神经影像 - 2024-05-15 23:56:43
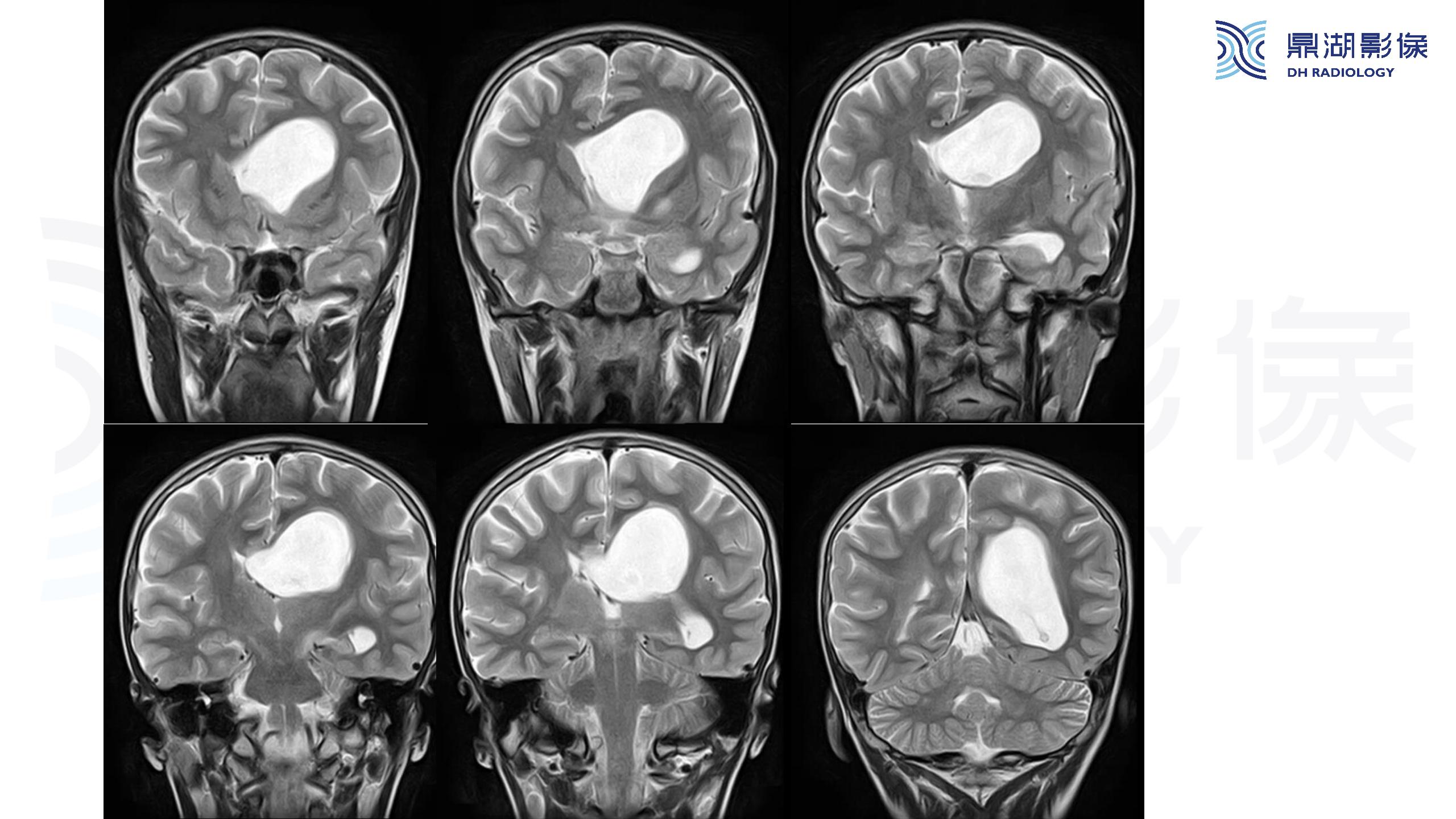
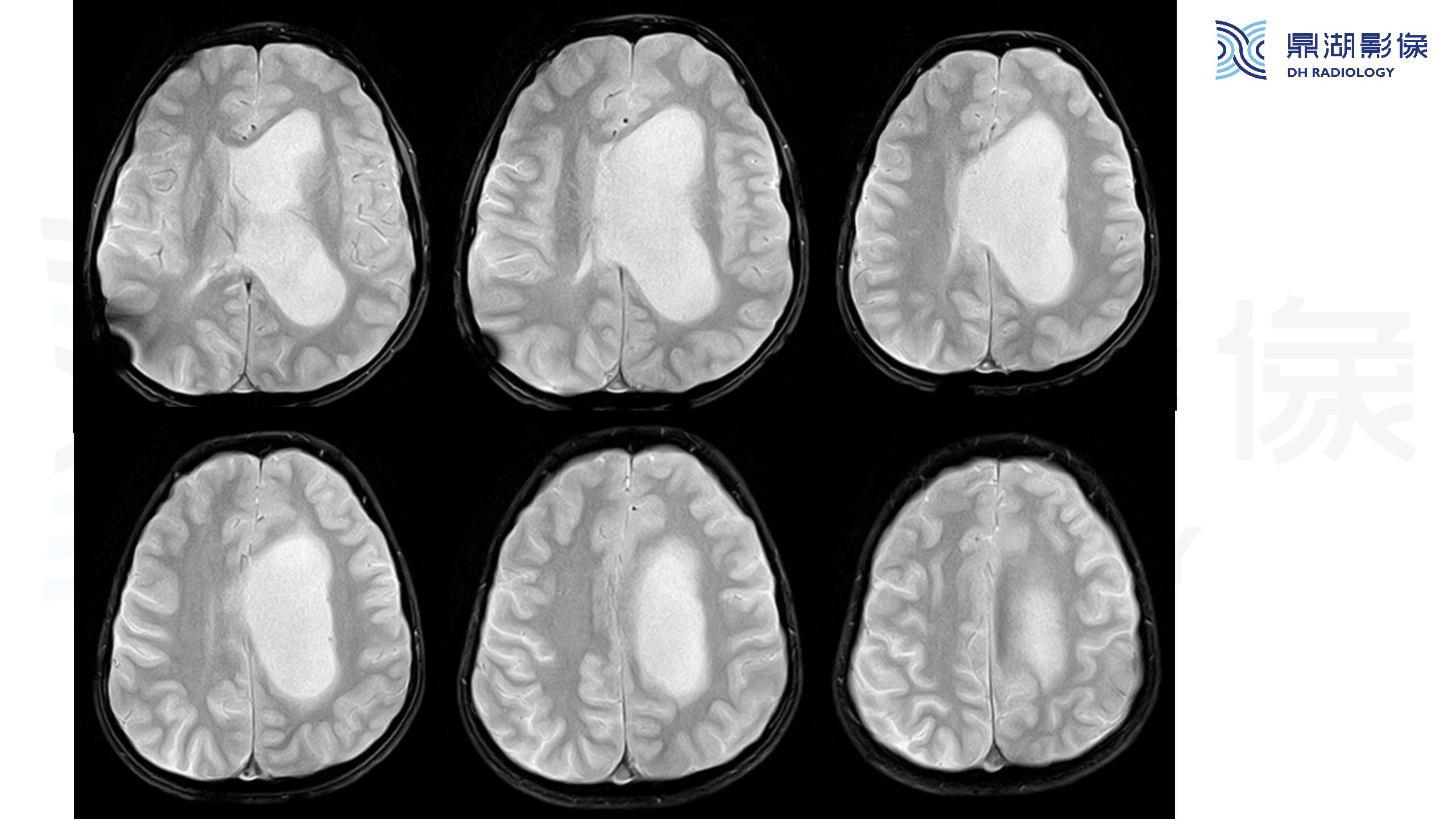
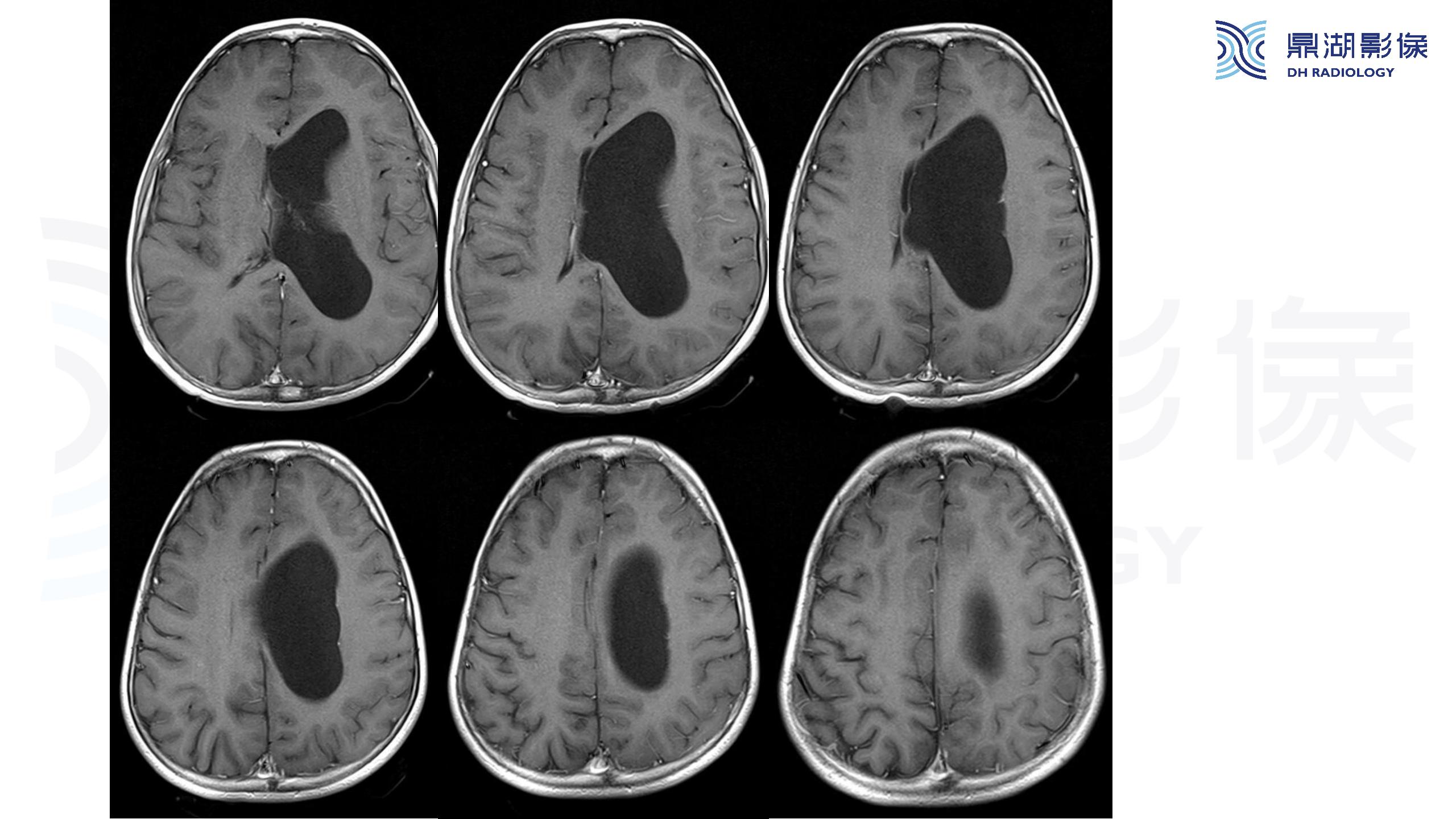
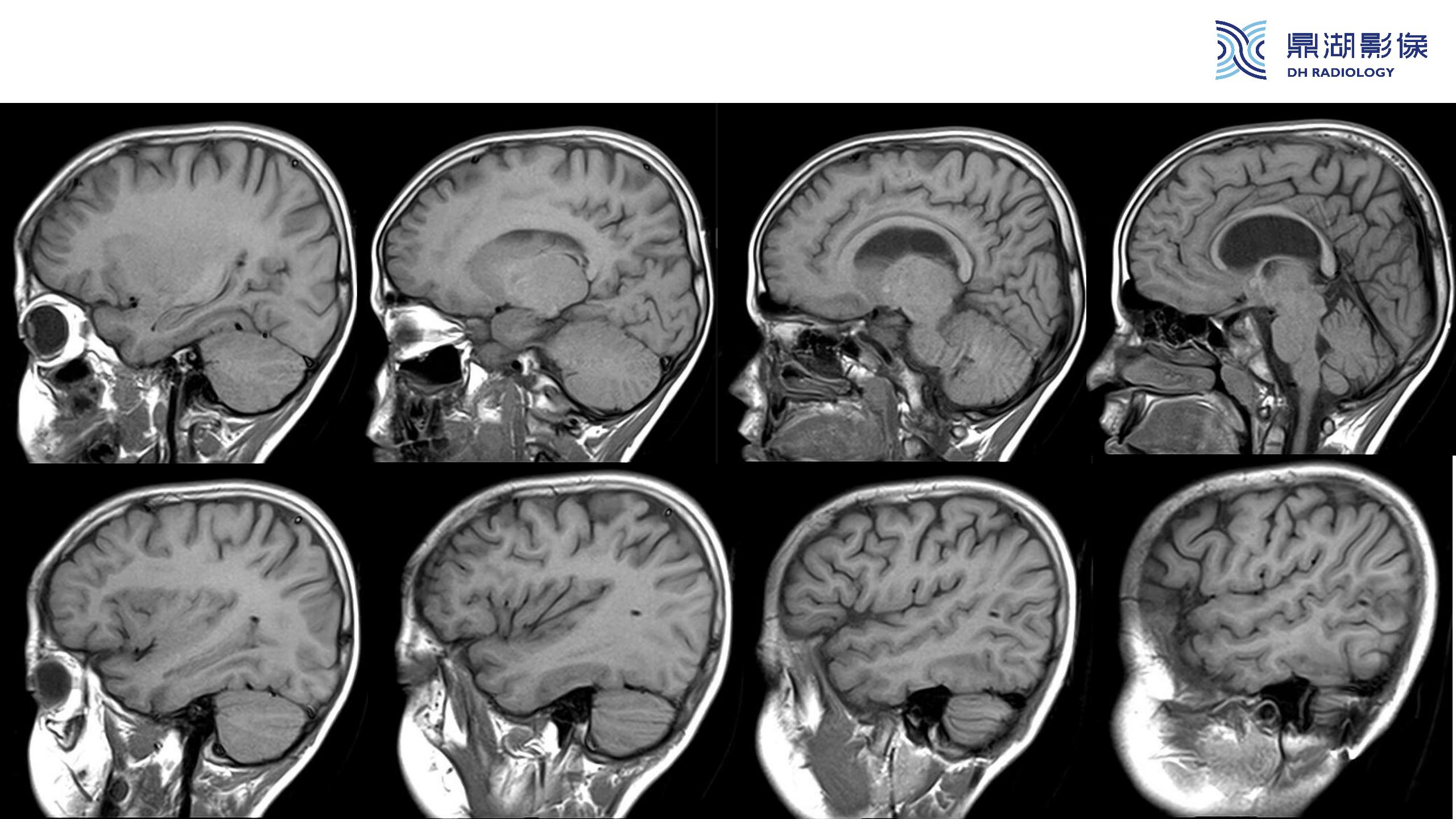
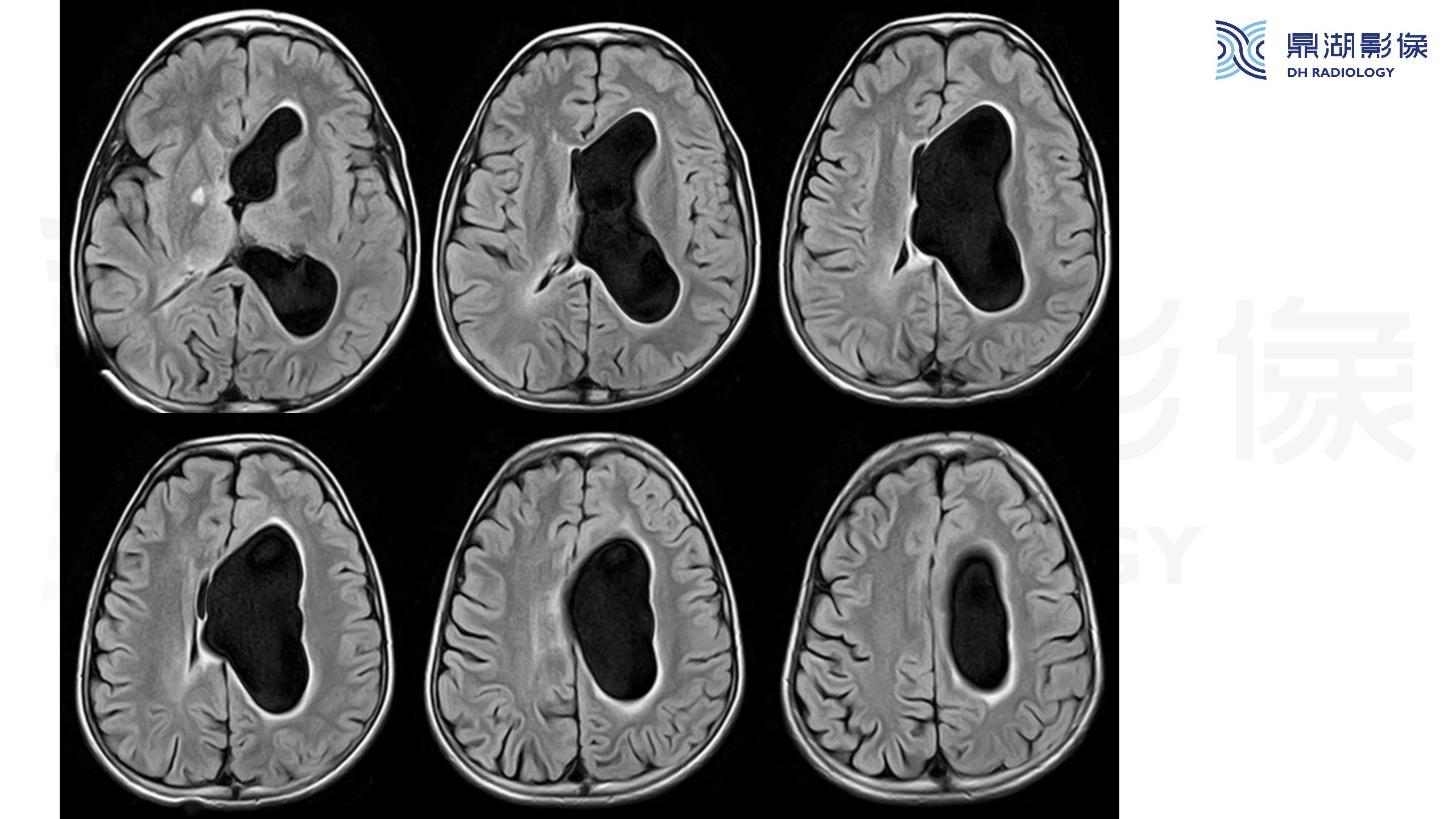
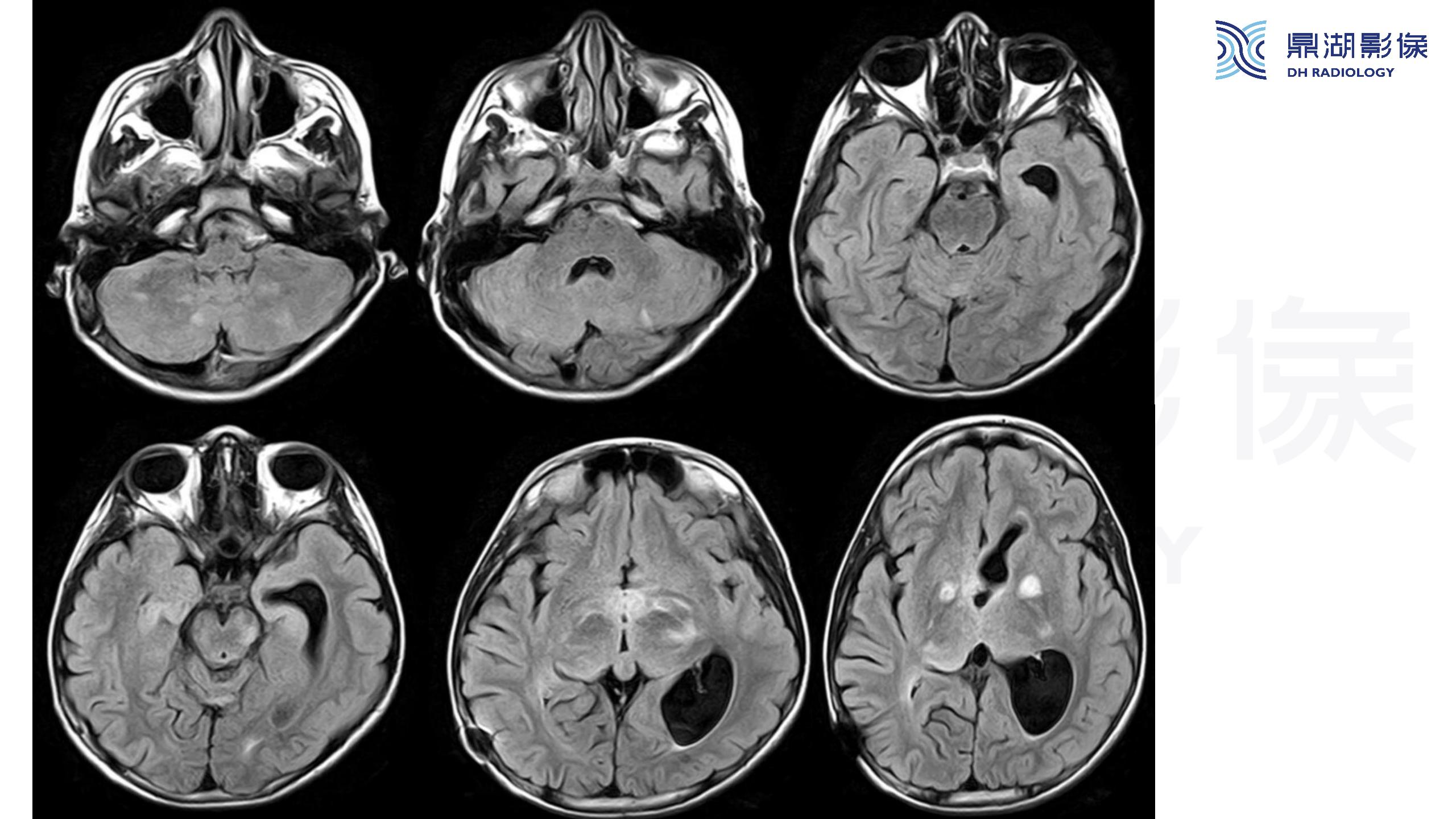
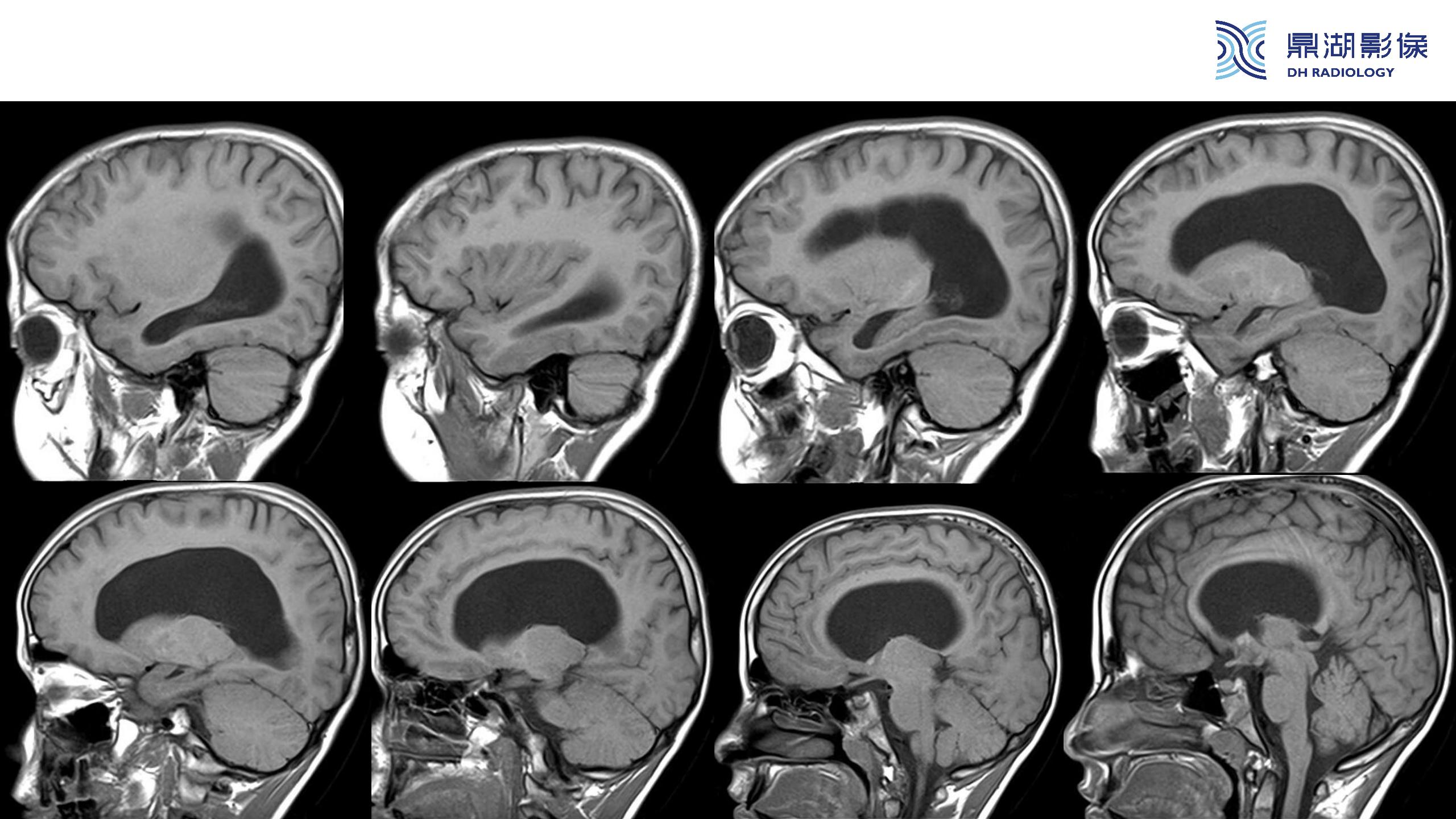
裂隙脑室综合征 (slit ventricle syndrome,SVS)-鼎湖社群读片病例
精选文章
更多精选文章