肌骨系统 - 2024-06-20 22:17:58
尿毒症性骨性狮面

01

研究背景

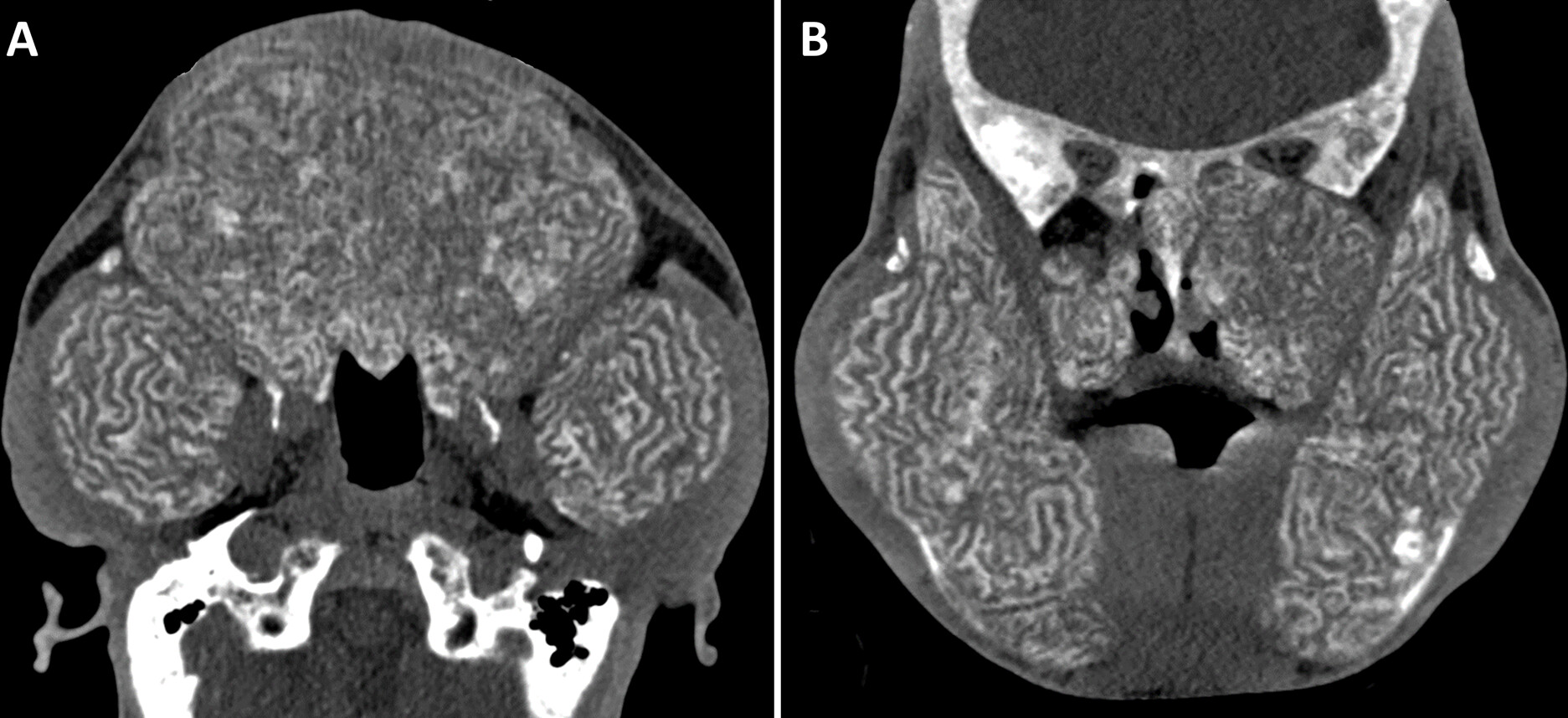
  • 尿毒症性狮面症(Uremic Leontiasis Ossea)是一种由于慢性肾病引起的面部骨骼改变,特征性表现为上下颌骨的对称性肥大。

  • 该病症的典型影像学特征包括内部蜿蜒的隧道和皮质骨吸收,这些特征有助于与其他类似疾病如纤维性骨炎、Paget病等进行区分。

02

研究目的

  • 描述和讨论尿毒症性狮面症的影像学特征,以及如何通过这些特征与其他导致狮面症的疾病进行鉴别。

03

研究方法

  • 通过病例报告的形式,分析了一位34岁患有末期肾病和甲状旁腺功能亢进的患者(血清甲状旁腺激素水平为4485 ng/L)的面部CT影像。

04

主要发现

  • 患者出现了鼻塞和面部肥大症状,持续了6个月。

  • 面部CT显示了明显的上下颌骨巨大畸形,这种模式被称为狮面症,因为其类似于狮子的面容。

  • 骨结构内部出现了蜿蜒的隧道和皮质吸收,这是尿毒症性狮面症的特征,与患者的风险因素一致。

    27f42145ec1f0ef28b933ffe7b9e5200.jpeg

  • c3e142c4b3d04b485434c6afb605c3dc.jpeg

05

结论

  • 尿毒症性狮面症的影像学特征可以与其他类型的狮面症区分开来,这对于临床诊断和治疗计划的制定具有重要意义。

06

未来研究方向

  • 需要进一步研究尿毒症性狮面症的影像学特征与其他骨骼疾病之间的关联,以及如何利用这些特征进行早期诊断和治疗。

  • 探索不同治疗方法对尿毒症性狮面症患者面部骨骼改变的影响。


精选文章
更多精选文章