胸部 - 2024-05-13 22:16:07
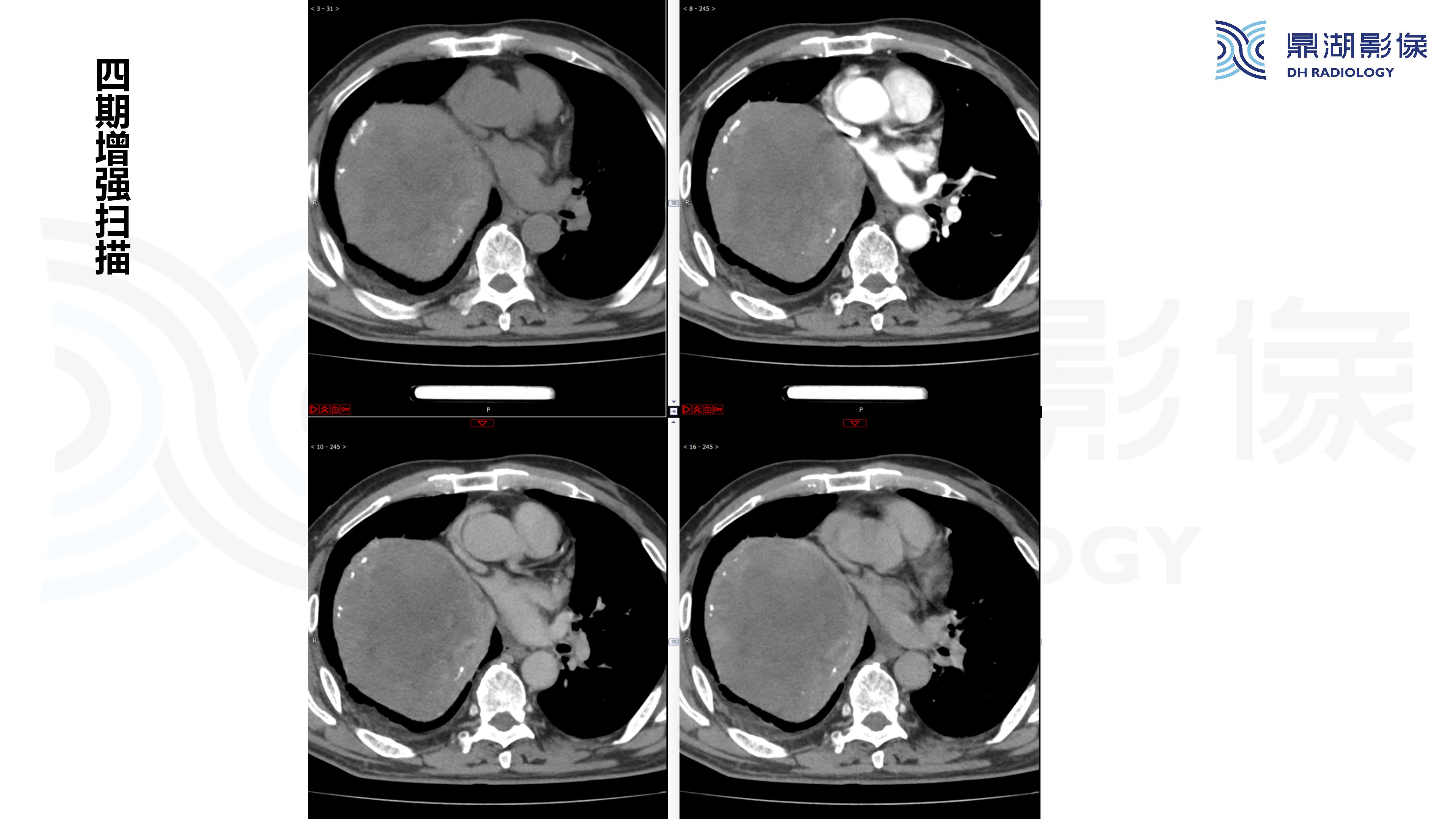
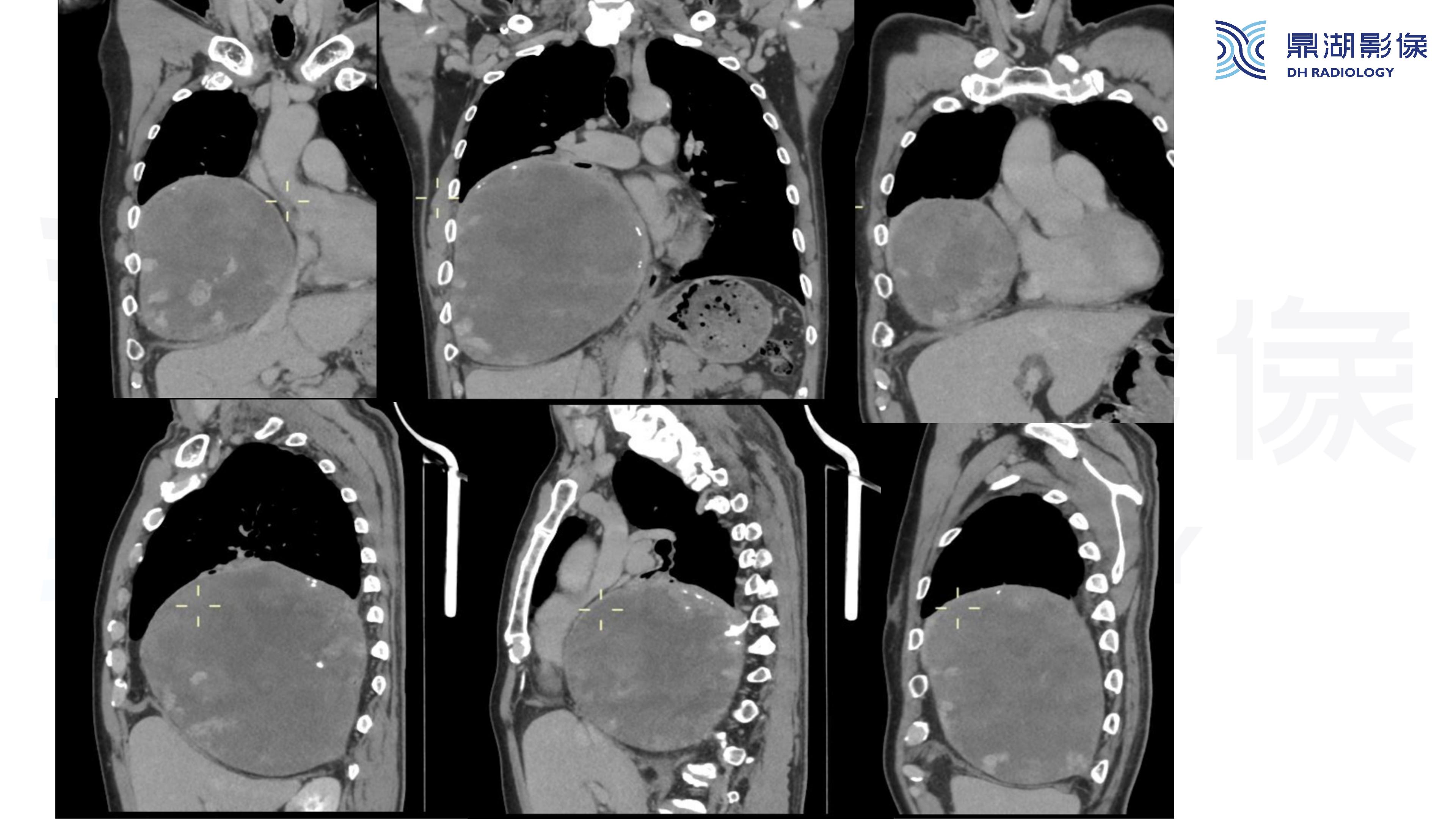
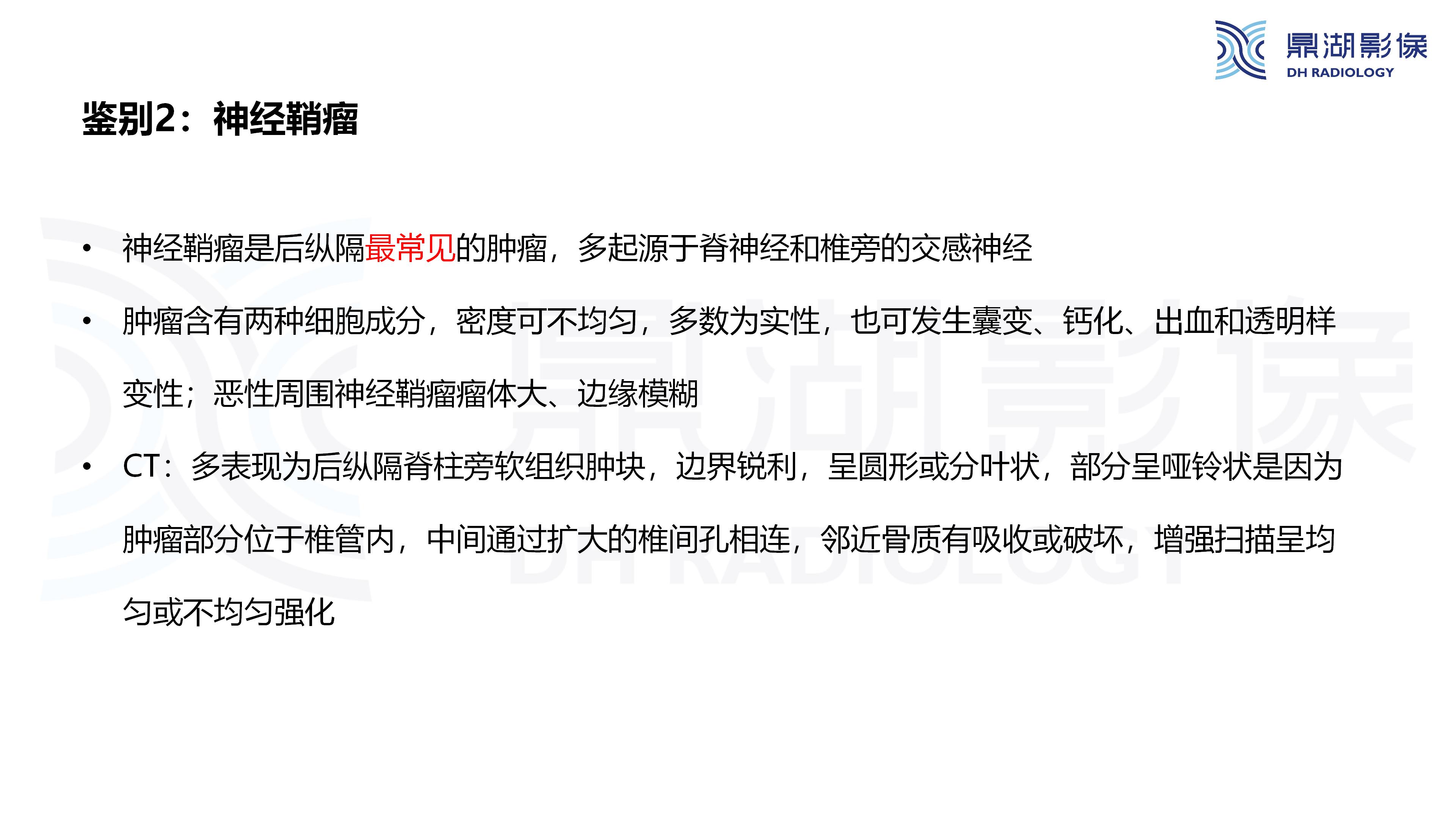
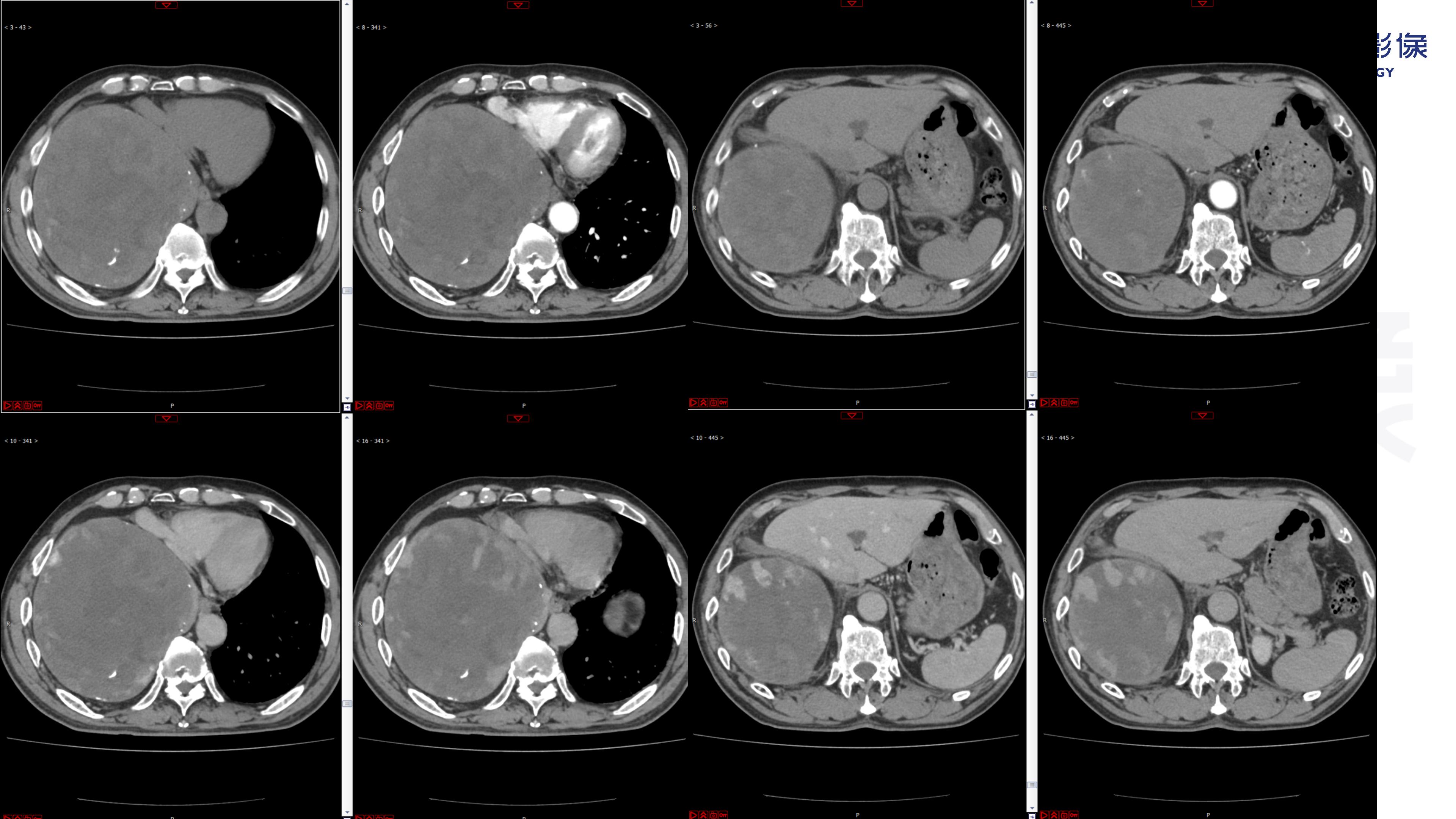
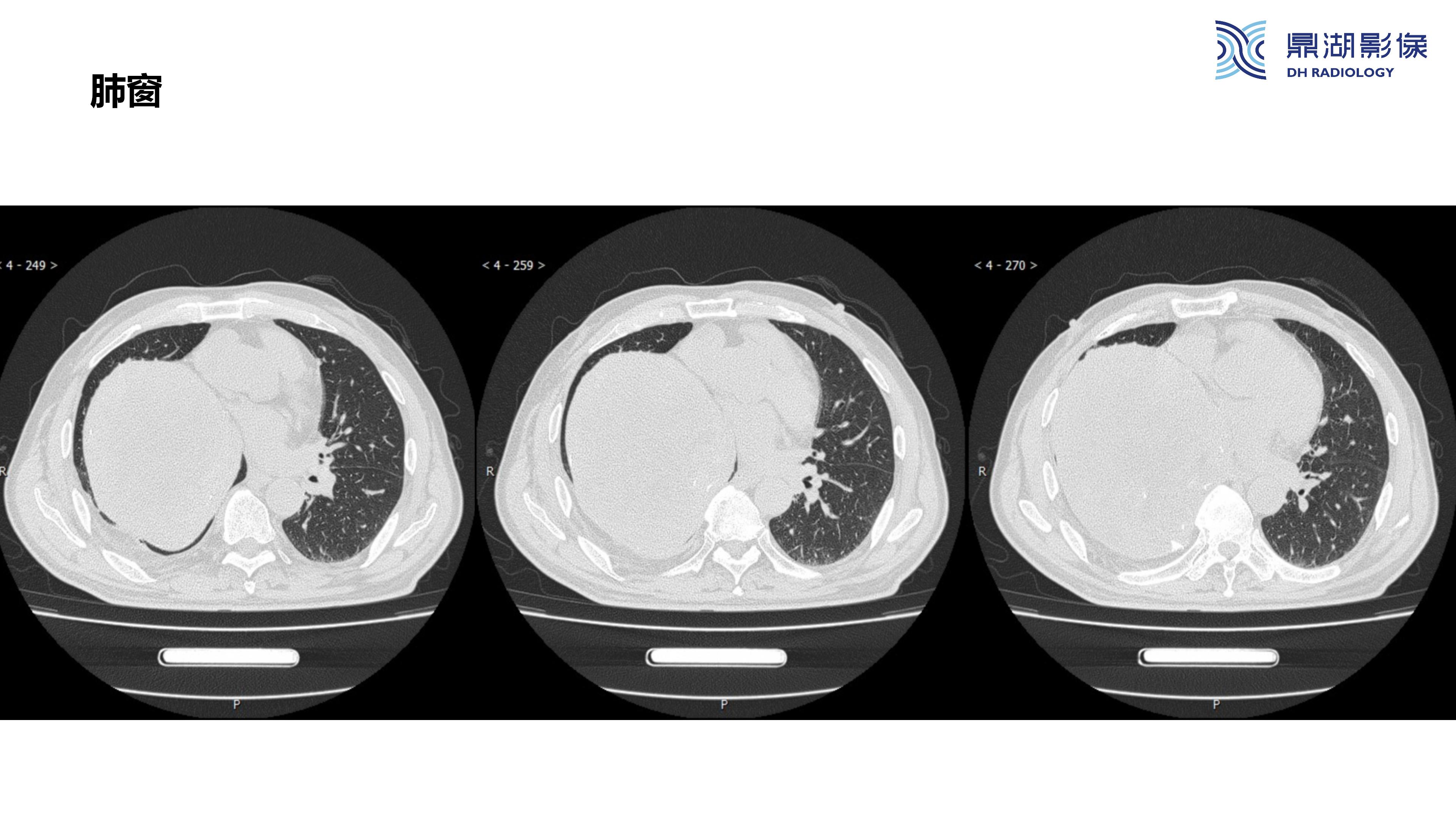
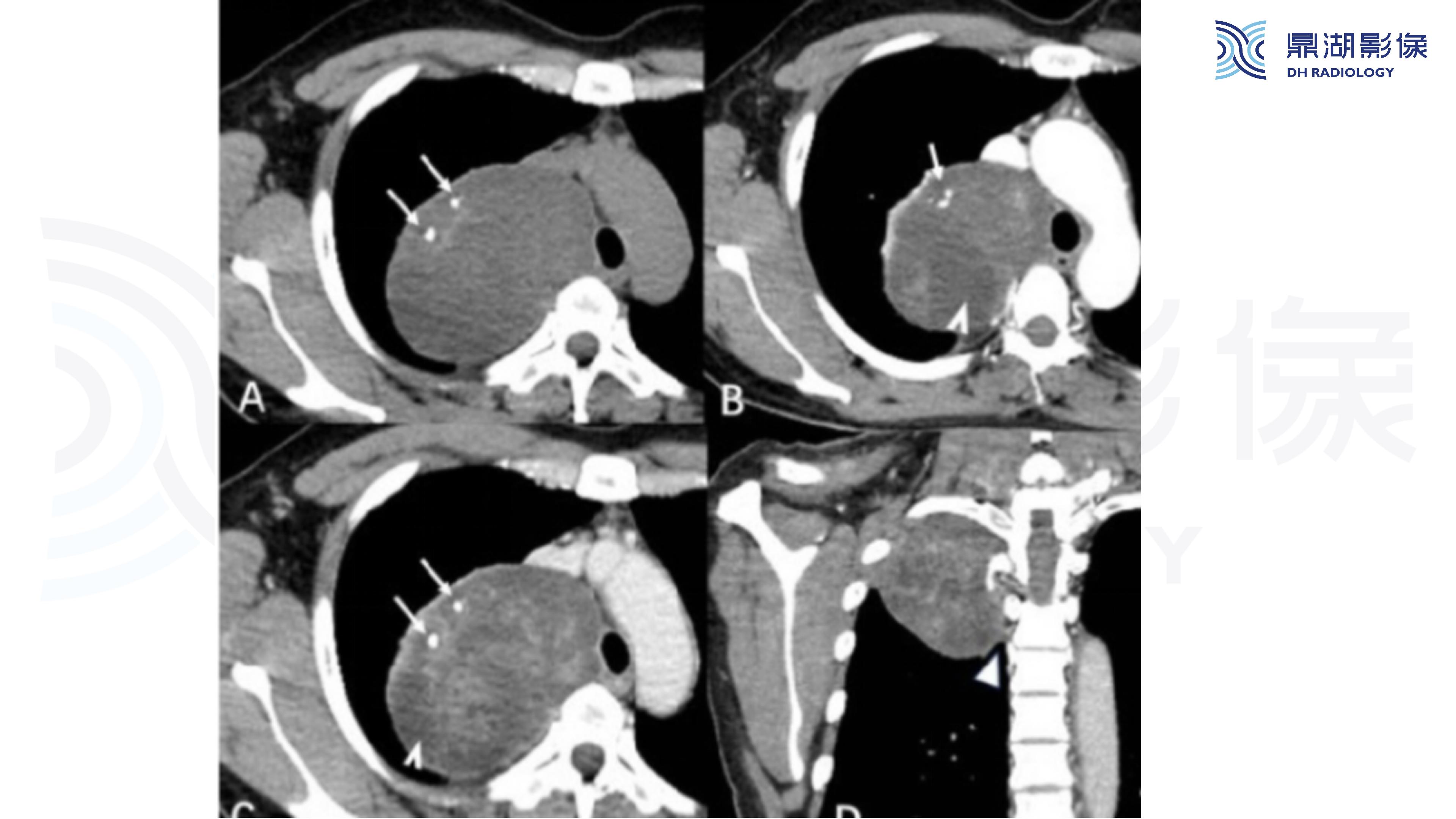
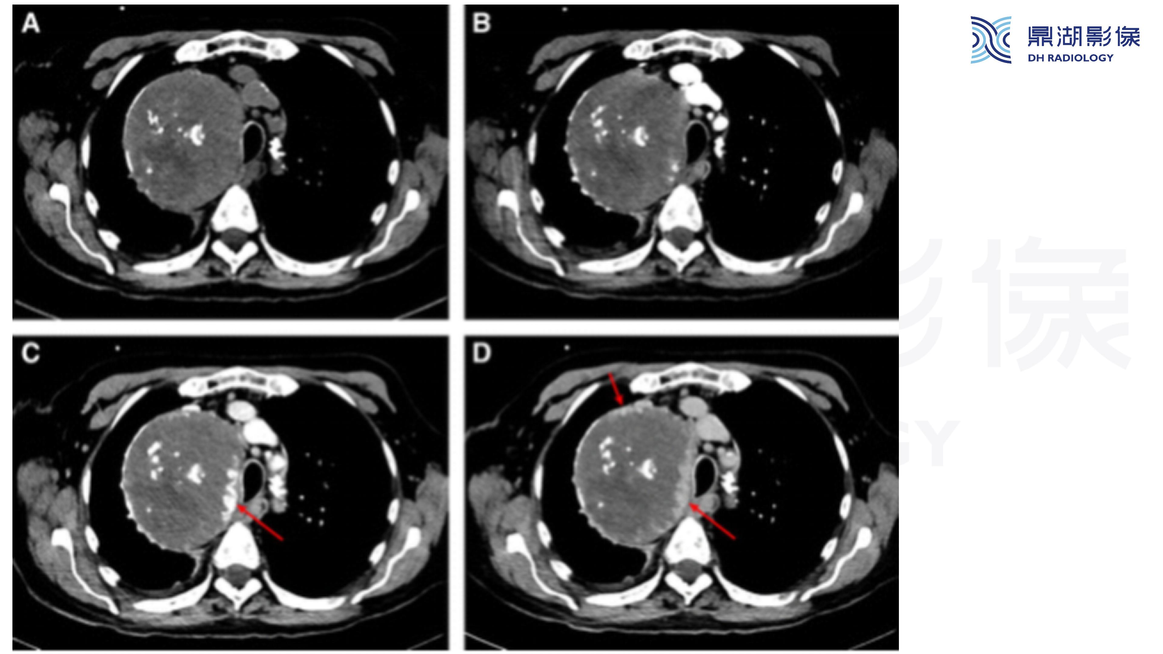
纵隔血管瘤-鼎湖社群读片病例


精选文章
更多精选文章