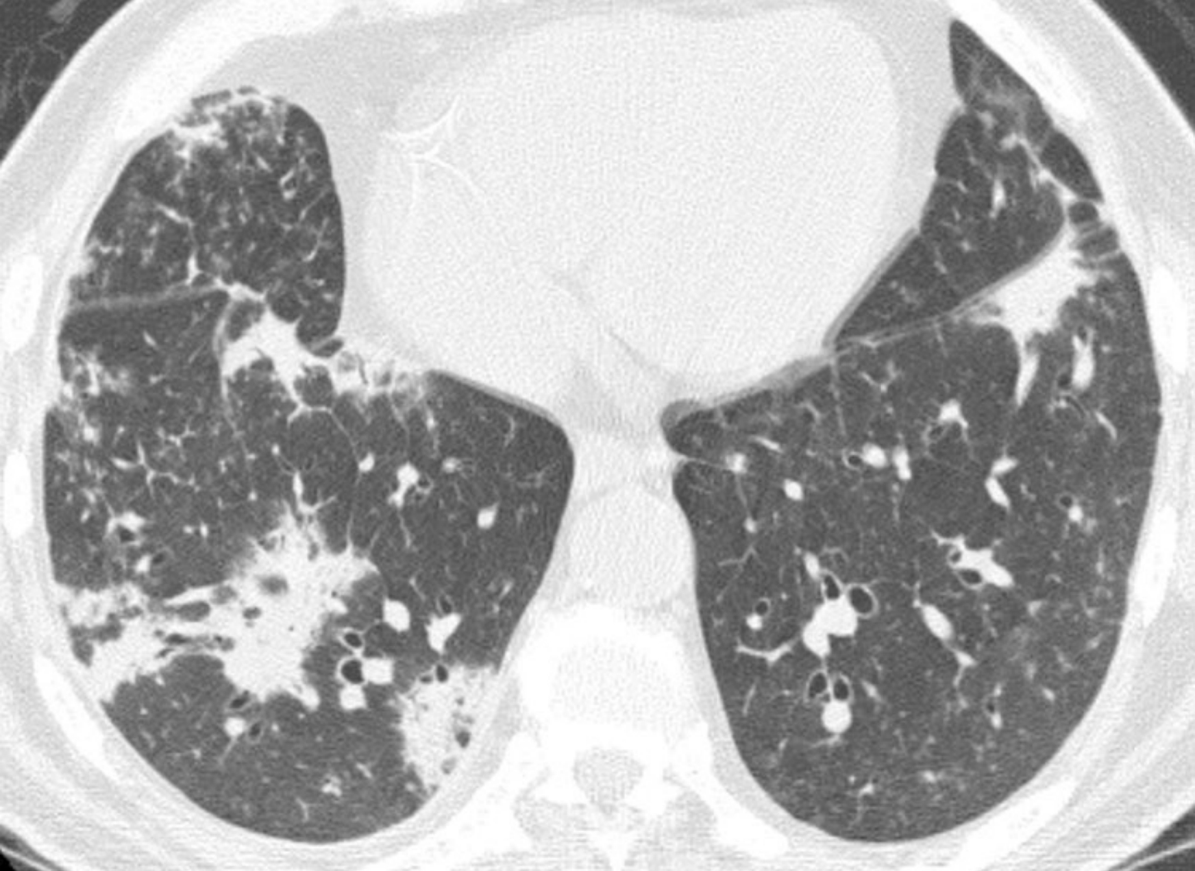
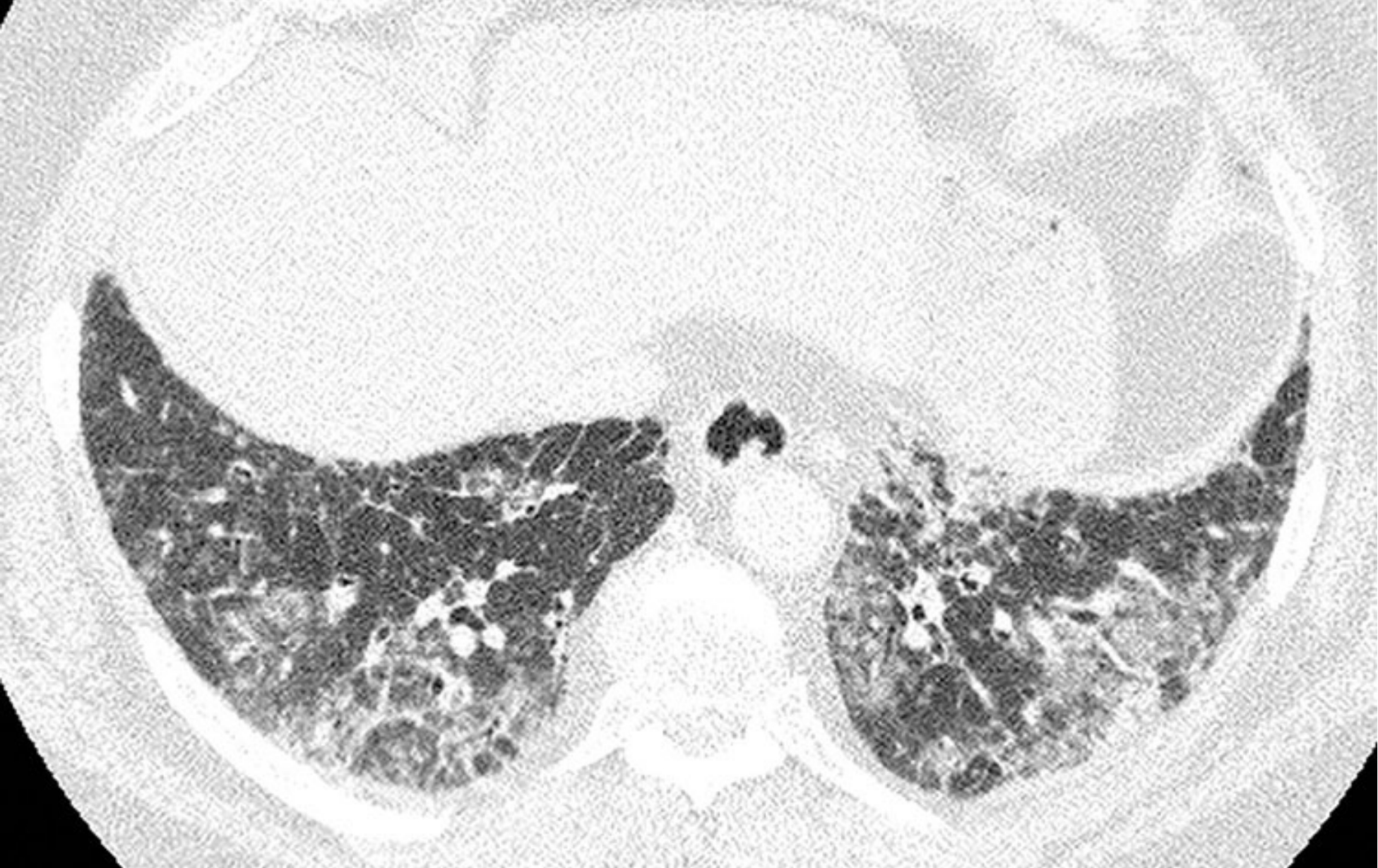
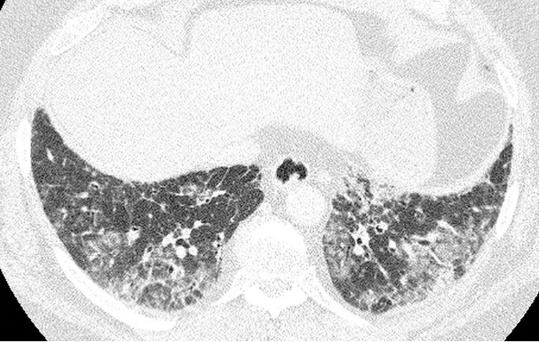
普通型间质性肺炎(UIP)患者的典型HRCT表现为胸膜下及肺基底分布为主的网状影。网状影常为不规则形。牵拉性支气管扩张常伴有网状影。蜂窝征见于约70%病例,且为UIP重要的确诊依据。蜂窝征表现为簇状的、囊壁清晰的含气囊肿,直径通常为3~10mm, 主要分布在胸膜下肺区。从肺部异常的总体程度来看,蜂窝征在肺基底最为严重和广泛。在早期或轻度UIP患者中,HRCT可以显示伴有或不伴有支气管扩张的网状影而无蜂窝征。

ffd7bb23e755e95335b0c12dc29c866a.png

普通型间质性肺炎(UIP)的典型表现。

A.伴有特发性肺纤维化的UIP模式患者,HRCT显示广泛的胸膜下和肺基底分布为主的蜂窝征;

B.散在分布的胸膜下蜂窝征(红箭),与相对正常的肺组织(蓝箭)相间;

C.俯卧位HRCT显示UIP患者的蜂窝征(箭),可为单层(黄箭)或多层(蓝箭);

D.早期UIP表现为轻度的胸膜下网状影和蜂窝征,虽然程度轻微,但仍可明确判定蜂窝征(箭)。

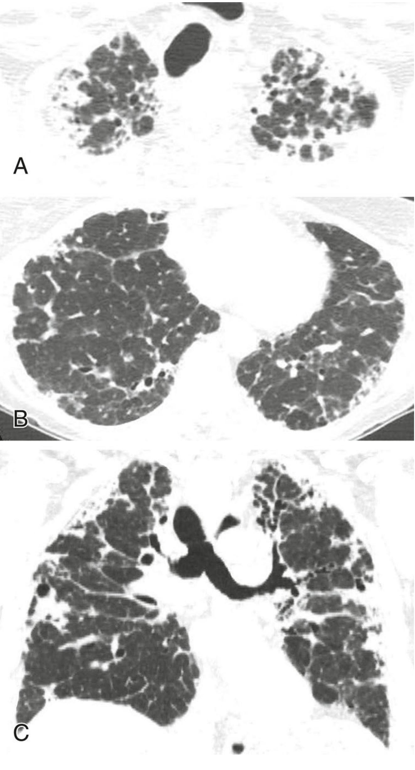
37748ee2c35e58319101755ab1db6efa.jpg

普通型间质性肺炎的分布。

经主动脉弓(A)、气管隆嵴(B)及肺基底(C)平面的HRCT显示胸膜下和肺基底分布为主的蜂窝征。冠状位(D)和冠状位最小强度投影(MIP)重组(E)均明确显示了位于肺基底的病变。


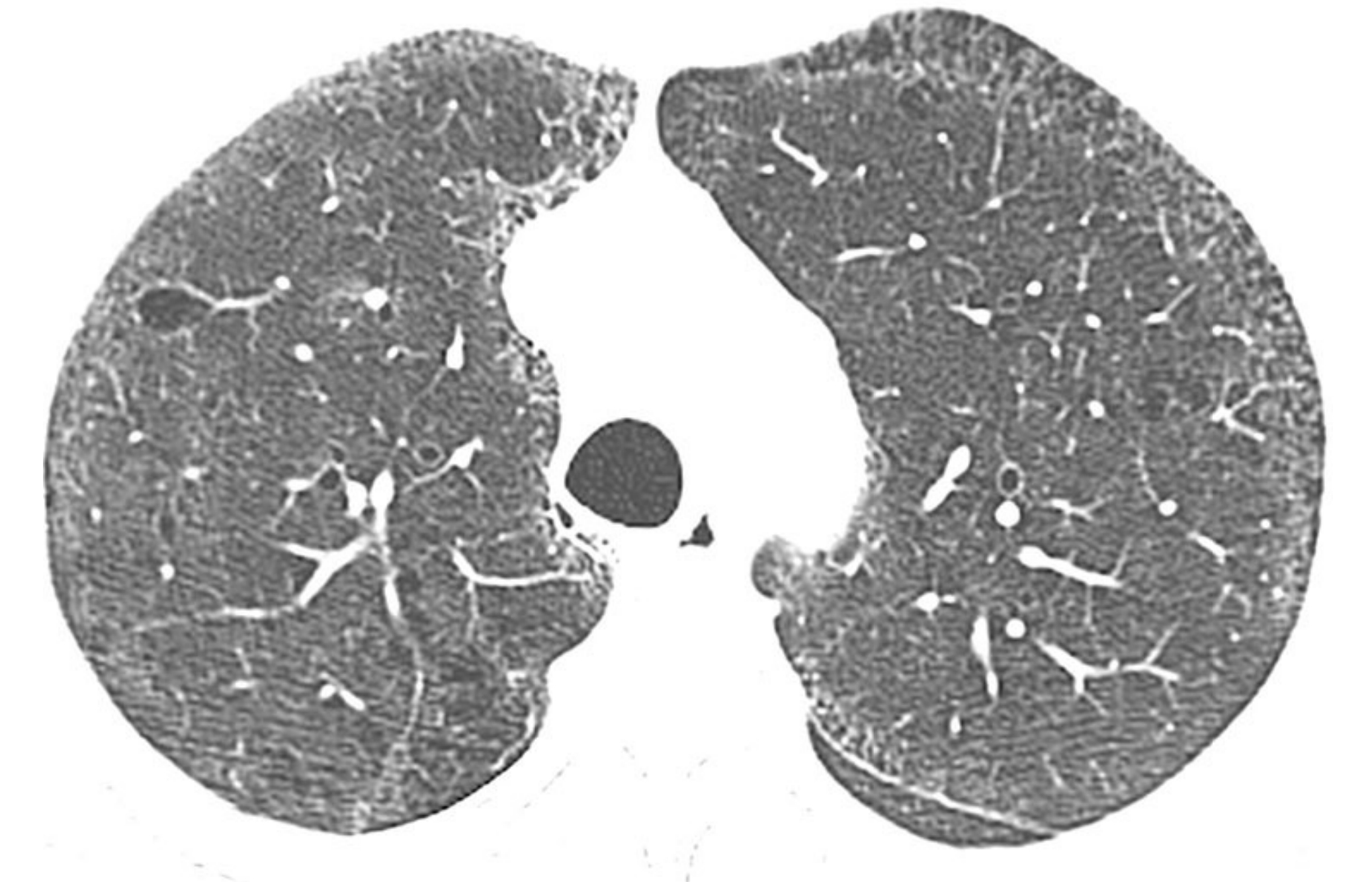
孤立性GGO(即不伴有网状影)罕见于UIP,GGO常见于存在纤维化的肺区(如网状影、牵拉性支气管扩张及蜂窝征),因此在UIP中,GGO常反映存在微纤维化。


虽然UIP患者通常表现为上肺叶异常,但是,纤维化主要分布在肺基底部, 典型累及后肋膈角。纤维化常呈散在分布,以肺后部及胸膜下肺区受累最为严重。


为了规范可疑UIP和IPF的HRCT诊断,已制订了2种主要的HRCT分类方案。它们综合影像表现及其在肺内的分布特点来确定诊断UIP的整体置信水平(高、中或低度)。

2011年,美国胸科协会(American Thoracic Society)与欧洲、日本和拉丁美洲呼吸协会共同发布了指南(ATS标准)。弗莱施纳协会( Fleischner Society,FS)于2018年发布修改后的标准(FS标准),对其进行重新评定。两者的归纳见下表。

2cc1d8494b6fcada12cf519dc6f2b947.png


1
诊断UIP的高置信度标准

关于UIP模式的高置信度HRCT诊断主要基于以下4个标准。

(1)网状影;

(2)蜂窝征;

(3)病变呈胸膜下和肺基底部分布;

(4)无UIP的非典型特征。


根据ATS标准,综合上述表现可表述为“确定的UIP”;根据FS标准,表述为“典型UIP的CT模式”。当出现上述表现时,根据HRCT表现预测UIP的病理诊断的准确性>90%。这种情况下诊断主要依据HRCT表现,而外科肺活检通常认为是不必要的。


当根据HRCT表现而考虑诊断UIP模式时,鉴别诊断包括特发性肺纤维化、结缔组织病、石棉沉着病和药物中毒。这些疾病在HRCT上通常难以区分, 病理上可能也很难鉴别。

7331218b6857cead2350daf293806044.png

高置信度诊断为普通型间质性肺炎(UIP)的鉴别诊断。

4例UIP的HRCT表现;继发于特发性肺纤维化(A)、结缔组织病(B)、石棉沉着病(C)和药物中毒(D)的UIP, 均可见胸膜下及肺基底分布为主的纤维化伴蜂窝征。当表现为UIP模式时,上述疾病在HRCT上通常无法鉴别。


需要注意的是并非所有的UIP病例都符合这些标准。虽然这些标准具有特异性,但敏感性不高(50%~70%)。而且,这些标准没有规定对UIP做出可靠诊断所需要的蜂窝征程度。仅轻度蜂窝征即符合标准。

此外,虽然牵拉性支气管扩张是诊断肺纤维化的一个重要表现,但是却不是明确诊断UIP的必要条件。

2
诊断UIP的中等置信度标准

蜂窝征是诊断UIP的一个重要影像表现,当缺少该征象时,诊断UIP的置信度将会下降

根据ATS标准,当HRCT表现满足除了蜂窝征之外的所有“确定的UIP"标准时,将考虑为“UIP可能”。

FS标准将此称为“UIP可能性大” ,标准如下所示。

(1)网状影;

(2)无蜂窝征;

(3)病变呈胸膜下和肺基底部分布;

(4)无UIP的非典型特征。

a20a2c600f656437fcc6daa739f7c6f4.png

中置信度诊断为普通型间质性肺炎(UIP)。

HRCT显示肺外周和胸膜下的网状影,但是没有蜂窝征。


表现为UIP模式的患者60%~90%为特发性肺纤维化,其余10%~40%大多数为过敏性肺炎,少数为结缔组织病。对于“UIP可能”(ATS)和“UIP可能性大” (FS)患者进行肺活检是有争议的。

在临床实践中,过敏性肺炎的发病率相对较低,而大多数患者为特发性肺纤维化,因此肺活检是不必要的。对于HRCT上表现为“UIP可能/UIP可能性大” 的患者来说,其他影像征象或临床特征也可用于确定IPF的可能性。IPF的高危因素包括年龄较大(> 60岁)、男性和HRCT明显的牵拉性支气管扩张。


FS标准还有一个类别,称为“UIP不确定的CT表现”,它也对应于中间似然的IPF。该模式有如下特征。

(1)纤维化表现:网状影、牵拉性支气管扩张和(或)蜂窝征;

(2)多变或弥漫性分布;

(3)不显著特征,考虑为非典型的UIP。

f5e9cee43e2bf140212416047ec910a6.png

非特异性纤维化。

HRCT显示肺外周纤维化,表现为不规则网状影和轻度牵拉性支气管扩张(红箭)。可见少许马赛克灌注(黄箭),但无蜂窝征。此表现模式不足以诊断任何一种特定的疾病,必须行肺活检以明确诊断。


FS标准中“UIP不确定的CT表现" 的关键特征是存在一个或多个通常与UIP无关的影像征象,但是这些影像征象在数量上并不明显,与“诊断UIP的低置信度标准” 列出的特征相同(表9-3)。

03
诊断UIP的低置信度标准

HRCT的某些影像特征被认为是非典型的,提示其他诊断。在ATS分类中称为“不符合UIP",而在FS分类中称为” 与非IPF诊断最相符的CT特征",这些特征包括以下一项或多项。

(1)上肺或中肺分布为主;

(2)支气管血管周围分布为主;

(3)存在非典型UIP的HRCT特征(更多为其他疾病的典型特征),包括: 

①吸气相的马赛克灌注;②呼气相的空气潴留;③GGO(与网状影不成比例);④弥漫的微小结节;⑤实变;⑥囊肿(远离纤维化区)。

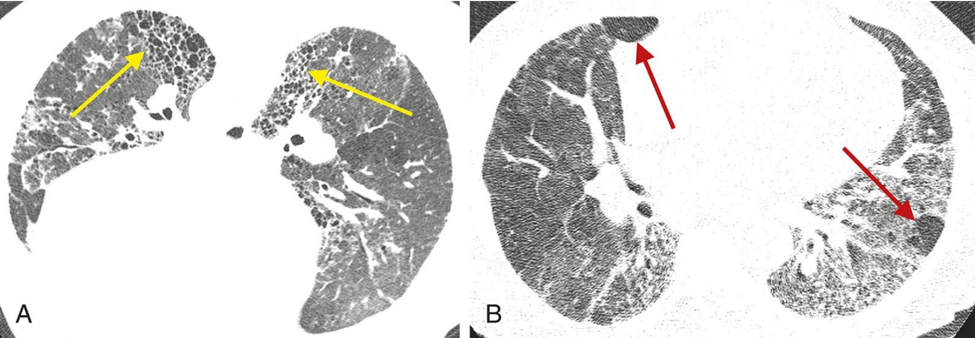
1b4163a751fee4c845315e379d18df02.png

低置信度诊断为UIP。

过敏性肺炎患者,俯卧位HRCT显示肺纤维化不以胸膜下分布为主(A), 且不累及肋膈角(B)。由于病灶以肺中央及上肺分布为主, 故与UIP表现不一致。

5e482130d89f117e603bc98d8f99b113.png

低置信度诊断为UIP。

结节病患者,HRCT显示大片纤维化实变和组织结构变形,呈支气管血管周围分布。由于病变分布于肺中央和肺上叶,因此HRCT表现与UIP相悖。

dcc73822c0d09680dcf2fa4acce54499.png

低置信度诊断为UIP。

A.过敏性肺炎患者,HRCT显示中肺分布为主的广泛蜂窝征;

B.呼气相,肺底层面,显示双肺散在的空气潴留(箭)。虽然存在蜂窝征,HRCT并不提示诊断UIP。由于存在中肺分布和空气渚留,此例被认为与UIP表现相悖。


上述任一项均为除UIP以外的间质性肺炎(IP)或其他肺病的典型表现。其中任一项都足以决定HRCT表现是否与UIP模式不相符。值得注意的是,非典型特征必须有“显著的数量” 。例如,必须为双肺分布并且至少3个肺叶内观察到空气猪留,才能认为是一项显著的影像表现,否则在模式判断和诊蚚方面无意义。胸膜下未受累反映病变是呈“支气管血管周围”分布的,因此不太可能是UIP。在这类患者中,约75%诊断为其他疾病(非IPF),然而仍有25%诊断为IPF。换言之,即使是非典型的分布或HRCT影像表现也不能完全排除IPF的诊断。

23e286b233d9b9a5987a0b78b716c83b.png

特发性肺纤维化(IPF)。

本例存在典型的普通型间质性肺炎(UIP)模式,表现为胸膜下散在分布的蜂窝征;特发性肺纤维化是该表现模式最常见的原因。

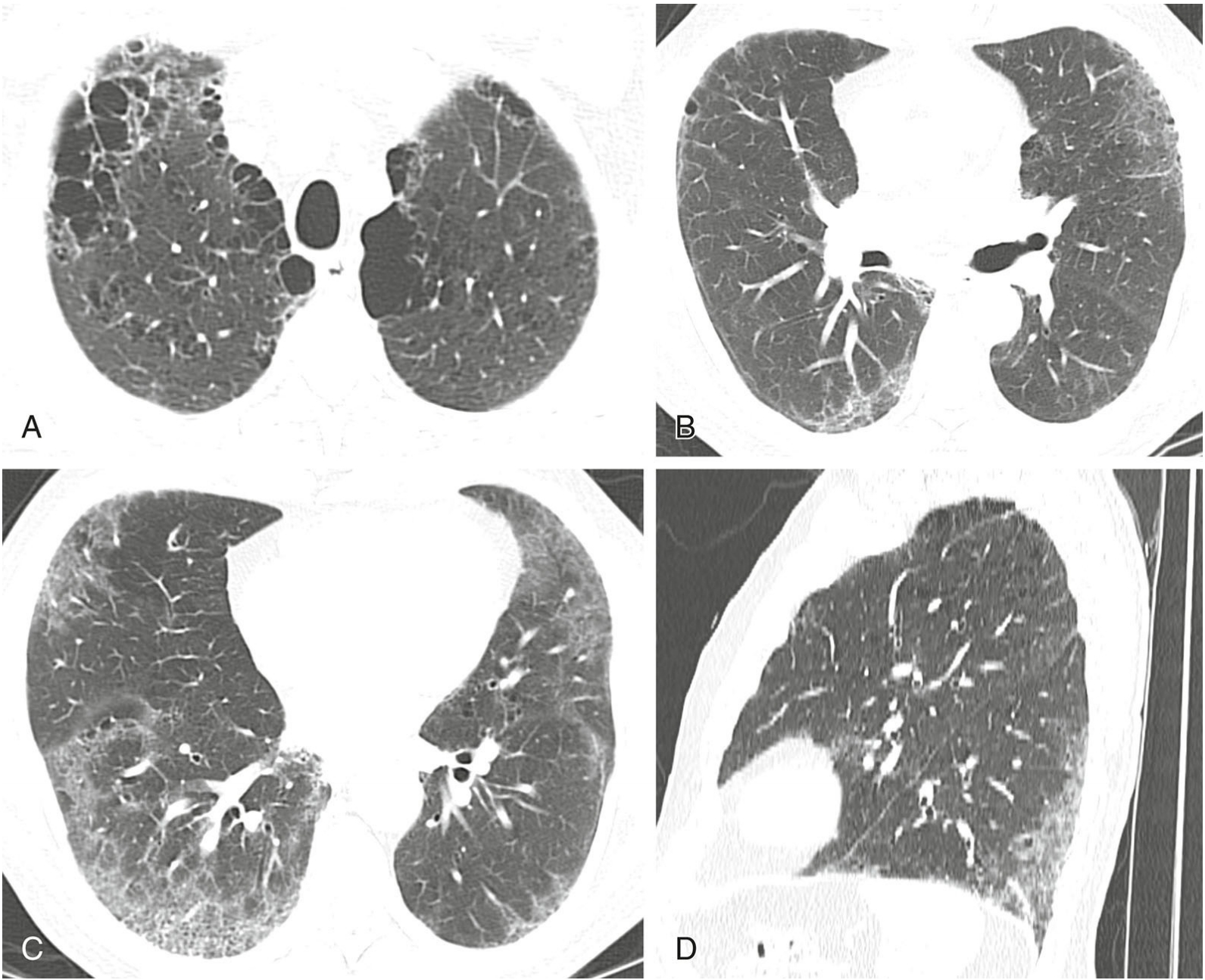
6c0e2ec00764624f93a27bc1fd79e00a.png

特发性肺间质纤维化(IPF)的典型表现。

上肺(A) 、中肺(B) 、下肺(C)层面的HRCT图像,显示胸膜下和肺基底分布为主的蜂窝征(红箭)和牵拉性支气管扩张(蓝箭),符合普通型间质性肺炎(UIP)。在无已知疾病或接触史的情况下,该患者拟诊为IPF。

bd4645fb0627be9e02a166d0489509d6.jpg

特发性肺间质纤维化(IPF),不典型分布。

该IPF患者经肺活检证实为普通型间质性肺炎(UIP),其不典型表现为纤维化不以胸膜下分布为主而是明显累及肺中央区(A)。

另外,肋膈角相对不受累(B)。IPF的不典型征象不少见。从HRCT表现上看,本例可能被认为与UIP “相悖”。

fa29bf9fcb59eac2a8f2ec18fbf6a7ac.png

特发性肺间质纤维化(IPF),表现为GGO。

极少数IPF以GGO为主要异常而无纤维化征象。此时,GGO代表低于HRCT分辨率的纤维化,必须行肺活检以确诊。

02
特发性肺间质纤维化

特发性肺间质纤维化(IPF) 是弥漫性纤维化肺病的常见原因,也是普通型间质性肺炎(UIP) 模式的最常见病因。

31b3490abdb12d6b4ee00e23399e9ce0.png

特发性肺纤维化(IPF)。

本例存在典型的普通型间质性肺炎(UIP)模式,表现为胸膜下散在分布的蜂窝征;特发性肺纤维化是该表现模式最常见的原因。


IPF 即为特发性的UIP。若有UIP 相关病史或接触史(如胶原病或者石棉接触史)的患者在HRCT 上表现为UIP 模式时,根据ATS的定义,不能诊断为IPF。

值得注意的是,还有一些其他的肺纤维化疾病,其临床病史不能提示明确的诊断,包括结节病和接触史无法确定的过敏性肺炎,这些病例的HRCT 表现常提示非UIP的诊断。


特发性肺纤维化(IPF)好发于50岁以上的中老年人,具有进展性,预后差, 3年存活率只有50%。通常对传统的免疫抑制治疗(如皮质类固醇激素)不敏感。然而,有2种抗纤维化药物,吡非尼酮和尼达尼布,已经被批准用于IPF的治疗,并被证明可以延缓肺纤维化的进展。目前,这些药物还没有用于任何其他弥漫性肺纤维化疾病,但这是研究的方向。


在许多情况下,IPF的诊断主要基于综合临床资料和典型的HRCT表现(即HRCT上高置信度诊断为UIP)。除非HRCT表现不能诊断或为不典型UIP, 或临床表现提示其他疾病,否则一般不行肺活检。


当缺乏任何提示其他诊断的临床或影像学证据而HRCT表现为UIP模式时, 可推定诊断为IPF。当HRCT提示IPF而未行肺活检时,对于诊断“确定的UIP ”应特别保守慎重。

70e2e691bc8d5a2b9ab8a6df4784ce11.png

特发性肺间质纤维化(IPF)的典型表现。

上肺(A) 、中肺(B) 、下肺(C)层面的HRCT图像,显示胸膜下和肺基底分布为主的蜂窝征(红箭)和牵拉性支气管扩张(蓝箭),符合普通型间质性肺炎(UIP)。在无已知疾病或接触史的情况下,该患者拟诊为IPF。


需谨记:并非所有IPF都具有典型的HRCT表现。尽管如此,HRCT对该病的诊断仍然极为重要。即使肺活检提示“ 普通型间质性肺炎(UIP)", 但若HRCT表现与之相悖,则临床上仍不能确诊为UIP。在这种情况下,由多学科的肺病专家小组仔细审议所有的资料数据是很有必要的。

特发性肺纤维化(IPF)的不典型HRCT表现包括:

①纤维化不以胸膜下和肺基底分布为主;

②磨玻璃影为主;

③局限性马赛克灌注或空气潴留。

88af05edaac2a8a6b3a47e46d1ed6fd6.jpg特发性肺间质纤维化(IPF),不典型分布。

该IPF患者经肺活检证实为普通型间质性肺炎(UIP),其不典型表现为纤维化不以胸膜下分布为主而是明显累及肺中央区(A)。

另外,肋膈角相对不受累(B)。IPF的不典型征象不少见。从HRCT表现上看,本例可能被认为与UIP “相悖”。

ae9600acb7a394e5da0279ee66d3a60c.png

特发性肺间质纤维化(IPF),表现为GGO。极少数IPF以GGO为主要异常而无纤维化征象。此时,GGO代表低于HRCT分辨率的纤维化,必须行肺活检以确诊。

a480c55dbdde4222dc629956bdddde91.png

特发性肺间质纤维化,轻度空气潴留。

A.中肺水平,俯卧位HRCT, 显示肺外周纤维化,表现为蜂窝征(黄箭);

B.轻度空气潴留(红箭)在IPF患者中并不少见,若其严重程度和范围均有限,则不提示其他疾病。


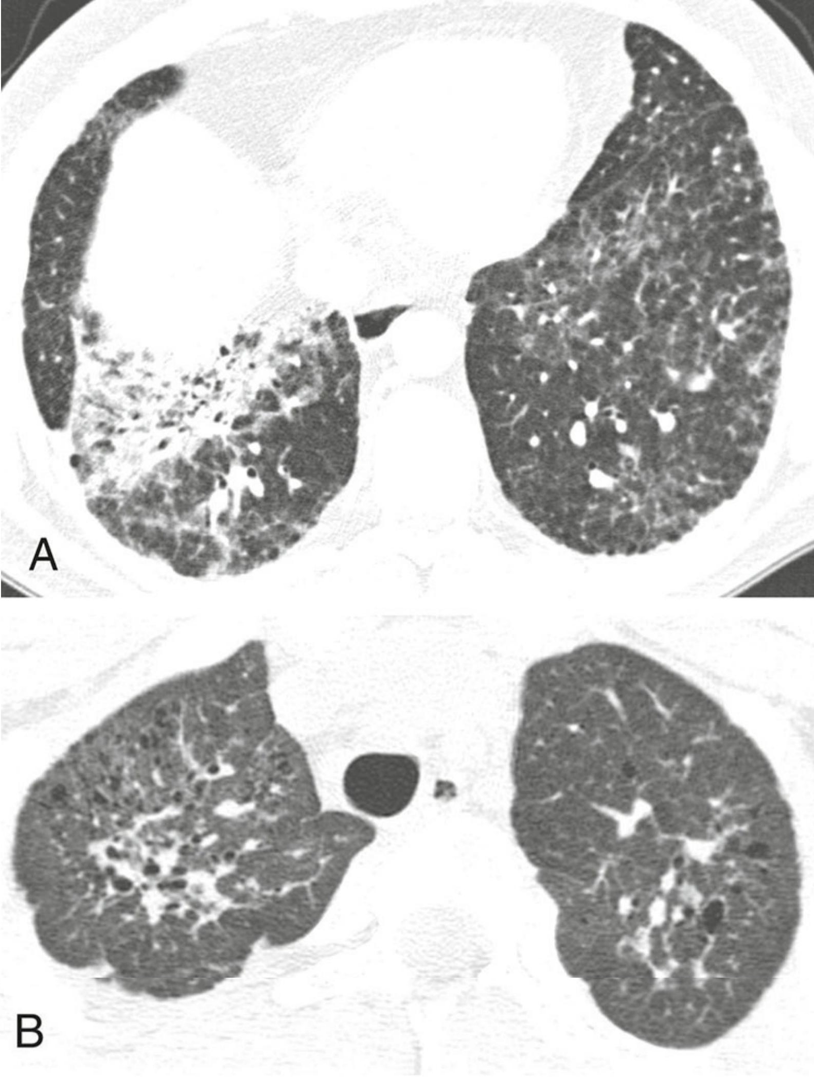
特发性肺纤维化(IPF)患者的病程进展可快可慢,最终进展为肺纤维化。部分IPF患者也可出现症状的急速恶化,称为IPF 急性加重期。这些患者的HRCT通常表现为先前的纤维化肺区或正常肺区出现GGO。这些GGO反映组织病理学上的弥漫性肺泡损伤。

270698019bbfe8374978451b41f8b15b.png

特发性肺间质纤维化(IPF)的急性加重期。

A.经肺活检证实的IPF, 左肺基底层面的HRCT显示肺外周网状影;

B.中肺层面HRCT显示少许异常;

C. IPF急性加重期,3个月后相同的中肺层面HRCT显示病变进展为弥漫性GGO。

03
鉴别诊断

特发性肺纤维化(IPF)的肺部HRCT表现一般难以与表现为普通型间质性肺炎(UIP)模式的其他疾病鉴别,它们包括结缔组织病、药物中毒及石棉沉着症。

IPF 与这些疾病的鉴别主要依靠临床特征。结缔组织病患者通常具有系统性疾病的临床表现。药物中毒则有相应的用药史。石棉沉着症患者有在高危职业中的长期接触史。


在HRCT上,80%以上的石棉沉着症患者伴有胸膜病变。肺外周的小叶中心性小结节反映细支气管周围的纤维化,被描述为石棉沉着,但这是少见征象,且一般见于疾病早期。


在某些情况下,病理学结果可能会受到抽样误差的限制。换言之,活检样本来自肺的一部分,并不能反映疾病的全貌。例如,若在纤维化严重区域取样,过敏性肺炎(HP)和结节病可能在病理学上显示出UIP模式。而HRCT的优点在于能显示全肺,通常能展现不同的影像特征。


典型过敏性肺炎(HP)的病变不以胸膜下分布为主,而是累及全肺且以中肺或上肺为主。另外,HP患者在HRCT上,可表现为小叶中心性结节或多灶的马赛克灌注和(或)空气潴留。结节病主要累及上肺,呈中央或支气管血管周围分布,淋巴管周结节可与纤维化伴发。

390ea7e6e4a3b513629c4a045e58d1fb.png

低置信度诊断为UIP。

过敏性肺炎患者,俯卧位HRCT显示肺纤维化不以胸膜下分布为主;

(A), 且不累及肋膈角(B)。由于病灶以肺中央及上肺分布为主,故与UIP表现不一致。


由于非特异性间质性肺炎(NSIP)常显示胸膜下和肺基底的纤维化,因此在某些病例中与普通型间质性肺炎(UIP)相似。然而纤维化的NSIP常表现为以支气管血管周围分布为主的网状影或胸膜下相对不受累,这些征象与UIP表现不一致。另外,在NSIP中,蜂窝征不常见,即使出现,也呈轻度且范围有限。

8db395ee458c4506966a0abd5a084311.png

非特异性间质性肺炎(NSIP), 蜂窝征。

纤维化型NSIP可出现蜂窝征(箭),但通常程度不重,正如本例硬皮病患者所示,这与以蜂窝征为主要病变的普通型间质性肺炎(UIP)不同。

04
家族性肺纤维化

某些肺纤维化患者的一个或多个近亲也有肺纤维化,这种家族聚集性肺纤维化疾病是由于遗传易感性导致的各种类型的肺损伤。一种特异的遗传原因已经在某些相应病变的患者中得到证实,例如表面活性蛋白C或端粒酶突变,但是大多数病例是特发性的。


家族性肺纤维化与IPF最相关,约占该病的20%。家族因素也可见于过敏性肺炎、结缔组织病或其他任何引起肺纤维化的疾病。家族性肺纤维化本身不是一种诊断,患者的最终诊断是其基础疾病,如IPF 。病理学上,家族性肺纤维化患者通常表现为UIP模式;然而,也常见不可归类的病理表现。


家族性肺纤维化的HRCT表现是其基础疾病的表现;然而,其非典型表现比非家族性疾病更常见。在家族性IPF中,GGO和非典型分布的肺纤维化比非家族性IPF更常见。同一家族中可存在多种不同的HRCT表现模式。

1d6b3eec372d7c316be21a0d6fbe74cc.jpg

家族性肺纤维化。

同一家族的2例家族性肺纤维化(A和B);活检证实,其组织学类型为普通型间质性肺炎(UIP)。

A. 1例患者表现为肺基底部分布为主的斑片状GGO和轻度牵拉性支气管扩张,B.另一患者表现为肺上叶和中央区分布为主的网状影、牵拉性支气管扩张和肺囊肿。家族性肺纤维化患者的HRCT表现通常不典型。

05
非特异性间质性肺炎

非特异性间质性肺炎(NSIP)这一术语最初被用以描述一种不符合其他特定的间质性肺炎的病理类型。随着时间的推移,人们逐渐认识到那些被分类为NSIP的病例,实际上代表一类特定的疾病,它具有特征性的病理表现,且与某些疾病有明确的相关性。

结缔组织病是最常伴发NSIP的系统性疾病,但NSIP也可见于药物中毒或过敏性肺炎,或作为一种特发性疾病。需要注意的是结缔组织病和药物中毒都既可表现为UIP模式也可呈NSIP模式。


病理上,由于炎症和(或)纤维化,非特异性间质性肺炎(NSIP)表现为肺泡壁均匀增厚。与普通型间质性肺炎(UIP)不同,NSIP的肺结构通常被保留,而UIP 的肺结构高度扭曲。NSIP受累的肺区表现为均匀的组织学形态,即该病在时间和空间上都是同质的。

00dafb2b850d4a2ee56c89ae9e94e2fd.png非特异性间质性肺炎的病理表现。

由于肺纤维化,肺泡壁呈弥漫性增厚, 但几乎没有肺结构扭曲。


非特异性间质性肺炎(NSIP)(表9-4)较普通型间质性肺炎(UIP) 少见,好发年龄较轻(高峰年龄40-50岁),临床症状较轻。NSIP有2个亚型:细胞型和纤维化型,代表疾病的不同阶段。纤维化型更常见。

33e77b9c12643bcac1eb7a3c04d47d38.png

一般来说,NSIP患者的预后优于UIP (5年生存率达75%),但是这种生存差异在纤维化型NSlP患者中并不显著。


01
HRCT表现

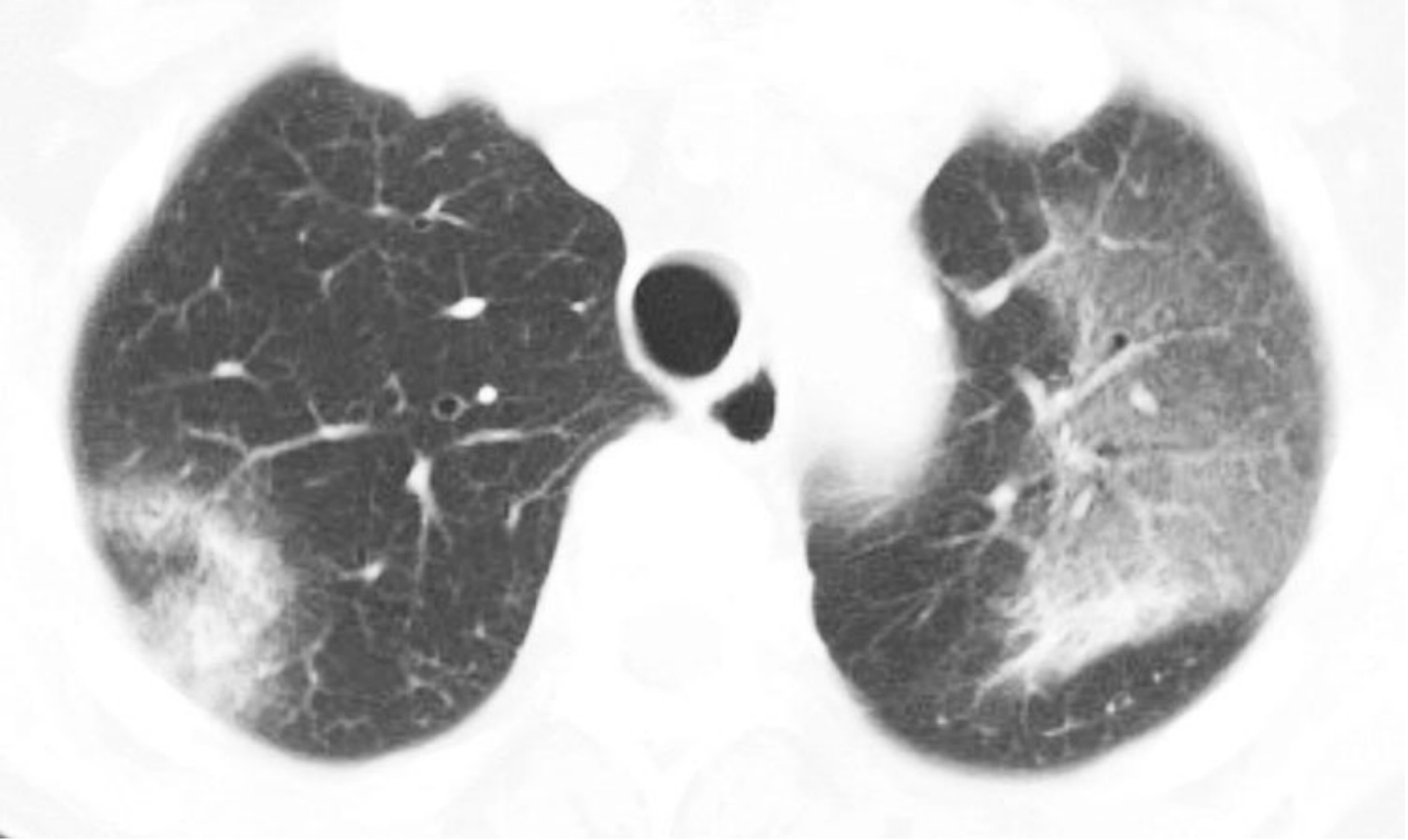
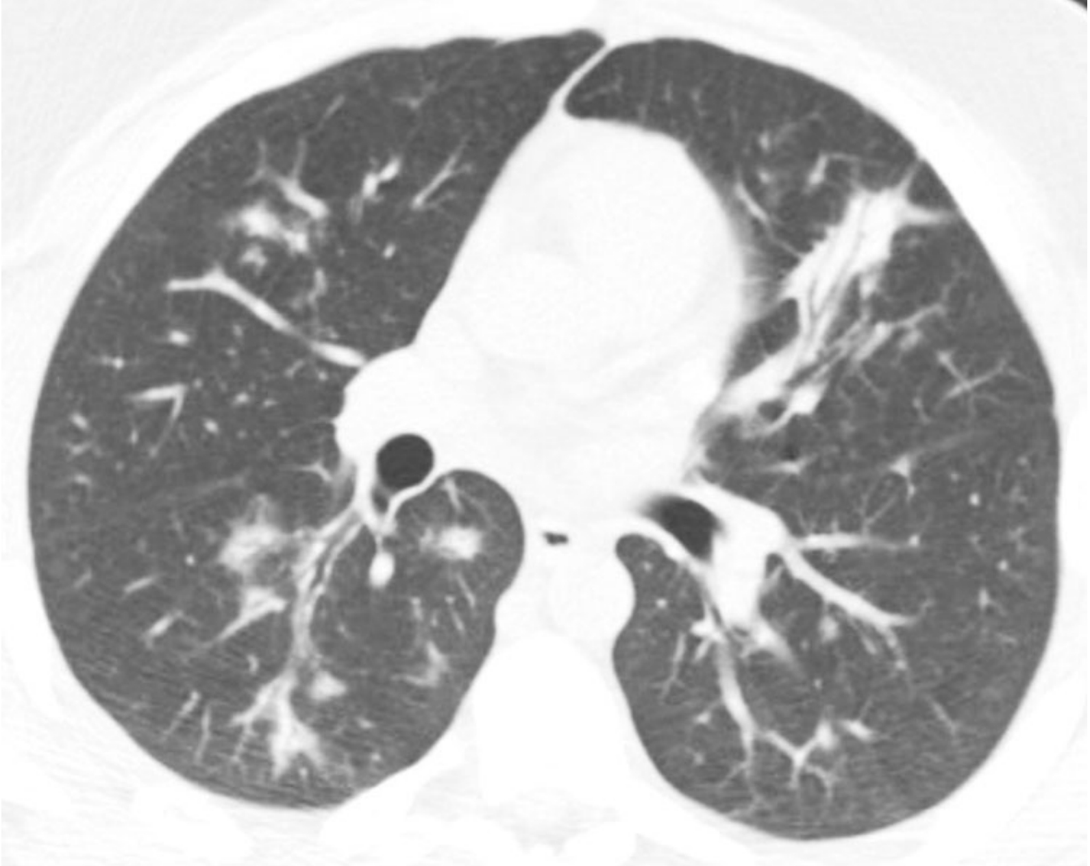
非特异性间质性肺炎(NSIP)的HRCT表现取决于其亚型。细胞型NSIP以GGO 为主,但是常伴有细微的网状影或出现牵拉性支气管扩张。

4e03c8cebf92f7f1d801e5412908e0ba.png

细胞型NSIP的典型表现。

4例细胞型NSIP,每例均显示GGO是最明显的异常(箭)。纤维化征象(如牵拉性支气管扩张)无或程度轻微。紧邻胸膜下肺区相对不受累(A至C)高度提示NSIP,但是也有许多NSIP病例无此征象(D)。


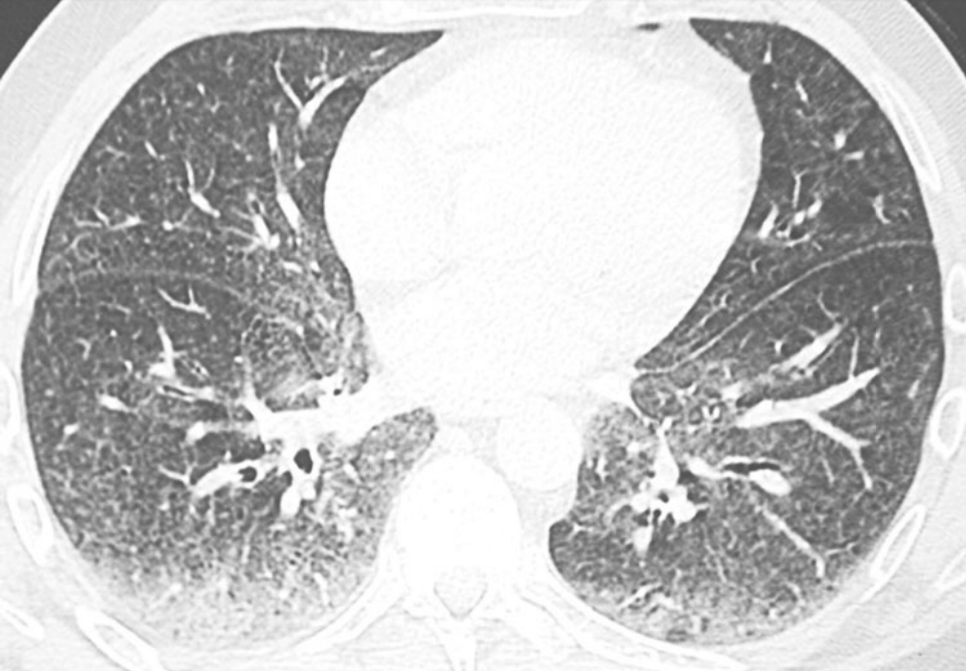
而纤维化型以牵拉性支气管扩张及不规则网状影为主。也可见GGO,提示可能并存细胞型NSIP。蜂窝征少见于纤维化型NSIP,仅见于少数病例且程度和范围轻微。

NSIP 可发生急性加重,与特发性肺纤维化(IPF)的急性加重相似,在组织学上表现为弥漫性肺泡损伤(DAD),在HRCT上表现为GGO和实变。

27548bcf9c93bc25a1cd816613e8485a.png

纤维化型非特异性间质性肺炎(NSIP)的典型表现。

4例纤维化型NSIP,每例均显示不规则网状影(蓝箭)和牵拉性支气管扩张(红箭)为主要异常。紧邻胸膜下肺区不受累(A至C)高度提示本病,但有时无此征象(D)。蜂窝征缺如或不明显。


NSIP的分布与UIP相似,以胸膜下和肺基底分布为主。但是,若病变呈肺外周、向心性分布而紧邻胸膜下肺区相对不受累,则高度提示NSIP,该表现见于20%~50%的病例。NSIP也可表现为支气管血管周围分布为主。

53d6375849f2940cc1f189ff2ae4a722.jpg

非特异性间质性肺炎的分布。

经上肺(A) 、中肺(B)及下肺(C)层面的HRCT图像显示分布在胸膜下和肺基底的不规则网状影及牵拉性支气管扩张。

冠状位重组(D)及冠状位最小强度投影(MIP)重组(E)图像证实病变分布在肺基底部。

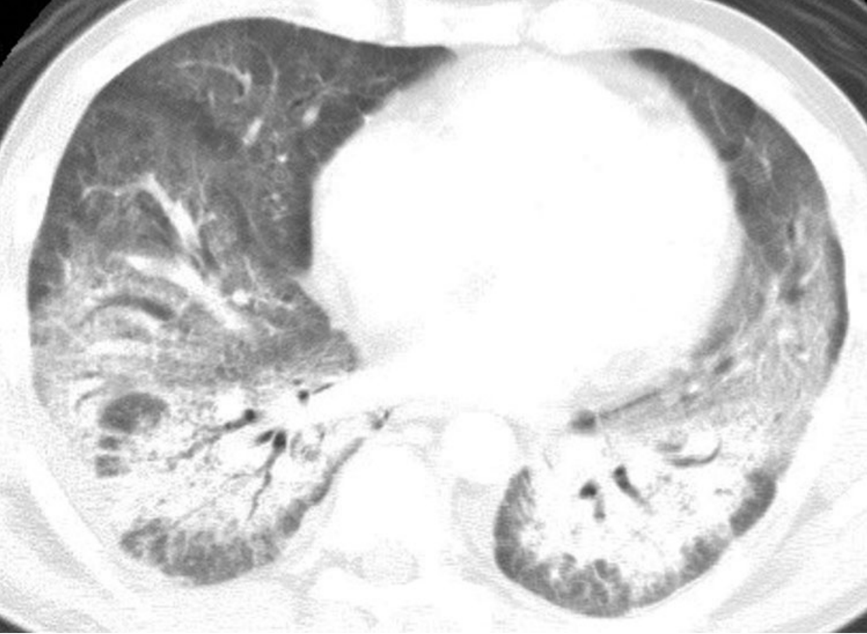
fab3daec20b0e285e5a9a279dc775d3f.png

非特异性间质性肺炎(NSIP),胸膜下未受累。

病变呈肺外周分布,且紧邻胸膜下的间质相对未受累,高度提示NSIP。

A.类风湿关节炎相关性NSIP患者,可见肺外周不规则网状影,且紧邻胸膜下的间质相对未受累;

B.硬皮病患者,可见较严重的牵拉性支气管扩张和不规则网状影,病变主要位于肺外周,而胸膜下肺区相对未受累。紧邻胸膜下肺区较距胸膜1cm以外肺区的病变少。


当结缔组织病患者疑似患有NSIP时,一般不行肺活检以确诊,这是因为肺部疾病被认为与患者的系统性疾病相关。若无结缔组织病史,当HRCT表现提示NSIP时,通常需行肺活检。

02
鉴别诊断

对某些病例而言,难以通过HRCT鉴别纤维化型NSIP与UIP。当胸膜下肺区不受累且无或仅有轻度蜂窝征时,NSIP可能性极大。当胸膜下受累且无或仅有轻度蜂窝征时,UIP和NSIP都有可能。不伴有蜂窝征的纤维化程度越严重,NSIP的可能性越大。若存在明显的蜂窝征,则提示UIP。另外,NSIP倾向于同心性分布,而UIP则常为散在性分布。

4c7dc9f206c15d732f3e373f55c91b66.jpg

纤维化型非特异性间质性肺炎(NSIP)与普通型间质性肺炎(UIP)的对照。

A .NSIP 患者,俯卧位HRCT 可见轻度蜂窝征(箭),该征象在纤维化型NSIP 中并不少见,但是与UIP 相比,其纤维化的程度有限;

B.特发性间质性肺纤维化患者,俯卧位HRCT 可见肺外周和肺基底分布为主的牵拉性支气管扩张(箭)和不规则网状影。若蜂窝征缺如,则优先考虑NSIP, 但UIP 也可表现为无蜂窝征的严重纤维化。若本例有结缔组织病史,可拟诊为NSIP,否则必须行肺活检以明确诊断。

06
脱屑性间质性肺炎

脱屑性间质性肺炎(DIP)(表9-5) 是一种与吸烟相关的肺部损伤。DIP很少被视为结缔组织病、药物反应、毒物吸入和表面活性蛋白C基因突变的一种反应性病变或特发性病变。DIP 是错误命名,因为其主要病理异常是肺泡内大量巨噬细胞沉积。与非特异性间质性肺炎(NSIP)或普通型间质性肺炎(UIP)相比,DIP的发病年龄较轻(高峰年龄为30-40岁),一般对治疗更为敏感(5年生存率达70%~95%)。

7ab247e462266061efdb98418137cd6c.png

脱屑性间质性肺炎(DIP) 与呼吸性细支气管炎(RB)都是与吸烟相关的病理组织学类型,它们代表同一肺泡巨噬细胞异常疾病谱的不同阶段。在RB中,巨噬细胞浸润主要分布在小呼吸道周围,而在DIP 中,病变更为弥漫。RB是吸烟者常见的病理组织学异常。若患者的病理组织学检查显示为RB且具有临床症状,则命名为呼吸性细支气管炎-间质性肺病(RB-ILD)。

HRCT表现

典型脱屑性间质性肺炎(DIP)的HRCT分布特征与UIP和NSIP相似,以肺外周和肺基底分布为主。GGO是主要影像表现,可为弥漫性或以肺基底分布为主。尽管在DIP偶尔可进展为纤维化模式,但纤维化征象(网状影、牵拉性支气管扩张及蜂窝征)常缺如或轻微。在受累肺区可见散在的囊肿和(或)肺气肿。这些囊肿可作为诊断线索。

4ed145de8659ac6e2d3cf4b938bce9e7.png


脱屑性间质性肺炎(DIP)的分布的典型表现。

经上肺(A)、中肺(B)及下肺(C)层面的HRCT显示肺外周及肺基底分布的GGO。矢状位重组图像(D)亦显示该征象。注意.该吸烟患者肺上叶的肺气肿。

eb425e5f30a303899989d2e70c029a6a.png脱屑性间质性肺炎(DIP)。

HRCT显示肺外周孤立性GGO, 该表现无特异性,但当吸烟患者伴有慢性症状时,应首先考虑诊断DlP。

1d28bf7e3f0ffd0ab1689df5cd7b7426.png

脱屑性间质性肺炎(DIP)。

在相同肺区并存GGO和囊肿或肺气肿,提示DIP。当患者有吸烟史时,上述征象常为DIP的确诊依据,而不需进行肺活检。


呼吸性细支气管炎(RB)或呼吸性细支气管炎-间质性肺病(RB-ILD)患者的HRCT最典型表现是小叶中心性GGO结节。这些结节通常在肺上叶的中央区最严重。也可见马赛克灌注和(或)空气潴留,但是程度轻微。


由于呼吸性细支气管炎(RB)和脱屑性间质性肺炎(DIP)是同一疾病谱上的不同阶段,它们的影像表现可能相互重叠。因此,DIP也可表现为小叶中心性GGO结节、马赛克灌注和空气潴留,可呈弥漫性分布,或以上叶或下叶分布为主。

07
机化性肺炎

机化性肺炎(OP)(下表)是一种与多种病因和疾病相关的非感染性炎症,在病理上和HRCT上都较为常见,曾被称为闭塞性细支气管炎性机化性肺炎(BOOP),但该命名因以下原因被弃用:

第一,机化性肺炎能更准确地反映本病的病理表现。

第二,机化性肺炎这一术语避免了与呼吸道疾病(即闭塞性细支气管炎)相混淆。

36c6574d02cfb9f67b52c6d28bc9ce08.png

病理学上,OP主要表现为远端呼吸道内呈分支或圆形、息肉样的肺泡内肉芽组织。肉芽组织可累及呼吸性细支气管,这可能是修复反应的启动部位。这些表现与轻度间质浸润有关,然而肉芽组织是主要的病理特征。

aac4aeb4769864312e8fc5f6bc89f515.png

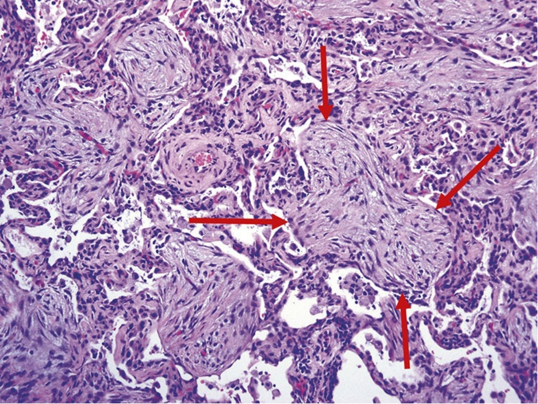
机化性肺炎的病理表现。

肺泡腔内可见圆塞样的肉芽组织(箭),与HRCT的实变相对应。


机化性肺炎(OP)患者通常表现为低热、呼吸困难和咳嗽等慢性症状,但也可能出现急性症状。OP的临床表现通常较普通型间质性肺炎(UIP)为轻,且激素治疗有效,但是治疗后复发的情况不少见。


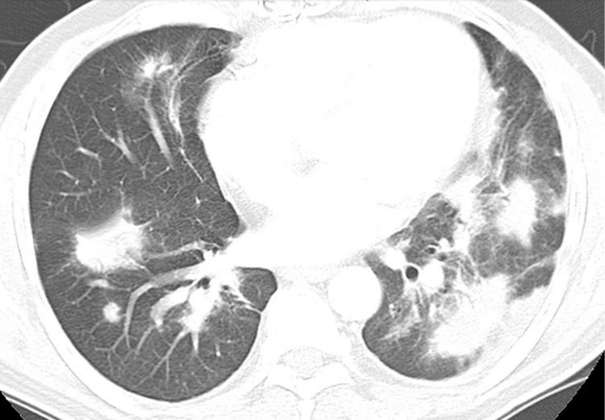
机化性肺炎(OP)最典型的HRCT表现是局灶性实变,常呈结节状或团块状, 形态不规则或分叶状,以支气管血管周围及胸膜下分布为主。实变与正常肺区相间。上述表现常在肺下叶最为严重。

69641f50153de679e4e0f03e36c228a2.png

机化性肺炎(OP)的典型表现。

本例OP患者具有典型的HRCT表现,可见双侧肺外周和支气管血管周围实变,呈结节状或团块状,边缘不规则。注意:正常肺区与OP病变区相间。

3e46b414d8d39bcbbf86b932d8bc5c4b.png

机化性肺炎的分布。

经上肺(A)、中肺(B)及下肺(C)层面的HRCT图像,显示胸膜下结节和支气管血管周围实变。冠状位重组图像(D)显示病变以肺下叶分布为主。


GGO很少是OP的主要异常,但是在免疫功能低下患者中或者当合并实变时,GGO可成为OP的主要异常表现。OP偶见小叶中心性结节。尽管OP最终可导致肺瘢痕形成,但是显著的纤维化并不是其典型特征。

fa260c1e2380394e0de8d21fc35a7788.png

机化性肺炎,GGO。

机化性肺炎典型以实变为主要异常,极少数情况下,GGO可为HRCT主要表现,尤其是存在免疫功能抑制史的患者。


“ 环礁征” 或“ 反晕征“ 高度提示机化性肺炎(OP),该表现是指环形或半环形实变围绕中央透明区或GGO。

143d09f1b3f6d79cfe19365ae5e1b2b1.png

机化性肺炎(OP)的“ 环礁征” 或“ 反晕征”。

外周环形实变(黄箭)围绕中央透亮影或GGO(红箭、黄箭),称为“ 环礁征” 或“ 反晕征" 。该征象高度提示OP。但对OP的病因诊断无特异性。


在一小部分病例中,环礁征或反晕征可见于其他诊断,如肺梗死、感染(如副球孢子菌病或侵袭性真菌感染)、结节病和血管炎[肉芽肿性多血管炎(GPA)]。当以上这些疾病出现环礁征时,通常有临床症状或其他影像学表现提示不是OP。例如,中性粒细胞减少的患者出现环礁征时,应行侵袭性真菌感染的相关检查,特别是毛霉菌病。当出现环礁征且无临床症状或其他影像学表现时,无论环礁征是主要征象还是弥漫性肺病的继发反应,均能确定存在OP 。


OP另一个特异性表现是存在小叶周围阴影。在HRCT上,这种异常表现为相互连接的线样阴影,类似小叶间隔的多边形。小叶周围阴影不同于小叶间隔增厚,它们较厚且边界模糊。小叶周围阴影被认为是由于位于肺小叶周围且直接毗邻小叶间隔的异常病变所致。

1ae7970c9dcd6b83a40aeeaac11f4657.png

小叶周围阴影。

HRCT显示相互连接的线样阴影形成多边形结构,类似肺小叶。但是这些线影比小叶间隔更厚且边界更模糊。本例为隐源性机化性肺炎患者。


多种病因可导致机化性肺炎(OP),包括结缔组织病、感染、药物、毒物吸入、免疫功能紊乱及移植物抗宿主病。

OP也可继发于其他疾病包括感染、慢性嗜酸性粒细胞性肺炎、过敏性肺炎、肉芽肿性多血管炎(Wegener肉芽肿)及弥漫性肺泡损伤。

上述病变的HRCT表现难以与那些以OP为主要异常的疾病鉴别。约50%的OP是特发性的,称为隐源性机化性肺炎(COP)。

32fca81e9c1dbc36f3734c6ed19bacfe.png

胺碘酮毒性引起的机化性肺炎(OP)。

HRCT显示胸膜下和支气管血管周围散在的、不规则团块状的实变,上述表现强烈提示为OP。OP有多种可能的病因, 其中之一就是药物毒性。

ef1142915de4aa42e66e687dc2964f1a.png慢性嗜酸性粒细胞性肺炎伴机化性肺炎。

HRCT 显示双肺散在局限性实变,强烈提示OP。OP 既可为原发性异常也可继发于其他弥慢性肺病,如慢性嗜酸性粒细胞性肺炎。

73951885936853d9dd6b5ebd20bc78d7.png

肉芽肿性多血管炎伴机化性肺炎。

经病理学和HRCT 证实的OP 模式可能伴发于一些疾病中,包括慢性嗜酸性粒细胞性肺炎、感染、过敏性肺炎及肉芽肿性多血管炎。

本例为肉芽肿性多血管炎患者,HRCT 显示局灶性、散在的支气管血管周围实变,符合OP 的表现。

51159df5dcad0495ed74cada153953ae.png

隐源性机化性肺炎(COP)。

具有慢性症状而无相关病史或接触史的患者, HRCT 显示双肺散在的团块样实变和GGO。COP 约占机化性肺炎的50%。


OP的鉴别诊断包括引起散在慢性实变的其他疾病,如慢性嗜酸性粒细胞性肺炎、侵袭性黏液腺癌、淋巴瘤、结节病及类脂性肺炎。需要注意慢性嗜酸性粒细胞性肺炎可能导致的组织学和HRCT表现几乎难以与OP相鉴别。这些疾病可能是相关的,只是在嗜酸性粒细胞是否占优势方面有所不同。

08
急性间质性肺炎

急性间质性肺炎(AIP)(表9-7)是与弥漫性肺泡损伤(DAD)的组织学类型相关的特发性间质性肺炎(IIP),通常表现为无明确病因的急性呼吸窘迫综合征(ARDS),又称Hamman-Rich综合征。临床表现与已知病因的ARDS相似。早期病死率高,与其他病因所致的ARDS相似。

d81252e053882d9e2eb3ed73d6b97a5a.png


HRCT表现


急性间质性肺炎(AIP)的HRCT表现与其他病因所致的弥漫性肺泡损伤(DAD)及急性呼吸窘迫综合征(ARDS)很难鉴别,表现为广泛或弥漫性GGO及实变。

若在疾病早期行影像学检查,可见病变主要分布于肺外周,但迅速遍及全肺,呈弥漫性分布。随着时间推移,幸存患者HRCT上的GGO及实变逐渐吸收,通常进展为不规则网状影和其他纤维化征象,最终,纤维化可能是仅有的后遗症,常分布在肺外周及肺前部。

f6c29da31feddc56b0f777f790c388a6.png

急性间质性肺炎的典型表现。

患者有急性症状,HRCT显示双肺广泛的GGO及实变,可代表肺水肿、弥漫性肺泡损伤、感染和(或)出血。该患者的临床诊断为急性呼吸窘迫综合征(ARDS),肺活检显示弥漫性肺泡损伤。由于无明确的ARDS病因,因此诊断为急性间质性肺炎。

2feabda23565d2155a8ff9ddf58c3706.png急性间质性肺炎(AIP),纤维化。

诊断为AIP1年后,HRCT显示胸膜下纤维化伴蜂窝征(箭),以肺前部分布为主。这是AIP后遗纤维化的典型表现。

09
淋巴细胞性间质性肺炎

淋巴细胞性间质性肺炎(LIP)是一种与结缔组织病和免疫缺陷病(如HIV感染或常见变异型免疫缺陷病)相关的淋巴增生性疾病。


淋巴细胞性间质性肺炎(LIP)的临床表现常以全身性症状为主,有时可出现慢性呼吸困难和干咳。LIP对类固醇治疗有效,但是,高达1/3的患者可进展为纤维化。

HRCT表现

淋巴细胞性间质性肺炎(LlP)最常见的HRCT表现是散在的GGO,也可见实变。该表现无特异性,因此临床病史对诊断至关重要。在有适当临床证据支持的前提下,结节更支持本病的诊断,常呈小叶中心性或淋巴管周围分布。

LIP的小叶中心性结节反映存在滤泡性细支气管炎。囊肿可伴有其他异常征象,也可为LIP 的唯一表现,尤其是伴有干燥综合征或其他结缔组织病时。

6433f2355f90284a340c7988932c0a14.png

淋巴细胞性间质性肺炎(LIP)。

结缔组织病患者,HRCT显示双肺散在GGO。虽然该表现无特异性,但由于患者有结缔组织病史,因此可拟诊为LIP。

10
胸膜肺弹力纤维增生症

胸膜肺弹力纤维增生症(PPFE) 是近来报道的一种肺损伤类型。在组织病理学上,表现为以肺尖部分布为主的纤维化伴弹性组织变性,并与肺脏胸膜纤维化相关。它可能为特发性或由已知疾病所致,包括慢性感染、药物、结缔组织病和骨髓移植。PPFE也可为肺移植受者的一种慢性排斥反应。特发性PPFE的发病高峰年龄为50-60岁。通常进展是典型的,预后差。


HRCT特征性表现包括肺尖及胸膜下分布的实变,伴有肺组织结构扭曲、不规则网状影、牵拉性支气管扩张和蜂窝征。纤维化与胸膜增厚相关,常伴有胸膜外脂肪沉积。HRCT表现通常随时间而进展。

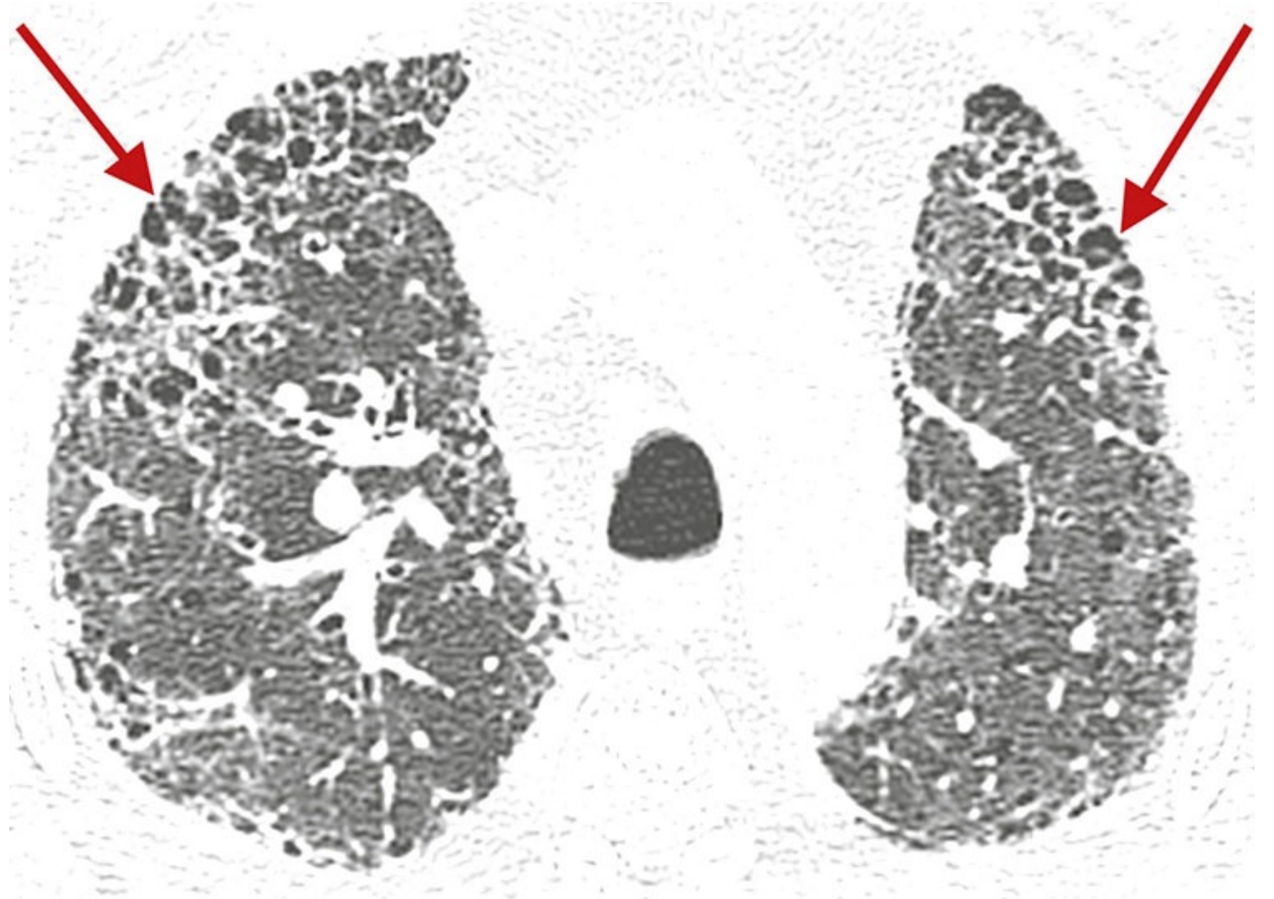
a1450979e86306d88e2f5bd2c304d7c9.jpg

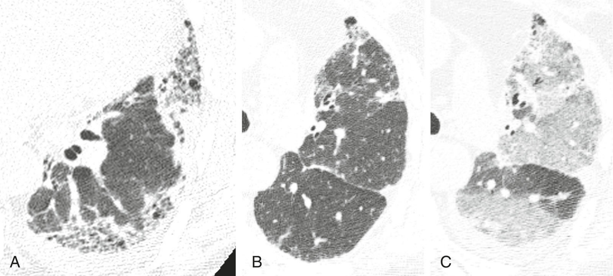
胸膜肺弹力纤维增生症(PPFE) 的典型表现。

上肺(A)的轴位HRCT表现为胸膜下的实变伴肺结构扭曲和支气管扩张。中肺(B)亦被累及,但程度较轻。冠状位重组图像(C)能很好地显示病变呈胸膜下及肺尖分布。


PPFE在HRCT上的鉴别诊断包括引起肺上叶纤维化的其他疾病。“肺尖纤维帽” 是一种偶然发现且与临床症状无关的影像表现,也可呈肺尖部为主的纤维化。但是它的纤维化程度较轻,且在连续影像随访过程中,其病变范围及严重程度保持不变。

结节病、先前肉芽肿感染遗留的瘢痕和肺尘埃沉着病也可表现为肺上叶分布的纤维化,但是它们往往呈支气管血管周围分布,不同于PPFE以胸膜下分布为主。这些病变通常维持稳定或进展,但发展较PPFE慢。

精选文章
更多精选文章