- 2024-06-09 00:16:27
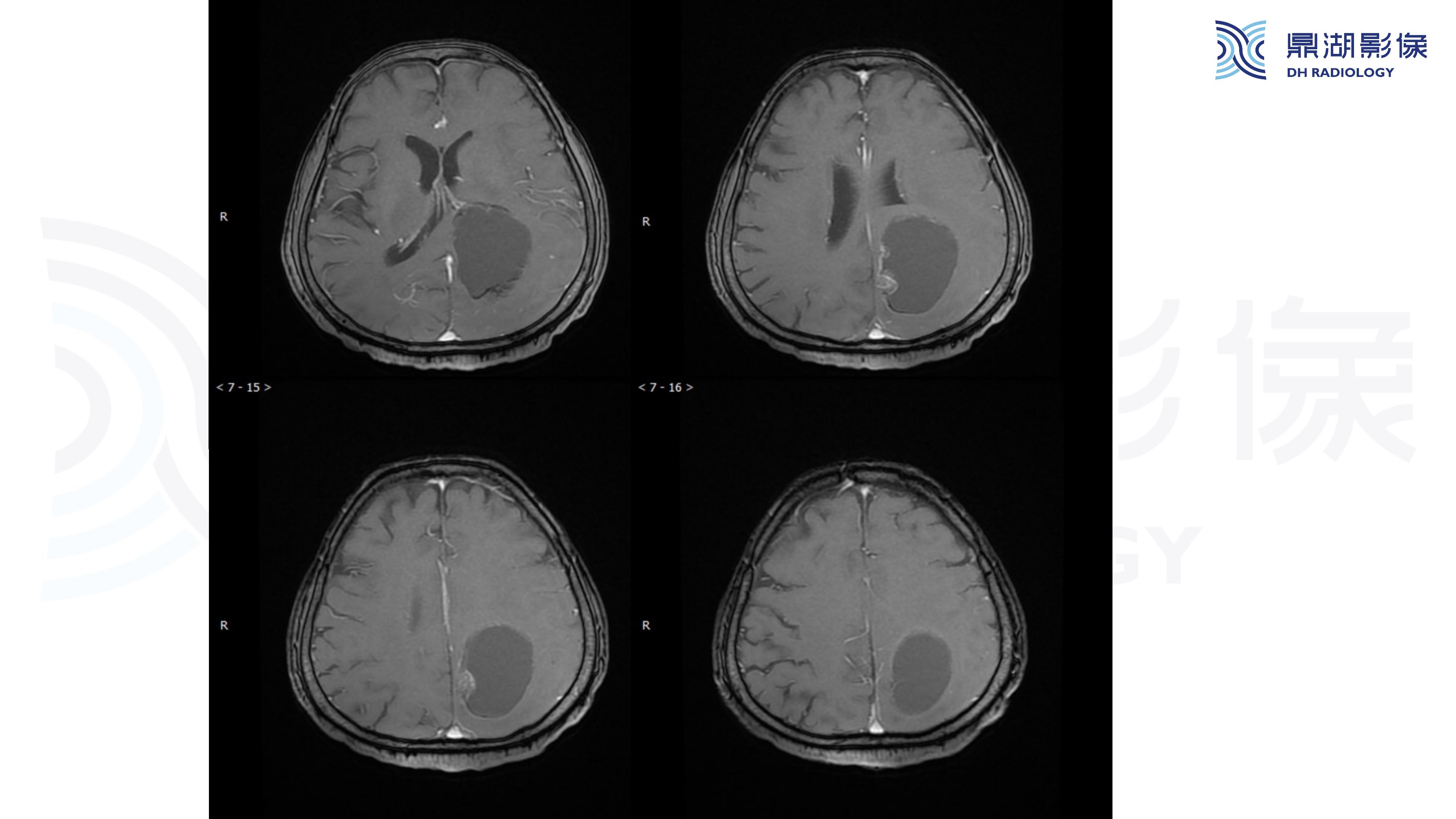
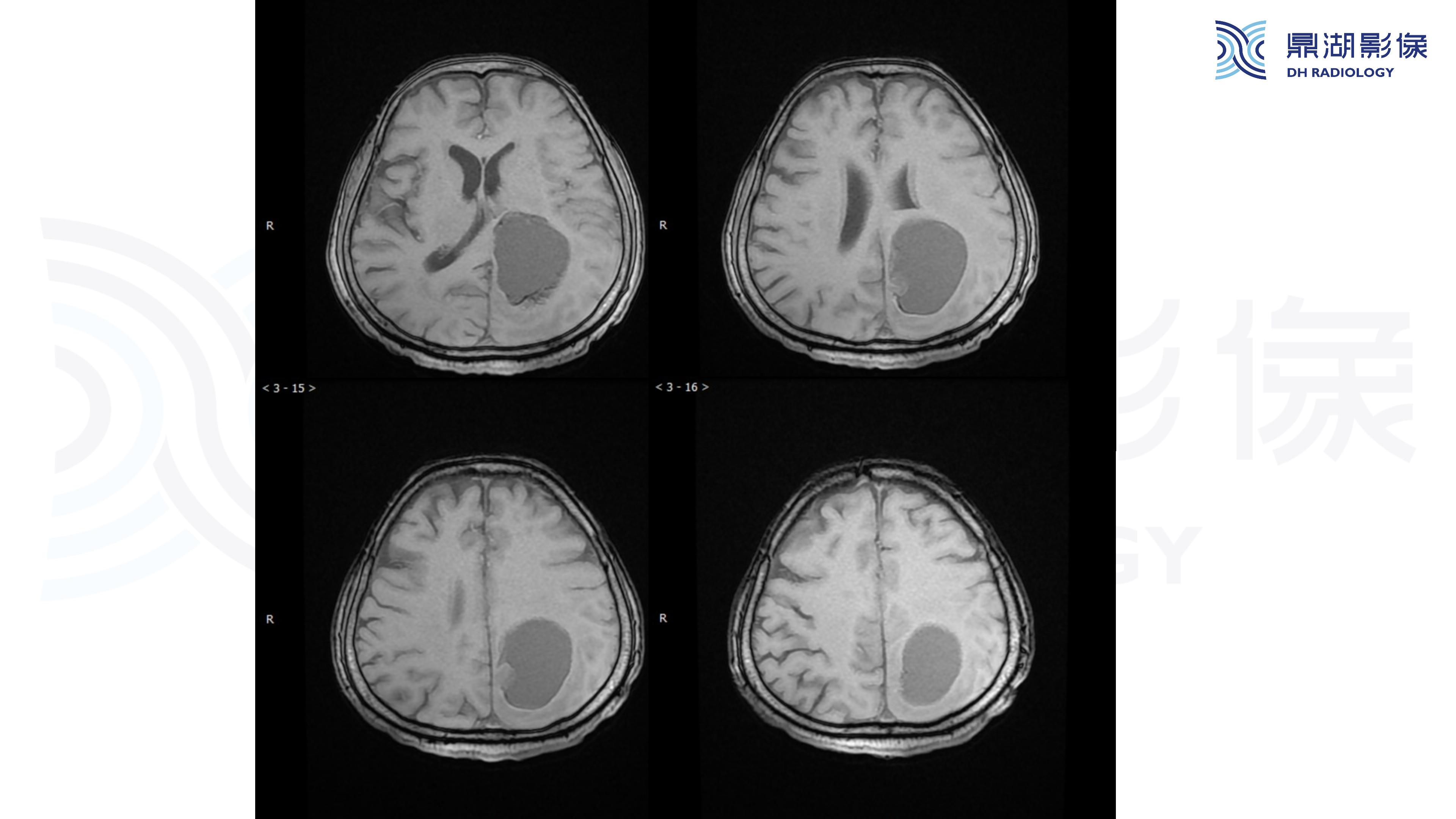
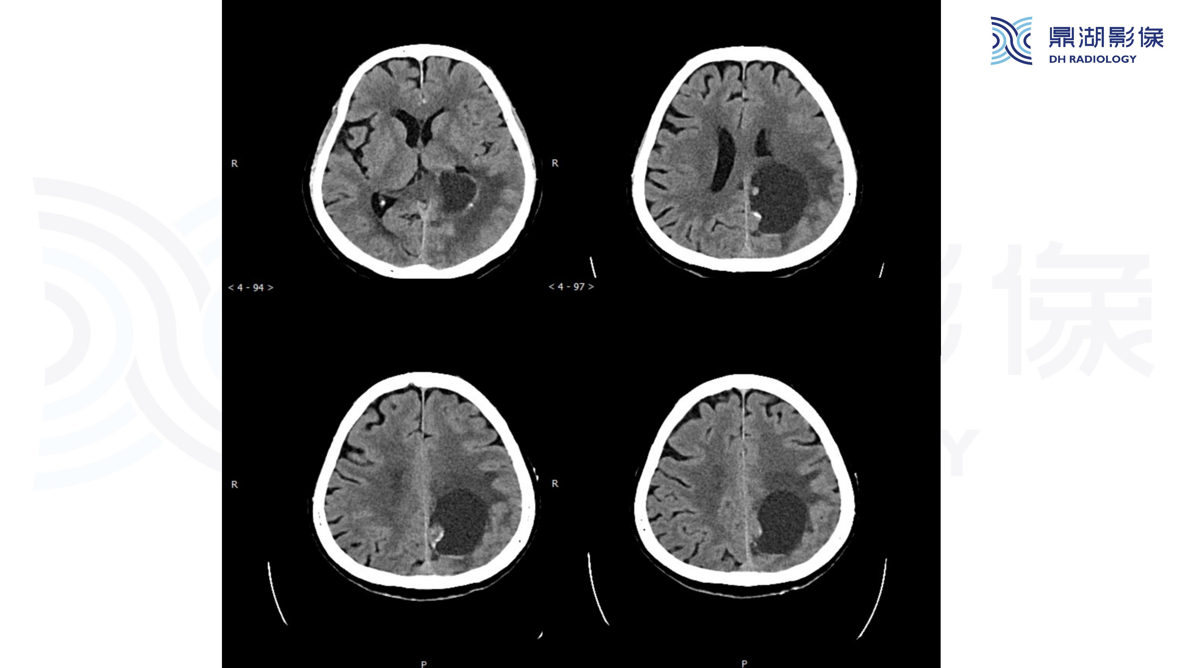
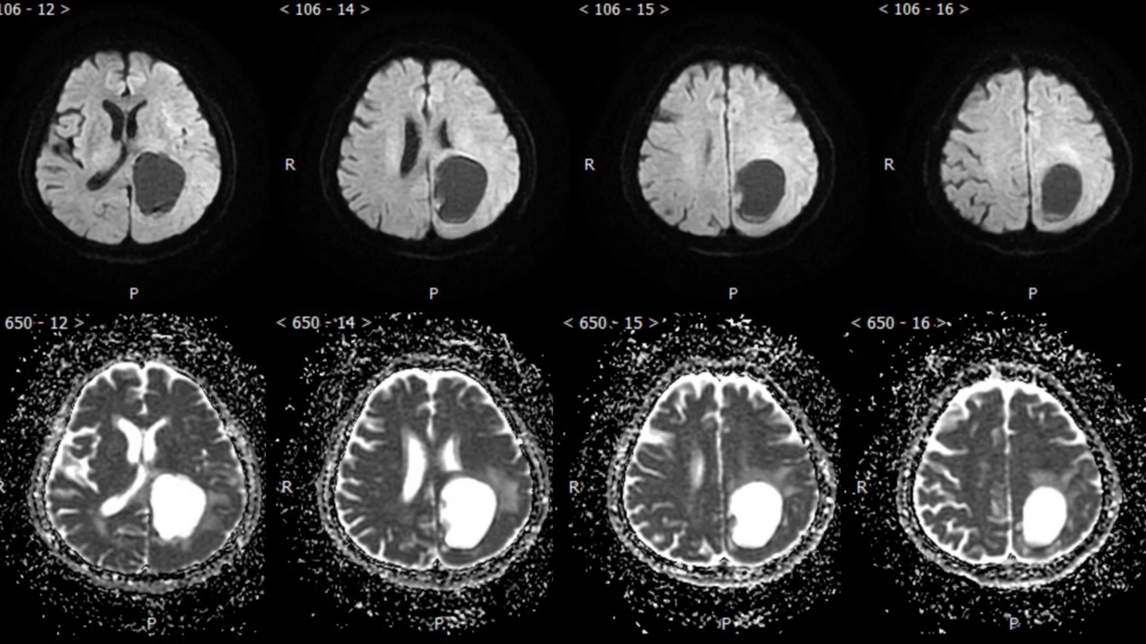
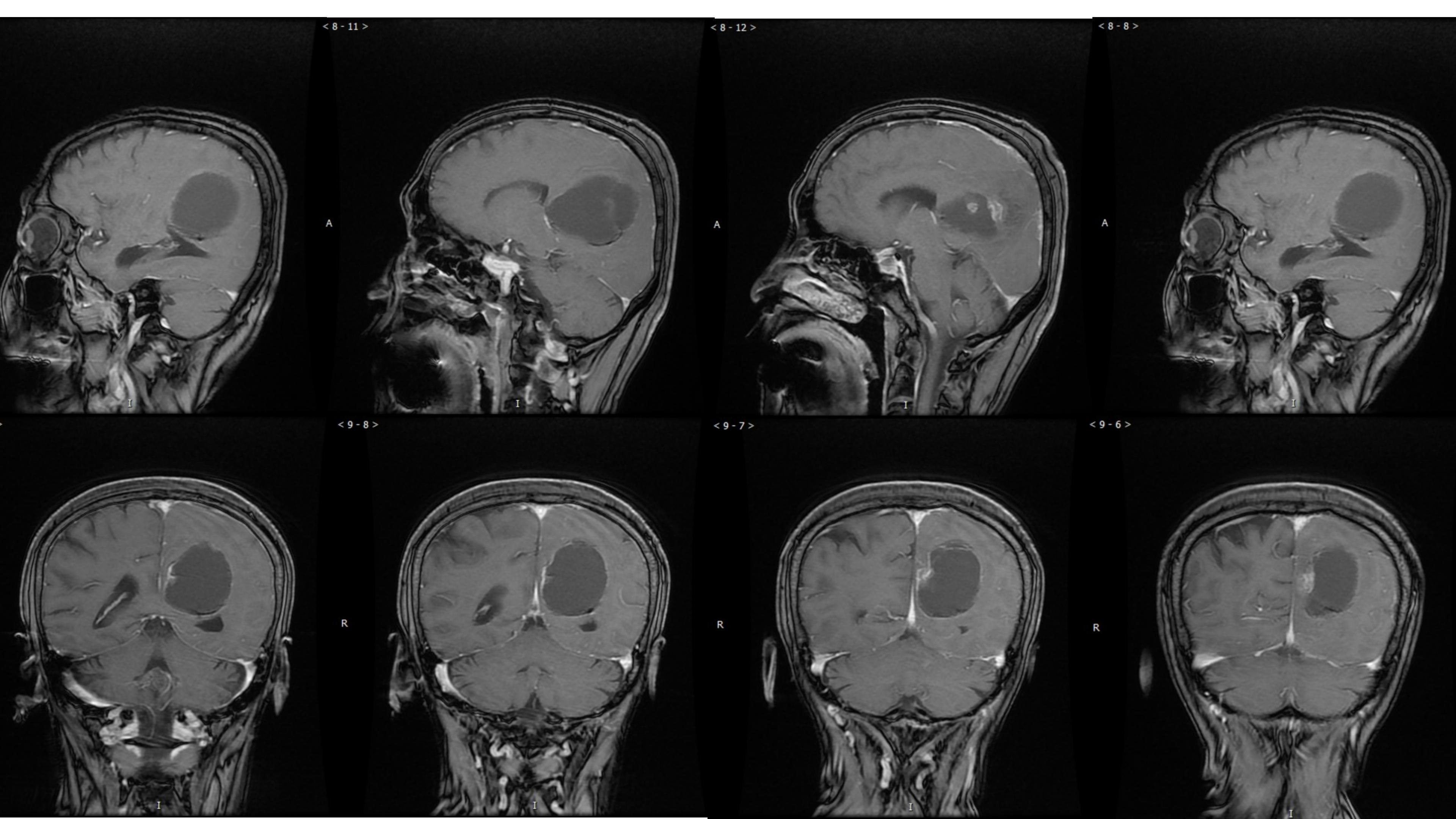
幕上毛细胞型星形细胞瘤(WHO Ⅰ级)


精选文章
更多精选文章