胸部 - 2023-06-06 12:03:43
结节病分期、影像诊断详解
01
概述

结节病是一种以非干酪样肉芽肿为特征的免疫介导性疾病。发病原因不明,但可能涉及感染或非感染的环境因素,以及遗传和宿主因素。结节病的发病年龄多在50岁以下,但也可见于老年人。


至少90%的结节病都有肺部表现,约25%的患者在诊断时出现呼吸系统症状,通常是呼吸困难。因此,对疑似结节病的患者来说,HRCT通常是首选的检查方法。多达50%结节病患者是无症状的,在为其他原因行影像学检查时被偶然发现。


结节病在人群中的发病率存在显著的差异,最常见于斯堪的纳维亚人后裔和美籍非裔人中。结节病在亚洲及靠近赤道的国家中的发病率明显低于美国。结节病的死亡率为1%~5%,低于其他的弥漫性肺部疾病。

02
结节病的分期

‍‍结节病的分期是基于胸部X线摄影的表现,至今基于HRCT的结节病分期尚未被确认。已有的资料证明,在HRCT上所见肺实质的细微病变或淋巴结肿大在胸部X线摄影上常常不易显示。


基于胸部X线摄影的分期如下所示。

0期:正常。

Ⅰ期:仅有肺门淋巴结肿大。

Ⅱ期:肺门淋巴结肿大+肺实质病变。

Ⅲ期:仅有肺实质病变。

Ⅳ期:纤维化。


这种分期方法,对于判断疾病的预后和预测疾病不经治疗而自然消退的可能性方面具有一定的价值。60%~90%的1期患者可以自然消退,而在结节病Ⅲ期患者中,仅有10%~20%可以自然消退。

03
结节病的肺部异常表现

结节病累及肺部的主要表现为肺间质或呼吸道肉芽肿,进而可发展为肺纤维化或呼吸道闭塞。HRCT可见多样的异常表现,包括淋巴管周结节、实变、肿块、磨玻璃影(GGO)、马赛克灌注、空气潴留、不规则网状影、牵拉性支气管扩张、囊样病变及蜂窝征(表12-1)。这些异常表现主要分布于上叶, 但也并非全是如此。

8502d6683e3eed218f71aa12126e258a.png


(一)淋巴管周结节

结节病的肉芽肿累及或发生于肺的淋巴管,表现为簇状的微小肉芽肿结节分布于淋巴管周围(关于肺结节性疾病如何判断分布,详见:肺结节性疾病形态、密度、分布特点及诊断思路),结节倾向于局灶性分布,部分肺野出现异常,而部分肺野未受累及。


淋巴管周结节常累及以下结构,即肺门旁支气管血管周围间质、小叶中心(支气管血管周围)间质、胸膜下间质和小叶间隔。


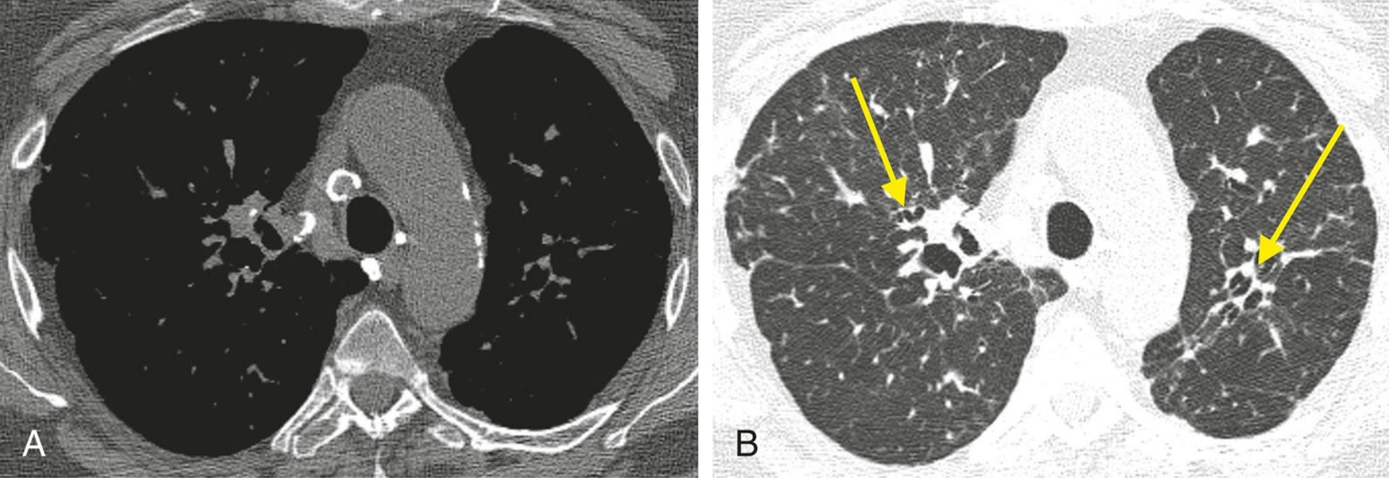
结节病特征性HRCT表现为边界清楚的结节,多分布于邻近肺门的支气管血管周围和胸膜下区。中央支气管和肺动脉周围常常可见簇状分布的小结节,小结节可融合形成边界不清的团块状致密影。

结节和簇状结节也常见于胸膜下间质,包括叶间裂下间质。虽然结节病患者的受累程度各不相同,但是结节的分布主要是局限在支气管血管周围和胸膜下区。

a6e40d7ee5c68dbaf183e07ee5edee07.jpg

结节病的典型表现。

A至C广泛累及肺部的结节病患者,HRCT可见簇状和团块样结节,包绕肺门的动脉、支气管及支气管血管周围间质(红箭,B), 分布于外周支气管血管周围(红箭,A和C) 、肺外周及与叶间裂相邻的胸膜下间质(蓝箭)。

c02d9062cb233d985dc8bcd69eb92b1a.png

典型结节病伴支气管血管周围和胸膜下结节。

A.HRCT显示肺门区散在的结节,但是与上图相比,其与气管和支气管的关系较难确定。胸膜下结节清晰可见。

B.在较低的层面上,结节数量较少。结节主要分布在上叶,上叶分布是结节病的典型表现。

57a03c15e8d1b5dcc46ec6b10a3d6b28.jpg

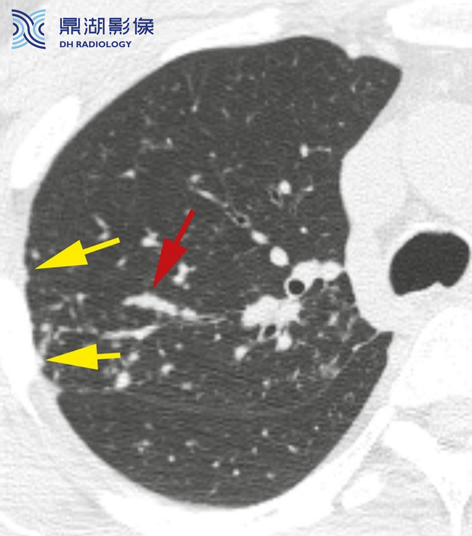
典型结节病表现为支气管血管周围和胸膜下结节。本例为右肺上叶有局限性受累,支气管血管周围(红箭)和胸膜下(黄箭)可见多发结节。


当支气管血管周围分布大量结节或结节累及呼吸道壁,可以导致相应的支气管狭窄或闭塞,偶尔造成肺不张。

56b5581a4ed33bf6212d41a21b03b7ec.png

结节病伴右肺中叶不张。支气管血管周围有广泛的肉芽肿形成或支气管内肉芽肿可导致支气管的狭窄或闭塞。

A.本例患者支气管受累导致右肺中叶不张,B.在另一层面上,可见累及叶间裂的散在分布的结节(箭)。


少数情况下,结节病的结节主要分布于小叶中心间质或小叶间隔。在这些病例中,结节通常也可见于胸膜下和支气管血管周围间质。

4c3490966e64a4453dcb6053827bc11b.png

结节病伴小叶中心性结节。结节主要分布于小叶中心且边界模糊(红箭)。胸膜下可见数个散在结节(黄箭,B)。支气管血管周围间质延伸至肺外周,与小叶中心支气管和动脉相连。在一些患者中,结节病肉芽肿主要累及上述结构,形成边界清楚或模糊的小叶中心性结节。


上述这种表现为小叶中心性结节的结节病,与结核较难鉴别。

97d048a93c5f807a77b1817db175c7c1.png

2例结节病伴小叶间隔增厚。结节病很少以结节样小叶间隔增厚为主要异常表现。

A. 一例肺局限性受累的患者,左肺上叶可见串珠样的小叶间隔增厚(黄箭)。胸膜下也可见数个结节(红箭);

B.另一患者,串珠样的小叶间隔增厚(黄箭)主要见于右肺下叶,同样可见胸膜下结节(红箭)。


结节病偶尔呈类似结节的随机分布表现,但仍常为淋巴管周围分布。在这些病例中,结节分布多不均匀,位于支气管血管周围或胸膜下的结节数量多于随机分布的数量。

e7e783dec0c133d6d0659d8f8a9d13a1.png

结节病伴有类似随机分布的结节。粗略地看,结节呈随机分布且全肺受累。仔细观察可见结节呈散在不均匀分布,沿着叶间裂分布的结节(箭)数量多于随机分布的结节。


上述这种表现为淋巴分布结节加随机分布结节的模式,实际工作中更常见于肿瘤转移、癌性淋巴管炎,亚洲的结节病发病率要低于恶性肿瘤。


由于结节病的结节累及中央和外周呼吸道周围的间质,因此经支气管活检通常能够提供疾病的组织学确诊。然而,活检的结果还必须结合HRCT表现及临床症状。非干酪样肉芽肿是结节病的典型表现,也可见于其他病变。因此,最终诊断是结合病理、影像及临床的综合性诊断。

鉴别诊断

尽管在HRCT上表现为淋巴管周结节的患者绝大多数(> 90%) 患有结节病,但是其鉴别诊断(表)包括恶性肿瘤的淋巴管播散、淋巴细胞性间质性肺炎(LIP)、肺尘埃沉着病(如硅沉着病、煤工尘肺)和淀粉样变。临床病史对上述疾病的提示性诊断十分重要,例如,LIP患者通常有结缔组织疾病史或免疫功能低下病史,恶性肿瘤的淋巴管播散通常发生在有已知原发肿瘤的患者中,肺尘埃沉着病患者有严重的接触史,与导致淋巴管周结节的其他病因相比,结节病的发病人群要年轻一些。

9f24e62ec439a7494fca0cd855a2ad60.png

作为淋巴管周结节的可能原因之一,结节病的结节形态和分布也有助于提示诊断。结节病的结节常见于支气管血管周围和胸膜下间质。恶性肿瘤的淋巴管播散是淋巴管周结节的第二大常见病因(美国数据),通常好发于小叶间隔周围。恶性肿瘤的淋巴管播散可以主要分布于单侧或肺基底部,而结节病通常是双侧、对称性及上叶分布为主的。恶性肿瘤淋巴管播散的支气管血管周围结节通常伴有胸内肿瘤的其他征象。肺尘埃沉着病以小叶中心性结节为主,通常累及上叶后段。


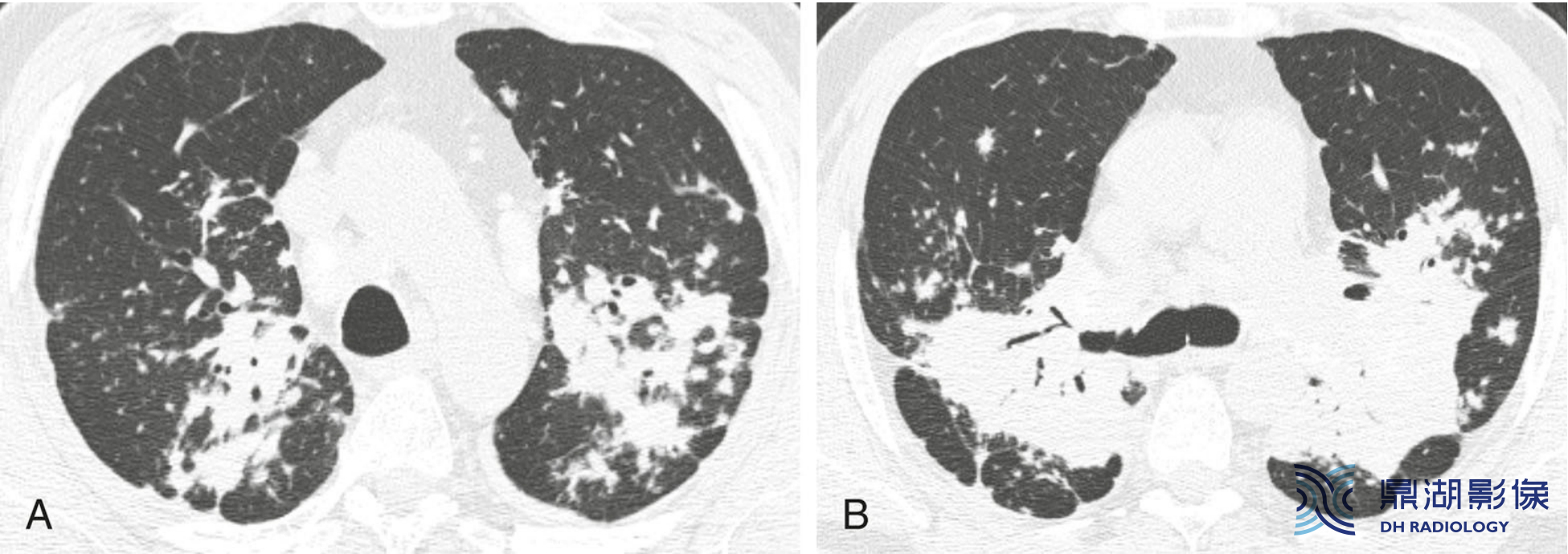
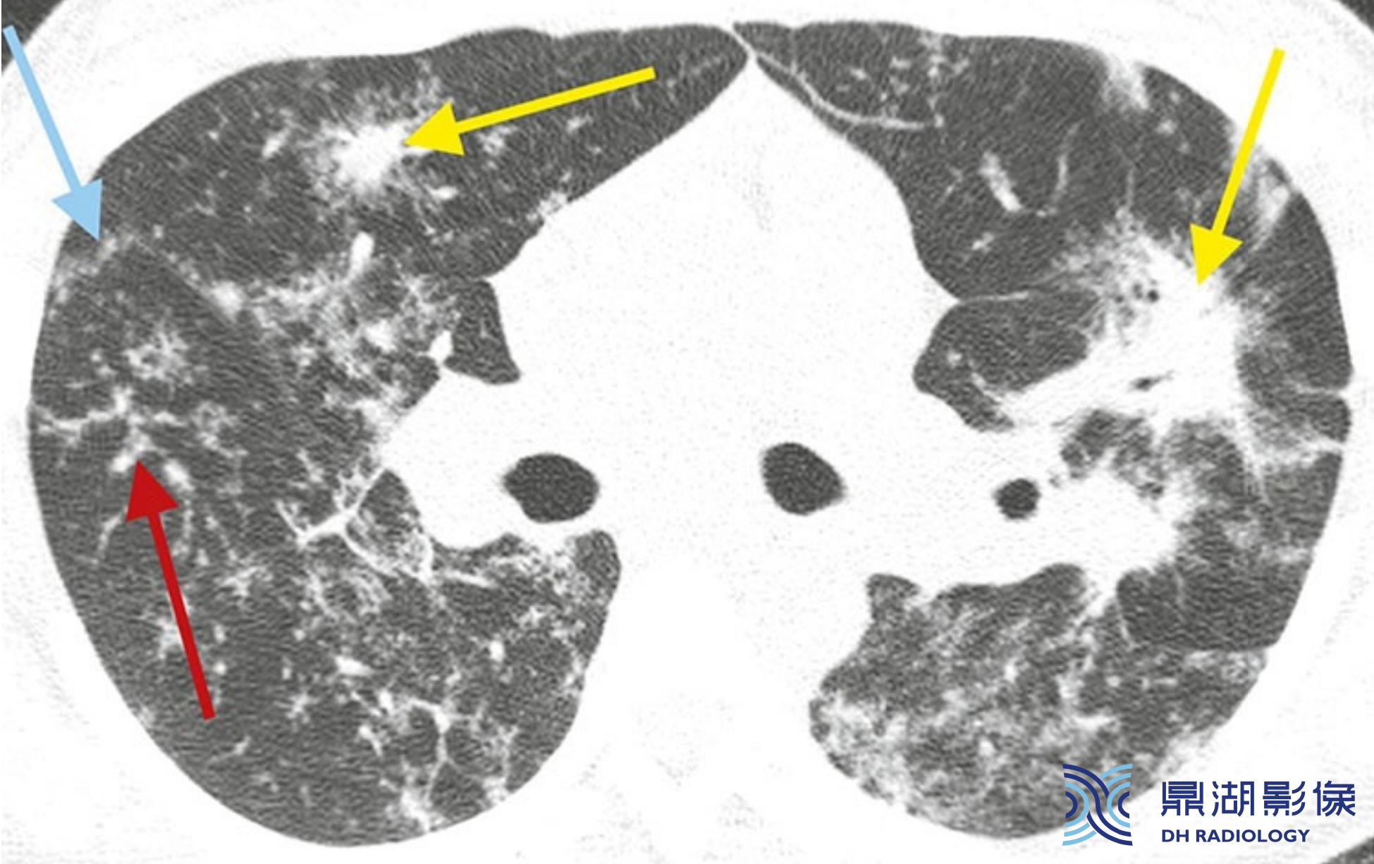
(二)实变和肿块


结节病可表现为肿块样实变,代表融合的肉芽肿病变。因肉芽肿肿块常位于支气管周围,因此可见支气管充气征。这种表现有时被称为"肺泡型结节病”, 但是事实上的肉芽肿并未累及肺泡腔。


结节病的实变以肺上叶为主,通常散在分布于支气管血管周围,外观可呈团块状。存实变周围可见散在的小结节(卫星结节),这也证实了实变是由肉芽肿病变融合而成而不是肺泡病变。团块状实变周围有散在分布的小结节,这一征象被称为“星系征” ,最多见于结节病。

0bf39ca4c88272289348361260f5dc2c.png

肺泡型结节病及“星系征" 的典型表现。A和B支气管血管周围可见融合的肉芽肿所形成的肺门旁团块样实变。实变内可见支气管充气征。大片团块影周围分布的小结节即卫星结节,大团块影与其周围环绕的小结节合称为“ 星系征”

09bcb3e8a2a27fe3ab06e3875d3923b3.png

结节病伴实变。结节病可见实变(黄箭),伴有支气管血管周围(红箭)和胸膜下(蓝箭)散在分布的多发结节。实变代表融合的肉芽肿。

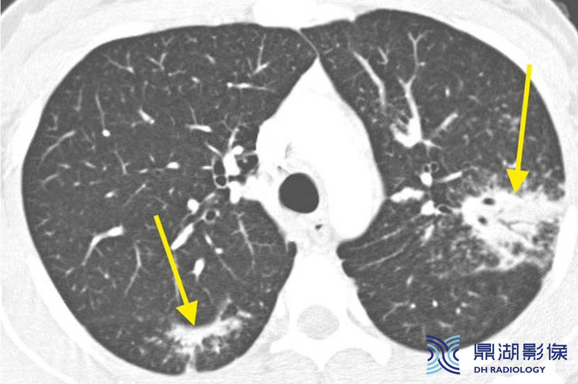
b9365aaf5ed567bd54c68adcd5629fa0.png

结节病伴实变。邻近支气管和叶间裂可见散在的实变(黄箭)。左肺上叶病灶内可见支气管充气征。实变区边缘可见小结节(卫星结节) ,此特征称为“星系征”,有助于区别结节病与其他病因所致的慢性肺实变。


与肺炎不同的是,结节病的实变是慢性和持续性的。慢性肺实变的鉴别诊断包括机化性肺炎、慢性嗜酸性粒细胞性肺炎、侵袭性黏液腺癌、淋巴瘤和类脂性肺炎。”环礁征”或“反晕征"高度提示机化性肺炎,而此种表现在结节病中极为罕见。虽然“星系征”在结节病中常见,但也可见于硅沉着病和煤工尘肺、滑石尘肺、其他肉芽肿性病变及侵袭性黏液腺癌。结节病的星系征,与结核的卫星灶也有相似之处。

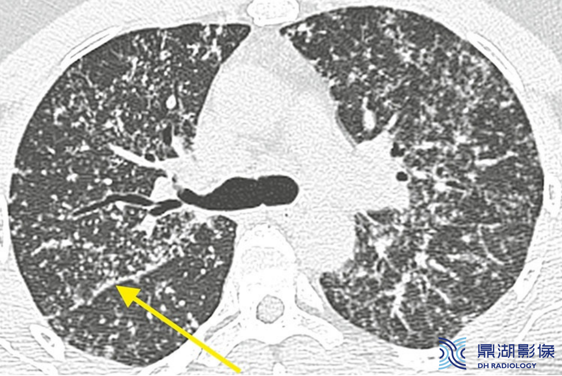
(三)磨玻璃影

结节病很少以散在的GGO为主要表现形式。GGO反映显微镜下大量的肉芽肿形成。即使当GGO为主要异常表现时,HRCT仍可见伴发的小结节。若不存在小结节,则HRCT表现无特异性。当这些病例的肺部HRCT表现不能特别提示结节病的诊断时,如果存在淋巴结肿大,则其可能是诊断的唯一线索。

e0db37e1b88a069b3b381a66de826201.png

结节病伴磨玻璃影(GGO)。左肺可见散在的GGO。即使在GGO内也可见散在分布的小结节。GGO很少在结节病中单独存在。

(四)呼吸道异常

结节病的HRCT偶尔可见大呼吸道壁呈结节状增厚,结节直径约数毫米,与本病的肺结节大小相似,突入呼吸道腔。


马赛克灌注和(或)空气潴留可发生于肉芽肿所致的小呼吸道狭窄或闭塞。根据支气管/细支气管闭塞的水平不同,呼吸道异常表现可呈小叶性、肺段或肺叶性分布。

45f1d0fd8592ce65844837351d65bc0e.png结节病伴空气潴留。

A.上叶可见典型的支气管血管周围间质增厚,

B.呼气末,肺基底部可见散在分布的空气潴留(箭),代表肉芽肿或伴随的纤维化所导致的小呼吸道狭窄或闭塞。


在结节病中,马赛克灌注和空气潴留通常不是孤立的异常征象。呼吸道异常几乎总是伴随有结节等其他表现。但是,即使结节在治疗后消退,呼吸道病变仍然可持续存在。


空气潴留和结节也可同时见于其他弥漫性肺部疾病,如过敏性肺炎、呼吸性细支气管炎、滤泡性细支气管炎和不典型感染。这些疾病的结节为GGO, 不同于结节病的结节呈较高密度且边界清晰。肺尘埃沉着病和淋巴细胞性间质性肺炎(LIP) 可表现为淋巴管周结节伴轻度的马赛克灌注和空气潴留。而肿瘤的淋巴管播散和淀粉样变所致的马赛克灌注和空气潴留则很少见。

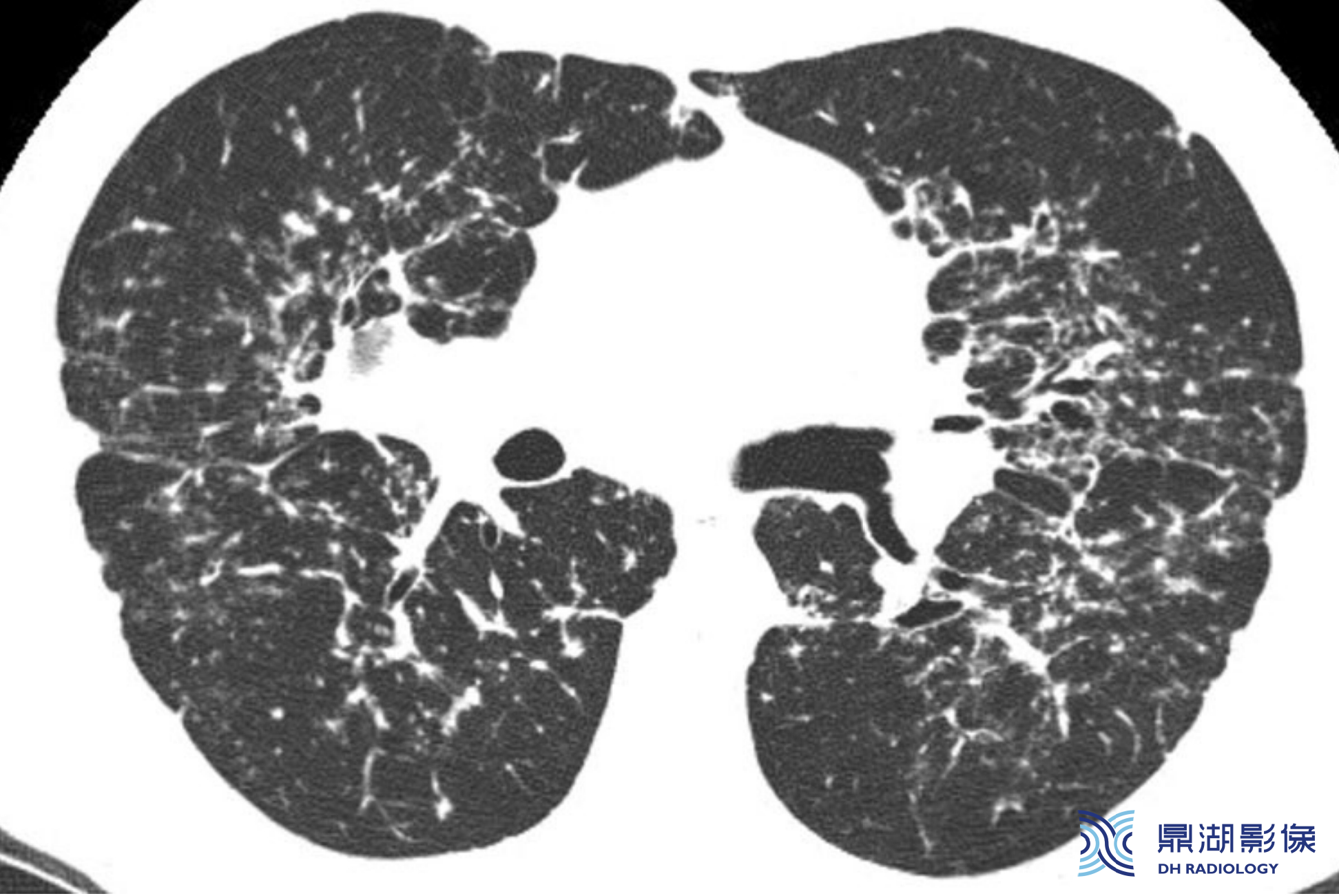
(五)纤维化

约20%结节病患者出现肺纤维化,提示预后不良。纤维化通常分布于上叶、肺门及支气管血管周围。不规则的网状影常见,部分患者可见纤维化团块,且常伴有牵拉性支气管扩张和不规则的支气管充气征。也可存在蜂窝征。但纤维化的总体分布不同于特发性肺纤维化(IPF)。IPF的纤维化通常分布在肺基底部和外周。

76e403bbb3770d689416a6529ed6e81d.png

结节病伴纤维化的典型表现。不规则的网状影主要分布在上叶、肺门旁和支气管血管周围,也可见于叶间裂和胸膜下。


ff618f5f2f90a2e4339cb1abd77341ca.png

结节病伴纤维化肿块。A.结节病伴发的肺纤维化主要分布于上叶和支气管血管周围区域(箭)。肿块样纤维化组织可以导致一系列改变。本例伴肺容积减少和肺结构变形,团块中也可见支气管扩张(如牵拉性文气管扩张) B.在一些病例中,相似的肿块样纤维化(箭)也可见于下叶。

6e130e16f648d6e01cda17edaaa92a2a.png

结节病伴蜂窝征。蜂窝征是末期结节病的表现,其分布与特发性肺纤维化不同, 主要分布于肺上叶和(或)中央区明显受累。


融合的纤维化表现为伴有结构变形的肿块样实变,通常包绕中央支气管,称为进行性块状纤维化(PMF)。PMF通常被用于描述发生于硅沉着病的类似病变。由于伴有牵拉性支气管扩张和结构变形,实变的纤维化可与"肺泡型结节病” 相鉴别。由于病变主要分布于上叶,肺门常常表现为向上牵拉移位。

c9bda91f5ba357acfa89e94937b227cd.png

结节病的类似进行性块状纤维化的典型表现。横断面(A)和冠状面(B) 图像显示中央肺区的大块实变的纤维灶(箭)和牵拉性支气管扩张。这些表现类似于硅沉着病的进行性块状纤维化。


结节病的纤维化病灶内可见大的囊腔,可能为扩大的支气管(牵拉性支气管扩张)或肺气肿。牵拉性支气管扩张常见于结节病末期。足分枝菌病则是囊腔性结节病的一种常见并发症。

69000f6fce6484de7792f53840129a2e.png

结节病末期伴牵拉性支气管扩张和囊腔形成的典型表现。上肺(A)和中肺(B)图像显示未期结节病可见广泛分布于肺门旁和上叶的囊性病变。扩张的支气管与囊或肺气肿难以鉴别。足分枝菌病常见于伴有纤维化表现的结节病患者。


结节病伴纤维化的鉴别诊断包括以上叶分布为主的其他慢性肺部疾病,其中有多种肺尘埃沉着病(尤其是特定的硅沉着病或煤工尘肺)、陈旧性结核或真菌感染、放射性纤维化及强直性脊柱炎。虽然过敏性肺炎以中肺分布为主,但位于上叶的纤维化也不少见,其表现可能与结节病的特征性表现相重叠。进行性块状纤维化(PMF)最常见于结节病、肺尘埃沉着病或既往的肉芽肿性感染。

04
淋巴结肿大

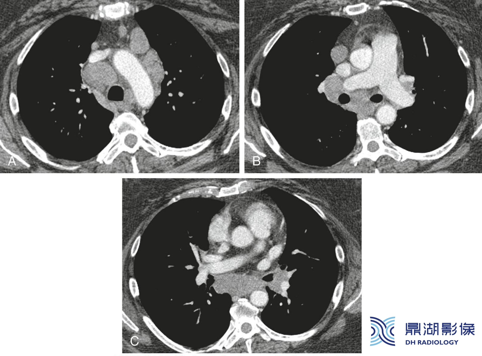
肺门和纵隔淋巴结肿大是结节病的常见表现,可孤立存在或与肺实质病变并存。肿大的淋巴结呈典型的对称性分布,累及肺门、气管旁、主肺动脉窗和(或)隆突下区,以肺门受累最具特征性。

208584f2131654e0ee4ca26ff4242a52.jpg

结节病伴淋巴结肿大。A至C.气管旁、主肺动脉窗、隆突下及肺门区可见对称性淋巴结肿大。结合对称性肺门受累,强烈提示结节病。但是淋巴结肿大并不是HRCT诊断结节病的必要条件。


虽然CT上典型的淋巴结肿大支持结节病的诊断,但需要注意的是,一些患者的HRCT表现可诊断或高度怀疑结节病,却并没有淋巴结肿大。也就是说,如果肺部有典型异常表现,即使没有淋巴结肿大,也可做出结节病的诊断。


结节病的肿大淋巴结在正电子发射断层显像(PET)上可呈现高代谢,其标准摄取值与恶性肿瘤相重叠。在易感入群中发现对称性分布的纵隔及肺门肿大淋巴结,常常提示结节病的诊断。肿大的淋巴结可伴或不伴有钙化,钙化的形态可呈弥漫、散在或中心钙化,也可呈蛋壳样钙化或不均匀钙化,淋巴结坏死少见。


bed7c8f79a03d503c82f78c32cf5f398.jpg

结节病的正电子发射断层显像(PET)表现。

PET显示代谢增高的淋巴结分布于气管旁(黄箭) 、隆突下(红箭)并累及肺门(蓝箭),与CT显示一致。

在PET上显示的淋巴结代谢增高程度可能与恶性度一致。

bd69c3cd0770d30d9e473d4b553faa44.png

结节病,纵隔淋巴结蛋壳样钙化。

结节病的淋巴结肿大可以钙化,钙化类型多样,可为外周带/蛋壳样分布,密集或散在分布。

本例可见蛋壳样钙化(A)伴肺门旁纤维化及牵拉性支气管扩张(箭, B)。


05
小结

结节病是一种多系统肉芽肿性疾病,其特点是多器官发生非干酪性肉芽肿。至少90%的结节病都有肺部表现。临床症状和体征无特异性,50%无症状病人以胸外病变就诊,其中以皮肤、眼为常见,也可累及肝、脾、淋巴结、腮腺、中枢神经系统、泌尿生殖系统、肌肉和骨。


结节病的肺部CT表现主要为淋巴管周分布结节,表现为边界清楚的结节,多分布于邻近肺门的支气管血管周围和胸膜下区。中央支气管和肺动脉周围常常可见簇状分布的小结节,小结节可融合形成边界不清的团块状致密影,可见星系征。

结节和簇状结节也常见于胸膜下间质,包括叶间裂下间质。磨玻璃影少见。偶尔可见大呼吸道壁呈结节状增厚,马赛克灌注和(或)空气潴留可发生于肉芽肿所致的小呼吸道狭窄或闭塞。约20%结节病患者出现肺纤维化,提示预后不良。


肺门和纵隔淋巴结肿大是结节病的常见表现,可孤立存在或与肺实质病变并存。肿大的淋巴结呈典型的对称性分布,累及肺门、气管旁、主肺动脉窗和(或)隆突下区,以肺门受累最具特征性。但是淋巴结肿大并不是HRCT诊断结节病的必要条件。

内容来源于著作《高分辨率肺部CT诊断精要》,版权归原作者所有;

精选文章
更多精选文章