胸部 - 2023-06-03 23:30:20
肺水肿、急性肺损伤、弥漫性肺泡损伤与急性呼吸窘迫综合征影像诊断
01
概述

肺水肿可由肺静脉静水压改变和(或)毛细血管内皮通透性增加或两者共同导致,这两者的HRCT表现存在明显重叠,常难以区分。HRCT最重要的作用是鉴别肺水肿与其他病因所致的肺疾病,如肺炎。


02
流体静力性肺水肿

肺毛细血管静水压或胶体渗透压的改变可引起肺水肿,其中静水压增高更为常见,通常是由于左心疾病引起的肺静脉压增高所致。左心衰竭和瓣膜性心脏病是最常见的致病因素。低蛋白血症所致的胶体渗透压减低也可引起肺水肿,但较少见。


肺静脉高压伴发的流体静力性肺水肿的HRCT表现见下表。流体静力性肺水肿可为间质性或肺泡性,两者都是典型的弥漫性或对称性分布,可能与静脉淤血和肺静脉扩张有关,尤其常见于上叶。

8a25cd082e19e54a380aa7497119272f.png

01
间质性肺水肿

水肿液常聚集于小叶间隔、胸膜下间质和支气管血管周围间质。


在HRCT上,小叶间隔水肿表现为小叶间隔平滑增厚(IST)。值得注意的是,正常患者有时可见少量的小叶间隔。然而,当小叶间隔表现为多发且易于分辨时,常提示小叶间隔异常增厚。

977d621ecbfa55bab5c1cf777f716110.png

间质性肺水肿伴小叶间隔增厚的典型表现。

多发的、平滑的、薄的、相互连接的线条影勾勒出肺小叶的多边形结构,其特征性大小、形状及小叶中央动脉有助于识别。

这些线条影是勾勒出肺小叶边界的小叶间隔。肺水肿是小叶间隔平滑增厚的最常见病因。也可见肺裂增厚。


鉴于肺小叶典型的大小和多角形外观,当HRCT可识别的肺小叶表现为网状不透明的轮廓时,则可诊断为小叶间隔增厚(IST)。小叶中央动脉可表现为肺小叶的多边形结构中央的小点,且因周围水肿而显得更为明显。

由于上叶的间隔发育最佳,水肿所致的小叶间隔增厚常见于上叶。胸膜下的水肿相当于小叶间隔增厚,可表现为肺裂增厚。

a5ea28d610e7556cdf41004d9f5dda34.png

肺水肿伴小叶间隔和肺裂增厚。CT冠状位重组图像显示增厚的肺裂(黄箭),代表液体聚集在胸膜下间质,也可见小叶间隔平滑增厚(红箭)。


水肿液也可积聚于支气管血管周围间质,在HRCT上,中央支气管周围间质增厚表现为支气管壁增厚,肺动脉直径也相应增大。

其分布多变,但倾向于双侧分布且较对称。同时,水肿常在与重力相关的肺区(下垂肺区)最为严重,但并不是恒定不变的。

de8282029b1244283c6b2ebcc479dd81.png

肺水肿伴支气管血管周围间质增厚。支气管和血管周围或毗邻的间质可见液体(箭),容易与支气管壁增厚相混淆。注意支气管腔未见狭窄,也可见GGO和胸腔积液。


02
肺泡性肺水肿

严重的肺水肿可溢出至肺泡。磨玻璃影(GGO)和实变是最常见的表现。小叶中心性GGO结节也可见于轻度或早期肺泡性肺水肿。间质性和肺泡性肺水肿的表现常并存。

平滑的小叶间隔和(或)支气管血管周围间质增厚可伴有局部GGO或实变。"铺路石征",即在同一肺区出现磨玻璃影和小叶间隔增厚,并不少见于肺水肿患者。

032ae35edcd10b4f51389d2dbbdb807a.png

表现为对称性GGO的肺水肿的典型表现。双侧对称的肺门旁GGO是肺水肿的影像表现之一。

23225ead85139f36e42e56c35b142f24.png

表现为小叶中心性结节的肺水肿。双侧肺前部可见边界不清的小叶中心性GGO结节(箭),这并不是肺水肿的少见表现,且常伴有肺泡性肺水肿的其他表现。

4e4573356b881b39ebd9f3c63d198e08.png

间质性和肺泡性肺水肿的典型表现。小叶间隔平滑增厚(黄箭)是间质性肺水肿的一种表现。另外,可见双侧散在的GGO(红箭) 和实变(蓝箭),这是肺泡性肺水肿的表现。间质性和肺泡性肺水肿的异常表现常同时存在。

6b70e1bdfce52fcbffade905c6ffcc83.jpg

表现为铺路石征的肺水肿。右肺可见GGO和小叶间隔平滑增厚,该表现无特异性,但在急性病程中,肺水肿是最常见的病因之一。

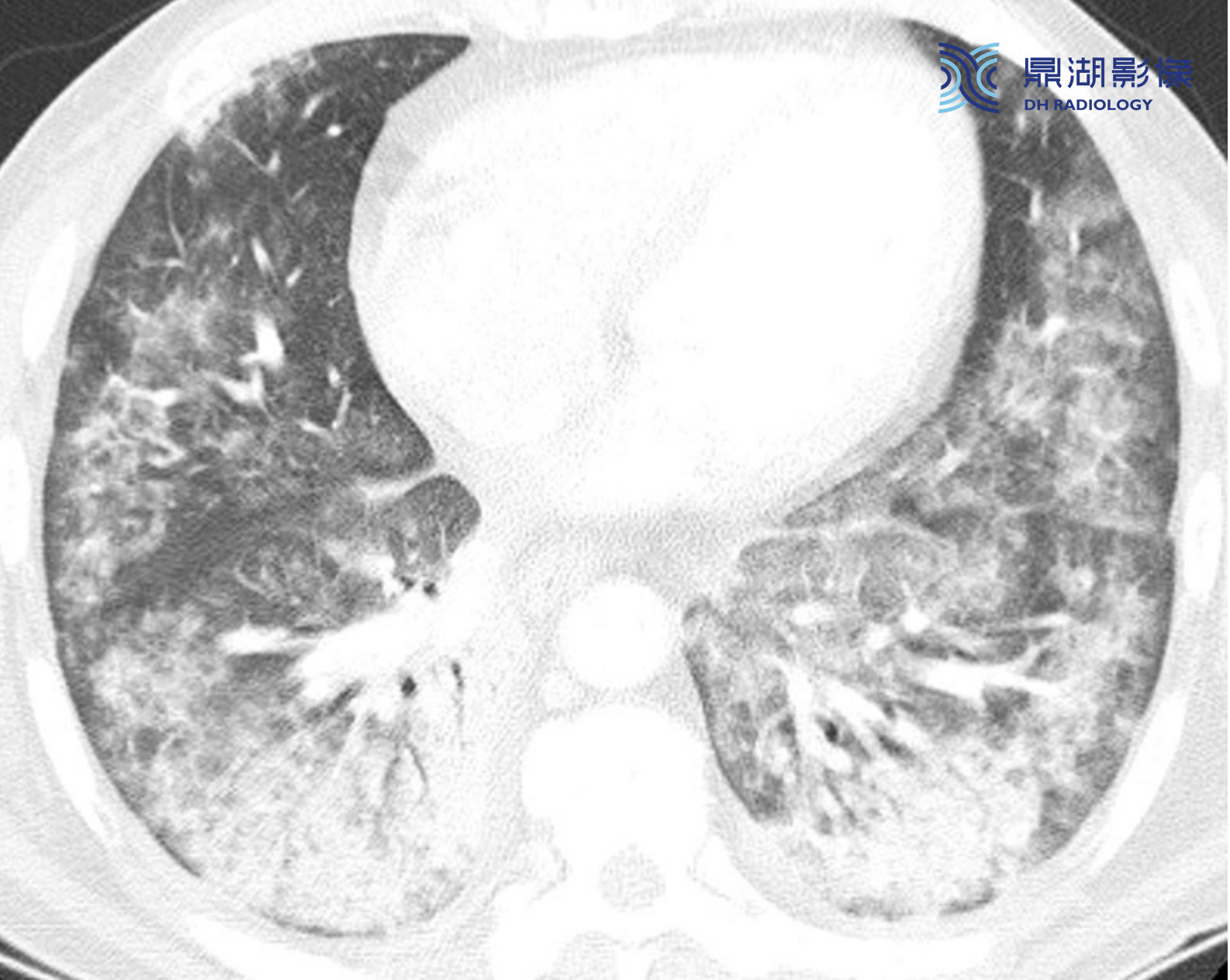
3df6be902c28f611178fc9897e05817a.png

表现为小叶状阴影的肺水肿。小叶分布的GGO, 呈对称性分布,伴有胸腔积液。偶尔,导致肺泡病变的病因如肺水肿,可表现为地图样分布,如本例所示。


03
流体静力性肺水肿的分布

流体静力性肺水肿的异常表现主要呈弥漫性或对称性分布。由于存在正常静水压梯度,在重力相关肺区的异常表现可能更为严重,但并不总是存在。在某些情况下,肺上叶的淋巴引流可能不如肺下叶有效,从而导致肺上部水肿。


肺水肿的异常有时可呈散在斑片样或小叶状分布,在一些病例中,肺水肿可呈非对称性分布,导致非对称或局限性肺水肿的原因如下所述。


(1)患者体位:肺水肿可由于重力效应发生于肺下垂区。患者的体位可影响肺水肿的发生部位。如右肺水肿可见于睡眠时取右侧卧位的患者。

(2)非对称的肺气肿/肺大庖疾病:肺气肿,特别是合并肺大疱时,可为非对称性。水肿主要位于无肺气肿的区域,且在对侧更为严重。


(3)二尖瓣反流:局限性右肺上叶肺水肿常发生于二尖瓣反流,特别是当伴有心肌梗死后急性乳头肌断裂时。反流的血液直接喷射入右上肺静脉。


(4)肺栓塞或血管闭塞:在肺栓塞或其他原因所致的肺动脉闭塞中,肺水肿主要发生于灌注良好的肺部区域,可呈散在斑片样分布。


(5)神经源性肺水肿:肺水肿少见的分布形式可见于外伤、出血或癫痫的颅内异常患者。其确切的发病机制仍然不太清楚,常见于无心脏疾病的患者。约50%患者表现为局限性、双肺上叶异常,其余病例与其他病因所致的肺水肿难以鉴别。阴影可迅速从一个肺区移至另一个肺区,该特征不常见于其他病因所致的肺水肿。

d50a870c38cdc945c7d6f3c5041dd256.png

不对称性肺水肿。虽然肺水肿常为对称性表现,但是,单侧或不对称性肺水肿也不少见。

本例患者在手术过程中取右侧卧位, 因此HRCT显示右侧肺水肿,表现为散在的GGO和铺路石征。


04
流体静力性肺水肿的鉴别诊断

在急性期,肺水肿是引起孤立的小叶间隔平滑增厚与支气管血管周围间质增厚的最常见病因。肿瘤沿淋巴管播散是该异常表现的另一病因,但后者常有已知的恶性肿瘤病史或慢性进展性症状。肿瘤的淋巴管播散常引起单侧或不对称性肺水肿,而流体静力性肺水肿常呈对称性。


非孤立或作为主要异常表现的小叶间隔增厚无特异性,无助于鉴别诊断。部分间隔增厚可见于多种肺部疾病。


支气管血管周围间质增厚容易与支气管炎所致的支气管壁增厚相混淆。当存在黏液嵌塞或管腔狭窄时,支气管炎是最可能的疾病。

8a995a5393891be859458af986e5081b.png

呼吸道疾病患者的呼吸道壁增厚。呼吸道壁增厚可能类似于支气管血管周围的液体聚积。当存在呼吸道管腔狭窄时(箭),支气管壁增厚是最可能的原因。


在急性发病时,GGO和实变是非特异性表现,可见于感染、误吸、急性肺损伤[弥漫性肺泡损伤(DAD)]和肺出血。诊断主要依据临床表现而不是HRCT征象。然而,当GGO伴有明显的小叶间隔平滑增厚时,肺水肿是最可能的诊断。

03
不伴有弥漫性肺泡损伤的渗透性增大型肺水肿

毛细血管内皮损伤导致的毛细血管渗透性增大,可引起渗透性增大型肺水肿。通常与弥漫性肺泡损伤(DAD)伴发。

不伴有DAD的渗透性增大型肺水肿不常见,常与药物、输血反应、中毒性休克综合征、空气栓塞和汉坦病毒肺病综合征等相关。其HRCT表现与流体静力性肺水肿的小叶间隔平滑增厚和GGO极为相似。


04
伴有弥漫性肺泡损伤(急性肺损伤)的渗透性增大型肺水肿

渗透性增大型肺水肿常伴发弥漫性肺泡损伤(DAD), 但组织病理学上并非总是与DAD 相关。DAD的特点是肺泡和毛细血管末梢的急性损伤(通过多种机制),然后发生机化,最终愈合或纤维化。

急性肺损伤是指病理上与DAD相关、临床表现为呼吸功能不全的综合征。

组织学上,DAD分为几个阶段,其表现随着肺损伤与活检的时间间隔不同而变化。DAD渗出期与肺水肿和肺出血相关,发生在肺损伤数小时内,随后出现肺泡和毛细血管坏死,并伴有进行性肺水肿、出血和肺泡透明膜形成。

DAD增殖期(修复期或机化期)发生于肺损伤数天内,与肺泡壁细胞再生、肺泡分泌物机化以及间质和肺泡腔的成纤维细胞增殖有关。大部分异常可被吸收,也可进展到慢性纤维化期,通常发生于肺损伤后2周或2周以上,慢性纤维化期与进行性肺纤维化和胶原沉积相关。


弥漫性肺泡损伤(DAD)的HRCT表现(下表)与流体静力性肺水肿的表现大致相似,但也存在一些不同。弥漫性或对称性实变和GGO是最具特征的表现。

在DAD早期,肺部异常可见肺外周分布,但最终发展为弥漫性且相互融合的病变,常表现为由前向后渐变的高密度影,即肺前部为接近正常的表现,而肺后部表现为致密实变。无小叶间隔增厚是其特征表现。

20d11bbae20d111476bb8d5e7b7b98ac.png

865b77b4654914c49e88ae84b97e9134.png

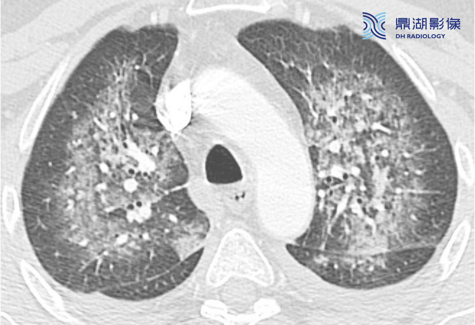
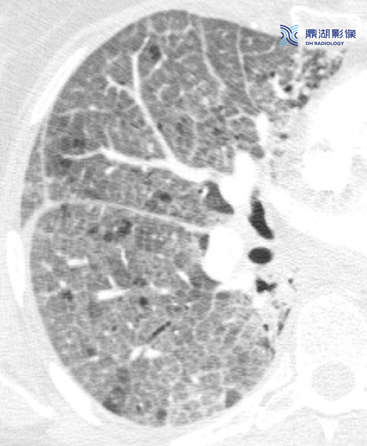
弥漫性肺泡损伤导致的急性呼吸窘迫综合征(ARDS)的典型表现。本例为败血症患者,HRCT显示弥漫性实变和GGO,虽然为非特异性,却是DAD和ARDS的典型表现。

注意:肺外周和肺下垂区受累更为严重。


DAD常与机化性肺炎(OP)并存。当存在显著的OP时,散在的局灶性实变可能伴有DAD的其他影像表现。非肺部原因(系统性疾病,如败血症)引起的DAD,在HRCT上常表现为双肺对称性高密度影。肺部原因(如肺炎)引起的DAD,典型表现为非对称性或局灶性异常。


尽管DAD的HRCT表现为非特异性,但其随时间的演变具有特征性。在1~3周内,不规则网状影和牵拉性支气管扩张常出现在GGO 和实变区内。在某些情况下,机化性肺炎(OP)相关的局灶性实变经类固醇激素治疗后可能消退。

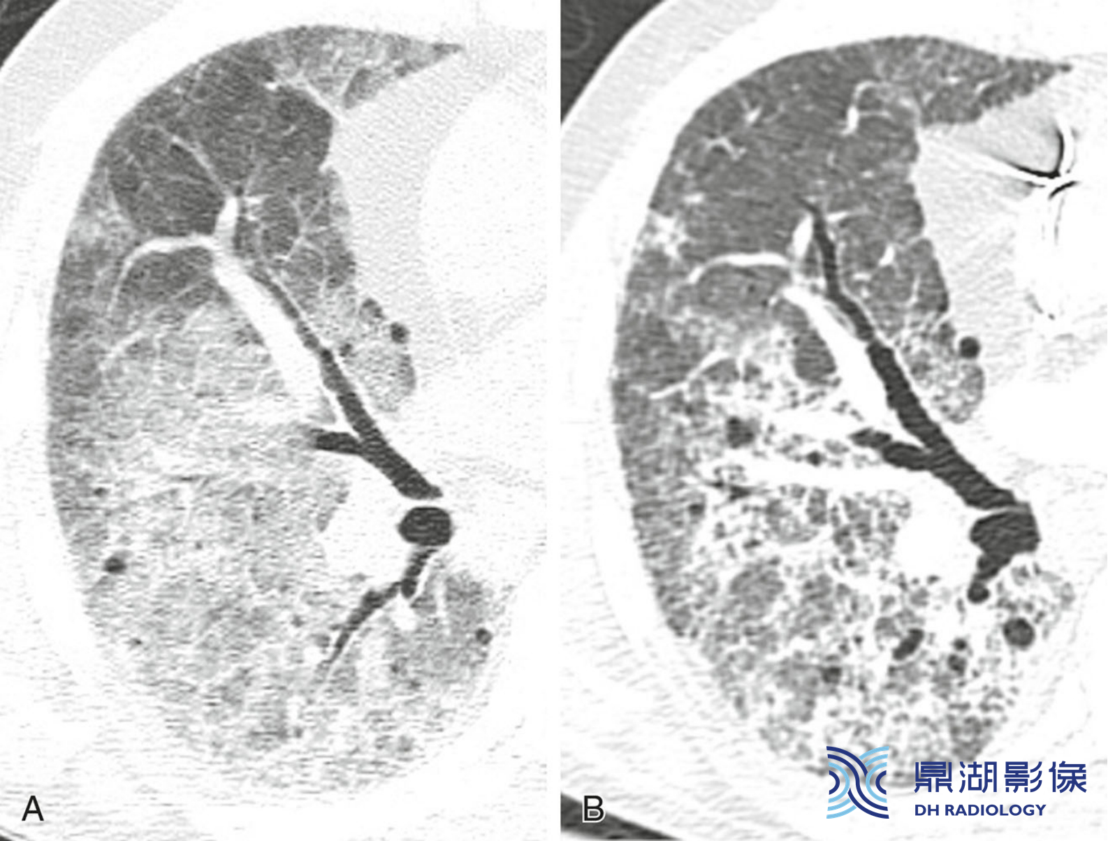
46dfcd824cef79e6089ab6e0910440fd.png

弥漫性肺泡损伤(DAD)。CT ( A)显示广泛的GGO。3周后(B)小叶间隔发展为不规则网状影并可见牵拉性支气管扩张。这是DAD随时间推移的典型演变过程。

在存活的ARDS患者中,发病后1~3周出现的纤维化表现通常是可逆的,并可在随后的数周至数月内得到改善。然而,残留的纤维化并不少见,常为轻度,主要分布于肺前部的胸膜下肺区。随着时间推移而演变的影像表现可用于区分纤维化性DAD与其他原因所致的弥漫性肺部异常(如感染和肺水肿)。

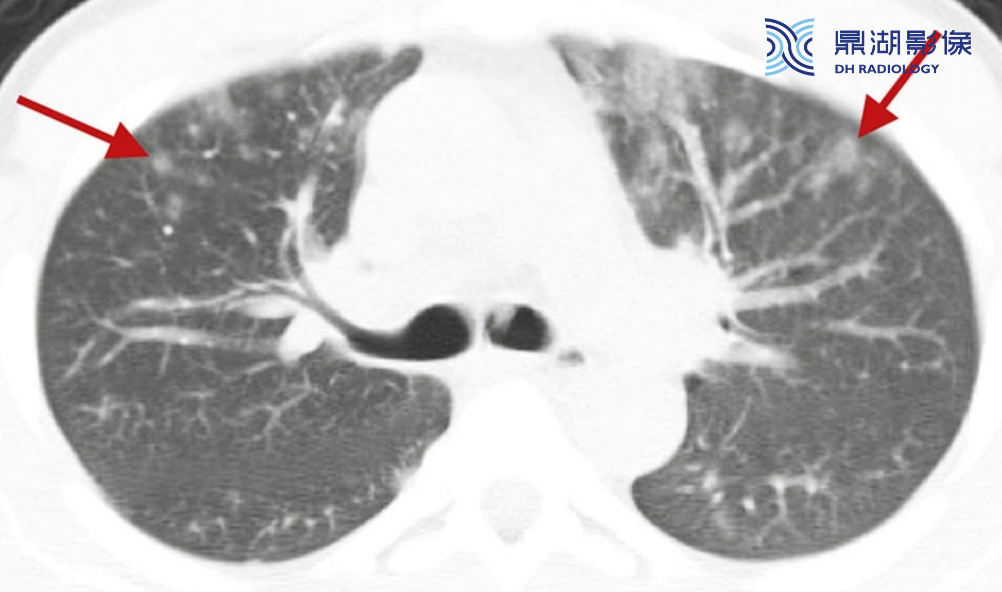
418746be9ace7259e448d41b7f80361b.png

急性呼吸窘迫综合征(ARDS)后纤维化。ARDS幸存者最终可发展为肺纤维化(ARDS后遗症之一)。这种纤维化典型分布于肺前部。

典型表现包括不规则网状影、牵拉性支气管扩张和(或)蜂窝征(箭)。

05
急性呼吸窘迫综合征

急性呼吸窘迫综合征(ARDS)是一种与DAD相关的临床综合征,目前ARDS的临床诊断标准(即Berlin标准)主要基于临床表现,分为3级,诊断标准与分级如下所示。

1.急性起病(1周之内出现新发症状或原有症状加重);

2.胸部X线摄影显示双肺阴影(无法用胸腔积液、肺不张或结节解释);

3.排除心力衰竭或液体容量负荷过重造成的呼吸衰竭(常需要结合超声心动图);

4.氧合指数下降(PaO₂/FiO₂)

①轻度:200mmHg < PaO₂/FiO₂≤300mmHg

②中度:100mmHg < PaO₂/FiO₂≤200mmHg

③重度: PaO₂/FiO₂≤100mmHg


ARDS诊断标准的目的是为了筛选出病情严重的DAD患者。然而,仅有50%的ARDS患者在病理上存在DAD。不伴有DAD的ARDS最常见病因包括感染、肺气肿、心源性肺水肿、出血和间质性肺病;相反,并不是所有的DAD患者都符合ARDS的临床标准。在描述典型的HRCT表现时,更准确的叙述是HRCT表现符合DAD或急性肺损伤而不是直接诊断为ARDS。


DAD 和ARDS 的病因基本相同,可分为系统性病因和直接累及肺组织的病因。引起DAD 和ARDS 的系统性病因包括败血症、休克、弥散性血管内凝血、药物、胰腺炎和严重烧伤。累及肺部引起ARDS 的病因包括肺炎、误吸、外伤和毒物吸入。

间质性肺病患者的病情急剧恶化是引起DAD 的另一种原因,最常见于特发性肺纤维化患者,称为急性加重期。无已知诱因的DAD 又称为急性间质性肺炎(AIP) 或Hamman-Rich 综合征。


在HRCT上,DAD 的鉴别诊断应包括引起广泛肺实变的其他疾病,如流体静力性肺水肿、感染和出血。这些疾病的HRCT 表现互相重叠,而且多种病因和不同病程并存的情况也不少见。

早期DAD 的异常表现可分布在肺外周,而肺水肿的异常征象典型表现为弥漫性或中央性分布。明显的小叶间隔平滑增厚提示肺水肿而非DAD。小叶中心性软组织密度结节、呼吸道炎和树芽征提示存在感染。

本文整理自著作《高分辨率肺部CT诊断精要》,版权归原作者所有

精选文章
更多精选文章